KAT8 Recombinant Monoclonal Antibody
-
中文名稱:KAT8重組抗體
-
貨號:CSB-RA694283A0HU
-
規格:¥1320
-
圖片:
-
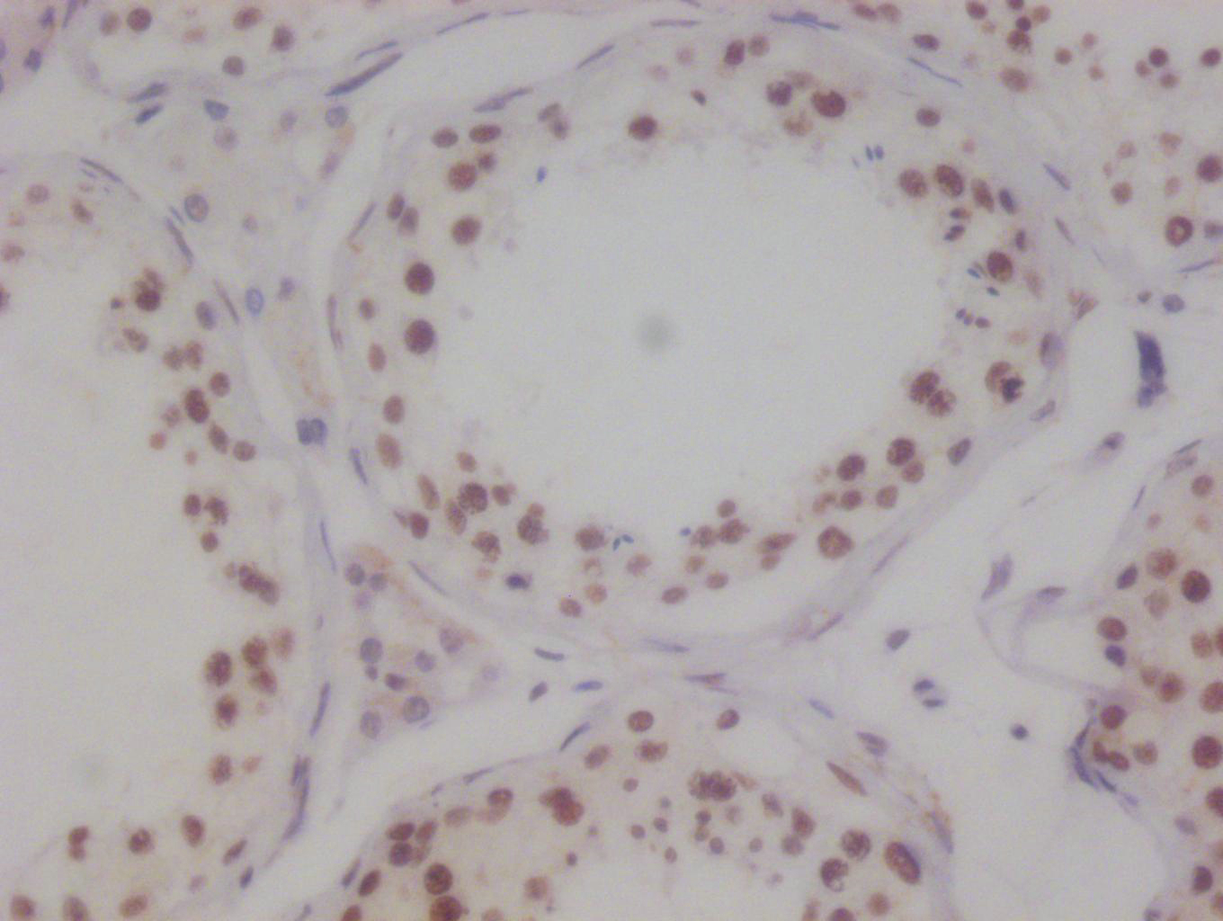
IHC image of CSB-RA694283A0HU diluted at 1:100 and staining in paraffin-embedded human testis tissue performed on a Leica BondTM system. After dewaxing and hydration, antigen retrieval was mediated by high pressure in a citrate buffer (pH 6.0). Section was blocked with 10% normal goat serum 30min at RT. Then primary antibody (1% BSA) was incubated at 4°C overnight. The primary is detected by a Goat anti-rabbit polymer IgG labeled by HRP and visualized using 0.05% DAB.
-
Immunofluorescence staining of HepG2 cell with CSB-RA694283A0HU at 1:50, counter-stained with DAPI. The cells were fixed in 4% formaldehyde and blocked in 10% normal Goat Serum. The cells were then incubated with the antibody overnight at 4°C. The secondary antibody was Alexa Fluor 587-congugated AffiniPure Goat Anti-Rabbit IgG(H+L).
