PICALM Recombinant Monoclonal Antibody
-
中文名稱:PICALM Recombinant Monoclonal Antibody
-
貨號:CSB-RA177398A0HU
-
規格:¥1320
-
圖片:
-
Western Blot
Positive WB detected in: HT-29 whole cell lysate(30μg), Hela whole cell lysate(30μg), HEK293 whole cell lysate(30μg), MCF-7 whole cell lysate(30μg)
All lanes: PICALM antibody at 1:1000
Secondary
Goat polyclonal to rabbit IgG at 1/40000 dilution
Predicted band size: 71 kDa
Observed band size: 69&71 kDa
Exposure time:20s -
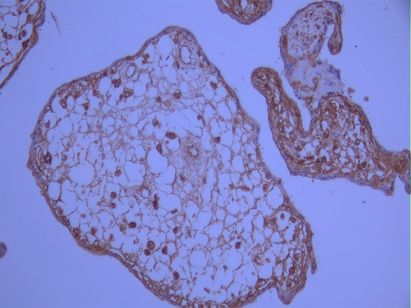
IHC image of CSB-RA177398A0HU diluted at 1:100 and staining in paraffin-embedded human placenta tissue performed on a Leica BondTM system. After dewaxing and hydration, antigen retrieval was mediated by high pressure in a citrate buffer (pH 6.0). Section was blocked with 10% normal goat serum 30min at RT. Then primary antibody (1% BSA) was incubated at 4°C overnight. The primary is detected by a Goat anti-rabbit polymer IgG labeled by HRP and visualized using 0.05% DAB.
-
Overlay Peak curve showing 786-O cells stained with CSB-RA177398A0HU (red line) at 1:100. The cells were fixed in 4% formaldehyde and permeated by 0.2% TritonX-100 for 10min. Then 10% normal goat serum to block non-specific protein-protein interactions followed by the antibody (1ug/1*106cells) for 45min at 4℃. The secondary antibody used was FITC-conjugated goat anti-rabbit IgG (H+L) at 1/200 dilution for 35min at 4℃.Control antibody (green line) was Rabbit IgG (1ug/1*106cells) used under the same conditions. Acquisition of >10, 000 events was performed.
-
-
其他:
產品詳情
-
Uniprot No.:
-
基因名:
-
別名:CALM antibody; Clathrin assembly lymphoid myeloid leukemia antibody; Clathrin assembly lymphoid myeloid leukemia protein antibody; CLTH antibody; LAP antibody; Phosphatidylinositol-binding clathrin assembly protein antibody; PICAL_HUMAN antibody; PICALM antibody
-
反應種屬:Human
-
免疫原:A synthesized peptide from human PICALM protein
-
免疫原種屬:Homo sapiens (Human)
-
標記方式:Non-conjugated
-
克隆類型:Monoclonal
-
抗體亞型:Rabbit IgG
-
純化方式:Affinity-chromatography
-
克隆號:7F10
-
濃度:It differs from different batches. Please contact us to confirm it.
-
保存緩沖液:Rabbit IgG in 10mM phosphate buffered saline , pH 7.4, 150mM sodium chloride, 0.05% BSA, 0.02% sodium azide and 50% glycerol.
-
產品提供形式:Liquid
-
應用范圍:ELISA, WB, IHC, FC
-
推薦稀釋比:
Application Recommended Dilution WB 1:500-1:5000 IHC 1:50-1:200 FC 1:50-1:200 -
Protocols:
-
儲存條件:Upon receipt, store at -20°C or -80°C. Avoid repeated freeze.
-
貨期:Basically, we can dispatch the products out in 1-3 working days after receiving your orders. Delivery time maybe differs from different purchasing way or location, please kindly consult your local distributors for specific delivery time.
-
用途:For Research Use Only. Not for use in diagnostic or therapeutic procedures.
相關產品
靶點詳情
-
功能:Cytoplasmic adapter protein that plays a critical role in clathrin-mediated endocytosis which is important in processes such as internalization of cell receptors, synaptic transmission or removal of apoptotic cells. Recruits AP-2 and attaches clathrin triskelions to the cytoplasmic side of plasma membrane leading to clathrin-coated vesicles (CCVs) assembly. Furthermore, regulates clathrin-coated vesicle size and maturation by directly sensing and driving membrane curvature. In addition to binding to clathrin, mediates the endocytosis of small R-SNARES (Soluble NSF Attachment Protein REceptors) between plasma membranes and endosomes including VAMP2, VAMP3, VAMP4, VAMP7 or VAMP8. In turn, PICALM-dependent SNARE endocytosis is required for the formation and maturation of autophagic precursors. Modulates thereby autophagy and the turnover of autophagy substrates such as MAPT/TAU or amyloid precursor protein cleaved C-terminal fragment (APP-CTF).
