MMP17 Recombinant Monoclonal Antibody
-
中文名稱:MMP17 Recombinant Monoclonal Antibody
-
貨號:CSB-RA932884A0HU
-
規格:¥1320
-
圖片:
-
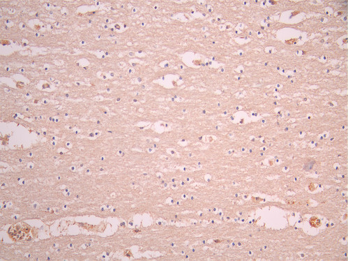
IHC image of CSB-RA932884A0HU diluted at 1:100 and staining in paraffin-embedded human brain tissue performed on a Leica BondTM system. After dewaxing and hydration, antigen retrieval was mediated by high pressure in a citrate buffer (pH 6.0). Section was blocked with 10% normal goat serum 30min at RT. Then primary antibody (1% BSA) was incubated at 4°C overnight. The primary is detected by a Goat anti-rabbit polymer IgG labeled by HRP and visualized using 0.05% DAB.
-
Overlay Peak curve showing A431 cells stained with CSB-RA932884A0HU (red line) at 1:100. The cells were fixed in 4% formaldehyde and permeated by 0.2% TritonX-100 for 10min. Then 10% normal goat serum to block non-specific protein-protein interactions followed by the antibody (1ug/1*106cells) for 45min at 4℃. The secondary antibody used was FITC-conjugated goat anti-rabbit IgG (H+L) at 1/200 dilution for 35min at 4℃.Control antibody (green line) was Rabbit IgG (1ug/1*106cells) used under the same conditions. Acquisition of >10, 000 events was performed.
-
-
其他:
產品詳情
-
Uniprot No.:
-
基因名:MMP17
-
別名:Matrix metalloproteinase 17 antibody; Matrix metalloproteinase 17 membrane inserted antibody; Matrix metalloproteinase-17 antibody; Membrane type 4 matrix metalloproteinase antibody; Membrane type matrix metalloproteinase 4 antibody; Membrane-type matrix metalloproteinase 4 antibody; Membrane-type-4 matrix metalloproteinase antibody; MMP 17 antibody; MMP-17 antibody; Mmp17 antibody; MMP17_HUMAN antibody; MT MMP 4 antibody; MT MMP4 antibody; MT-MMP 4 antibody; MT4 MMP antibody; MT4-MMP antibody; MT4MMP antibody; MTMMP 4 antibody; MTMMP4 antibody
-
反應種屬:Human
-
免疫原:A synthesized peptide from human MMP17 protein
-
免疫原種屬:Homo sapiens (Human)
-
標記方式:Non-conjugated
-
克隆類型:Monoclonal
-
抗體亞型:Rabbit IgG
-
純化方式:Affinity-chromatography
-
克隆號:3G3
-
濃度:It differs from different batches. Please contact us to confirm it.
-
保存緩沖液:Rabbit IgG in 10mM phosphate buffered saline , pH 7.4, 150mM sodium chloride, 0.05% BSA, 0.02% sodium azide and 50% glycerol.
-
產品提供形式:Liquid
-
應用范圍:ELISA, IHC, FC
-
推薦稀釋比:
Application Recommended Dilution IHC 1:50-1:200 FC 1:50-1:200 -
Protocols:
-
儲存條件:Upon receipt, store at -20°C or -80°C. Avoid repeated freeze.
-
貨期:Basically, we can dispatch the products out in 1-3 working days after receiving your orders. Delivery time maybe differs from different purchasing way or location, please kindly consult your local distributors for specific delivery time.
-
用途:For Research Use Only. Not for use in diagnostic or therapeutic procedures.
相關產品
靶點詳情
-
功能:Endopeptidase that degrades various components of the extracellular matrix, such as fibrin. May be involved in the activation of membrane-bound precursors of growth factors or inflammatory mediators, such as tumor necrosis factor-alpha. May also be involved in tumoral process. Cleaves pro-TNF-alpha at the '74-Ala-|-Gln-75' site. Not obvious if able to proteolytically activate progelatinase A. Does not hydrolyze collagen types I, II, III, IV and V, gelatin, fibronectin, laminin, decorin nor alpha1-antitrypsin.
-
基因功能參考文獻:
- MT4-MMP targeting may constitute a novel strategy to boost patrolling monocyte activity in early inflammation. PMID: 29500407
- Three forms of MT4-MMP with molecular masses of 45 kDa, 58 kDa and 69 kDa were detected. Further, we demonstrate that the 58 kDa form is the mature protein in the cell membrane, while the 69 kDa form is its precursor found in intracellular compartments. PMID: 28531887
- Low MT4-MMP expression is associated with erlotinib resistance in breast cancer. PMID: 28196064
- The MT4-MMP is internalized by the clathrin-independent carriers/GPI-enriched early endosomal compartments pathway, a mechanism that differs from that responsible for the internalization of other membrane-type MMP members. PMID: 26663028
- Screening of patients with inherited thoracic aortic aneurysms and dissections identified a missense mutation (R373H) in the MMP17 gene that prevented the expression of the protease in human transfected cells. PMID: 25963716
- A functional link between MT4-MMP and the growth factor receptor EGFR. PMID: 25320013
- CAV1 when found in lipid rafts does not allow the metalloproteinase MT4-MMP to localize into the lipid rafts, affecting its expression in the cell and probably its activity which is translated into the metastasis-associated activities of these cells. PMID: 22674854
- It identifies MT4-MMP as a key intrinsic tumor cell determinant that contributes to the elaboration of a permissive microenvironment for metastatic dissemination. PMID: 22262494
- MT4-MMP promotes lung metastasis by disturbing the tumour vessel integrity and thereby facilitating tumour cell intravasation PMID: 19426156
- The data presented here provide a new insight into the characteristics of MT4-MMP and highlight the common and distinct properties of the glycosylphosphatidylinositol-anchored membrane type-matrix metalloproteinases. PMID: 21828052
- Studies suggest a model of hypoxia induced metastasis through expression of HIF-1alpha, and SLUG regulation of MT4-MMP transcription. PMID: 20019845
- Data show that eosinophils constitutively express membrane type-4 matrix metalloproteinase (MT4-MMP), which is increased upon stimulation with tumor necrosis factor-alpha. PMID: 12962706
- MT4-MMP and the proteoglycan form of syndecan-1 have roles in ADAMTS-4 activation on the cell surface PMID: 14701864
顯示更多
收起更多
-
亞細胞定位:[Isoform Long]: Cell membrane; Lipid-anchor, GPI-anchor; Extracellular side. Secreted, extracellular space, extracellular matrix.
-
蛋白家族:Peptidase M10A family
-
組織特異性:Expressed in brain, leukocytes, colon, ovary testis and breast cancer. Expressed also in many transformed and non-transformed cell types.
-
數據庫鏈接:
Most popular with customers
-
-
YWHAB Recombinant Monoclonal Antibody
Applications: ELISA, WB, IHC, IF, FC
Species Reactivity: Human, Mouse, Rat
-
Phospho-YAP1 (S127) Recombinant Monoclonal Antibody
Applications: ELISA, WB, IHC
Species Reactivity: Human
-
-
-
-
-















