MSI2 Recombinant Monoclonal Antibody
-
中文名稱:MSI2 Recombinant Monoclonal Antibody
-
貨號:CSB-RA099573A0HU
-
規格:¥1320
-
圖片:
-
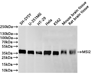
Western Blot
Positive WB detected in: SH-SY5Y whole cell lysate(30μg), U-251MG whole cell lysate(30μg), HT-29 whole cell lysate(30μg), Hela whole cell lysate(30μg), K562 whole cell lysate(30μg), Mouse brain tissue lysate(30μg), Rat brain tissue lysate(30μg)
All lanes: MSI2 antibody at 1:1000
Secondary
Goat polyclonal to rabbit IgG at 1/40000 dilution
Predicted band size: 35 kDa
Observed band size: 36 kDa
Exposure time:2min40s -
Overlay Peak curve showing Hela cells stained with CSB-RA099573A0HU (red line) at 1:100. The cells were fixed in 4% formaldehyde and permeated by 0.2% TritonX-100 for 10min. Then 10% normal goat serum to block non-specific protein-protein interactions followed by the antibody (1ug/1*106cells) for 45min at 4℃. The secondary antibody used was FITC-conjugated goat anti-rabbit IgG (H+L) at 1/200 dilution for 35min at 4℃.Control antibody (green line) was Rabbit IgG (1ug/1*106cells) used under the same conditions. Acquisition of >10,000 events was performed.
-
-
其他:
產品詳情
-
Uniprot No.:
-
基因名:MSI2
-
別名:RNA-binding protein Musashi homolog 2 (Musashi-2), MSI2
-
反應種屬:Human, Mouse, Rat
-
免疫原:A synthesized peptide from human MSI2 protein
-
免疫原種屬:Homo sapiens (Human)
-
標記方式:Non-conjugated
-
克隆類型:Monoclonal
-
抗體亞型:Rabbit IgG
-
純化方式:Affinity-chromatography
-
克隆號:1E3
-
濃度:It differs from different batches. Please contact us to confirm it.
-
保存緩沖液:Preservative: 0.03% Proclin 300
Constituents: 50% Glycerol, 0.01M PBS, PH 7.4 -
產品提供形式:Liquid
-
應用范圍:ELISA, WB, FC
-
推薦稀釋比:
Application Recommended Dilution WB 1:500-1:2000 FC 1:50-1:200 -
Protocols:
-
儲存條件:Upon receipt, store at -20°C or -80°C. Avoid repeated freeze.
-
貨期:Basically, we can dispatch the products out in 1-3 working days after receiving your orders. Delivery time maybe differs from different purchasing way or location, please kindly consult your local distributors for specific delivery time.
-
用途:For Research Use Only. Not for use in diagnostic or therapeutic procedures.
相關產品
靶點詳情
-
功能:RNA binding protein that regulates the expression of target mRNAs at the translation level. May play a role in the proliferation and maintenance of stem cells in the central nervous system.
-
基因功能參考文獻:
- This provides proof of concept for the development of Gn-lip as a molecular therapy for colon cancer with MSI1/MSI2 overexpression. PMID: 30097032
- MSI2 expression is increased in epithelial cells adjacent to breast carcinoma, and increases with increasing proximity. PMID: 29093438
- MSI2 expression was markedly increased in both PDAC cell lines and human PDAC specimens, and high MSI2 expression was associated with poor prognosis for PDAC. Forced MSI2 expression promoted PDAC proliferation, migration, and invasion in vitro and growth and metastasis in vivo, whereas knockdown of MSI2 expression did the opposite. Dysregulated KLF4/MSI2 signaling promotes PDAC progression and metastasis. PMID: 27449499
- MSI1 and MSI2 bind and regulate the mRNA stability and translation of proteins operating in essential oncogenic signaling pathways..This review provides a current overview of Musashi as a cancer driver and novel therapeutic target. PMID: 28143872
- High MSI2 expression is associated with esophageal squamous cell carcinoma. PMID: 29054489
- High Musashi2 expression is associated with pancreatic cancer. PMID: 27092875
- MSI2 regulates myeloid leukemia stem cells gene expression. PMID: 28436985
- these findings provide evidence that DBC2 suppresses tumorigenesis in breast cancer by ubiquitinating MSI2. PMID: 27941885
- Differential methylation of the MSI2 gene (chr17:55484635) in blood and islet cells is strongly related to hyperglycemia. PMID: 28542303
- our findings identified a novel regulatory mechanism of MSI2 as an upstream regulator of ESR1 and revealed the clinical relevance of the RNA-binding protein MSI2 in breast cancer. PMID: 27593929
- MSI2 and FLT3 are significantly co-regulated in human AML PMID: 28107692
- MSI2 provides essential support for TGFbetaR1/SMAD3 signaling and contributes to invasive adenocarcinoma of the lung and may serve as a predictive biomarker of NSCLC aggressiveness PMID: 27274057
- Overexpression of Msi2 significantly increased and silencing of Msi2 reduced the phosphorylation of JAK2 and its downstream effecter STAT3. PMID: 27322953