-
基因功能參考文獻:
- IN PICALM rs3851179 polymorphism, the age- dependent increase in the P3 latency was more pronounced in the PICALM GG carriers than in the carriers of the PICALM AA and PICALM AG genotypes. PMID: 30472946
- There were significant differences in genotype and allele frequencies for the SNP PICALM rs3851179 between Brazilian Alzheimer and Parkinson disease cases and controls, but none for CR1 rs6656401 and CLU rs11136000 intronic polymorphisms. PMID: 28567584
- The PICALM rs3851179 polymorphism significantly affects the default mode network network in mild cognitive impairment PMID: 28549650
- No association for PICALM with Alzheimer's disease in south-Indian population. PMID: 28558900
- this updated meta-analysis highlights the involvement of PICALM rs3851179 variant in Alzheimer's disease susceptibility in Chinese population. PMID: 27048444
- suggest that there is a close relationship between abnormal PICALM processing, tau pathology and impairment of autophagy in human neurodegenerative diseases PMID: 27260836
- There was no significant association between single nucleotide polymorphisms (SNPS) of GAB2 rs2373115 (G > T) and PICALM rs541458 (C > T) and Alzheimer's disease (AD). The allele T of rs3851179 in PICALM was associated with a 13 % increase in the risk of AD. Seven SNPs on SORL1 were significantly associated with AD. PMID: 26611835
- Hippocampal shape features derived from the diffeomorphic metric-based shape analysis led to the identification of significant CLU-PICALM interaction effects on hippocampal morphology in young healthy adults, which were not identified by volume measurement and voxel-wise analysis. PMID: 27017968
- This study provided preliminary evidences supporting that PICALM variations render protections by facilitating reserve capacities of posterior cingulate in non-demented elderly. PMID: 27117083
- rs3851179 in PICALM was associated with an increased risk of gestational diabetes. The frequency of the Alzheimer's disease risk-associated C allele was significantly higher in the gestational diabetes group compared to controls. The C allele of the PICALM SNP was protective for impaired glucose tolerance. PMID: 28316001
- Alzheimer's disease risk PICALM GG genotype suggests changes in the cortical excitatory-inhibitory balance, which are heightened during normal aging. PMID: 28073596
- Study concludes that the novel clathrin interaction sites identified here in CALM and AP180 have a major role in how these proteins interface with clathrin. This work advances the case that AP180 and CALM are required to use a combination of standard clathrin N-terminal domain binding motifs and the sequence identified here for optimal binding and assembling clathrin. PMID: 27574975
- Depletion of PICALM in brain-derived cells has significant effects on the processing of APP, probably by reducing clathrin-mediated endocytosis. In particular, it affects the production of beta-C-terminal fragment which is increasingly considered to be an important mediator in Alzheimer's disease independent of Abeta. PMID: 27430330
- reduction of CALM decreases Ab deposition as well as brain levels of insoluble Ab42 in vivo These results suggest that CALM expression modifies Alzheimer disease (AD)risk by regulating Aamyloid-beta protein pathology PMID: 27466196
- PICALM is involved with late onset Alzheimer's disease. [review] PMID: 27773727
- Our finding suggests that PICALM rs3851179 could contribute to cognitive impairment in older patients with Parkinson disease PMID: 26889634
- PICALM and CLU risk genotypes exert differential impacts on the hippocampal resting-state functional connectivity in healthy young subjects. PMID: 24578178
- PICALM has a role in modulating autophagy activity and tau accumulation PMID: 25241929
- the rs541458 and rs3851179 of PICALM SNPs are not related to development of behavioral and psychological symptoms of dementia in Turkish population PMID: 26434199
- We detected a significant association of the MTHFR rs1801133 and PICALM rs3851179 polymorphisms with AD. PMID: 25359311
- PICALM SNP is significantly associated with late onset Alzheimer disease. PMID: 25022885
- CALM is a major factor in controlling endocytic clathrin-coated vesicle size and maturation and hence in determining the rates of endocytic cargo uptake. PMID: 25898166
- Data suggest a neural mechanism for APOE-PICALM interactions in patients with manifest Alzheimer's disease and indicate that the PICALM genotype modulates both brain atrophy and cognitive performance in APOE epsilon4 carrier PMID: 24613704
- multiple PICALM isoforms are expressed in the human brain, that PICALM is robustly expressed in microvessels, and that expression of total PICALM is modestly correlated with the AD-associated SNP rs3851179. PMID: 24618820
- allelic expression has shown that compelling PICALM allelic expression imbalance was not observed in most brain RNA samples PMID: 25169757
