HAT1 Recombinant Monoclonal Antibody
-
中文名稱:HAT1 Recombinant Monoclonal Antibody
-
貨號:CSB-RA172317A0HU
-
規格:¥1320
-
圖片:
-
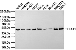
Western Blot
Positive WB detected in: Jurkat whole cell lysate(30μg), HEK293 whole cell lysate(30μg), A-431 whole cell lysate(30μg), MCF-7 whole cell lysate(30μg), HeLa whole cell lysate(30μg), PC-3 whole cell lysate(30μg), HepG2 whole cell lysate(30μg), NIH/3T3 whole cell lysate(30μg), THP-1 whole cell lysate(30μg)
All lanes: KAT1 antibody at 1:1000
Secondary
Goat polyclonal to rabbit IgG at 1/50000 dilution
Predicted band size: 50 kDa
Observed band size: 50 kDa
Exposure time: 3min -
IHC image of CSB-RA172317A0HU diluted at 1:100 and staining in paraffin-embedded human stomach tissue performed on a Leica BondTM system. After dewaxing and hydration, antigen retrieval was mediated by high pressure in a citrate buffer (pH 6.0). Section was blocked with 10% normal goat serum 30min at RT. Then primary antibody (1% BSA) was incubated at 4°C overnight. The primary is detected by a Goat anti-rabbit polymer IgG labeled by HRP and visualized using 0.05% DAB.
-
Overlay Peak curve showing HepG2 cells stained with CSB-RA172317A0HU (red line) at 1:100. The cells were fixed in 4% formaldehyde and permeated by 0.2% TritonX-100 for 10min. Then 10% normal goat serum to block non-specific protein-protein interactions followed by the antibody (1ug/1*106cells) for 45min at 4℃. The secondary antibody used was FITC-conjugated goat anti-rabbit IgG (H+L) at 1/200 dilution for 35min at 4℃.Control antibody (green line) was Rabbit IgG (1ug/1*106cells) used under the same conditions. Acquisition of >10,000 events was performed.
-
-
其他:
產品詳情
-
Uniprot No.:
-
基因名:
-
別名:HAT 1 antibody; hat1 antibody; HAT1_HUMAN antibody; Histidine aminotransferase 1 antibody; Histone acetyltransferase 1 antibody; Histone acetyltransferase 1 antibody; Histone acetyltransferase type B catalytic subunit antibody; KAT1 antibody
-
反應種屬:Human, Mouse
-
免疫原:A synthesized peptide derived from human HAT1
-
免疫原種屬:Homo sapiens (Human)
-
標記方式:Non-conjugated
-
克隆類型:Monoclonal
-
抗體亞型:Rabbit IgG
-
純化方式:Affinity-chromatography
-
克隆號:4A10
-
濃度:It differs from different batches. Please contact us to confirm it.
-
保存緩沖液:Rabbit IgG in 10mM phosphate buffered saline , pH 7.4, 150mM sodium chloride, 0.05% BSA, 0.02% sodium azide and 50% glycerol.
-
產品提供形式:Liquid
-
應用范圍:ELISA, WB, IHC, FC
-
推薦稀釋比:
Application Recommended Dilution WB 1:500-1:2000 IHC 1:50-1:200 FC 1:50-1:200 -
Protocols:
-
儲存條件:Upon receipt, store at -20°C or -80°C. Avoid repeated freeze.
-
貨期:Basically, we can dispatch the products out in 1-3 working days after receiving your orders. Delivery time maybe differs from different purchasing way or location, please kindly consult your local distributors for specific delivery time.
-
用途:For Research Use Only. Not for use in diagnostic or therapeutic procedures.
相關產品
靶點詳情
-
功能:Histone acetyltransferase that plays a role in different biological processes including cell cycle progression, glucose metabolism, histone production or DNA damage repair. Coordinates histone production and acetylation via H4 promoter binding. Acetylates histone H4 at 'Lys-5' (H4K5ac) and 'Lys-12' (H4K12ac) and, to a lesser extent, histone H2A at 'Lys-5' (H2AK5ac). Drives H4 production by chromatin binding to support chromatin replication and acetylation. Since transcription of H4 genes is tightly coupled to S-phase, plays an important role in S-phase entry and progression. Promotes homologous recombination in DNA repair by facilitating histone turnover and incorporation of acetylated H3.3 at sites of double-strand breaks. In addition, acetylates other substrates such as chromatin-related proteins. Acetylates also RSAD2 which mediates the interaction of ubiquitin ligase UBE4A with RSAD2 leading to RSAD2 ubiquitination and subsequent degradation.; (Microbial infection) Contributes to hepatitis B virus (HBV) replication by acetylating histone H4 at the sites of 'Lys-5' and 'Lys-12' on the covalently closed circular DNA (cccDNA) minichromosome leading to its accumulation within the host cell.
