LMO2 Recombinant Monoclonal Antibody
-
中文名稱:LMO2重組抗體
-
貨號:CSB-RA825959A0HU
-
規格:¥1320
-
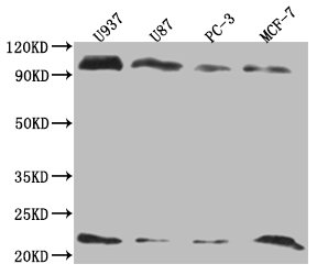
圖片:
-
其他:
產品詳情
-
產品描述:CSB-RA825959A0HU LMO2重組單克隆抗體是經ELISA和免疫印跡嚴格驗證的高特異性科研試劑。該抗體靶向LIM結構域轉錄因子LMO2,該蛋白在造血系統發育和T細胞白血病發生中起關鍵調控作用,其異常表達與多種惡性腫瘤的發生發展密切相關。本產品采用重組單克隆抗體技術,在免疫印跡實驗中展現出優異的特異性,能準確識別內源性LMO2蛋白,推薦使用1:500-1:2000稀釋度可獲得清晰的目標條帶,且不同批次間具有高度穩定性。適用于探索LMO2在腫瘤發生、造血分化等領域的分子機制研究,可作為細胞模型或組織樣本中LMO2蛋白表達的可靠檢測工具,為癌癥生物學、發育生物學等基礎研究提供重要技術支持。本產品經嚴格質控確保實驗可重復性,所有數據均來源于科研用途驗證,不適用于其他領域。
-
Uniprot No.:
-
基因名:LMO2
-
別名:Rhombotin-2 (Cysteine-rich protein TTG-2) (LIM domain only protein 2) (LMO-2) (T-cell translocation protein 2), LMO2, RBTN2 RBTNL1 RHOM2 TTG2
-
反應種屬:Human
-
免疫原:A synthesized peptide derived from human LMO2
-
免疫原種屬:Homo sapiens (Human)
-
標記方式:Non-conjugated
-
克隆類型:Monoclonal
-
抗體亞型:Rabbit IgG
-
純化方式:Affinity-chromatography
-
克隆號:9H9
-
濃度:It differs from different batches. Please contact us to confirm it.
-
保存緩沖液:Rabbit IgG in 10mM phosphate buffered saline , pH 7.4, 150mM sodium chloride, 0.05% BSA, 0.02% sodium azide and 50% glycerol.
-
產品提供形式:Liquid
-
應用范圍:ELISA, WB
-
推薦稀釋比:
Application Recommended Dilution WB 1:500-1:2000 -
Protocols:
-
儲存條件:Upon receipt, store at -20°C or -80°C. Avoid repeated freeze.
-
貨期:Basically, we can dispatch the products out in 1-3 working days after receiving your orders. Delivery time maybe differs from different purchasing way or location, please kindly consult your local distributors for specific delivery time.
-
用途:For Research Use Only. Not for use in diagnostic or therapeutic procedures.
相關產品
靶點詳情
-
功能:Acts with TAL1/SCL to regulate red blood cell development. Also acts with LDB1 to maintain erythroid precursors in an immature state.
