HNRNPA1 Recombinant Monoclonal Antibody
-
中文名稱:HNRNPA1 Recombinant Monoclonal Antibody
-
貨號:CSB-RA829343A0HU
-
規格:¥1320
-
圖片:
-
Western Blot
Positive WB detected in: HT-29 whole cell lysate(30μg), K562 whole cell lysate(30μg), Jurkat whole cell lysate(30μg)
All lanes:hnRNP A1 antibody at 1:1000
Secondary
Goat polyclonal to rabbit IgG at 1/40000 dilution
Predicted band size: 39 kDa
Observed band size: 34 kDa
Exposure time:2min -
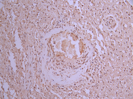
IHC image of CSB-RA829343A0HU diluted at 1:100 and staining in paraffin-embedded human glioma cancer performed on a Leica BondTM system. After dewaxing and hydration, antigen retrieval was mediated by high pressure in a citrate buffer (pH 6.0). Section was blocked with 10% normal goat serum 30min at RT. Then primary antibody (1% BSA) was incubated at 4°C overnight. The primary is detected by a Goat anti-rabbit polymer IgG labeled by HRP and visualized using 0.05% DAB.
-
IHC image of CSB-RA829343A0HU diluted at 1:100 and staining in paraffin-embedded human thyroid tissue performed on a Leica BondTM system. After dewaxing and hydration, antigen retrieval was mediated by high pressure in a citrate buffer (pH 6.0). Section was blocked with 10% normal goat serum 30min at RT. Then primary antibody (1% BSA) was incubated at 4°C overnight. The primary is detected by a Goat anti-rabbit polymer IgG labeled by HRP and visualized using 0.05% DAB.
-
Immunofluorescence staining of Hela cell with CSB-RA829343A0HU at 1:50, counter-stained with DAPI. The cells were fixed in 4% formaldehyde, permeabilized using 0.2% Triton X-100 and blocked in 10% normal Goat Serum. The cells were then incubated with the antibody overnight at 4°C. The secondary antibody was Alexa Fluor 488-congugated AffiniPure Goat Anti-Rabbit IgG(H+L).
-
Overlay Peak curve showing jurkat cells stained with CSB-RA829343A0HU (red line) at 1:100. The cells were fixed in 4% formaldehyde and permeated by 0.2% TritonX-100 for 10min. Then 10% normal goat serum to block non-specific protein-protein interactions followed by the antibody (1ug/1*106cells) for 45min at 4℃. The secondary antibody used was FITC-conjugated goat anti-rabbit IgG (H+L) at 1/200 dilution for 35min at 4℃.Control antibody (green line) was Rabbit IgG (1ug/1*106cells) used under the same conditions. Acquisition of >10,000 events was performed.
-
-
其他:
產品詳情
-
Uniprot No.:
-
基因名:HNRNPA1
-
別名:Heterogeneous nuclear ribonucleoprotein A1 (hnRNP A1) (Helix-destabilizing protein) (Single-strand RNA-binding protein) (hnRNP core protein A1) [Cleaved into: Heterogeneous nuclear ribonucleoprotein A1, N-terminally processed], HNRNPA1, HNRPA1
-
反應種屬:Human
-
免疫原:A synthesized peptide from human HNRNPA1 protein
-
免疫原種屬:Homo sapiens (Human)
-
標記方式:Non-conjugated
-
克隆類型:Monoclonal
-
抗體亞型:Rabbit IgG
-
純化方式:Affinity-chromatography
-
克隆號:9G12
-
濃度:It differs from different batches. Please contact us to confirm it.
-
保存緩沖液:Preservative: 0.03% Proclin 300
Constituents: 50% Glycerol, 0.01M PBS, PH 7.4 -
產品提供形式:Liquid
-
應用范圍:ELISA, WB, IHC, IF, FC
-
推薦稀釋比:
Application Recommended Dilution WB 1:500-1:2000 IHC 1:50-1:200 IF 1:50-1:200 FC 1:50-1:200 -
Protocols:
-
儲存條件:Upon receipt, store at -20°C or -80°C. Avoid repeated freeze.
-
貨期:Basically, we can dispatch the products out in 1-3 working days after receiving your orders. Delivery time maybe differs from different purchasing way or location, please kindly consult your local distributors for specific delivery time.
-
用途:For Research Use Only. Not for use in diagnostic or therapeutic procedures.
相關產品
靶點詳情
-
功能:Involved in the packaging of pre-mRNA into hnRNP particles, transport of poly(A) mRNA from the nucleus to the cytoplasm and may modulate splice site selection. May bind to specific miRNA hairpins. Binds to the IRES and thereby inhibits the translation of the apoptosis protease activating factor APAF1.; (Microbial infection) May play a role in HCV RNA replication.; (Microbial infection) Cleavage by Enterovirus 71 protease 3C results in increased translation of apoptosis protease activating factor APAF1, leading to apoptosis.
