OLIG2 Recombinant Monoclonal Antibody
-
中文名稱:OLIG2 Recombinant Monoclonal Antibody
-
貨號:CSB-RA949479A0HU
-
規格:¥1320
-
圖片:
-
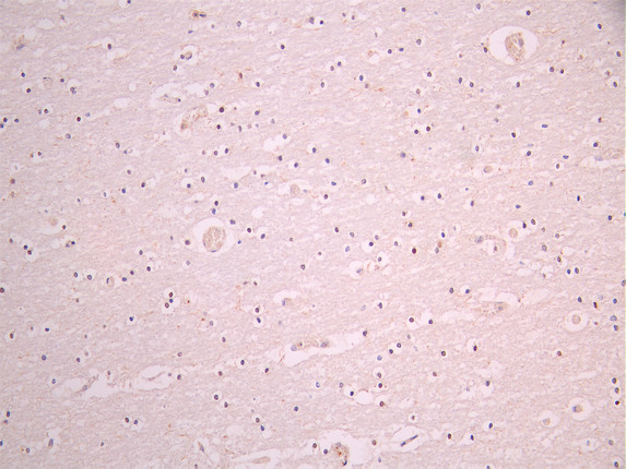
IHC image of CSB-RA949479A0HU diluted at 1:100 and staining in paraffin-embedded human brain tissue performed on a Leica BondTM system. After dewaxing and hydration, antigen retrieval was mediated by high pressure in a citrate buffer (pH 6.0). Section was blocked with 10% normal goat serum 30min at RT. Then primary antibody (1% BSA) was incubated at 4°C overnight. The primary is detected by a Goat anti-rabbit polymer IgG labeled by HRP and visualized using 0.05% DAB.
-
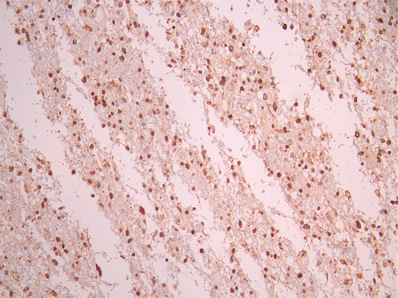
IHC image of CSB-RA949479A0HU diluted at 1:100 and staining in paraffin-embedded human glioma cancer performed on a Leica BondTM system. After dewaxing and hydration, antigen retrieval was mediated by high pressure in a citrate buffer (pH 6.0). Section was blocked with 10% normal goat serum 30min at RT. Then primary antibody (1% BSA) was incubated at 4°C overnight. The primary is detected by a Goat anti-rabbit polymer IgG labeled by HRP and visualized using 0.05% DAB.
-
-
其他:
產品詳情
-
Uniprot No.:
-
基因名:OLIG2
-
別名:Basic domain helix loop helix protein class B 1 antibody; Basic helix loop helix protein class B 1 antibody; BHLHB antibody; bHLHB1 antibody; bHLHe19 antibody; Class B basic helix loop helix protein 1 antibody; Class B basic helix-loop-helix protein 1 antibody; class E basic helix loop helix protein 19 antibody; Class E basic helix-loop-helix protein 19 antibody; Human protein kinase C binding protein RACK17 antibody; Olig2 antibody; OLIG2_HUMAN antibody; Oligo2 antibody; Oligodendrocyte lineage transcription factor 2 antibody; Oligodendrocyte specific bHLH transcription factor 2 antibody; Oligodendrocyte transcription factor 2 antibody; OTTHUMP00000067569 antibody; OTTHUMP00000067570 antibody; PRKCBP2 antibody; Protein kinase C binding protein 2 antibody; Protein kinase C binding protein RACK17 antibody; Protein kinase C-binding protein 2 antibody; Protein kinase C-binding protein RACK17 antibody; RACK17 antibody
-
反應種屬:Human
-
免疫原:A synthesized peptide from human OLIG2 protein
-
免疫原種屬:Homo sapiens (Human)
-
標記方式:Non-conjugated
-
克隆類型:Monoclonal
-
抗體亞型:Rabbit IgG
-
純化方式:Affinity-chromatography
-
克隆號:4A8
-
濃度:It differs from different batches. Please contact us to confirm it.
-
保存緩沖液:Rabbit IgG in 10mM phosphate buffered saline , pH 7.4, 150mM sodium chloride, 0.05% BSA, 0.02% sodium azide and 50% glycerol.
-
產品提供形式:Liquid
-
應用范圍:ELISA, IHC
-
推薦稀釋比:
Application Recommended Dilution IHC 1:50-1:200 -
Protocols:
-
儲存條件:Upon receipt, store at -20°C or -80°C. Avoid repeated freeze.
