HIST1H1C Recombinant Monoclonal Antibody
-
中文名稱:HIST1H1C重組抗體
-
貨號:CSB-RA072684A0HU
-
規格:¥1320
-
圖片:
-
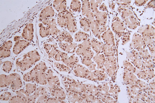
IHC image of CSB-RA072684A0HU diluted at 1:50 and staining in paraffin-embedded human stomach tissue performed on a Leica BondTM system. After dewaxing and hydration, antigen retrieval was mediated by high pressure in a citrate buffer (pH 6.0). Section was blocked with 10% normal goat serum 30min at RT. Then primary antibody (1% BSA) was incubated at 4°C overnight. The primary is detected by a Goat anti-rabbit polymer IgG labeled by HRP and visualized using 0.32% DAB.
-
Immunofluorescence staining of Hela with CSB-RA072684A0HU at 1:30, counter-stained with DAPI. The cells were fixed in 4% formaldehyde and blocked in 10% normal Goat Serum. The cells were then incubated with the antibody overnight at 4°C. The secondary antibody was Alexa Fluor 504-congugated AffiniPure Goat Anti-Rabbit IgG(H+L).
-
Overlay Peak curve showing Hela cells stained with CSB-RA072684A0HU (red line) at 1:50. The cells were fixed in 4% formaldehyde and permeated by 0.2% TritonX-100. Then 10% normal goat serum to block non-specific protein-protein interactions followed by the antibody (1μg/1*106cells) for 45min at 4℃. The secondary antibody used was FITC-conjugated Goat Anti-rabbit IgG(H+L) at 1:200 dilution for 35min at 4℃.Control antibody (green line) was rabbit IgG (1μg/1*106cells) used under the same conditions. Acquisition of >10,000 events was performed.
-
-
其他:
產品詳情
-
產品描述:CSB-RA072684A0HU是針對HIST1H1C靶點開發的重組單克隆抗體,可特異性識別組蛋白H1家族成員H1.2(HIST1H1C)。該蛋白作為連接組蛋白核心成員,參與調控染色質高級結構和基因轉錄活性,在細胞分化及表觀遺傳調控中發揮重要作用。本抗體通過重組表達技術制備,具有高批次一致性和低交叉反應性,經ELISA、免疫組化(IHC)、免疫熒光(IF)和流式細胞術(FC)等多平臺驗證,結果顯示其能清晰定位細胞核內靶蛋白,適用于染色質動態分析、細胞周期研究及表觀遺傳學相關機制探索。推薦使用稀釋比例為IHC 1:50-200、IF 1:50-200、FC 1:50-200,可穩定檢測多種哺乳動物細胞及組織樣本。該產品適用于基礎科研領域,包括但不限于核小體結構解析、基因沉默機制研究以及腫瘤發生發展過程中染色質重塑相關實驗,為表觀遺傳學與細胞生物學研究提供可靠工具。
-
Uniprot No.:
-
基因名:
-
別名:Histone H1.2 (Histone H1c) (Histone H1d) (Histone H1s-1), HIST1H1C, H1F2
-
反應種屬:Human
-
免疫原:A synthesized peptide derived from Human HIST1H1C
-
免疫原種屬:Homo sapiens (Human)
-
標記方式:Non-conjugated
-
克隆類型:Monoclonal
-
抗體亞型:Rabbit IgG
-
純化方式:Affinity-chromatography
-
克隆號:16H4
-
濃度:It differs from different batches. Please contact us to confirm it.
-
保存緩沖液:Rabbit IgG in 10mM phosphate buffered saline , pH 7.4, 150mM sodium chloride, 0.05% BSA, 0.02% sodium azide and 50% glycerol.
-
產品提供形式:Liquid
-
應用范圍:ELISA, IHC, IF, FC
-
推薦稀釋比:
Application Recommended Dilution IHC 1:50-1:200 IF 1:50-1:200 FC 1:50-1:200 -
Protocols:
-
儲存條件:Upon receipt, store at -20°C or -80°C. Avoid repeated freeze.
-
貨期:Basically, we can dispatch the products out in 1-3 working days after receiving your orders. Delivery time maybe differs from different purchasing way or location, please kindly consult your local distributors for specific delivery time.
-
用途:For Research Use Only. Not for use in diagnostic or therapeutic procedures.
相關產品
靶點詳情
-
功能:Histone H1 protein binds to linker DNA between nucleosomes forming the macromolecular structure known as the chromatin fiber. Histones H1 are necessary for the condensation of nucleosome chains into higher-order structured fibers. Acts also as a regulator of individual gene transcription through chromatin remodeling, nucleosome spacing and DNA methylation.
-
基因功能參考文獻:
- results define a network of E2F target genes as susceptible to the regulatory influence of H1.2, where H1.2 augments global association of pRb with chromatin, enhances transcriptional repression by pRb, and facilitates pRb-dependent cell-cycle arrest PMID: 28614707
- BRG1 participates in gene repression by interacting with H1.2, facilitating its deposition and stabilizing nucleosome positioning around the transcription start site. PMID: 27390128
- Results show that histones H1.2 and H1.4 were observed in MDA-MB-231 metastatic breast cancer cells. The phosphorylation at S173 of histone H1.2 and S172, S187, T18, T146, and T154 of H1.4 significantly increases during M phase suggesting that these events are cell cycle-dependent. Also, the study reports the observation of the H1.2 SNP variant A18V in MCF-10A cells. PMID: 26209608
- Integration with apoptotic intermediates (via C-terminal tail interactions) may constitute a more generalized function of linker histone isoforms in apoptotic cascades. PMID: 24525734
- Histone H1.2-T165 post translational modifications are dispensable for chromatin binding and cell proliferation while the H1.4-K26 modifications are essential for proper cell cycle progression. PMID: 24873882
- H1.2 interacts with Cul4A and PAF1 to activate developmental regulatory genes. PMID: 24360965
- H1.2 is less abundant than other histone H1 variants at the transcription start sites of inactive genes, and promoters enriched in H1.2 are different from those enriched in other histone H1 variants and tend to be repressed. PMID: 24476918
- Mutations in linker histone genes HIST1H1 B, C, D, and E; OCT2 (POU2F2); IRF8; and ARID1A underlying the pathogenesis of follicular lymphoma. PMID: 24435047
- These data suggest that p53 acetylation-H1.2 phosphorylation cascade serves as a unique mechanism for triggering p53-dependent DNA damage response pathways. PMID: 22249259
- confirmed N-terminal acetylation on all isoforms plus a single internal acetylation site; phosphorylation sites were located on peptides containing the cyclin dependent kinase (CDK) consensus motif PMID: 15595731
- The binding of histone H1 to a general amyloid-like motif indicates that histone H1 may play an important common role in diseases associated with amyloid-like fibrils. PMID: 16854430
- Histone H1.2 was translocated from the nucleus to the mitochondria after treatment with bleomycin and co-localized with Bak in mitochondria. PMID: 17879944
- that the recruitment of YB1, PURalpha, and H1.2 to the p53 target gene Bax is required for repression of p53-induced transcription. PMID: 18258596
顯示更多
收起更多
-
亞細胞定位:Nucleus. Chromosome. Note=Mainly localizes in euchromatin. Distribution goes in parallel with DNA concentration.
-
蛋白家族:Histone H1/H5 family
-
數據庫鏈接:
Most popular with customers
-
-
Phospho-YAP1 (S127) Recombinant Monoclonal Antibody
Applications: ELISA, WB, IHC
Species Reactivity: Human
-
-
-
-
-
-















