MARK3 Recombinant Monoclonal Antibody
-
中文名稱:MARK3 Recombinant Monoclonal Antibody
-
貨號:CSB-RA091918A0HU
-
規格:¥1320
-
圖片:
-
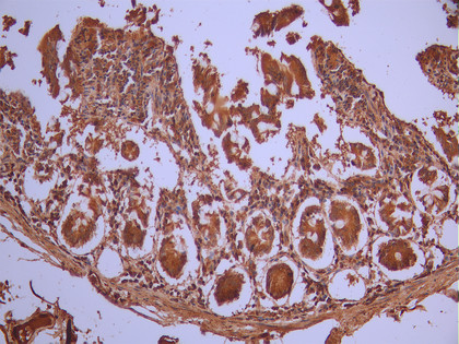
IHC image of CSB-RA091918A0HU diluted at 1:100 and staining in paraffin-embedded human small intestine tissue performed on a Leica BondTM system. After dewaxing and hydration, antigen retrieval was mediated by high pressure in a citrate buffer (pH 6.0). Section was blocked with 10% normal goat serum 30min at RT. Then primary antibody (1% BSA) was incubated at 4°C overnight. The primary is detected by a Goat anti-rabbit polymer IgG labeled by HRP and visualized using 0.05% DAB.
-
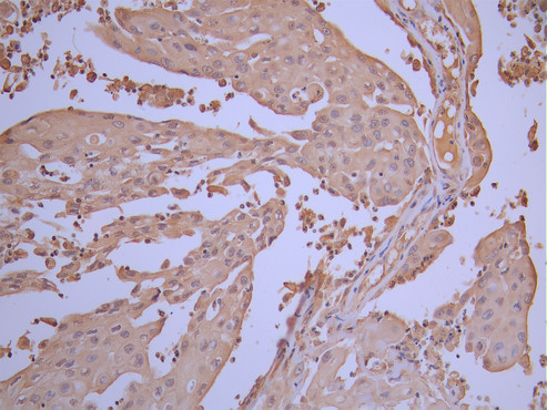
IHC image of CSB-RA091918A0HU diluted at 1:100 and staining in paraffin-embedded human cervical cancer performed on a Leica BondTM system. After dewaxing and hydration, antigen retrieval was mediated by high pressure in a citrate buffer (pH 6.0). Section was blocked with 10% normal goat serum 30min at RT. Then primary antibody (1% BSA) was incubated at 4°C overnight. The primary is detected by a Goat anti-rabbit polymer IgG labeled by HRP and visualized using 0.05% DAB.
-
Overlay Peak curve showing Hela cells stained with CSB-RA091918A0HU (red line) at 1:100. The cells were fixed in 4% formaldehyde and permeated by 0.2% TritonX-100 for 10min. Then 10% normal goat serum to block non-specific protein-protein interactions followed by the antibody (1ug/1*106cells) for 45min at 4℃. The secondary antibody used was FITC-conjugated goat anti-rabbit IgG (H+L) at 1/200 dilution for 35min at 4℃.Control antibody (green line) was Rabbit IgG (1ug/1*106cells) used under the same conditions. Acquisition of >10, 000 events was performed.
-
-
其他:
產品詳情
-
Uniprot No.:
-
基因名:
-
別名:C-TAK1 antibody; Cdc25C associated protein kinase 1 antibody; Cdc25C-associated protein kinase 1 antibody; cTAK1 antibody; ELKL motif kinase 2 antibody; EMK-2 antibody; Emk2 antibody; ETK 1 antibody; KIAA4230 antibody; KP78 antibody; MAP microtubule affinity regulating kinase 3 antibody; MAP/microtubule affinity-regulating kinase 3 antibody; Mark3 antibody; MARK3_HUMAN antibody; Par 1a antibody; PAR1A antibody; Protein kinase STK10 antibody; Ser/Thr protein kinase PAR-1 antibody; Serine threonine protein kinase p78 antibody; Serine/threonine-protein kinase p78 antibody; SerThr protein kinase PAR 1 antibody
-
反應種屬:Human
-
免疫原:A synthesized peptide from human MARK3 protein
-
免疫原種屬:Homo sapiens (Human)
-
標記方式:Non-conjugated
-
克隆類型:Monoclonal
-
抗體亞型:Rabbit IgG
-
純化方式:Affinity-chromatography
-
克隆號:5C7
-
濃度:It differs from different batches. Please contact us to confirm it.