-
基因功能參考文獻:
- the data in this study revealed a novel crosstalk between LMO2 and the Wnt signaling pathway during tumorigenesis and suggested that LMO2 might be a tumor suppressor in certain solid tumors. PMID: 27779255
- LMO2 has a predominantly cytoplasmic location in breast cancer cells. LMO2 interaction with cofilin1 regulates actin cytoskeleton dynamics, promoting tumor cell invasion and metastasis. PMID: 27880729
- These data indicate that Lhx2 is capable of blocking proliferation of T-ALL-derived cells by both LMO2-dependent and -independent means. We propose Lhx2 as a new molecular tool for anti-T-ALL drug development. PMID: 29278703
- stromal LMO2 may be responsible for zonal characteristic of Prostate cancer PMID: 27028859
- The transcriptional factor LMO2 regulates endothelial proliferation and angiogenesis in vitro. PMID: 27792641
- This article demonstrates a novel and unexpected function of the LMO2 oncogenic transcription factor in controlling DNA replication that we unravelled via an unbiased proteome-wide screen for LMO2-interacting partners. PMID: 26764384
- Findings suggest that LMO2 loss may be a good predictor for the presence of MYC translocation in large B-cell lymphoma. PMID: 28288039
- FOXP3 binds LMO2 in vitro, resulting in decreased interaction between LMO2 and TAL1, providing a molecular mechanism for FOXP3-mediated transcriptional modulation in T-ALL. PMID: 26686090
- recurrent activating intronic mutations of LMO2, a prominent oncogene in T-cell acute lymphoblastic leukemia (T-ALL). Heterozygous mutations were identified in PF-382 and DU.528 T-ALL cell lines in addition to 3.7% of pediatric (6 of 160) and 5.5% of adult (9 of 163) T-ALL patient samples. PMID: 28270453
- Data indicate a novel functional mechanism of LMO2 in facilitating the delivery of actin monomers to the branched microfilament and increasing lamellipodia/filopodia formation in basal-type breast cancer cells. PMID: 28170369
- we demonstrate previously unrecognized mechanisms by which LMO2 alters human T-cell development in vivo; these mechanisms correlate with human T-ALL leukemogenesis. PMID: 27302866
- this study revealed a novel function of LMO2 involving in the regulatory hierarchy of UBA6-USE1-FAT10ylation pathway by targeting the E1 enzyme UBA6. PMID: 27569286
- LMO2 is a useful marker for immunophenotypic assessment of thymic neoplasms. PMID: 26796495
- LMO2 was associated with increased levels of cytosolic p27(Kip1) protein. PMID: 26383528
- that suppression of MIR223 expression, as compared with controls, is associated with lack of differentiation and adverse cytogenetic profile, but unrelated with LMO2 protein expression or overall survival. PMID: 25710580
- Alanine scanning mutagenesis of the LIM interaction domain of LDB1 revealed a discrete motif, R(320)LITR, required for LMO2 binding. PMID: 26598604
- LMO2 expression was elevated in GBM tissues and inversely correlated with prognosis of GBM patients. Taken together, our findings describe novel dual roles of LMO2 to induce tumorigenesis and angiogenesis. PMID: 25721045
- Diagnostic Utility of the Germinal Center-associated Markers GCET1, HGAL, and LMO2 in Hematolymphoid Neoplasms. PMID: 25203428
- Data show that the Lim domain only 2 (LMO2) regulatory element (element-25) region consists of transcription factor GATA2-binding myeloid ennhancer and RUNX protein-binding T-cell repressor. PMID: 26161748
- Cryptic chromosomal rearrangements in the LMO2 gene were associated with T-cell acute lymphoblastic leukemia. PMID: 25682596
- results suggest that E47 has diverse effects in T-ALL but that functional deficiency of E47 is not a universal feature of Lmo2-induced T-ALL. PMID: 25499232
- HHEX is a direct transcriptional target of LMO2 consistent with its concordant gene expression. PMID: 24465765
- LMO2 is expressed in a subset of acute myeloid leukaemia patients and is associated with normal karyotype, which is different from T lymphoblastic lymphoma/leukaemia, where specific translocation (11p13) mediates protein expression. PMID: 24330148
- GATA2 and Lmo2 cooperatively regulate VEGF-induced angiogenesis and lymphangiogenesis via NRP2. PMID: 23892628
- In t(8;21) leukemia cells, LMO2 functions as a component of the stable AML1-ETO-containing transcription factor complex (AETFC). The AETFC components cooperatively regulate gene expression and contribute to leukemogenesis. PMID: 23812588
- a regulatory hierarchy of HOX control of LMO2 in normal development PMID: 23708655