-
貨期:Basically, we can dispatch the products out in 1-3 working days after receiving your orders. Delivery time maybe differs from different purchasing way or location, please kindly consult your local distributors for specific delivery time.
-
用途:For Research Use Only. Not for use in diagnostic or therapeutic procedures.
相關產品
靶點詳情
-
功能:Required for oligodendrocyte and motor neuron specification in the spinal cord, as well as for the development of somatic motor neurons in the hindbrain. Functions together with ZNF488 to promote oligodendrocyte differentiation. Cooperates with OLIG1 to establish the pMN domain of the embryonic neural tube. Antagonist of V2 interneuron and of NKX2-2-induced V3 interneuron development.
-
基因功能參考文獻:
- indicate Olig2 as an onco-requisite factor in diffuse intrinsic pontine glioma PMID: 28339768
- OLIG2 immunoreactivity was observed in GABAergic cells of the proliferative zones of the MGE and septum, but not necessarily co-expressed with NKX2.1, and OLIG2 expression was also extensively seen in the LGE, CGE, and cortex PMID: 27905023
- Data suggest positive feedback loops including oligodendrocyte transcription factor 2 (OLIG2): loops of epigenetic regulation. PMID: 27447975
- Data show that oligodendrocyte transcription factor 2 (OLIG2) is epigenetically regulated via DNA methylation and expressed in a subset of AML patients. PMID: 28760688
- Ectopic expression of phosphomimetic Olig2 is sufficient to block TGF-beta2-mediated invasion. PMID: 27396340
- phosphorylation of the motif itself serves as a template to prime phosphorylation of additional serines and creates a highly charged "acid blob" in the amino terminus of Olig2. PMID: 28355568
- Olig2 was expressed in cord blood eosinophils on d 24, when cord blood eosinophils are considered fully differentiated, but no earlier. It was also expressed in human peripheral-blood eosinophils but not neutrophils, monocytes, lymphocytes, or cord blood mast cells. Many genes, including eosinophil surface molecules, were up-regulated along with OLIG2. OLIG2 shRNA or siRNA downregulated SIGLEC-8 mRNA and protein. PMID: 27154355
- Data indicate that transcription factors Sox10 and Olig2 play key roles in oligodendrocytes (OLs) specification. PMID: 27785726
- Olig2 expressions were successfully detected in 12 (15.58%) of 77 SVZ type II Glioblastomas (GBs) and 16 (21.3%) of 75 SVZ type III GBs. PMID: 27179219
- Olig2 was positive in 5 out of 44 ependymomas (11%) and 50 out of 54 (93%) non-ependymal tumors PMID: 26287936
- The present study is the first to verify the associations of SNPs rs762178, rs1059004, and rs9653711 of the OLIG2 gene with OCD in a Chinese Han population. Thus, OLIG2 might serve as a potential target for OCD treatment PMID: 26271930
- The results demonstrate that the expression of Olig2 in dental pulp stem cells reduces the expression of stem cell markers and induces the development of oligodendrocyte progenitors. PMID: 25966902
- High Olig2 expression is associated with oligodendrogliomas. PMID: 25085214
- OLIG2 is the most specific GSC marker. PMID: 25384509
- Our study suggests that CGT expression is controlled by balanced expression of the negative modulator OLIG2 and positive regulator Nkx2.2, providing new insights into how expression of GalCer is tightly regulated in cell-type- and stage-specific manners. PMID: 24821492
- Authors investigated the role of Pten in these two critical cellular compartments in adult and developing brains using methods for activation or suppression of PI3K signaling in glial and neuronal progenitors expressing Olig2. PMID: 24395742
- LGR5 expression may be functionally correlated with the neurogenic competence, and be regulated by OLIG2 in stem-like cells in glioblastoma. PMID: 23793848
- We found that the risk allele OLIG2 (A) was associated with reduced white matter integrity in the corona radiata bilaterally PMID: 22505278
- Olig2-positive cells in glioneuronal tumors, and some of them also exhibited neuronal features PMID: 23025580
- Report role of OLIG2 immunostaining pattern in diagnosing rare and glioblastoma variants. PMID: 23041832
- This study review OLIG2 have developmental functions in patterning, neuron subtype specification and the formation of oligodendrocytes and play the role in the postnatal brain during repair processes and in neurological disease states. PMID: 23165259
- OLIG2 over-expression inhibits neural progenitor proliferation through changes in potassium channel activity, thereby contributing to the reduced neuronal numbers and brain size in DS. PMID: 22343408
- Nogo-A is more useful and specific than Olig-2 in differentiating oligodendrogliomas from other gliomas. PMID: 21835431
