PRKCA Recombinant Monoclonal Antibody
-
中文名稱:PRKCA Recombinant Monoclonal Antibody
-
貨號:CSB-RA137418A0HU
-
規格:¥1320
-
圖片:
-
Flow cytometric analysis of Phospho-PKC alpha (T497) expression in C2C12 cells using Phospho-PKC alpha (T497) antibody. Green, isotype control; red, Phospho-PKC alpha (T497).
-
Immunocytochemical staining of C2C12 cells with phospho-PKC alpha (T497) antibody. Nuclei were stained blue with DAPI; Phospho-PKC alpha (T497) was stained magenta with Alexa Fluor? 647. Images were taken using Leica stellaris 5. Protein abundance based on laser Intensity and smart gain: Medium. Scale bar, 20 μm.
-
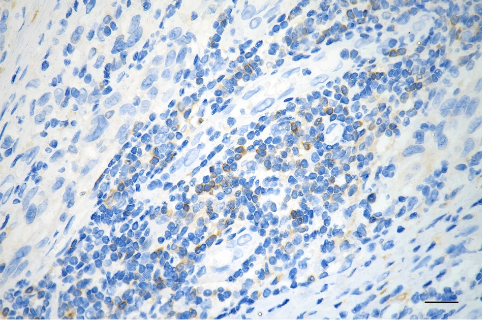
Immunohistochemistry was performed on paraffin-embedded human lung adenocarcinoma using phospho-PKC alpha (T497) antibody. Antigen retrieval was done in sodium citrate buffer (pH 6.0). DAB was used for detection, with hematoxylin counterstaining. Images were acquired using a Nikon Ci-L Plus microscope (40× objective). Scale bar: 25 μm.
-
Immunohistochemistry was performed on paraffin-embedded human melanoma using phospho-PKC alpha (T497) antibody. Antigen retrieval was done in sodium citrate buffer (pH 6.0). DAB was used for detection, with hematoxylin counterstaining. Images were acquired using a Nikon Ci-L Plus microscope (40× objective). Scale bar: 25 μm.
-
Western blotting analysis using phospho-PKC alpha (T497) antibody. Total cell lysates (30 μg) from various cell lines were loaded and separated by SDS-PAGE. The blot was incubated with phospho-PKC alpha (T497) antibody and HRP-conjugated goat anti-rabbit secondary antibody respectively.
-
-
其他:
產品詳情
-
Uniprot No.:
-
基因名:
-
別名:PRKCA; Protein Kinase C Alpha; PKCA; Protein Kinase C Alpha Type; EC 2.7.11.13; PKC-Alpha; PRKACA; PKC-A; Protein Kinase C, Alpha; Aging-Associated Gene 6; EC 2.7.11; PKCalpha; PKCI+/-; PKCα; AAG6
-
反應種屬:Human, Mouse, Rat
-
免疫原:Recombinant Human PRKCA protein
-
免疫原種屬:Homo sapiens (Human)
-
標記方式:Non-conjugated
-
克隆類型:Monoclonal
-
抗體亞型:Rabbit IgG
-
純化方式:Affinity-chromatography
-
克隆號:6E1
-
濃度:It differs from different batches. Please contact us to confirm it.
-
保存緩沖液:Rabbit IgG in PBS (pH 7.4) containing 50% glycerol, and 0.02% sodium azide.
-
產品提供形式:Liquid
-
應用范圍:ELISA, WB, FC, ICC, IHC
-
推薦稀釋比:
Application Recommended Dilution WB 1:1000-1:5000 FC 1:200-1:2000 ICC 1:100-1:1000 IHC 1:100-1:200 -
Protocols:
-
儲存條件:Upon receipt, store at -20°C or -80°C. Avoid repeated freeze.
-
貨期:Basically, we can dispatch the products out in 1-3 working days after receiving your orders. Delivery time maybe differs from different purchasing way or location, please kindly consult your local distributors for specific delivery time.
-
用途:For Research Use Only. Not for use in diagnostic or therapeutic procedures.
