HAPLN1 Recombinant Monoclonal Antibody
-
中文名稱:HAPLN1 Recombinant Monoclonal Antibody
-
貨號:CSB-RA179147A0HU
-
規格:¥1320
-
圖片:
-
Western Blot
, Positive WB detected in:COLO205 whole cell lysate(30μg), MCF7 whole cell lysate(30μg), U87 whole cell lysate(30μg), SH-SY5Y whole cell lysate(30μg), A2780 whole cell lysate(30μg), Mouse brainr tissue lysate(30μg), Rat brain lysate(30μg)
All lanes: HAPLN1 antibody at 1:1000
Secondary
Goat polyclonal to rabbit IgG at 1/40000 dilution
Predicted band size: 40 kDa
Observed band size: 48 kDa
Exposure time:120s -
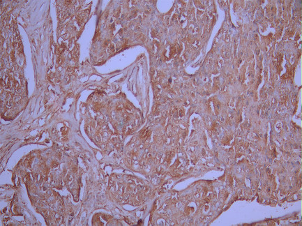
IHC image of CSB-RA179147A0HU diluted at 1:100 and staining in paraffin-embedded human melanoma cancer performed on a Leica BondTM system. After dewaxing and hydration, antigen retrieval was mediated by high pressure in a citrate buffer (pH 6.0). Section was blocked with 10% normal goat serum 30min at RT. Then primary antibody (1% BSA) was incubated at 4°C overnight. The primary is detected by a Goat anti-rabbit polymer IgG labeled by HRP and visualized using 0.05% DAB.
-
Overlay Peak curve showing HepG2 cells stained with CSB-RA179147A0HU (red line) at 1:100. The cells were fixed in 4% formaldehyde and permeated by 0.2% TritonX-100 for 10min. Then 10% normal goat serum to block non-specific protein-protein interactions followed by the antibody (1ug/1*106cells) for 45min at 4℃. The secondary antibody used was FITC-conjugated goat anti-rabbit IgG (H+L) at 1/200 dilution for 35min at 4℃.Control antibody (green line) was Rabbit IgG (1ug/1*106cells) used under the same conditions. Acquisition of >10, 000 events was performed.
-
-
其他:
產品詳情
-
Uniprot No.:
-
基因名:HAPLN1
-
別名:Cartilage link protein antibody; cartilage linking protein 1 antibody; Cartilage-link protein antibody; Cartilage-linking protein 1 antibody; CLP antibody; CRTL1 antibody; Crtl1l antibody; HAPLN1 antibody; HPLN1_HUMAN antibody; Hyaluronan and proteoglycan link protein 1 antibody; Hyaluronan and proteoglycan link protein 1 precursor antibody; LP antibody; Proteoglycan link protein antibody
-
反應種屬:Human, Mouse, Rat
-
免疫原:A synthesized peptide from human HAPLN1 protein
-
免疫原種屬:Homo sapiens (Human)
-
標記方式:Non-conjugated
-
克隆類型:Monoclonal
-
抗體亞型:Rabbit IgG
-
純化方式:Affinity-chromatography
-
克隆號:8F4
-
濃度:It differs from different batches. Please contact us to confirm it.
-
保存緩沖液:Rabbit IgG in 10mM phosphate buffered saline , pH 7.4, 150mM sodium chloride, 0.05% BSA, 0.02% sodium azide and 50% glycerol.
-
產品提供形式:Liquid
-
應用范圍:ELISA, WB, IHC, FC
-
推薦稀釋比:
Application Recommended Dilution WB 1:500-1:5000 IHC 1:50-1:200 FC 1:50-1:200 -
Protocols:
-
儲存條件:Upon receipt, store at -20°C or -80°C. Avoid repeated freeze.
-
貨期:Basically, we can dispatch the products out in 1-3 working days after receiving your orders. Delivery time maybe differs from different purchasing way or location, please kindly consult your local distributors for specific delivery time.
-
用途:For Research Use Only. Not for use in diagnostic or therapeutic procedures.
相關產品
靶點詳情
-
功能:Stabilizes the aggregates of proteoglycan monomers with hyaluronic acid in the extracellular cartilage matrix.
-
基因功能參考文獻:
- HAPLN1 reflects a signaling network leading to stemness, mesenchymal commitment and hepatocellular carcinoma progression PMID: 27191501
- CSGalNAcT-1 and Hapln-1 may play important roles in the pathogenesis of Kashin-Beck disease and osteoarthritis. PMID: 23748413
- HAPLN1 is overexpressed in metastatic melanoma and is secreted exclusively by the tumor cells PMID: 22159717
- Single-nucleotide polymorphism in the hyaluronan and proteoglycan link protein 1 (HAPLN1) gene is associated with spinal osteophyte formation and disc degeneration in Japanese women. PMID: 20953637
- An in vitro model of perineuronal nets has been developed demonstrating that cartilage link protein (along with hyaluronan synthase) are necessary for their formation. PMID: 20584105
- link protein may function as a stabilizer of the interaction between aggrecan and hyaluronan in cartilage and between versican and hyaluronan in many tissues PMID: 14724283
- SOX9 is a key regulator of CRTL1 PMID: 15456769
- cLP and versican did not bind directly to each other in solution yet formed ternary complexes with hyaluronan PMID: 15590670
- Overexpression of HAPLN1 and its SP-IgV domain increases tumorigenic properties of mesothelioma. Thus, targeting the SP-IgV domain may be one of the therapeutic approaches in cancer treatment. PMID: 19351750
顯示更多
收起更多
-
亞細胞定位:Secreted, extracellular space, extracellular matrix.
-
蛋白家族:HAPLN family
-
組織特異性:Widely expressed. Weakly expressed in the brain.
-
數據庫鏈接:
Most popular with customers
-
YWHAB Recombinant Monoclonal Antibody
Applications: ELISA, WB, IHC, IF, FC
Species Reactivity: Human, Mouse, Rat
-
-
-
-
-
-
-















