ITGA4&ITGB7 Recombinant Monoclonal Antibody
-
中文名稱:ITGA4&ITGB7 Recombinant Monoclonal Antibody
-
貨號:CSB-RA011867MA1HU
-
規格:¥1320
-
圖片:
-
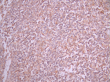
IHC image of CSB-RA011867MA1HU diluted at 1:50 and staining in paraffin-embedded human lymph node tissue performed on a Leica BondTM system. After dewaxing and hydration, antigen retrieval was mediated by high pressure in a citrate buffer (pH 6.0). Section was blocked with 10% normal goat serum 30min at RT. Then primary antibody (1% BSA) was incubated at 4°C overnight. The primary is detected by a Anti-Human lgG, Fcy Fragment Specific labeled by HRP and visualized using 0.05% DAB.
-
IHC image of CSB-RA011867MA1HU diluted at 1:50 and staining in paraffin-embedded human tonsil tissue performed on a Leica BondTM system. After dewaxing and hydration, antigen retrieval was mediated by high pressure in a citrate buffer (pH 6.0). Section was blocked with 10% normal goat serum 30min at RT. Then primary antibody (1% BSA) was incubated at 4°C overnight. The primary is detected by a Anti-Human lgG, Fcy Fragment Specific labeled by HRP and visualized using 0.05% DAB.
-
-
其他:
產品詳情
-
Uniprot No.:
-
基因名:ITGA4&ITGB7
-
別名:269C wild type antibody; Antigen CD49D, alpha 4 subunit of VLA 4 receptor antibody; CD49 antigen like family member D antibody; CD49 antigen-like family member D antibody; CD49d antibody; IA4 antibody; Integrin alpha 4 antibody; Integrin alpha 4 subunit antibody; Integrin alpha IV antibody; Integrin alpha-4 antibody; Integrin alpha-IV antibody; Integrin, alpha 4 (antigen CD49D, alpha 4 subunit of VLA 4 receptor) antibody; ITA4_HUMAN antibody; ITGA4 antibody; MGC90518 antibody; OTTHUMP00000205320 antibody; Very late activation protein 4 receptor, alpha 4 subunit antibody; VLA 4 subunit alpha antibody; VLA-4 subunit alpha antibody; VLA4 antibody;Gut homing receptor beta subunit antibody; Integrin beta 7 subunit antibody; Integrin beta-7 antibody; Integrin beta-P antibody; Integrin; beta 7 antibody; ITB7 antibody; ITB7_HUMAN antibody; Itgb7 antibody; Ly69 antibody; M290 IEL antigen antibody
-
反應種屬:Human
-
免疫原:Recombinant Human ITGA4&ITGB7 protein
-
免疫原種屬:Homo sapiens (Human)
-
標記方式:Non-conjugated
-
克隆類型:Monoclonal
-
抗體亞型:hIgG2
-
純化方式:Affinity-chromatography
-
克隆號:20C1
-
濃度:It differs from different batches. Please contact us to confirm it.
-
保存緩沖液:Preservative: 0.03% Proclin 300
Constituents: 50% Glycerol, 0.01M PBS, PH 7.4 -
產品提供形式:Liquid
-
應用范圍:ELISA, IHC
-
推薦稀釋比:
Application Recommended Dilution IHC 1:50-1:200 -
Protocols:
-
儲存條件:Upon receipt, store at -20°C or -80°C. Avoid repeated freeze.
-
貨期:Basically, we can dispatch the products out in 1-3 working days after receiving your orders. Delivery time maybe differs from different purchasing way or location, please kindly consult your local distributors for specific delivery time.
-
用途:For Research Use Only. Not for use in diagnostic or therapeutic procedures.
Most popular with customers
-
-
YWHAB Recombinant Monoclonal Antibody
Applications: ELISA, WB, IHC, IF, FC
Species Reactivity: Human, Mouse, Rat
-
Phospho-YAP1 (S127) Recombinant Monoclonal Antibody
Applications: ELISA, WB, IHC
Species Reactivity: Human
-
-
-
-
-