- Staining for LMO2 in addition to CD10 and BCL6 facilitates the detection of a germinal center phenotype in follicular lymphoma PMID: 23897248
- HGAL and LMO2 may be useful adjuncts in the identification of follicular lymphoma of the nongastric gastrointestinal tract. PMID: 22914613
- LMO2 expression is a special feature of germinal center diffuse large B cell lymphomas. PMID: 22776842
- Transcriptional regulators cooperate to establish or maintain primitive stem cell-like signatures in leukemic cells. PMID: 23327922
- The new anti-LMO2 antibody can be applied confidently to routine sections, contributing to the differential diagnosis of several lymphoma subtypes, subtyping of DLBCLs and potential development of innovative therapies. PMID: 22394247
- Germline genetic variation in LMO2 was associated with diffuse large B-cell lymphoma prognosis and provided slightly stronger predictive ability relative to LMO2 immunohistochemistry status. PMID: 22066713
- evidence that the H3K9-me1/2 demethylase KDM3B might play a role in leukemogenesis via activation of lmo2 through interdependent actions with the histone acetyltransferase complex containing CBP PMID: 22615488
- Overexpression of LMO2 in diffuse large B-cell (DLBCL) cell lines results in centrosome amplification. PMID: 22517897
- B-cell acute lymphoblastic leukemia cases expressed variable levels of LMO2 depending on immunophenotypical and cytogenetic features PMID: 21459790
- SStudies suggest that the expression of LMO2 protein in lymphoma tissue biopsies predicts survival in patients with RA who have developed DLBCL PMID: 21375434
- Data suggest that both HGAL and LMO2 are directly regulated by the transcription repressor PRDM1--overexpression of PRDM1 down-regulates HGAL and LMO2; PRDM1 directly binds to promoters of both HGAL and LMO2 and represses genetic transcription. PMID: 21722313
- The measurement of a single gene expressed by tumor cells (LMO2) and a single gene expressed by the immune microenvironment (TNFRSF9) powerfully predicts overall survival in patients with diffuse large B-cell lymphoma. PMID: 21670469
- LMO2 is sensitive and specific marker for detecting follicular lymphoma in nodal and extranodal sites PMID: 21502424
- both Lmo2 and Bcl-2 are required for the action of E2A-HLF in leukemogenesis PMID: 21072044
- first structural model of the DNA-binding complex containing LMO2, LDB1, SCL/TAL1, and GATA-1 PMID: 21076045
- Multiple-wavelength anomalous dispersion (MAD) data have been collected at the zinc X-ray absorption edge to a resolution of 2.8 A and the data were used to solve the structure of the LMO2:Ldb1-LIM-interaction domain complex. PMID: 21045296
- LMO2 probably promotes angiogenesis by up-regulation of bFGF expression and thereby consequently influences progression of infantile haemangiomas PMID: 20955387
- As LMO2 controls hematopoiesis, its dysregulation is leukemogenic PMID: 21059912
- Overexpression of either KLF1 or LMO2 partially rescued the defect in erythropoiesis caused by c-myb silencing, whereas only KLF1 was also able to repress the megakaryocyte differentiation enhanced in Myb-silenced CD34+ cells. PMID: 20686118
- ectopically expressed LMO2 impaired the function of DeltaEF1 in both transcriptional and protein levels and identified DeltaEF1 as a novel pathogenic target of LMO2 in T-cell leukemia. PMID: 20731704
- a self-sustaining triad of LMO2/ERG/FLI1 stabilizes the expression of important mediators of the leukaemic phenotype such as HHEX/PRH. PMID: 20676125
- We report that LMO2 protein is expressed in a significant proportion of B-ALL and AML and the staining of LMO2 protein does not predict survival in acute leukemia. PMID: 20557670
- E2A-HLF promotes cell survival of t(17;19)- acute lymphoblastic leukemia cells by aberrantly up-regulating LMO2 expression PMID: 20519628
- Our results show that HGAL and LMO2 are sensitive markers for follicular lymphoma diagnosis. PMID: 20697248
顯示更多
收起更多
-
相關疾病:A chromosomal aberration involving LMO2 may be a cause of a form of T-cell acute lymphoblastic leukemia (T-ALL). Translocation t(11,14)(p13;q11) with TCRD.
-
亞細胞定位:Nucleus.
-
數據庫鏈接:
Most popular with customers
-
-
YWHAB Recombinant Monoclonal Antibody
Applications: ELISA, WB, IHC, IF, FC
Species Reactivity: Human, Mouse, Rat
-
Phospho-YAP1 (S127) Recombinant Monoclonal Antibody
Applications: ELISA, WB, IHC
Species Reactivity: Human
-
-
-
-
-