- MSI2 overexpression induces paclitaxel resistance in ovarian cancer. PMID: 27600258
- These results indicate that the human MSI2 gene might be a susceptibility gene for schizophrenia and encourage future research on the functional relationship between this gene and schizophrenia. PMID: 27059221
- our study indicates that MSI-2 overexpression is associated with an unfavorable prognosis and may be a potential biomarker for liver metastasis in colorectal cancer patients. PMID: 26775684
- The notion that regular and close monitoring of MSI2 mRNA levels in chronic myeloid leukemia patients might identify patients at risk of progressing to blast crisis was not supported by this study; an increase in MSI2 transcripts does not precede an increase in BCR-ABL1 mRNA levels. PMID: 27160312
- Concomitant loss of function of both MSI1 is sufficient to abrogate the growth of human colorectal cancer cells, and Msi gene deletion inhibits tumorigenesis in several mouse models of intestinal cancer. PMID: 26673327
- MSI2 directly attenuates aryl hydrocarbon receptor (AHR) signalling through post-transcriptional downregulation of canonical AHR pathway components in cord blood haematopoietic stem and progenitor cells PMID: 27121842
- Up-regulated MSI2 is associated with more aggressive chronic myeloid leukemia. PMID: 25363400
- This review highlights both the essential contribution of RBPs to posttranscriptional regulation and the importance of the Musashi family as master regulators of male gamete development--{REVIEW} PMID: 25851660
- These results confirm the association of MSI2 expression with outcome in adult B-ALL and demonstrate the utility of MSI2 as a clinical prognostic biomarker. PMID: 25090928
- Msi proteins contribute to an epithelial gene expression program in neural and mammary cell types. PMID: 25380226
- the MSI2 RNA-binding protein has a role in transformation of intestinal epithelium PMID: 25774828
- MSI2 controls efficient translation of the oncogenic leukemic stem cell self-renewal program. PMID: 25664853
- Acute myeloid leukemia patients have a higher level of MSI2 gene expression. PMID: 25449073
- MSI2 correlates with epithelial-mesenchymal transition and has the potential to be a new predictive biomarker of hepatocellular carcinoma prognosis and invasion. PMID: 24305552
- Report a statistical difference between the MSI2 gene expression in different gastric tumor grades, of note between grade I and grade II. PMID: 24002004
- The Msi2 plays an important role in leukemogenesis involving the MAPK signaling pathway, which indicates that Msi2 may be a novel target for leukemia treatment. PMID: 24076374
- a large set of SOX2-associated proteins in DAOY medulloblastoma cells PMID: 23667531
- Data suggest that high MSI2 expression could indicate poor prognosis and facilitate risk and treatment stratification in adult BCR-ABL-negative B-cells acute lymphoblastic leukemia (B-ALL). PMID: 23759245
- MSI2 is associated with shorter overall survival in acute myeloid leukemia patients. PMID: 23233047
- Down-modulation of MSI2 is associated with myelodysplastic syndromes and acute myeloid leukemia. PMID: 22784712
- Overexpression of MSI2 resulted in a decrease in MSI1 expression. PMID: 22113197
- High MSI2 is associated with acute myeloid leukemia. PMID: 21753187
- MSI2 has a crucial role in both normal and malignant hematopoiesis. PMID: 20823875
- Msi2 expression is not only highly upregulated during human chronic myeloid leukemia progression but is also an early indicator of poorer prognosis PMID: 20639863
- The EVI1 gene locus was rearranged in all 13 myeloid malignancies patients and was associated with EVI1 overexpression. In 9 out of 13 patients, the 17q breakpoints clustered in a 250 kb region on band 17q22 encompassing the MSI2 gene PMID: 18815193
顯示更多
收起更多
-
相關疾病:Chromosomal aberrations involving MSI2 may contribute to disease progression in chronic myeloid leukemia. Translocation t(7;17)(p15;q23) with HOXA9; translocation t(7;17)(q32-34;q23).
-
亞細胞定位:Cytoplasm.
-
蛋白家族:Musashi family
-
組織特異性:Ubiquitous; detected at low levels.
-
數據庫鏈接:
Most popular with customers
-
-
YWHAB Recombinant Monoclonal Antibody
Applications: ELISA, WB, IHC, IF, FC
Species Reactivity: Human, Mouse, Rat
-
Phospho-YAP1 (S127) Recombinant Monoclonal Antibody
Applications: ELISA, WB, IHC
Species Reactivity: Human
-
-
-
-
-















