PPIF Recombinant Monoclonal Antibody
-
中文名稱:PPIF Recombinant Monoclonal Antibody
-
貨號:CSB-RA784392A0HU
-
規格:¥1320
-
圖片:
-
Flow cytometric analysis of peptidylprolyl isomerase F expression in C2C12 cells using peptidylprolyl isomerase F antibody. Green, isotype control; red, peptidylprolyl isomerase F.
-
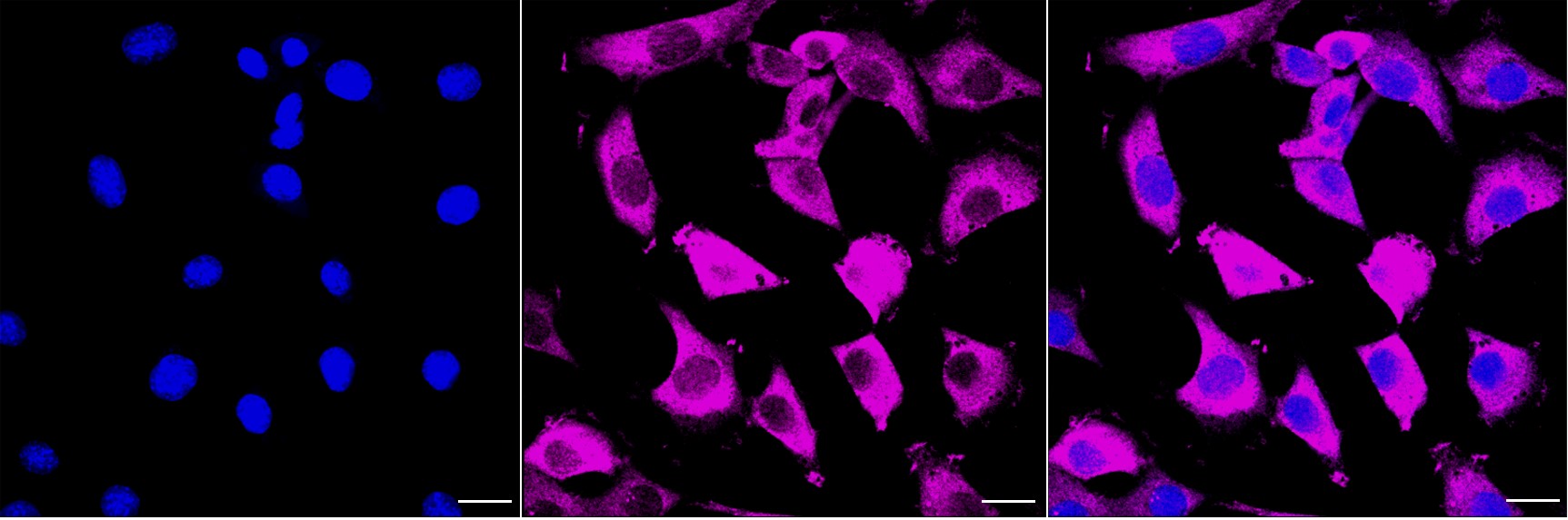
Immunocytochemical staining of C2C12 cells with Peptidylprolyl isomerase F antibody. Nuclei were stained blue with DAPI; Peptidylprolyl isomerase F was stained magenta with Alexa Fluor? 647. Images were taken using Leica stellaris 5. Protein abundance based on laser Intensity and smart gain: High. Scale bar, 20 μm.
-
Western blotting analysis using peptidylprolyl isomerase F antibody. Total cell lysates (30 μg) from various cell lines were loaded and separated by SDS-PAGE. The blot was incubated with peptidylprolyl isomerase F antibody and HRP-conjugated goat anti-rabbit secondary antibody respectively.
-
-
其他:
產品詳情
-
Uniprot No.:
-
基因名:
-
別名:PPIF; Peptidylprolyl Isomerase F; Cyclophilin D; CypD; Peptidyl-Prolyl Cis-Trans Isomerase F, Mitochondrial; Mitochondrial Cyclophilin; Cyclophilin F; Rotamase F; EC 5.2.1.8; PPIase F; Cyp-D; CyP-M; CYP3; Peptidyl-Prolyl Cis-Trans Isomerase, Mitochondrial; Peptidylprolyl Isomerase F (Cyclophilin F; Cyclophilin 3; HCyP3; CYP-D; HCYP3; CyP-D; CYPD
-
反應種屬:Human, Mouse, Rat
-
免疫原:Recombinant Human PPIF protein
-
免疫原種屬:Homo sapiens (Human)
-
標記方式:Non-conjugated
-
克隆類型:Monoclonal
-
抗體亞型:Rabbit IgG
-
純化方式:Affinity-chromatography
-
克隆號:13G10
-
濃度:It differs from different batches. Please contact us to confirm it.
-
保存緩沖液:Rabbit IgG in PBS (pH 7.4) containing 50% glycerol, and 0.02% sodium azide.
-
產品提供形式:Liquid
-
應用范圍:ELISA, WB, FC, ICC
-
推薦稀釋比:
Application Recommended Dilution WB 1:1000-1:5000 FC 1:200-1:2000 ICC 1:100-1:1000 -
Protocols:
-
儲存條件:Upon receipt, store at -20°C or -80°C. Avoid repeated freeze.
-
貨期:Basically, we can dispatch the products out in 1-3 working days after receiving your orders. Delivery time maybe differs from different purchasing way or location, please kindly consult your local distributors for specific delivery time.
-
用途:For Research Use Only. Not for use in diagnostic or therapeutic procedures.
相關產品
靶點詳情
-
功能:PPIase that catalyzes the cis-trans isomerization of proline imidic peptide bonds in oligopeptides and may therefore assist protein folding. Involved in regulation of the mitochondrial permeability transition pore (mPTP). It is proposed that its association with the mPTP is masking a binding site for inhibiting inorganic phosphate (Pi) and promotes the open probability of the mPTP leading to apoptosis or necrosis; the requirement of the PPIase activity for this function is debated. In cooperation with mitochondrial p53/TP53 is involved in activating oxidative stress-induced necrosis. Involved in modulation of mitochondrial membrane F(1)F(0) ATP synthase activity and regulation of mitochondrial matrix adenine nucleotide levels. Has anti-apoptotic activity independently of mPTP and in cooperation with BCL2 inhibits cytochrome c-dependent apoptosis.
-
基因功能參考文獻:
- Cyclophilin D protects cell from cell death. PMID: 12077116
- There was increased [Ca(2+)](c), [Ca(2+)](m), mCICR, MPTP opening, and expression of cyclophilin D and decreased DeltaPsim in POAG TM cells compared with control cells. PMID: 18614807
-
亞細胞定位:Mitochondrion matrix.
-
蛋白家族:Cyclophilin-type PPIase family
-
數據庫鏈接:
Most popular with customers
-
-
YWHAB Recombinant Monoclonal Antibody
Applications: ELISA, WB, IHC, IF, FC
Species Reactivity: Human, Mouse, Rat
-
Phospho-YAP1 (S127) Recombinant Monoclonal Antibody
Applications: ELISA, WB, IHC
Species Reactivity: Human
-
-
-
-
-















