GTF2E1 Recombinant Monoclonal Antibody
-
中文名稱:GTF2E1 Recombinant Monoclonal Antibody
-
貨號:CSB-RA237696A0HU
-
規格:¥1320
-
圖片:
-
Western Blot
Positive WB detected in: A431 whole cell lysate(30μg), MCF-7 whole cell lysate(30μg)
All lanes: TFIIE alpha antibody at 1:1000
Secondary
Goat polyclonal to rabbit IgG at 1/40000 dilution
Predicted band size: 49 kDa
Observed band size: 60 kDa
Exposure time:3min -
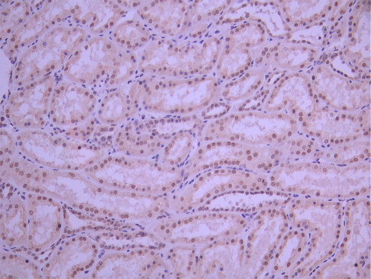
IHC image of CSB-RA237696A0HU diluted at 1:100 and staining in paraffin-embedded human kidney tissue performed on a Leica BondTM system. After dewaxing and hydration, antigen retrieval was mediated by high pressure in a citrate buffer (pH 6.0). Section was blocked with 10% normal goat serum 30min at RT. Then primary antibody (1% BSA) was incubated at 4°C overnight. The primary is detected by a Goat anti-rabbit polymer IgG labeled by HRP and visualized using 0.05% DAB.
-
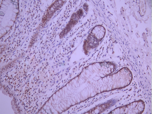
IHC image of CSB-RA237696A0HU diluted at 1:100 and staining in paraffin-embedded human colorectal cancer performed on a Leica BondTM system. After dewaxing and hydration, antigen retrieval was mediated by high pressure in a citrate buffer (pH 6.0). Section was blocked with 10% normal goat serum 30min at RT. Then primary antibody (1% BSA) was incubated at 4°C overnight. The primary is detected by a Goat anti-rabbit polymer IgG labeled by HRP and visualized using 0.05% DAB.
-
Immunofluorescence staining of PC-3 cell with CSB-RA237696A0HU at 1:50 , counter-stained with DAPI. The cells were fixed in 4% formaldehyde, permeabilized using 0.2% Triton X-100 and blocked in 10% normal Goat Serum. The cells were then incubated with the antibody overnight at 4°C. The secondary antibody was Alexa Fluor 488-congugated AffiniPure Goat Anti-Rabbit IgG(H+L).
-
Overlay Peak curve showing jurkat cells stained with CSB-RA237696A0HU (red line) at 1:100. The cells were fixed in 4% formaldehyde and permeated by 0.2% TritonX-100 for 10min. Then 10% normal goat serum to block non-specific protein-protein interactions followed by the antibody (1ug/1*106cells) for 45min at 4℃. The secondary antibody used was FITC-conjugated goat anti-rabbit IgG (H+L) at 1/200 dilution for 35min at 4℃.Control antibody (green line) was Rabbit IgG (1ug/1*106cells) used under the same conditions. Acquisition of >10, 000 events was performed.
-
-
其他:
產品詳情
-
Uniprot No.:
-
基因名:GTF2E1
-
別名:FE; General transcription factor IIE 56 kDa subunit; General transcription factor IIE subunit 1; General transcription factor IIE; polypeptide 1; alpha 56kDa; Gtf2e1; MAL7P1.86; T2EA_HUMAN; TF2E1 ; TFIIE A; TFIIE alpha; TFIIE-alpha; Transcription initiation factor IIE alpha subunit; Transcription initiation factor iie alpha subunit putative; Transcription initiation factor IIE subunit alpha
-
反應種屬:Human
-
免疫原:A synthesized peptide from human GTF2E1 protein
-
免疫原種屬:Homo sapiens (Human)
-
標記方式:Non-conjugated
-
克隆類型:Monoclonal
-
抗體亞型:Rabbit IgG
-
純化方式:Affinity-chromatography
-
克隆號:10A3
-
濃度:It differs from different batches. Please contact us to confirm it.
-
保存緩沖液:Rabbit IgG in 10mM phosphate buffered saline , pH 7.4, 150mM sodium chloride, 0.05% BSA, 0.02% sodium azide and 50% glycerol.
-
產品提供形式:Liquid
-
應用范圍:ELISA, WB, IHC, IF, FC
-
推薦稀釋比:
Application Recommended Dilution WB 1:500-1:5000 IHC 1:50-1:200 IF 1:50-1:200 FC 1:50-1:200 -
Protocols:
-
儲存條件:Upon receipt, store at -20°C or -80°C. Avoid repeated freeze.
-
貨期:Basically, we can dispatch the products out in 1-3 working days after receiving your orders. Delivery time maybe differs from different purchasing way or location, please kindly consult your local distributors for specific delivery time.
-
用途:For Research Use Only. Not for use in diagnostic or therapeutic procedures.
相關產品
靶點詳情
-
功能:Recruits TFIIH to the initiation complex and stimulates the RNA polymerase II C-terminal domain kinase and DNA-dependent ATPase activities of TFIIH. Both TFIIH and TFIIE are required for promoter clearance by RNA polymerase.
-
基因功能參考文獻:
- The N-terminal highly acidic region of TFIIEalpha interacts with the pleckstrin homology domain of TFIIH and adopts an extended stringlike structure on the positive groove of the pleckstrin homology domain with two hydrophobic amino acids, Phe387 and Val390, inserting into two shallow hydrophobic pockets of the pleckstrin homology domain. PMID: 27602723
- The N-terminal half of TFIIEalpha forms an extended winged helix (WH) domain with an additional helix, followed by a zinc-finger domain. TFIIEbeta contains the WH2 domain, followed by two coiled-coil helices intertwining with TFIIEalpha. PMID: 27639436
- structural integrity of the zinc finger domain is essential for the TFIIE function PMID: 15385556
- TFIIE is an alpha/beta heterodimer in solution. A model for the quaternary architecture of the complex is proposed that provides a structural framework to discuss the function of TFIIE in the context of RNA polymerase II transcription initiation. PMID: 16547462
- interplay between TFIIEalpha and the tumor suppressor protein p53 in regulating transcriptional activation that may be modulated by the phosphorylation status of p53 PMID: 18160537
- The specific binding of the C-terminal acidic domain (AC-D) of the human TFIIEalpha subunit to the pleckstrin homology domain (PH-D) of the human TFIIH p62 subunit is demonstrated. PMID: 18354501
顯示更多
收起更多
-
亞細胞定位:Nucleus.
-
蛋白家族:TFIIE alpha subunit family
-
數據庫鏈接:
Most popular with customers
-
-
YWHAB Recombinant Monoclonal Antibody
Applications: ELISA, WB, IHC, IF, FC
Species Reactivity: Human, Mouse, Rat
-
Phospho-YAP1 (S127) Recombinant Monoclonal Antibody
Applications: ELISA, WB, IHC
Species Reactivity: Human
-
-
-
-
-