-
-
其他:
產品詳情
-
產品描述:CSB-RA694283A0HU KAT8重組單克隆抗體是經過ELISA、免疫組化(IHC)和免疫熒光(IF)驗證的高特異性科研工具,適用于表觀遺傳調控相關研究。該抗體靶向KAT8蛋白(又稱MYST1),該蛋白作為組蛋白乙酰轉移酶復合體的核心組分,通過催化組蛋白H4的乙酰化修飾參與染色質結構重塑、基因轉錄激活及細胞周期調控等重要生物學過程。實驗數據顯示,該抗體在IHC應用中推薦使用1:50-1:200稀釋度,可清晰識別石蠟包埋組織切片中KAT8的亞細胞定位;在IF實驗中同樣以1:50-1:200稀釋比例展現優異的細胞核內信號特異性,適用于體外培養細胞的分析。其應用場景涵蓋表觀遺傳機制研究、基因表達調控網絡解析以及腫瘤發生發展相關分子通路探索,可為染色質動態修飾研究、干細胞分化模型構建等基礎科研領域提供可靠檢測支持。
-
Uniprot No.:
-
基因名:KAT8
-
別名:Histone acetyltransferase KAT8 (EC 2.3.1.48) (Lysine acetyltransferase 8) (MOZ, YBF2/SAS3, SAS2 and TIP60 protein 1) (MYST-1) (hMOF), KAT8, MOF MYST1
-
反應種屬:Human
-
免疫原:A synthesized peptide derived from human KAT8
-
免疫原種屬:Homo sapiens (Human)
-
標記方式:Non-conjugated
-
克隆類型:Monoclonal
-
抗體亞型:Rabbit IgG
-
純化方式:Affinity-chromatography
-
克隆號:7E11
-
濃度:It differs from different batches. Please contact us to confirm it.
-
保存緩沖液:Rabbit IgG in 10mM phosphate buffered saline , pH 7.4, 150mM sodium chloride, 0.05% BSA, 0.02% sodium azide and 50% glycerol.
-
產品提供形式:Liquid
-
應用范圍:ELISA, IHC, IF
-
推薦稀釋比:
Application Recommended Dilution IHC 1:50-1:200 IF 1:50-1:200 -
Protocols:
-
儲存條件:Upon receipt, store at -20°C or -80°C. Avoid repeated freeze.
-
貨期:Basically, we can dispatch the products out in 1-3 working days after receiving your orders. Delivery time maybe differs from different purchasing way or location, please kindly consult your local distributors for specific delivery time.
-
用途:For Research Use Only. Not for use in diagnostic or therapeutic procedures.
相關產品
靶點詳情
-
功能:Histone acetyltransferase which may be involved in transcriptional activation. May influence the function of ATM. As part of the MSL complex it is involved in acetylation of nucleosomal histone H4 producing specifically H4K16ac. As part of the NSL complex it may be involved in acetylation of nucleosomal histone H4 on several lysine residues. That activity is less specific than the one of the MSL complex. Can also acetylate TP53/p53 at 'Lys-120'.
-
基因功能參考文獻:
- Novel importin alpha1-specific nuclear localization signals were identified in the N-terminal of MOF. PMID: 28991411
- Data describe a trans-histone modification pathway involving PKN1/histone H3 threonine 11 phosphorylation followed by WDR5/MLL histone methyltransferase and KAT8/histone acetyltransferase recruitment to effect androgen-dependent gene activation and prostate cancer cell proliferation. PMID: 27268279
- These findings provide insight into the regulation of LSD1 and Epithelial-to-Mesenchymal Transition (EMT) and identify MOF as a critical suppressor of EMT and tumor progression. PMID: 27292636
- This work identifies MOF as a key regulator of cellular stress response in glomerular podocytes. PMID: 26387537
- recent results indicate MOF is an upstream regulator of the ATM (ataxia-telangiectasia mutated) protein, the loss of which is responsible for ataxia telangiectasia (AT). ATM is a key regulatory kinase that interacts with and phosphorylates multiple substrates that influence critical, cell-cycle control and DNA damage repair pathways in addition to other pathways. PMID: 27038808
- Histone acetyltransferase activity of MOF is required to sustain MLL-AF9 leukemia and may be important for multiple AML subtypes. PMID: 28202522
- these studies point to the critical and specific role of hMOF Lys-274 autoacetylation in hMOF stability and cognate substrate acetylation and argues that binding of Ac-CoA to hMOF likely drives Lys-274 autoacetylation for subsequent cognate substrate acetylation. PMID: 27382063
- MOF is a dual-transcriptional regulator of nuclear and mitochondrial genomes connecting epigenetics and metabolism. PMID: 27768893
- MOF is highly enriched in induced pluripotent stem cells (iPSCs), and MOF expression is upregulated during the reprogramming process. The ectopic expression of MOF promotes reprogramming. MOF affects Wdr5 and endogenous Oct4 expression. PMID: 26091365
- Along with the PHF20/MOF complex, G9a links the crosstalk between ERalpha methylation and histone acetylation that governs the epigenetic regulation of hormonal gene expression. PMID: 26960573
- Data found downregulation of hMOF in gastric cancer cells and tissues. Declined hMOF expression, but not high level of HDAC4, may account for global histone H4K16ac suggesting that loss of hMOF expression may be involved in gastric cancer progression. PMID: 25873202
