GLS Recombinant Monoclonal Antibody
-
中文名稱:GLS Recombinant Monoclonal Antibody
-
貨號:CSB-RA446934A0HU
-
規格:¥1320
-
圖片:
-
Western Blot
, Positive WB detected in:HepG2 whole cell lysate(30μg), Hela whole cell lysate(30μg), U251 whole cell lysate(30μg)
All lanes: GLS antibody at 1:1000
Secondary
Goat polyclonal to rabbit IgG at 1/40000 dilution
Predicted band size: 73 kDa
Observed band size: 62, 73 kDa
Exposure time:30s -
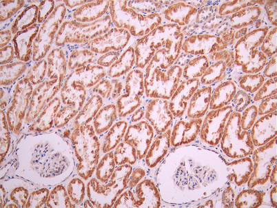
IHC image of CSB-RA446934A0HU diluted at 1:100 and staining in paraffin-embedded human kidney tissue performed on a Leica BondTM system. After dewaxing and hydration, antigen retrieval was mediated by high pressure in a citrate buffer (pH 6.0). Section was blocked with 10% normal goat serum 30min at RT. Then primary antibody (1% BSA) was incubated at 4°C overnight. The primary is detected by a Goat anti-rabbit polymer IgG labeled by HRP and visualized using 0.05% DAB.
-
Overlay Peak curve showing 786-O cells stained with CSB-RA446934A0HU (red line) at 1:100. The cells were fixed in 4% formaldehyde and permeated by 0.2% TritonX-100 for 10min. Then 10% normal goat serum to block non-specific protein-protein interactions followed by the antibody (1ug/1*106cells) for 45min at 4℃. The secondary antibody used was FITC-conjugated goat anti-rabbit IgG (H+L) at 1/200 dilution for 35min at 4℃.Control antibody (green line) was Rabbit IgG (1ug/1*106cells) used under the same conditions. Acquisition of >10, 000 events was performed.
-
-
其他:
產品詳情
-
Uniprot No.:
-
基因名:
-
別名:AAD20 antibody; DKFZp686O15119 antibody; FLJ10358 antibody; GAC antibody; GAM antibody; GLS antibody; GLS1 antibody; GLSK_HUMAN antibody; Glutaminase C antibody; Glutaminase kidney isoform antibody; Glutaminase phosphate activated antibody; K-glutaminase antibody; KGA antibody; KIAA0838 antibody; L glutamine amidohydrolase antibody; L-glutamine amidohydrolase antibody; mitochondrial antibody
-
反應種屬:Human
-
免疫原:A synthesized peptide from human GLS protein
-
免疫原種屬:Homo sapiens (Human)
-
標記方式:Non-conjugated
-
克隆類型:Monoclonal
-
抗體亞型:Rabbit IgG
-
純化方式:Affinity-chromatography
-
克隆號:22B4
-
濃度:It differs from different batches. Please contact us to confirm it.
-
保存緩沖液:Rabbit IgG in 10mM phosphate buffered saline , pH 7.4, 150mM sodium chloride, 0.05% BSA, 0.02% sodium azide and 50% glycerol.
-
產品提供形式:Liquid
-
應用范圍:ELISA, WB, IHC, FC
-
推薦稀釋比:
Application Recommended Dilution WB 1:500-1:5000 IHC 1:50-1:200 FC 1:50-1:200 -
Protocols:
-
儲存條件:Upon receipt, store at -20°C or -80°C. Avoid repeated freeze.
-
貨期:Basically, we can dispatch the products out in 1-3 working days after receiving your orders. Delivery time maybe differs from different purchasing way or location, please kindly consult your local distributors for specific delivery time.
-
用途:For Research Use Only. Not for use in diagnostic or therapeutic procedures.
相關產品
靶點詳情
-
功能:Catalyzes the first reaction in the primary pathway for the renal catabolism of glutamine. Plays a role in maintaining acid-base homeostasis. Regulates the levels of the neurotransmitter glutamate, the main excitatory neurotransmitter in the brain.; Lacks catalytic activity.