-
基因功能參考文獻:
- Moreover, SRSF10, hnRNP A1/A2 and Sam68 collaborate to drive the DNA damage-induced splicing response of several transcripts that produce components implicated in apoptosis, cell-cycle control and DNA repair. PMID: 29396485
- By using an integrative structural biology approach, we show that hnRNP A1 forms a 1:1 complex with pri-mir-18a where both RNA recognition motifs (RRMs) bind to cognate RNA sequence motifs in the terminal loop of pri-mir-18a. PMID: 29946118
- Data suggest that one way heterogeneous nuclear ribonucleoprotein A1 (HNRNPA1) regulates exon definition is to modulate the interaction of U2 small nuclear RNA auxiliary factor 2 (U2AF2) with decoy or bona fide 3' splice site (3'ss). PMID: 29650551
- Our results indicate that hnRNP A1 promotes cell survival and cell cycle progression following UVB radiation PMID: 29229447
- These findings indicated that hnRNPA1 is highly expressed in gastric cancer (GC)and promoted invasion by inducing Epithelialtomesenchymal transition (EMT) in GC cells. Thus, hnRNPA1 may be a potential therapeutic target for GC. PMID: 29484423
- A significant overlap between hnRNPA1 and DDX5 splicing targets and they share many closely linked binding sites. PMID: 30042133
- Results suggest that telomeric repeat-containing RNA (TERRA) regulates binding of heterogeneous nuclear ribonucleoprotein A1 to the telomere in a region surrounding the telomere, leading to a deeper understanding of the mechanism of TERRA function. PMID: 27958374
- mutation in HNRNPA1 located in the nuclear localization signal domain of hnRNPA1, enhances the recruitment of mutant hnRNPA1 into stress granules, indicating that an altered nuclear localization signal activity plays an essential role in amyotrophic lateral sclerosis pathogenesis. PMID: 29033165
- Rules of RNA specificity of hnRNP A1 revealed by global and quantitative analysis of its affinity distribution have been described. PMID: 28193894
- study showed that UVB induces alternative splicing of hdm2 by increasing the expression and the binding of hnRNP A1 to hdm2 full-length mRNA PMID: 26757361
- The authors show by NMR spectroscopy that both RNA recognition motifs of hnRNP A1 can bind simultaneously to a single bipartite motif of the human intronic splicing silencer ISS-N1, which controls survival of motor neuron exon 7 splicing. PMID: 28650318
- current knowledge of the involvement of hnRNPA1 in cancer, including its roles in regulating cell proliferation, invasiveness, metabolism, adaptation to stress and immortalization. PMID: 28791797
- Case Report: inflammatory myofibroblastic tumor (IMT) of the urinary bladder with a novel HNRNPA1-ALK fusion. PMID: 28504207
- EGF signaling upregulates an E3 ubiquitin (Ub) ligase adaptor, SPRY domain-containing SOCS box protein 1 (SPSB1), which recruits Elongin B/C-Cullin complexes to conjugate lysine 29-linked poly Ubiquitin chains onto hnRNP A1. PMID: 28084329
- hnRNP A1 directly binds to the 5' untranslated region of the RON mRNA and activates its translation through G-quadruplex RNA secondary structures PMID: 26930004
- We demonstrate that the wild-type sequence harbors an hnRNP A1 and hnRNP A2/B1-binding exonic splicing silencer (ESS) overlapping the 5'splice site (5'ss) that prevents pseudoexon inclusion.we demonstrate that splice switching oligonucleotide (SSO) mediated blocking of the pseudoexon 3'ss and 5'ss effectively restores normal GLA splicing PMID: 27595546
- The hnRNP A1 binding map can be used to identify potential targets for splice-switching oligonucleotides-based therapy. PMID: 27380775
- Biophysical titrations reveal that the 5'-AUAGC-3' bulge undergoes a conformational change to assemble a functional hnRNP A1-human enterovirus 71 RNA complex. PMID: 28625847
- PRMT5 regulates internal ribosome entry site-dependent translation via methylation of hnRNP A1. PMID: 28115626
- KRAS-E2F1-ILK-hnRNPA1 regulatory loop enables pancreatic cancer cells to promote oncogenic KRAS signaling and to interact with the tumor microenvironment to promote aggressive phenotypes. PMID: 26616862
- findings suggest that a new player, i.e., O-GlcNAcylation, regulates hnRNP A1 translocation and interaction with Trn1, possibly affecting its function PMID: 27913144
- The results of this study suggest that hnRNPA1 is the causative gene in the family with flail arm ALS. This further expanded the disease phenotype of hnRNPA1 mutations. PMID: 27694260
- Introduction of point mutations into the hnRNP A1-binding site or knockdown of hnRNP A1 expression promoted human papillomavirus 18 233;416 splicing and reduced E6 expression. PMID: 27489271
- Studies provides evidence that hnRNP A1 is a new autoantigen of Behcet's Disease and associated with deep vein thrombosis. PMID: 27211563
