KIF5B Recombinant Monoclonal Antibody
-
中文名稱:KIF5B Recombinant Monoclonal Antibody
-
貨號:CSB-RA987238A0HU
-
規格:¥1320
-
圖片:
-
Flow cytometric analysis of kinesin family member 5B expression in C2C12 cells using kinesin family member 5B antibody. Green, isotype control; red, kinesin family member 5B.
-
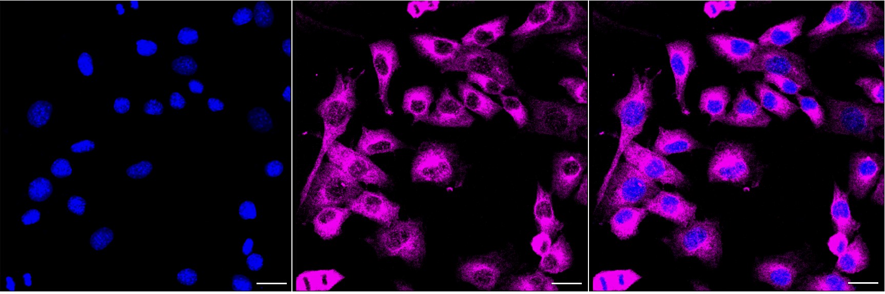
Immunocytochemical staining of C2C12 cells with Kinesin family member 5B antibody. Nuclei were stained blue with DAPI; Kinesin family member 5B was stained magenta with Alexa Fluor? 647. Images were taken using Leica stellaris 5. Protein abundance based on laser Intensity and smart gain: Medium. Scale bar, 20 μm.
-
Western blotting analysis using kinesin family member 5B antibody. Total cell lysates (30 μg) from various cell lines were loaded and separated by SDS-PAGE. The blot was incubated with kinesin family member 5B antibody and HRP-conjugated goat anti-rabbit secondary antibody respectively.
-
-
其他:
產品詳情
-
Uniprot No.:
-
基因名:
-
別名:KIF5B; Kinesin Family Member 5B; UKHC; KNS; Ubiquitous Kinesin Heavy Chain; KNS1; Conventional Kinesin Heavy Chain; Kinesin-1 Heavy Chain; Epididymis Secretory Protein Li 61; Kinesin 1 (110-120kD); Kinesin Heavy Chain; HEL-S-61; KINH
-
反應種屬:Human, Mouse, Rat
-
免疫原:Recombinant Human KIF5B protein
-
免疫原種屬:Homo sapiens (Human)
-
標記方式:Non-conjugated
-
克隆類型:Monoclonal
-
抗體亞型:Rabbit IgG
-
純化方式:Affinity-chromatography
-
克隆號:9B4
-
濃度:It differs from different batches. Please contact us to confirm it.
-
保存緩沖液:Rabbit IgG in PBS (pH 7.4) containing 50% glycerol, and 0.02% sodium azide.
-
產品提供形式:Liquid
-
應用范圍:ELISA, WB, FC, ICC
-
推薦稀釋比:
Application Recommended Dilution WB 1:1000-1:5000 FC 1:200-1:2000 ICC 1:100-1:1000 -
Protocols:
-
儲存條件:Upon receipt, store at -20°C or -80°C. Avoid repeated freeze.
-
貨期:Basically, we can dispatch the products out in 1-3 working days after receiving your orders. Delivery time maybe differs from different purchasing way or location, please kindly consult your local distributors for specific delivery time.
-
用途:For Research Use Only. Not for use in diagnostic or therapeutic procedures.
相關產品
靶點詳情
-
功能:Microtubule-dependent motor required for normal distribution of mitochondria and lysosomes. Can induce formation of neurite-like membrane protrusions in non-neuronal cells in a ZFYVE27-dependent manner. Regulates centrosome and nuclear positioning during mitotic entry. During the G2 phase of the cell cycle in a BICD2-dependent manner, antagonizes dynein function and drives the separation of nuclei and centrosomes. Required for anterograde axonal transportation of MAPK8IP3/JIP3 which is essential for MAPK8IP3/JIP3 function in axon elongation. Through binding with PLEKHM2 and ARL8B, directs lysosome movement toward microtubule plus ends (Probable). Involved in NK cell-mediated cytotoxicity. Drives the polarization of cytolytic granules and microtubule-organizing centers (MTOCs) toward the immune synapse between effector NK lymphocytes and target cells.