-
基因功能參考文獻:
- Overexpressing glutaminase abolished the inhibitory effects of miR-1-3p on bladder cancer cell proliferation, migration, and invasion and glutaminase depletion resulted in the prolonged expression of gammaH2AX, an established biomarker for DNA damage. PMID: 30458442
- These results reveal that GAC is post-translationally regulated by phosphorylation, which affects cellular glutamine metabolism and glutaminase-related cell phenotype. PMID: 30092248
- In silico analysis potentially links GLS SNPs with Alzheimer disease and type 2 diabetes. PMID: 29441491
- Del11q-positive CLL lymphocytes exhibit altered glutamine metabolism and differential response to GLS1 and glucose metabolism inhibition. PMID: 29367649
- Overexpression of miR-513c suppresses neuroblastoma cells' migration, invasion, and proliferation. We demonstrate the glutaminase (GLS) is a direct target of miR-513c in human neuroblastoma cells. PMID: 28800318
- the present findings enriched our knowledge by demonstrating a significant association of PKM2 and GLS1 with oxaliplatin-resistance in CRC. PMID: 28498807
- miR-137 was decreased in melanoma tissue, and the low miR-137 levels and high glutaminase expression are independent risk factors in melanoma. miR-137 suppressed the proliferation and glutamine catabolism of melanoma cells. PMID: 29097210
- ZIC5 positively regulated the proliferation, migration (Fig. 2), and survival (Fig. 5) of PCa and CRC cells PMID: 29032577
- the crystal structure of full-length KGA and present a small-angle X-ray scattering model for full-length GLS2. These structures explain these proteins' compromised ability to assemble into catalytically active supra-tetrameric filaments, as previously shown for GAC. PMID: 28526749
- GLS1 inhibition using BPTES reduced metabolic intermediates including thymidine and carbamoyl phosphate. Reduction of thymidine and carbamoyl-phosphate synthesis by BPTES treatment exacerbated pyrimidine supply by combination with 5-FU, which induced cell death synergistically in NSCLC PMID: 27338638
- studies show that the formation of large GAC oligomers is not a pre-requisite for full enzymatic activity. They also offer a mechanism by which the binding of activators like inorganic phosphate enables the activation loop to communicate with the active site to ensure maximal rates of catalysis, and promotes the opening of the lid to achieve optimal product release. PMID: 27542409
- Glutaminase expression in tumor cells was significantly associated with a low level of tumor-infiltrating lymphocytesand poor disease-free survival in triple-negative breast cancers presenting with lymph node metastasis and high levels of tumor-infiltrating lymphocytes. PMID: 28185053
- Study reports that GLS1 is a direct target of miR-23a in retinal pigment epithelium cells (RPE) providing evidence for a role in maintaining RPE cell function. PMID: 27411920
- The relative expression of microRNA-153 and glutaminase in glioblastoma versus matched non-tumor tissues showed a reverse correlation, further indicating that microRNA-153 may negatively regulate glutaminase in vivo. PMID: 28218035
- High GLS1 expression is associated with epithelial-mesenchymal transition in cancer. PMID: 26771232
- Data suggest that glutaminase C (GAC) inhibition maybe a potential treatment strategy for acquired erlotinib-resistant non-small cell lung cancer (NSCLC). PMID: 26575584
- Findings indicate a role for transcription factor c-Jun as a driver of cancer cell metabolic reprogramming, and suggest that cancers overexpressing JUN may be especially sensitive to glutaminase (GLS)-targeted therapies. PMID: 27089238
- GLS1 was identified as a potential downstream target of the miR-192/-204-HOTTIP axis in hepatocellular carcinoma. PMID: 26710269
- Our findings support the role of the GLS long microsatellite in the development of HE; this could be important for identifying susceptible patients and for the prevention of this condition. PMID: 25880019
- GABAergic neurons and astrocytes express Gls and Gls2 isoenzymes in nucleus and mitochondria, in addition to glutamatergic neurons PMID: 25297978
- studies demonstrate that GLS is required for tumorigenesis and support small molecule and genetic inhibition of GLS as potential approaches for targeting the tumor cell-autonomous dependence on GLS for cancer therapy. PMID: 25915584
- GLS1 has a key role in coupling glutaminolysis of the TCA cycle with elevated glucose uptake and consequently the growth of prostate cancer cells PMID: 25482439
- These results suggest that the expression of GLS1 is upregulated and correlates with clinicopathological factors in colorectal cancer. PMID: 24696726
- Silencing GLS or overexpressing GLS2 induces growth inhibition in glioma cell lines. PMID: 24276018
- our data indicate that ErbB2 activation promotes GLS1 expression via a PI3K-Akt-independent NF-kappaB pathway in breast cancer cells, identifying another oncogenic signaling pathway which stimulates GLS1 expression PMID: 24122876