- Olig2 expression is restricted to isolation and during membrane production of regenerating oligodendrocyte cultures isolated from white matter of medically intractable epilepsy patients. PMID: 21446039
- The Olig2 can induce desired neuronal lineages from most expressing neural progenitor cells by a mechanism resembling developmental binary cell-fate switching. PMID: 21624811
- suggesting that OLIG2 function in pediatric gliomas is cell lineage dependent PMID: 21193945
- analysis of conserved and non-conserved functional elements at the Olig1 and Olig2 locus PMID: 21206754
- 1p19q whole loss was also significantly associated with Olig2 overexpression, but was never observed in tumors overexpressing p53 protein in oligodendroglial tumors PMID: 20081802
- Analysis of 180 primary, metastatic, and non-neural human tumors shows OLIG2 is highly expressed in all diffuse gliomas. Immunohistochemistry and microarray analyses demonstrate higher OLIG2 in anaplastic oligodendrogliomas versus glioblastomas. PMID: 15198128
- Overexpression of OLIG2 was not only found in oligodendroglioma samples and normal neural tissue but also in a wide spectrum of malignant cell lines including leukemia, non-small cell lung carcinoma, melanoma, and breast cancer cell lines. PMID: 16103065
- Olig1 and Olig2 transcription factors in the human central nervous system are important not only for differentiation of the oligodendrocyte lineage, but they may also have a role in neural cell specification. PMID: 16267213
- Transcriptional regulation of transgenic Olig2 is involved in segregation of motoneuron precursor neuroblasts in the developing mouse spinal cord. PMID: 16469306
- A novel function of OLIG2 is to suppress glial tumor cell growth via cyclin-dependent kinase inhibitor p27. PMID: 16554441
- Findings show a general requirement for Olig2 function in glial cell development and highlight further roles for Olig transcription factors in neural progenitor cells. PMID: 16682644
- Data provide strong convergent evidence that variation in OLIG2 confers susceptibility to schizophrenia alone and as part of a network of genes implicated in oligodendrocyte function. PMID: 16891421
- Mutations in OLIG1 and OLIG2 are not likely to be associated with this subgroup of hypomyelinating disorders. PMID: 17171653
- OLIG2 expression was predominant over ID2 expression in oligodendroglial tumors, while ID2 expression was predominant over OLIG2 expression in astrocytic tumors. PMID: 17431671
- No significan correlation was found between proliferation index in pilocytic astrocytomas and Olig-2 expression. PMID: 17690840
- IL-13Ralpha2 and Olig2 have been identified and confirmed to be interesting candidate genes whose differential expression likely plays a role in malignant progression of astrocytomas PMID: 17917751
- absence of OLIG2 mutation in three PMLD patients presenting with a phenotype characterized by severe hypomyelination and motor neuron dysfunction PMID: 17918228
- The SNP rs762178 in OLIG2 seems to be a potential candidate in altering risk for schizophrenia in the Chinese Han population. PMID: 17934761
- OLIG2 suppresses the motile phenotype of glioblastoma cells by activating RhoA. PMID: 17951409
- We found that genetic polymorphisms in CNP (rs2070106) and OLIG2 (rs1059004 and PMID: 17964117
- analysis of Olig2 immunohistochemistry in microcystic areas might therefore be useful for the differential diagnosis of pilocytic astrocytoma and diffuse astrocytomas . PMID: 18312545
- Olig2-immunohistochemistry is useful and potentially more reliable than the epithelial membrane antigen-immunohistochemistry for the diagnosis of ependymoma PMID: 18552083
- Olig2-induced neural stem cell differentiation involves downregulation of Wnt pathway. PMID: 19093005
- Significant evidence for association of psychotic symptoms within cases was identified for two SNPs, rs762237 and rs2834072. PMID: 19477230
- transplantation of human neural stem cells genetically modified to express Olig2 transcription factor improved locomotor recovery and enhanced myelination in a rat contusive spinal cord injury model. PMID: 19772605
顯示更多
收起更多
-
相關疾病:A chromosomal aberration involving OLIG2 may be a cause of a form of T-cell acute lymphoblastic leukemia (T-ALL). Translocation t(14;21)(q11.2;q22) with TCRA.
-
亞細胞定位:Nucleus. Cytoplasm.
-
組織特異性:Expressed in the brain, in oligodendrocytes. Strongly expressed in oligodendrogliomas, while expression is weak to moderate in astrocytomas. Expression in glioblastomas highly variable.
-
數據庫鏈接:
Most popular with customers
-
-
YWHAB Recombinant Monoclonal Antibody
Applications: ELISA, WB, IHC, IF, FC
Species Reactivity: Human, Mouse, Rat
-
Phospho-YAP1 (S127) Recombinant Monoclonal Antibody
Applications: ELISA, WB, IHC
Species Reactivity: Human
-
-
-
-
-