-
基因功能參考文獻:
- The KIF5B-MET variant was demonstrated to have an oncogenic function in cancer cells. PMID: 30015159
- the discovery of kinesore, a small molecule that in vitro inhibits kinesin-1 interactions with short linear peptide motifs found in organelle-specific cargo adaptors, yet activates kinesin-1's function of controlling microtubule dynamics in cells, demonstrating that these functions are mechanistically coupled. PMID: 29229862
- HIV-1 did not stimulate widespread FEZ1 phosphorylation but, instead, bound microtubule (MT) affinity-regulating kinase 2 (MARK2) to stimulate FEZ1 phosphorylation on viral cores. PMID: 28930676
- Study demonstrate that the kinesin and kinase domains of KIF5B-RET act together to establish an emergent microtubule and RAB-vesicle-dependent RET-SRC-EGFR-FGFR signaling hub. Study demonstrate that drugs designed to inhibit RET alone work poorly in KIF5B-RET-transformed cells. PMID: 28877471
- In particular, counteracting forces between minus-end-directed kinesin-14 and plus-end-directed kinesin-5 motors have recently been implicated in the regulation of microtubule nucleation. PMID: 28668932
- The studies describing the interplay between kinesin-1 and cytoplasmic dynein in the translocation of microtubules are discussed. PMID: 28284467
- Utilizing novel electron cryomicroscopy methods, the authors solved structures of microtubule-attached, dimeric kinesin bound to an ATP analog. They find that under these conditions, the kinesin dimer can attach to the microtubule with either one or two motor domains. PMID: 28504639
- cargo recognition and concurrent activation of kinesin-1 proceed in hierarchical stepwise fashion driven by a dynamic network of inter- and intra-molecular interactions. PMID: 28302907
- BORC and Arl8 function upstream of two structurally distinct kinesin types: kinesin-1 (KIF5B) and kinesin-3 (KIF1Bbeta and KIF1A). PMID: 27851960
- KIF5B gene rearrangement plays a role in the pathogenesis of papillary thyroid cancer. PMID: 28911147
- compared to those of brain, on MCF7 microtubules, kinesin-1's processivity is significantly reduced although its velocity is only slightly altered PMID: 25450690
- these observations identify a previously unappreciated role for KIF5B in mediating the Nup358 dependent nuclear import of the HIV-1 viral genome during infection. PMID: 27327622
- For Fat3, the Kif5-ID is regulated by alternative splicing, and the timecourse of splicing suggests that the distribution of Fat3 may switch between early and later stages of retinal development. In contrast, P75NTR binding to Kif5B is enhanced by tyrosine phosphorylation and thus has the potential to be dynamically regulated on a more rapid time scale PMID: 27788242
- Data suggest that light-chain subunits/fragments of kinesin-1 inhibit the pathological aggregation of amyloid(beta). PMID: 26991731
- In this work, we performed normal mode analysis with elastic network model using different conformation of kinesin to determine the effect of tail binding. PMID: 25676575
- KIF5B is essential for Ostm1 intracellular dispersion. PMID: 26598607
- differences between the structural kinetics of Eg5 and kinesin-1 yield insights into how these two motors adapt their enzymologies for their distinct functions PMID: 26627252
- data suggest one-step screening platform for KIF5B-RET as well as EGFR, K-RAS, ALK oncogenic mutations be necessary for lung adenocarcinoma patients PMID: 26268359
- Kinesin-1 is primarily front-head gated, and its neck linker length is tuned to enhance unidirectional processivity and velocity. PMID: 25902401
- the front head of a kinesin dimer is gated by the backward orientation of its neck linker until the rear head releases from the microtubule PMID: 25818289
- Myo1c significantly increases the frequency of kinesin-1-driven microtubule-based runs that begin at actin/microtubule intersections. The actin-binding protein tropomyosin 2 abolishes Myo1c-specific effects on both run initiation and run termination. PMID: 25660542
- A novel role of KIF5B was shown in the spatial regulation of Cdo-BNIP-2-p38MAPK signaling and discloses a previously unappreciated linkage between the intracellular transporting system and myogenesis regulation. PMID: 25378581
- This study has provided a comprehensive structural and dynamic picture of kinesin's major ATPase states. PMID: 25537000
- nesprin-dependent recruitment of kinesin-1 to the nuclear envelope through the interaction of a conserved LEWD motif with kinesin light chain might be a general mechanism for cell-type-specific nuclear positioning during development. PMID: 25516977
- Authors find that pharmacological or small interfering RNA (siRNA)-mediated inhibition of cytoplasmic dynein or the kinesin 1 heavy chain KIF5B delays HIV-1 uncoating. PMID: 25231297
