PRKCD/PRKCQ/Prkcd Recombinant Monoclonal Antibody
-
中文名稱:PRKCD/PRKCQ/Prkcd Recombinant Monoclonal Antibody
-
貨號:CSB-RA057607A0HU
-
規格:¥1320
-
圖片:
-
Western Blot
Positive WB detected in: THP-1 whole cell lysate(30μg), A431 whole cell lysate(30μg), Jurkat whole cell lysate(30μg), HT-29 whole cell lysate(30μg), MCF7 whole cell lysate(30μg), A375 whole cell lysate(30μg), Mouse brain tissue lysate(30μg), Rat brain tissue lysate(30μg)
All lanes: PKC delta/theta antibody at 1:1000
Secondary
Goat polyclonal to rabbit IgG at 1/40000 dilution
Predicted band size: 78 kDa
Observed band size: 78 kDa
Exposure time:2min -
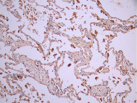
IHC image of CSB-RA057607A0HU diluted at 1:100 and staining in paraffin-embedded human lung tissue performed on a Leica BondTM system. After dewaxing and hydration, antigen retrieval was mediated by high pressure in a citrate buffer (pH 6.0). Section was blocked with 10% normal goat serum 30min at RT. Then primary antibody (1% BSA) was incubated at 4°C overnight. The primary is detected by a Goat anti-rabbit polymer IgG labeled by HRP and visualized using 0.05% DAB.
-
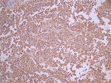
IHC image of CSB-RA057607A0HU diluted at 1:100 and staining in paraffin-embedded human liver cancer performed on a Leica BondTM system. After dewaxing and hydration, antigen retrieval was mediated by high pressure in a citrate buffer (pH 6.0). Section was blocked with 10% normal goat serum 30min at RT. Then primary antibody (1% BSA) was incubated at 4°C overnight. The primary is detected by a Goat anti-rabbit polymer IgG labeled by HRP and visualized using 0.05% DAB.
-
Immunofluorescence staining of HeLa cell with CSB-RA057607A0HU at 1:50 , counter-stained with DAPI. The cells were fixed in 4% formaldehyde, permeabilized using 0.2% Triton X-100 and blocked in 10% normal Goat Serum. The cells were then incubated with the antibody overnight at 4°C. The secondary antibody was Alexa Fluor 488-congugated AffiniPure Goat Anti-Rabbit IgG(H+L).
-
Overlay Peak curve showing A431 cells stained with CSB-RA057607A0HU (red line) at 1:100. The cells were fixed in 4% formaldehyde and permeated by 0.2% TritonX-100 for 10min. Then 10% normal goat serum to block non-specific protein-protein interactions followed by the antibody (1ug/1*106cells) for 45min at 4℃. The secondary antibody used was FITC-conjugated goat anti-rabbit IgG (H+L) at 1/200 dilution for 35min at 4℃.Control antibody (green line) was Rabbit IgG (1ug/1*106cells) used under the same conditions. Acquisition of >10, 000 events was performed.
-
-
其他:
產品詳情
-
Uniprot No.:
-
基因名:PRKCD/PRKCQ/Prkcd
-
別名:CVID9 antibody; D14Ertd420e antibody; Kinase PKC delta antibody; KPCD antibody; KPCD_HUMAN antibody; MAY 1 antibody; MAY1 antibody; MGC49908 antibody; nPKC delta antibody; nPKC-delta antibody; PCKd antibody; PKC d antibody; PKC delta antibody; PKCD antibody; PKCdelta antibody; PRKC D antibody; PRKC delta antibody; Prkcd antibody; Protein Kinase C delta antibody; Protein kinase C delta type antibody; Protein kinase C delta VIII antibody; Protein Kinase Cdelta antibody; Tyrosine protein kinase PRKCD antibody; KPCT_HUMAN antibody; MGC126514 antibody; MGC141919 antibody; nPKC theta antibody; nPKC-theta antibody; nPKCtheta antibody; OTTHUMP00000043364 antibody; OTTHUMP00000043365 antibody; PKC 0 antibody; PKC0 antibody; Prkcq antibody; PRKCT antibody; Protein kinase C theta antibody; Protein kinase C theta type antibody; Protein Kinase Ctheta antibody;Prkcd; PkcdProtein kinase C delta type; EC 2.7.11.13; Tyrosine-protein kinase PRKCD; EC 2.7.10.2; nPKC-delta) [Cleaved into: Protein kinase C delta type regulatory subunit; Protein kinase C delta type catalytic subunit; Sphingosine-dependent protein kinase-1; SDK1)]
-
反應種屬:Human, Mouse, Rat
-
免疫原:A synthesized peptide from human PRKCD/PRKCQ/Prkcd protein
-
免疫原種屬:Homo sapiens (Human)
-
標記方式:Non-conjugated
-
克隆類型:Monoclonal
-
抗體亞型:Rabbit IgG
-
純化方式:Affinity-chromatography
-
克隆號:24F7
-
濃度:It differs from different batches. Please contact us to confirm it.
-
保存緩沖液:Rabbit IgG in 10mM phosphate buffered saline , pH 7.4, 150mM sodium chloride, 0.05% BSA, 0.02% sodium azide and 50% glycerol.
-
產品提供形式:Liquid
-
應用范圍:ELISA, WB, IHC, IF, FC
-
推薦稀釋比:
Application Recommended Dilution WB 1:500-1:5000 IHC 1:50-1:200 IF 1:50-1:200 FC 1:50-1:200 -
Protocols:
-
儲存條件:Upon receipt, store at -20°C or -80°C. Avoid repeated freeze.
-
貨期:Basically, we can dispatch the products out in 1-3 working days after receiving your orders. Delivery time maybe differs from different purchasing way or location, please kindly consult your local distributors for specific delivery time.
-
用途:For Research Use Only. Not for use in diagnostic or therapeutic procedures.
Most popular with customers
-
YWHAB Recombinant Monoclonal Antibody
Applications: ELISA, WB, IHC, IF, FC
Species Reactivity: Human, Mouse, Rat
-
Phospho-YAP1 (S127) Recombinant Monoclonal Antibody
Applications: ELISA, WB, IHC
Species Reactivity: Human
-
-
-
-
-
-