相關產品
靶點詳情
-
功能:Calcium-activated, phospholipid- and diacylglycerol (DAG)-dependent serine/threonine-protein kinase that is involved in positive and negative regulation of cell proliferation, apoptosis, differentiation, migration and adhesion, tumorigenesis, cardiac hypertrophy, angiogenesis, platelet function and inflammation, by directly phosphorylating targets such as RAF1, BCL2, CSPG4, TNNT2/CTNT, or activating signaling cascade involving MAPK1/3 (ERK1/2) and RAP1GAP. Involved in cell proliferation and cell growth arrest by positive and negative regulation of the cell cycle. Can promote cell growth by phosphorylating and activating RAF1, which mediates the activation of the MAPK/ERK signaling cascade, and/or by up-regulating CDKN1A, which facilitates active cyclin-dependent kinase (CDK) complex formation in glioma cells. In intestinal cells stimulated by the phorbol ester PMA, can trigger a cell cycle arrest program which is associated with the accumulation of the hyper-phosphorylated growth-suppressive form of RB1 and induction of the CDK inhibitors CDKN1A and CDKN1B. Exhibits anti-apoptotic function in glioma cells and protects them from apoptosis by suppressing the p53/TP53-mediated activation of IGFBP3, and in leukemia cells mediates anti-apoptotic action by phosphorylating BCL2. During macrophage differentiation induced by macrophage colony-stimulating factor (CSF1), is translocated to the nucleus and is associated with macrophage development. After wounding, translocates from focal contacts to lamellipodia and participates in the modulation of desmosomal adhesion. Plays a role in cell motility by phosphorylating CSPG4, which induces association of CSPG4 with extensive lamellipodia at the cell periphery and polarization of the cell accompanied by increases in cell motility. During chemokine-induced CD4(+) T cell migration, phosphorylates CDC42-guanine exchange factor DOCK8 resulting in its dissociation from LRCH1 and the activation of GTPase CDC42. Is highly expressed in a number of cancer cells where it can act as a tumor promoter and is implicated in malignant phenotypes of several tumors such as gliomas and breast cancers. Negatively regulates myocardial contractility and positively regulates angiogenesis, platelet aggregation and thrombus formation in arteries. Mediates hypertrophic growth of neonatal cardiomyocytes, in part through a MAPK1/3 (ERK1/2)-dependent signaling pathway, and upon PMA treatment, is required to induce cardiomyocyte hypertrophy up to heart failure and death, by increasing protein synthesis, protein-DNA ratio and cell surface area. Regulates cardiomyocyte function by phosphorylating cardiac troponin T (TNNT2/CTNT), which induces significant reduction in actomyosin ATPase activity, myofilament calcium sensitivity and myocardial contractility. In angiogenesis, is required for full endothelial cell migration, adhesion to vitronectin (VTN), and vascular endothelial growth factor A (VEGFA)-dependent regulation of kinase activation and vascular tube formation. Involved in the stabilization of VEGFA mRNA at post-transcriptional level and mediates VEGFA-induced cell proliferation. In the regulation of calcium-induced platelet aggregation, mediates signals from the CD36/GP4 receptor for granule release, and activates the integrin heterodimer ITGA2B-ITGB3 through the RAP1GAP pathway for adhesion. During response to lipopolysaccharides (LPS), may regulate selective LPS-induced macrophage functions involved in host defense and inflammation. But in some inflammatory responses, may negatively regulate NF-kappa-B-induced genes, through IL1A-dependent induction of NF-kappa-B inhibitor alpha (NFKBIA/IKBA). Upon stimulation with 12-O-tetradecanoylphorbol-13-acetate (TPA), phosphorylates EIF4G1, which modulates EIF4G1 binding to MKNK1 and may be involved in the regulation of EIF4E phosphorylation. Phosphorylates KIT, leading to inhibition of KIT activity. Phosphorylates ATF2 which promotes cooperation between ATF2 and JUN, activating transcription. Phosphorylates SOCS2 at 'Ser-52' facilitating its ubiquitination and proteosomal degradation.