- Our data suggest that KIF5B-RET promotes the cell growth and tumorigenicity of non-small cell lung cancers through multilevel activation of STAT3 signaling, providing possible strategies for the treatment of KIF5B-RET positive lung cancers. PMID: 25047660
- Kinesin-1 transports c-MYC for proteasomal degradation in the cytoplasm. PMID: 24821626
- Anti-oncogenic miR-203 had a pivotal role in melanoma through reducing melanosome transport and promoting melanogenesis by targeting kif5b and through negative regulation of the CREB1/MITF/Rab27a pathway. PMID: 23884313
- when cargo is transported by both dynein and phosphorylated kinesin, a common occurrence in the cell, there may be a bias that favors motion toward the minus-end of microtubules. PMID: 24072715
- Patients without KIF5B-RET fusions had a better prognosis than those with KIF5B-RET fusions (median survival, 52.6 months vs 21.0 months). PMID: 23378251
- Study found the secretion of calu-1/2-EGFP required microtubule integrity, and that calu-1/2-EGFP-containing vesicles were transported by the motor proteins Kif5b and cytoplasmic dynein. PMID: 22514732
- Nesca directly binds KIF5B, kinesin light-chain and syntaxin-1 PMID: 22404429
- Expression of exogenous KIF5B-RET, induced morphological transformation and anchorage-independent growth of NIH3T3 fibroblasts PMID: 22327624
- Data indicate that mutant KIF5B kinesin-1 binds ATP similarly in the presence of either metal ion, but its ATP hydrolysis activity is greatly diminished in the presence of Mg(2+). PMID: 22198464
- Arl8 and SKIP are required for lysosomes to distribute away from the microtubule-organizing center. We identify two kinesin light chain binding motifs in SKIP that are required for lysosomes to accumulate kinesin-1 and redistribute to the cell periphery. PMID: 22172677
- Kinesin-1-mediated capsid disassembly and disruption of the nuclear pore complex promote virus infection. PMID: 21925109
- findings show a bipartite tryptophan-based motif in vaccinia virus A36 is required for kinesin-1-dependent transport of the virus; bioinformatic analysis reveals that related bipartite tryptophan-based motifs are present in over 450 human proteins PMID: 21915095
- The conventional kinesin-microtubule binding free energy is dominated by van der Waals interactions and electrostatic interactions. PMID: 21910419
- The discovery of the novel KIF5B-ALK variant further consolidated the role of aberrant anaplastic lymphoma kinase signaling in lung carcinogenesis. PMID: 21656749
- the interaction between the kinesin-1 head and its regulatory tail domain PMID: 19348763
- a kinesin-1 tail fragment associates with microtubules with submicromolar affinity and binding is largely electrostatic PMID: 20071331
- This indicates that kinesin-1 facilitates the transport of SNAP-25 containing vesicles as a prerequisite to SNAP-25 driven membrane fusion events. PMID: 19913510
- Na,K-ATPase traffic toward the plasma membrane in alveolar epithelial cells is driven by kinesin-1, where KLC2 is the isoform regulating this process. PMID: 19773350
- links neurofibromin and merlin in a common cellular pathway of neurofibromatosis PMID: 12191989
- With residues 814-963 of human ubiquitous kinesin heavy chain (uKHC) used as bait, a synaptosome-associated protein of 25 kDa (SNAP25) has been identified as a kinesin-binding protein in a human brain cDNA library. PMID: 12475239
- Results identify the ribosome receptor, p180, as a binding partner of the kinesin heavy chain isoform KIF5B. PMID: 15184079
- CRMP-2 transports the Sra-1/WAVE1 complex to axons in a kinesin-1-dependent manner and thereby regulates axon outgrowth and formation PMID: 16260607
- Demonstrates the utility of screening for PDGFRA kinase domain overexpression in patients with IHES and has identified KIF5B as a third PDGFRA fusion partner in chronic myeloproliferative disorders. PMID: 16498388
- binding of the kinesin-binding domain of RanBP2 to KIF5B and KIF5C determines mitochondria localization and function PMID: 17887960
- We demonstrate that KIF5B mediates post-Golgi transport of an apical protein in epithelial cells, but only after polarity has developed. PMID: 17925227
顯示更多
收起更多
-
亞細胞定位:Cytoplasm, cytoskeleton. Cytolytic granule membrane. Lysosome membrane; Peripheral membrane protein; Cytoplasmic side.
-
蛋白家族:TRAFAC class myosin-kinesin ATPase superfamily, Kinesin family, Kinesin subfamily
-
數據庫鏈接:
Most popular with customers
-
-
YWHAB Recombinant Monoclonal Antibody
Applications: ELISA, WB, IHC, IF, FC
Species Reactivity: Human, Mouse, Rat
-
Phospho-YAP1 (S127) Recombinant Monoclonal Antibody
Applications: ELISA, WB, IHC
Species Reactivity: Human
-
-
-
-
-