- these data suggest that the level of hnRNPA1 is strictly controlled to be within a certain range by the mRNA autoregulation in the physiological condition so that the cytotoxicity-causative alteration of hnRNPA1 expression does not take place. PMID: 28000042
- The CCAT1/miR-490/hnRNPA1 axis promotes gastric cancer migration, and it may have a possible diagnostic and therapeutic potential in gastric cancer. PMID: 26825578
- Data show that heterogeneous nuclear ribonucleoprotein A1 (hnRNP A1) unfolds the HRAS protein i-motif. PMID: 26674223
- We demonstrate that an hnRNPA1 and CBX5 bi-directional core promoter fragment does not comprise intrinsic capacity for specific CBX5 down-regulation in metastatic cells PMID: 26791953
- The sST2-5'UTR contains an IRES element, which is activated by a MEK/ERK-dependent increase in cytoplasmic localization of hnRNP A1 in response to FGF2, enhancing the translation of sST2. PMID: 27168114
- hnRNP A1 is implicated in the free fatty acid-induced expression of SREBP-1a and of its target genes as well as in the lipid accumulation in hepatocytes. PMID: 26869449
- analysis of HIV-1 intron splicing silencer and its interactions with the UP1 domain of hnRNPA1 PMID: 26607354
- Our results indicate that the knockdown of hnRNP A1 has a specific function on the splicing of CD44 in breast cancer cells. PMID: 26151392
- HNRNPA1 might play an important role in lung adenocarcinoma cells. PMID: 26581508
- MiR-26a and mir-584 inhibit the binding of hnRNP A1-CDK6 mRNA and induce colorectal cancer cell apoptosis. PMID: 26494299
- NF-kappaB2/p52:c-Myc:hnRNPA1 Pathway Regulates Expression of Androgen Receptor Splice Variants and Enzalutamide Sensitivity in Prostate Cancer PMID: 26056150
- lowering the levels of hnRNP A1/A2 elicits defective transcription elongation on a fraction of P-TEFb-dependent genes, hence favoring the transcription of P-TEFb-independent genes PMID: 26011126
- In neuroblastoma cells, hnRNP A1 directly interacts with Drp1 mRNA at its 3'UTR region, and enhances translation potential without affecting mRNA stability. PMID: 26518267
- The disordered regions of key RNP granule components and the full-length granule protein hnRNPA1 can phase separate in vitro, producing dynamic liquid droplets. PMID: 26412307
- ALS-linked mutations in ubiquilin-2 or hnRNPA1 reduce interaction between ubiquilin-2 and hnRNPA1 PMID: 25616961
- The marked loss of hnRNPA1 in motor neurons with concomitant cytoplasmic aggregation of TDP-43 may represent a severe disturbance of mRNA processing, suggesting a key role in progressive neuronal death in amyotrophic lateral sclerosis . PMID: 25338872
- These findings suggested that hnRNP A1 plays key roles in the regulation of cell cycle progression and pathogenesis of Oral squamous cell carcinoma . PMID: 25752295
- Its mutation is proved to be a rare cause of amyotrophic lateral sclerosis, frontotemporal dementia, and inclusion body myopathy. in the nertherlands. PMID: 24612671
- miR-18a induces the apoptosis of colon cancer cells by directly binding to oncogenic hnRNP A1. PMID: 24166503
- Its mutation is rare in patients with frontotemporal lobar degeneration. PMID: 24119545
- Data reveal three distinct enthalpic contributions from the interactions of hnRNP Al (UP1) with the Na+ form of G-quadruplex DNA. PMID: 24831962
- findings show HNRNPA1 modulates expression of an alternatively spliced transcript of HMGCR by regulating splicing and altering RNA stability, resulting in reduced HMGCR enzyme activity and increased LDL-Cholesterol uptake; results suggest HNRNPA1 plays a role in the variation of cardiovascular disease risk and statin response PMID: 24001602
- HNRNPA1 is a novel transcriptional regulator of IL-6 expression, acting via the 5'-flanking sequence of the gene. PMID: 23985572
- The results describe a UP1 binding mechanism that is likely different from current models used to explain the alternative splicing properties of hnRNP A1. PMID: 24628426
- This functional hnRNP A1 deletion mutant is similar to a predicted hnRNP A1 isoform, which had not been previously experimentally characterized. PMID: 24530421
- The results of this study suggested that mutations in hnRNPA1, A2/B1, and A3 genes are a rare finding in amyotrophic lateral sclerosis. PMID: 23827524
顯示更多
收起更多
-
相關疾病:Inclusion body myopathy with early-onset Paget disease with or without frontotemporal dementia 3 (IBMPFD3); Amyotrophic lateral sclerosis 20 (ALS20)
-
亞細胞定位:Nucleus. Cytoplasm.; Cytoplasm.
-
數據庫鏈接:
Most popular with customers
-
YWHAB Recombinant Monoclonal Antibody
Applications: ELISA, WB, IHC, IF, FC
Species Reactivity: Human, Mouse, Rat
-
Phospho-YAP1 (S127) Recombinant Monoclonal Antibody
Applications: ELISA, WB, IHC
Species Reactivity: Human
-
-
-
-
-
-