- EZH2 (enhancer of zeste homolog 2) was up-regulated in human oral tongue squamous cell carcinoma tissues and its level positively correlated with level of hMOF. PMID: 26032517
- Mutant MOF-T392A expression abrogates DSB repair in S/G2 phase cells. MOF-T392A has delayed 53BP1 dissociation and decreased DNA association. PMID: 24953651
- Results show the expression of hMOF mRNA and protein was significantly downregulated in ovarian epithelial cancer tissues, and patients with high hMOF levels showed improved survival as compared to those with low hMOF levels. PMID: 25483274
- The histone acetyltransferase hMOF suppresses hepatocellular carcinoma growth by targeting the expression of SIRT6. PMID: 25181338
- Functional interactions of MYST1 with androgen receptor and NF-KB are critical for prostate cancer progression. PMID: 24702180
- hMOF was overexpressed in human non-small cell lung cancer and was a predictor of poor survival. PMID: 24571482
- low expression of hMOF was strongly correlated with tumor differentiation and survival of patients with gastric cancer. While in patients with renal cell carcinoma, downregulation of hMOF was connected to ccRCC and tissues with T1 tumor status. PMID: 24452485
- review of regulation and function PMID: 24452550
- MOF mediates Notch signaling by manipulating Histone H4 acetylation. PMID: 24898892
- MOF expression was down-regulated in failing hearts at protein and mRNA levels. PMID: 24802406
- The hMOF mediated S phase entry by regulating H4K16ac in the Skp2 promoter region in NSCLC cells. PMID: 23628702
- Our results demonstrate an important role of KAT8 in cancer PMID: 23638218
- induction of autophagy is coupled to reduction of histone H4 lysine 16 acetylation through downregulation of the histone acetyltransferase hMOF; and this histone modification regulates the outcome of autophagy PMID: 23863932
- new insights into the mechanism and function of MYST HAT autoacetylation. PMID: 22918831
- uncover novel pathways in which SIRT1 dynamically interacts with and regulates hMOF and TIP60 through deacetylation and provide additional mechanistic insights by which SIRT1 regulates DNA damage response PMID: 22586264
- MYST protein acetyltransferase activity requires active site lysine autoacetylation. PMID: 22020126
- RNAi-mediated silencing of MOF reduced both gene activation and tumor suppression by FOXP3, while both somatic mutations in clinical cancer samples and targeted mutation of FOXP3 in mouse prostate epithelial cells disrupted nuclear localization of MOF. PMID: 22152480
- hMOF is autoacetylated in vitro and in vivo, and SIRT1, the deacetylase for H4K16Ac, is responsible for deacetylating acetylated hMOF. PMID: 21502975
- hMOF employs a novel regulatory mechanism of acetyltransferase activities PMID: 21691301
- data indicate that H4K20me3 invokes gene repression by antagonizing hMOF-mediated H4K16Ac PMID: 21321083
- MOF activity was associated with general chromatin upon DNA damage and colocalized with the synaptonemal complex in male meiocytes. PMID: 20479123
- Although MSL-associated MOF acetylates nucleosomal histone H4 almost exclusively on lysine 16, NSL-associated MOF exhibits a relaxed specificity and also acetylates nucleosomal histone H4 on lysines 5 and 8. PMID: 20018852
- These results suggest that hMOF influences the function of ATM. PMID: 15923642
- hMOF has a role in DNA damage response during cell cycle progression. PMID: 16024812
- hMOF is an important component of many cellular processes and plays role the in cell malignant transformation. PMID: 17694080
- MOF is an essential factor for embryogenesis and oncogenesis PMID: 17967868
- downregulation of hMOF protein expression was associated with lower survival rates identifying hMOF as an independent prognostic marker for clinical outcome in univariate as well as multivariate analyses PMID: 18058815
- Data show that MOF acetylates TIP5, the largest subunit of NoRC, at a single lysine residue, K633, adjacent to the TIP5 RNA-binding domain, and that SIRT1 (removes the acetyl group from K633. PMID: 19578370
顯示更多
收起更多
-
亞細胞定位:Nucleus. Chromosome.
-
蛋白家族:MYST (SAS/MOZ) family
-
數據庫鏈接:
Most popular with customers
-
YWHAB Recombinant Monoclonal Antibody
Applications: ELISA, WB, IHC, IF, FC
Species Reactivity: Human, Mouse, Rat
-
Phospho-YAP1 (S127) Recombinant Monoclonal Antibody
Applications: ELISA, WB, IHC
Species Reactivity: Human
-
-
-
-
-
-















