INMT Recombinant Monoclonal Antibody
-
中文名稱:INMT重組抗體
-
貨號:CSB-RA583078A0HU
-
規格:¥1320
-
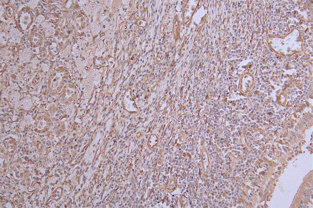
圖片:
-
IHC image of CSB-RA583078A0HU diluted at 1:50 and staining in paraffin-embedded human lung tissue performed on a Leica BondTM system. After dewaxing and hydration, antigen retrieval was mediated by high pressure in a citrate buffer (pH 6.0). Section was blocked with 10% normal goat serum 30min at RT. Then primary antibody (1% BSA) was incubated at 4°C overnight. The primary is detected by a Goat anti-rabbit polymer IgG labeled by HRP and visualized using 0.24% DAB.
-
Overlay Peak curve showing SH-SY5Y cells stained with CSB-RA583078A0HU (red line) at 1:50. The cells were fixed in 4% formaldehyde and permeated by 0.2% TritonX-100. Then 10% normal goat serum to block non-specific protein-protein interactions followed by the antibody (1μg/1*106cells) for 45min at 4℃. The secondary antibody used was FITC-conjugated Goat Anti-rabbit IgG(H+L) at 1:200 dilution for 35min at 4℃.Control antibody (green line) was rabbit IgG (1μg/1*106cells) used under the same conditions. Acquisition of >10,000 events was performed.
-
-
其他:
產品詳情
-
產品描述:INMT Recombinant Monoclonal Antibody(CSB-RA583078A0HU)是針對吲哚胺N-甲基轉移酶(INMT)的高特異性科研工具,該酶參與多種生物活性分子的甲基化代謝過程,尤其在神經遞質調控及內源性致幻化合物合成中發揮關鍵作用。本抗體經嚴格驗證,適用于ELISA、免疫組化(IHC)和流式細胞術(FC)等多種實驗體系,其中IHC推薦使用1:50-1:200稀釋度,可清晰顯示組織切片中INMT蛋白的亞細胞定位;FC在1:50-1:200范圍內表現出優異的信號分辨率,適用于細胞表面及胞內靶標檢測。實驗數據顯示,該抗體在不同物種來源的樣本中均能實現高信噪比檢測,批次間穩定性優異。其應用場景涵蓋神經生物學研究(如神經遞質代謝通路解析)、精神活性物質作用機制探索,以及腫瘤微環境中異常甲基化過程的分子機制研究等領域,為體外實驗提供可靠的蛋白表達分析工具。該產品嚴格遵循科研用途標準,適用于基礎研究中的蛋白功能驗證、信號通路研究及疾病相關分子標記物的檢測需求。
-
Uniprot No.:
-
基因名:INMT
-
別名:Indolethylamine N-methyltransferase (Indolamine N-methyltransferase) (EC 2.1.1.49) (EC 2.1.1.96) (Aromatic alkylamine N-methyltransferase) (Amine N-methyltransferase) (Arylamine N-methyltransferase) (Thioether S-methyltransferase) (TEMT), INMT
-
反應種屬:Human
-
免疫原:A synthesized peptide derived from Human INMT
-
免疫原種屬:Homo sapiens (Human)
-
標記方式:Non-conjugated
-
克隆類型:Monoclonal
-
抗體亞型:Rabbit IgG
-
純化方式:Affinity-chromatography
-
克隆號:31G7
-
濃度:It differs from different batches. Please contact us to confirm it.
-
保存緩沖液:Rabbit IgG in 10mM phosphate buffered saline , pH 7.4, 150mM sodium chloride, 0.05% BSA, 0.02% sodium azide and 50% glycerol.
-
產品提供形式:Liquid
-
應用范圍:ELISA, IHC, FC
-
推薦稀釋比:
Application Recommended Dilution IHC 1:50-1:200 FC 1:50-1:200 -
Protocols:
-
儲存條件:Upon receipt, store at -20°C or -80°C. Avoid repeated freeze.
-
貨期:Basically, we can dispatch the products out in 1-3 working days after receiving your orders. Delivery time maybe differs from different purchasing way or location, please kindly consult your local distributors for specific delivery time.
-
用途:For Research Use Only. Not for use in diagnostic or therapeutic procedures.
相關產品
靶點詳情
-
功能:Functions as thioether S-methyltransferase and is active with a variety of thioethers and the corresponding selenium and tellurium compounds, including 3-methylthiopropionaldehyde, dimethyl selenide, dimethyl telluride, 2-methylthioethylamine, 2-methylthioethanol, methyl-n-propyl sulfide and diethyl sulfide. Plays an important role in the detoxification of selenium compounds. Catalyzes the N-methylation of tryptamine and structurally related compounds.
-
基因功能參考文獻:
- study suggests that rs77743549 of INMT may be associated with the risk for Hirschsprung's disease PMID: 26183064
- genome-wide association studies in populations in Argentina/Bangladeshi: Three SNPs in INMT (rs6970396, rs1061644, rs4270015) are associated with production of trimethylselenonium (TMSe); urinary Se excretion is up-regulated in TMSe-producing women. PMID: 26537946
-
亞細胞定位:Cytoplasm.
-
蛋白家族:Class I-like SAM-binding methyltransferase superfamily, NNMT/PNMT/TEMT family
-
組織特異性:Widely expressed. The highest levels were in thyroid, adrenal gland, adult and fetal lung. Intermediate levels in heart, placenta, skeletal muscle, testis, small intestine, pancreas, stomach, spinal cord, lymph node and trachea. Very low levels in adult a
-
數據庫鏈接:
Most popular with customers
-
-
YWHAB Recombinant Monoclonal Antibody
Applications: ELISA, WB, IHC, IF, FC
Species Reactivity: Human, Mouse, Rat
-
-
-
-
-
-
VDAC1 Recombinant Monoclonal Antibody
Applications: ELISA, WB, IHC
Species Reactivity: Human, Mouse, Rat