-
基因功能參考文獻:
- D463H mutation highly specific to chordoid glioma, enhances proliferation of astrocytes and tanycytes PMID: 29915258
- Modeling of the different conformations of PRKACA-DNAJB1 Chimeric Kinase revealed no obvious steric interactions of the J-domain with the rest of the RIIbeta holoenzyme. PMID: 29335433
- PKC activation triggers down-regulation of Kv1.3 by inducing a clathrin-mediated endocytic event that targets the channel to lysosomal-degradative compartments. PMID: 28186199
- Protein kinase C acts as a tumor suppressor.Cancer-associated mutations in protein kinase C are generally loss-of-function mutations.[review] PMID: 28476658
- results could not only better explain the role of PI-PLCbeta1/PKC-alpha signaling in erythropoiesis but also lead to a better comprehension of the lenalidomide effect on del(5q) MDS and pave the way to innovative, targeted therapies. PMID: 28970249
- A characteristic di-leucine motif (SVRPLL) in the C-terminal cytoplasmic region of ATP11C becomes functional upon PKCalpha activation. Moreover, endocytosis of ATP11C is induced by Ca(2+)-signaling via Gq-coupled receptors. PMID: 29123098
- The haplotype carrying rs9909004 influences PRKCA expression in the heart and is associated with traits linked to heart failure, potentially affecting therapy of heart failure PMID: 28120175
- our results demonstrate that Pc-induced expression of HO-1 is mediated by the PKCA-Nrf-2/HO-1 pathway, and inhibits UVB-induced apoptotic cell death in primary skin cells. PMID: 29470442
- Regulation of vascular smooth muscle cell calcification by syndecan-4/FGF-2/PKCalpha signalling and cross-talk with TGF-beta1. PMID: 29016732
- this study reveals a protective role for miR-706 by blocking the oxidative stress-induced activation of PKCalpha/TAOK1. Our results further identify a major implication for miR-706 in preventing hepatic fibrogenesis and suggest that miR-706 may be a suitable molecular target for anti-fibrosis therapy. PMID: 27876854
- We also discuss the contribution of PKC enzymes to pancreatic diseases, including insulin resistance and diabetes mellitus, as well as pancreatitis and the development and progression of pancreatic cancer PMID: 28826907
- data provided evidence that increased Rack1-mediated upregulation of PKC kinase activity may be responsible for the development of chemoresistance in T-ALL-derived cell line potentially by reducing FEM1b and Apaf-1 level. PMID: 27644318
- Regulation of insulin exocytosis by calcium-dependent protein kinase C in beta cells has been summarized. (Review) PMID: 29029784
- these data propose a mechanism where CD82 membrane organization regulates sustained PKCalpha signaling that results in an aggressive leukemia phenotype. These observations suggest that the CD82 scaffold may be a potential therapeutic target for attenuating aberrant signal transduction in acute myeloid leukemia (AML). PMID: 27417454
- MiR-3148 may play an important role in the development of CTEPH. The key mechanisms for this miRNA may be hsa-miR-3148-AR-pathways in cancer or hsa-miR-3148-PRKCA-pathways in cancer/glioma/ErbB signaling pathway. PMID: 28904974
- the spatial organization of cPKCs bound to the plasma membrane, is reported. PMID: 27808106
- PRKCA is a recurrently mutated oncogene in human chordoid glioma. PMID: 29476136
- Our study showed that PKCalpha modulated cell resistance to apoptosis by stimulating NF-kappaB activation and thus promoted the tumorigenesis of bladder cancer. PMID: 28629334
- PKCalpha translocation may occur as an early event in radiation-induced bystander responses. PMID: 27165942
- our study indicated that PKC alpha and beta appeared coping with oncogenic Ras or mutated Akt to maintain the balance of the homeostasis in cancer cells. Once these PKC isoforms were suppressed, the redox state in the cancer cells was disrupted, which elicited persistent oncogenic stress and subsequent apoptotic crisis. PMID: 28415683
- high expression of both PLCE1 and PRKCA is significantly associated with poor outcomes of the patients with esophageal cancers. PMID: 28402280
- In nasopharyngeal carcinoma, PKCalpha is linked to the invasion of adjacent tissues, especially in the skull base. Down-regulation of PKCalpha is a risk factor for regional lymph node metastasis. PMID: 28084179
- LAV-BPIFB4 isoform modulates eNOS signalling through Ca2+/PKC-alpha-dependent mechanism. PMID: 28419216
- Studied interactions between protein kinase C alpha (PKCalpha), FOXC2, and p120-catenin (CTNND1) in breast cancer, cell migration/ invasion; found PKCalpha acts as an upstream regulator of FOXC2, which in turn represses the expression of p120-catenin, in both in endocrine resistant ER+breast cancer and basal A triple negative breast cancer PMID: 29216867
- Phosphorylated PKCalpha is elevated in epidermis genetically deleted of DLX3 and the hyperproliferative response to TPA is increased, suggesting that the homeobox protein indirectly regulates the activity in the pathway, possibly through an effect on reduced phosphatase expression PMID: 28186503
- Results show that PKCalpha expression is under the regulation of miR-142-3p contributing to reduced osteoclasts survival. PMID: 27113904