- The rate of Glu decarboxylation into GABA by Glnase is an order of magnitude lower than that of Glutamate decarboxylase. Potential impact on the mechanistic aspects of Gln-Glu shuttle in neuroscience and glutaminolysis in tumors, is discussed. PMID: 24755074
- STAT1 regulates human glutaminase 1 promoter activity PMID: 24086752
- Inhibition of glutaminase selectively suppresses the growth of primary acute myeloid leukemia cells with IDH mutations. PMID: 24333121
- A glutaminase inhibitor reduced conversion of (13)C-pyruvate to alanine. PMID: 23722553
- HER2- type breast cancer had the highest expression of stromal GLS1, tumoral GDH, stromal GDH, and tumoral ASCT, while TNBC had the lowest tumoral GDH expression. PMID: 23507704
- activated glutaminase C (GAC) self-assembles into a helical, fiber-like double-stranded oligomer and propose a molecular model consisting of seven tetramer copies per turn per strand interacting via the N-terminal domains PMID: 23935106
- stromal expression of the glutamine-metabolism-related proteins GLS1, GDH, ASCT2 increases with worsening histological phyllodes tumor grade. PMID: 23636801
- neuronal glutaminase is a potential component of neurotoxicity during inflammation and modulation of glutaminase may provide therapeutic avenues for neurodegenerative diseases. PMID: 23578284
- NSCLC cell lines depend on Gln for glutaminolysis to a varying degree, in which the GLS1 splice variant GAC plays an essential role and is a potential target for cancer metabolism-directed therapy. PMID: 22892846
- Data indicate that both HIV-1 infection and IFN-alpha treatment increase glutaminase 1 (GLS1) expression through STAT1 phosphorylation and by binding to the GLS1 promoter. PMID: 22479354
- KGA activity in cells is stimulated by EGF, and KGA associates with all three kinase components of the Raf-1/Mek2/Erk signaling module. PMID: 22538822
- Inhibition of Gls1 kills lung cancer cells that overexpress MYC and catabolize glutamine. PMID: 22326218
- GLS1 differs from PFKFB3 in that its recognition by APC/C-Cdh1 during S phase requires the presence of both a Lys-Glu-Asn box (KEN box) and a destruction box (D box) rather than a KEN box alone. PMID: 22106309
- first report of full-length crystal structure of a splice variant of GLS1 in presence/absence of BPTES, an allosteric inhibitor: 2 BPTES molecules bind at interface of GLS1 tetramer; appear to lock GLS1 tetramer into nonproductive conformation PMID: 22049910
- Glutamine synthetase is a genetic determinant of cell type-specific glutamine independence in breast epithelia PMID: 21852960
- This studt demonistrated that the genetic variation in the glutaminase gene GLS1 is related the glutamine/glutamate ratio in brain. PMID: 21457947
- Glutaminase: a hot spot for regulation of cancer cell metabolism. PMID: 21234284
- Data show that the ability to selectively slow growth in cells with IDH1 mutations by inhibiting glutaminase suggesting a unique reprogramming of intermediary metabolism and a potential therapeutic strategy. PMID: 21045145
- This study identifies mutations in the gene sequence for glutaminase that are associated with development of hepatic encephalopathy in patients with cirrhosis PMID: 20820037
- Data suggest that glutaminase is an important factor in melanoma cell proliferation. PMID: 12579526
- human neutrophils appeared to utilize glutamine and posess the appropriate glutaminase enzyme for metabolizing glutamine. PMID: 14722097
- possible role for intestinal glutaminase in the pathogenesis of hepatic encephalopathy PMID: 15246207
- K glutaminase isoform is up-regulated with increased rates of proliferation in cancer cells, whereas prevalence of the L isoform seems to be related with resting or quiescent cell states PMID: 15496140
- c-Myc transcriptionally represses miR-23a and miR-23b, resulting in greater expression of their target protein, mitochondrial glutaminase, in human P-493 B lymphoma cells and PC3 prostate cancer cells PMID: 19219026
- Release of glutaminase from dysfunctional macrophages is a possible mechanism of glutaminase-mediated production of excitotoxic glutamate during the pathogenic process of human immunodeficiency virus (HIV)-1 associated dementia. PMID: 19222703
顯示更多
收起更多
-
亞細胞定位:[Isoform 1]: Mitochondrion. Cytoplasm, cytosol.; [Isoform 3]: Mitochondrion.; [Glutaminase kidney isoform, mitochondrial 68 kDa chain]: Mitochondrion matrix.; [Glutaminase kidney isoform, mitochondrial 65 kDa chain]: Mitochondrion matrix.
-
蛋白家族:Glutaminase family
-
組織特異性:Isoform 1 and isoform 3 are detected in brain cortex. Isoform 3 is highly expressed in astrocytoma, ganglioglioma and ependymoma. Isoform 1 is highly expressed in brain and kidney, but not detected in liver. Isoform 3 is highly expressed in heart and panc
-
數據庫鏈接:
Most popular with customers
-
-
YWHAB Recombinant Monoclonal Antibody
Applications: ELISA, WB, IHC, IF, FC
Species Reactivity: Human, Mouse, Rat
-
Phospho-YAP1 (S127) Recombinant Monoclonal Antibody
Applications: ELISA, WB, IHC
Species Reactivity: Human
-
-
-
-
-