-
保存緩沖液:Rabbit IgG in 10mM phosphate buffered saline , pH 7.4, 150mM sodium chloride, 0.05% BSA, 0.02% sodium azide and 50% glycerol.
-
產品提供形式:Liquid
-
應用范圍:ELISA, IHC, FC
-
推薦稀釋比:
Application Recommended Dilution IHC 1:50-1:200 FC 1:50-1:200 -
Protocols:
-
儲存條件:Upon receipt, store at -20°C or -80°C. Avoid repeated freeze.
-
貨期:Basically, we can dispatch the products out in 1-3 working days after receiving your orders. Delivery time maybe differs from different purchasing way or location, please kindly consult your local distributors for specific delivery time.
-
用途:For Research Use Only. Not for use in diagnostic or therapeutic procedures.
相關產品
靶點詳情
-
功能:Serine/threonine-protein kinase. Involved in the specific phosphorylation of microtubule-associated proteins for MAP2 and MAP4. Phosphorylates the microtubule-associated protein MAPT/TAU. Phosphorylates CDC25C on 'Ser-216'. Regulates localization and activity of some histone deacetylases by mediating phosphorylation of HDAC7, promoting subsequent interaction between HDAC7 and 14-3-3 and export from the nucleus. Negatively regulates the Hippo signaling pathway and antagonizes the phosphorylation of LATS1. Cooperates with DLG5 to inhibit the kinase activity of STK3/MST2 toward LATS1.
-
基因功能參考文獻:
- Authors identified a regulatory switch controlled by MARK3 that couples microtubules to the actin cytoskeleton to establish epithelial cell polarity through ARHGEF2. PMID: 29089450
- findings indicate that brain PP-1I associates with and is regulated by the associated protein kinases C-TAK1 and PFTK1 PMID: 25028520
- We have shown that serum ALP levels modified the association of MARK3 with bone mineral density in osetoporosis for Chinese patients. PMID: 23894155
- interaction between Mitf and C-TAK1 was demonstrated. PMID: 20214879
- results show that LKB1 can direct the phosphorylation of the serine-threonine kinase PAR1A PMID: 12879020
- identify sequence motifs required for stable C-TAK1 association and substrate phosphorylation PMID: 12941695
- The C-TAK1/p78 constitutively associates with and phosphorylates KSR1 generating a 14-3-3 binding site. PMID: 15182702
- Data show that the protein kinase Cdc25 C-associated kinase 1 (C-TAK1) is a binding partner and a substrate of Pim-1, and suggest a role for Pim-1 as a positive regulator at the G(2)/M transition of the cell cycle. PMID: 15319445
- 14-3-3 binding to MARK3 is dependent on phosphorylation. PMID: 16968750
- Class IIa histone deacetylases (HDACs) are subjected to signal-independent nuclear export that relies on their constitutive phosphorylation. EMK and C-TAK1, are identified as regulators of this process. PMID: 16980613
- identify a molecular mechanism through which the hMARK3 UBA domain has evolved to bind the kinase domain PMID: 17726107
- occurrence of an unusual TG 3' splice site in intron 3 PMID: 17672918
顯示更多
收起更多
-
亞細胞定位:Cell membrane; Peripheral membrane protein. Cell projection, dendrite. Cytoplasm.
-
蛋白家族:Protein kinase superfamily, CAMK Ser/Thr protein kinase family, SNF1 subfamily
-
組織特異性:Ubiquitous.
-
數據庫鏈接:
Most popular with customers
-
-
YWHAB Recombinant Monoclonal Antibody
Applications: ELISA, WB, IHC, IF, FC
Species Reactivity: Human, Mouse, Rat
-
Phospho-YAP1 (S127) Recombinant Monoclonal Antibody
Applications: ELISA, WB, IHC
Species Reactivity: Human
-
-
-
-
-