-
基因功能參考文獻:
- The expression of HAT1 and MYST1, did not differ between drug-sensitive and -resistant cells PMID: 18458078
- Human histone acetyltransferase 1 (Hat1) acetylates lysine 5 of histone H2A in vivo. PMID: 24682716
- The high-resolution crystal structure of a Hat1p/Hat2p/CoA/H4 peptide complex was solved and it was found that the H4 tail interacts with both Hat1p and Hat2p, by which substrate recruitment is facilitated. It was discovered that H3 N-terminal peptides can bind to the Hat2p WD40 domain. PMID: 24835250
- Signalling from Toll-like or TNF-alpha receptors triggers the calcium/calmodulin-dependent protein kinase (CaMK2) to activate histone acetyltransferase-1 (HAT1), which then acetylates the transcriptional regulator PLZF. Acetylation of PLZF promotes the assembly of a repressor complex incorporating HDAC3 and the NF-kappa B p50 subunit that limits the NF-kappa B response. PMID: 25865065
- HAT1 is involved in the STAT5 binding to the Bcl2L12 promoter. HAT1 increased the expression of Bcl2L12. Bcl2L12 mediated the effects of HAT1 on suppressing NPC cell apoptosis. Absorption of the HAT1 shRNA plasmid-carrying liposomes induced NPC cell apoptosis. In conclusion, inhibition of HAT1 can induce NPC cell apoptosis via increasing Bcl2L12 expression, which can be a potential therapy for NPC treatment. PMID: 29621521
- HAT1 was upregulated in hepatocellular carcinoma.HAT1 acts as an oncogenic protein promoting cell proliferation and inducing cisplatin resistance in hepatocellular carcinoma. PMID: 27938492
- Nuclear HDAC2 immunopositivity was significantly higher in actinic cheilitis (AC) when compared with lip squamous cell carcinoma (LSCC). HDAC1 and HAT1 nuclear immunostaining were higher in AC, with no statistical significance. When comparing data with our previous study, we found a positive correlation between HDAC1 X DNMT1/DNMT3b, HDAC2 X DNMT3b, and HAT1 X DNMT1/DNMT3b for certain studied groups. PMID: 28107582
- AMPK phosphorylates DNMT1, RBBP7, and HAT1 and increases interactions of DNMT1, RBBP7, and HAT1. PMID: 28143904
- Results show a novel interaction of the Lsm4 RGG domain with HAT1 and RBBP7, leading to the possibility of a posttranslational modifications network involved in mRNP regulation. PMID: 27247266
- These data indicated that miR-486 aggravate the cholesterol accumulation in THP-1 cells by targeting HAT1. PMID: 26654953
- The expression of HAT1 was higher in the primary Esophageal carcinoma tumors and adjacent tissue as compared to that of the normal esophageal tissue and HAT1 expression was directly correlated with the poor tumor differentiation PMID: 25120766
- Data indicate that HAT1 is required for homologous recombination in DNA repair. PMID: 23653357
- the role of Hat1 in DNA damage repair is evolutionarily conserved, the ability of H3 acetylation to compensate for Hat1 deletion appears to be more variable PMID: 17052979
- HAT gene expression is required for cisplatin resistance and Clock and Tip60 regulate not only transcription, but also DNA repair, through periodic histone acetylation PMID: 18458078
顯示更多
收起更多
-
亞細胞定位:[Isoform A]: Nucleus matrix. Mitochondrion.; [Isoform B]: Cytoplasm. Nucleus. Nucleus matrix. Nucleus, nucleoplasm.
-
蛋白家族:HAT1 family
-
數據庫鏈接:
Most popular with customers
-
-
YWHAB Recombinant Monoclonal Antibody
Applications: ELISA, WB, IHC, IF, FC
Species Reactivity: Human, Mouse, Rat
-
Phospho-YAP1 (S127) Recombinant Monoclonal Antibody
Applications: ELISA, WB, IHC
Species Reactivity: Human
-
-
-
-
-