- Molecular Determinants for the Binding Mode of Alkylphosphocholines in the C2 Domain of PKCalpha. PMID: 27490031
- Studies suggest that rare deleterious variants of PARD3 in the aPKC-binding region contribute to human cranial neural tube defect (NTD). PMID: 27925688
- study identified PKCalpha as hepatitis E virus HEV in host defense PMID: 28077314
- ADP inhibits mesothelioma cell proliferation via PKC-alpha/ERK/p53 signaling. PMID: 28777435
- This study provides evidences of a new PKCalpha/GAP-43 nuclear signalling pathway that controls neuronal differentiation in Human Periodontal Ligament Stem Cells. PMID: 27478064
- protein kinase Calpha (PKCalpha) gain of function mutations may promote synaptic defects in Alzheimer's disease PMID: 27165780
- Some polyphenols exert their antioxidant properties by regulating the transcription of the antioxidant enzyme genes through PKC signaling. Regulation of PKC by polyphenols is isoform dependent PMID: 27369735
- Data suggest that phosphorylation activity of PRKCA stems from conformational flexibility in region C-terminal to phosphorylated Ser/Thr residues; flexibility of substrate-kinase interaction enables an Arg/Lys two to three amino acids C-terminal to phosphorylated Ser/Thr to prime a catalytically active conformation, facilitating phosphoryl transfer to substrate. PMID: 28821615
- these results provide evidence for inherent deficits in the cystic fibrosis macrophage oxidative burst caused by decreased phosphorylation of NADPH oxidase cytosolic components that are augmented by Burkholderia PMID: 28093527
- The interplay between intracellular progesterone receptor and PRKCA-PRKCD plays a key role in migration and invasion of human glioblastoma cells. PMID: 27717886
- PRKCA SNPs are associated with neuropathic pain post total joint replacement. PMID: 28051079
- These findings provide the first evidence linking PKC activation to suppression of Kv7 currents, membrane depolarization, and Ca(2+) influx via L-type voltage-sensitive Ca(2+) channels as a mechanism for histamine-induced bronchoconstriction. PMID: 28283479
- pseudosubstrate and C1a domains, however, are minimally essential for maintaining the inactivated state. Furthermore, disrupting known interactions between the C1a and other regulatory domains releases the autoinhibited interaction and increases basal activity PMID: 28049730
- In polymorphism PRKCA rs9892651, HDL-C levels were lower in carriers of CC and TC genotypes that were more frequent in current-wheezers Vs TT genotype (52.2 and 52.7 Vs 55.2 mg/dl, p-value = 0.042 and p-value for trend = 0.02). PMID: 27411394
- Ca(2+)-PKC-MARCKS-PIP2-PI3K-PIP3 system functions as an activation module in vitro PMID: 27119641
- phosphorylation of TIMAP on Ser331 by PKC represents a new mechanism of endothelial barrier regulation, through the inhibition of phospho-ERM dephosphorylation PMID: 27939168
- PKCalpha-GSK3beta-NF-kappaB signaling pathway involvement in TRAIL-induced apoptosis PMID: 27219672
- Curcumin inhibited phorbol ester-induced membrane translocation of protein kinase C-epsilon (PKCepsilon) mutants, in which the epsilonC1 domain was replaced with alphaC1, but not the protein kinase C-alpha (PKCalpha) mutant in which alphaC1 was replaced with the epsilonC1 domain, suggesting that alphaC1 is a determinant for curcumin's inhibitory effect. PMID: 27776404
- a library of FRET sensors to monitor these transient complexes, specifically examining weak interactions between the catalytic domain of protein kinase Calpha and 14 substrate peptides. PMID: 27555323
- calpain and protein kinase Calpha abnormal release promotes a constitutive release of matrix metalloproteinase 9 in peripheral blood mononuclear cells from cystic fibrosis patients PMID: 27349634
- protein kinase C modulates alpha1B-adrenergic receptor transfer to late endosomes and that Rab9 regulates this process and participates in G protein-mediated signaling turn-off. PMID: 28082304
- Protein kinase C enhances the swelling-induced chloride current in human atrial myocytes. PMID: 27376808
- these results confirm the correlation between AXL and PKCalpha, and suggest PKCalpha-AXL signaling may be a treatment target, particularly in malignant cancer cells. PMID: 27357025
- After inhibition of the PKC/ERK signalling pathway, the effects of DOR on breast cancer were significantly attenuated in vivo and in vitro. In summary, DOR is highly expressed in breast cancer and is closely related to its progression. These results suggest that DOR may serve as a potential biomarker for the early diagnosis of breast cancer and may be a viable molecular target for therapeutic intervention. PMID: 27665747
顯示更多
收起更多
-
亞細胞定位:Cytoplasm. Cell membrane; Peripheral membrane protein. Mitochondrion membrane; Peripheral membrane protein. Nucleus.
-
蛋白家族:Protein kinase superfamily, AGC Ser/Thr protein kinase family, PKC subfamily
-
數據庫鏈接:
Most popular with customers
-
-
YWHAB Recombinant Monoclonal Antibody
Applications: ELISA, WB, IHC, IF, FC
Species Reactivity: Human, Mouse, Rat
-
Phospho-YAP1 (S127) Recombinant Monoclonal Antibody
Applications: ELISA, WB, IHC
Species Reactivity: Human
-
-
-
-
-