- physical activity attenuated the effects of genetic risk (ie. the constellation of PICALM, BIN1, and CLU polymorphisms) on episodic memory PMID: 24660791
- It might not play a major role in the genetic predisposition to Late-onset Alzheimer's disease in Han Chinese. PMID: 24095218
- PICALM affects age at onset of Alzheimer's dementia in Down syndrome. PMID: 23601808
- results confirm the association of PICALM gene with Alzheimer disease susceptibility in Korean population PMID: 22975751
- We identified a mutation in CALM1 underlying IVF manifesting in childhood and adolescence. The causality of the mutation is supported by previous studies demonstrating that F90 mediates the direct interaction of CaM with target peptides. PMID: 24076290
- This results suggest that besides APOE, PICALM associated with Alzheimer's disease risk do not exert large effects on the age-at-onset phenotype of Alzheimer disease. PMID: 23870418
- CALM is able to sort VAMP4 and VAMP7, even though they have sorting signals for other clathrin adaptors. PMID: 23741335
- The PICALM rs3851179 polymorphism is significantly associated with AD in the Asian population by both pooled analysis and meta-analysis methods. PMID: 23572399
- AP-2/PICALM complex functions as an autophagic cargo receptor for the recognition and shipment of APP-CTF from the endocytic pathway to the LC3-marked autophagic degradation pathway. PMID: 24067654
- Genome-wide association studies found 3 new susceptibility loci for Alzheimer disease(AD): complement receptor 1,clusterin,and the phosphatidylinositol-binding clathrin assembly protein. These SNPS are not associated with AD in a Polish population. PMID: 23650005
- A CALM-derived nuclear export signal is essential for CALM-AF10-mediated leukemogenesis. PMID: 23487024
- Our results indicate that rs3851179 may not be an AD susceptibility locus in the Chinese population and the APOEepsilon4-negative subgroup. PMID: 23040034
- model system to study the effects of intracellular Abeta in fusion with green fluorescent protein. We sent this fusion protein into the secretory pathway and showed that intracellular traffic pathways are necessary for the generation of toxic species. PMID: 22888099
- rs592297, a known coding synonymous SNP that is part of an exonic splice enhancer region in exon 5 of the PICALM gene, is in strong linkage disequilibrium with rs3851179. PMID: 22943764
- Our results do not provide evidence that the PICALM rs3851179 polymorphism increase susceptibility to Parkinson disease, in the Greek population. PMID: 22715855
- AP180 and CALM are endocytic adaptors dedicated to the sorting of small soluble N-ethylmaleimide-sensitive-factor attachment protein receptors. (Review) PMID: 22639918
- CLU and CR1 were associated with more rapid cognitive decline. PICALM was associated with an earlier age at midpoint of cognitive decline. PMID: 22952074
- In conclusion, we confirmed association of CLU, CR1, and PICALM genes with the disease status in our cohort through identification of a number of disease-specific variants PMID: 22402018
- While no Alzheimer Disease association was observed with single nucleotide polymorphisms, a trend of association was seen with the Picalm and Clusterin single nucleotide polymorphisms. PMID: 20570404
- PICALM, an adaptor protein involved in clathrin-mediated endocytosis, regulates APP internalization and subsequent Abeta generation. PICALM contributes to amyloid plaque load in brain likely via its effect on Abeta metabolism. PMID: 22539346
- The SNP genotype pattern at the PICALM gene is associated with episodic memory. PMID: 22539578
- Single nucleotide polymorphisms (SNPs) are not significantly different within PICALM sporadic Alzheimer disease patients and unrelated age- and sex-matched healthy controls of Han Chinese. PMID: 21358043
- variants in BIN1, CLU, CR1 or PICALM are associated with changes in the CSF levels of biomarkers PMID: 21347408
- findings showed evidence of CR1, CLU, and PICALM and late-onset Alzheimer's disease (LOAD) susceptibility in an independent southern Chinese population PMID: 22015308
- AP-2 and epsin-1 are both required to promote efficient internalization of activated PAR1 and recognize discrete receptor sorting signals PMID: 21965661
顯示更多
收起更多
-
相關疾病:A chromosomal aberration involving PICALM is found in diffuse histiocytic lymphomas. Translocation t(10;11)(p13;q14) with MLLT10.
-
亞細胞定位:Cell membrane. Membrane, clathrin-coated pit. Golgi apparatus. Cytoplasmic vesicle, clathrin-coated vesicle. Nucleus.
-
蛋白家族:PICALM/SNAP91 family
-
組織特異性:Expressed in all tissues examined.
-
數據庫鏈接:
Most popular with customers
-
-
YWHAB Recombinant Monoclonal Antibody
Applications: ELISA, WB, IHC, IF, FC
Species Reactivity: Human, Mouse, Rat
-
Phospho-YAP1 (S127) Recombinant Monoclonal Antibody
Applications: ELISA, WB, IHC
Species Reactivity: Human
-
-
-
-
-















