GCSAM Recombinant Monoclonal Antibody
-
中文名稱:GCSAM Recombinant Monoclonal Antibody
-
貨號:CSB-RA440526A0HU
-
規格:¥1320
-
圖片:
-
Western Blot
, Positive WB detected in:Raji whole cell lysate(30μg)
All lanes: GCSAM antibody at 1:1000
Secondary
Goat polyclonal to rabbit IgG at 1/40000 dilution
Predicted band size: 21 kDa
Observed band size: 21 kDa
Exposure time:120s -
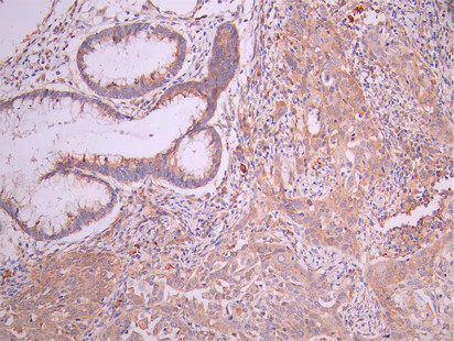
IHC image of CSB-RA440526A0HU diluted at 1:100 and staining in paraffin-embedded human gastric cancer performed on a Leica BondTM system. After dewaxing and hydration, antigen retrieval was mediated by high pressure in a citrate buffer (pH 6.0). Section was blocked with 10% normal goat serum 30min at RT. Then primary antibody (1% BSA) was incubated at 4°C overnight. The primary is detected by a Goat anti-rabbit polymer IgG labeled by HRP and visualized using 0.05% DAB.
-
Overlay Peak curve showing Raji cells stained with CSB-RA440526A0HU (red line) at 1:100. The cells were fixed in 4% formaldehyde and permeated by 0.2% TritonX-100 for 10min. Then 10% normal goat serum to block non-specific protein-protein interactions followed by the antibody (1ug/1*106cells) for 45min at 4℃. The secondary antibody used was FITC-conjugated goat anti-rabbit IgG (H+L) at 1/200 dilution for 35min at 4℃.Control antibody (green line) was Rabbit IgG (1ug/1*106cells) used under the same conditions. Acquisition of >10, 000 events was performed.
-
-
其他:
產品詳情
-
Uniprot No.:
-
基因名:GCSAM
-
別名:GCAT2 antibody; Gcet antibody; GCET2 germinal center expressed transcript 2 antibody; GCET2 germinal centre expressed transcript 2 antibody; Gcsam antibody; GCSAM_HUMAN antibody; Germinal center associated lymphoma antibody; Germinal center associated lymphoma protein antibody; Germinal center B cell associated protein 2 antibody; Germinal center B-cell-expressed transcript 2 protein antibody; Germinal center expressed transcript 2 antibody; Germinal center-associated lymphoma protein antibody; Germinal center-associated signaling and motility protein antibody; Germinal centre associated lymphoma antibody; Germinal centre associated lymphoma protein antibody; Germinal centre B cell associated protein 2 antibody; Germinal centre expressed transcript 2 antibody; hGAL antibody; M17 antibody; M17 L antibody
-
反應種屬:Human
-
免疫原:A synthesized peptide from human GCSAM protein
-
免疫原種屬:Homo sapiens (Human)
-
標記方式:Non-conjugated
-
克隆類型:Monoclonal
-
抗體亞型:Rabbit IgG
-
純化方式:Affinity-chromatography
-
克隆號:25B7
-
濃度:It differs from different batches. Please contact us to confirm it.
-
保存緩沖液:Rabbit IgG in 10mM phosphate buffered saline , pH 7.4, 150mM sodium chloride, 0.05% BSA, 0.02% sodium azide and 50% glycerol.
-
產品提供形式:Liquid
-
應用范圍:ELISA, WB, IHC, FC
-
推薦稀釋比:
Application Recommended Dilution WB 1:500-1:5000 IHC 1:50-1:200 FC 1:50-1:200 -
Protocols:
-
儲存條件:Upon receipt, store at -20°C or -80°C. Avoid repeated freeze.
-
貨期:Basically, we can dispatch the products out in 1-3 working days after receiving your orders. Delivery time maybe differs from different purchasing way or location, please kindly consult your local distributors for specific delivery time.
-
用途:For Research Use Only. Not for use in diagnostic or therapeutic procedures.
相關產品
靶點詳情
-
功能:Involved in the negative regulation of lymphocyte motility. It mediates the migration-inhibitory effects of IL6. Serves as a positive regulator of the RhoA signaling pathway. Enhancement of RhoA activation results in inhibition of lymphocyte and lymphoma cell motility by activation of its downstream effector ROCK. Is a regulator of B-cell receptor signaling, that acts through SYK kinase activation.
-
基因功能參考文獻:
- Diagnostic Utility of the Germinal Center-associated Markers GCET1, HGAL, and LMO2 in Hematolymphoid Neoplasms. PMID: 25203428
- These findings further elucidate the growing and complex role of HGAL in B-cell biology and suggest that membrane-bound and cytoplasmic HGAL protein differently regulates distinct biological processes. PMID: 25381061
- HGAL and LMO2 may be useful adjuncts in the identification of follicular lymphoma of the nongastric gastrointestinal tract. PMID: 22914613
- the germinal centre protein human germinal centre-associated lymphoma regulates B-cell receptor signalling in B-lymphocytes which, without appropriate control, may lead to B-cell lymphoproliferation. PMID: 23299888
- HGAL/GCET2 protein expression may function as a marker for germinal center B-cell type diffuse large B-cell lymphoma. PMID: 22743653
- Immunostaining for HGAL was more frequently positive than that for BCL6 and CD10 in follicular lymphomas PMID: 21988858
- Data suggest that both HGAL and LMO2 are directly regulated by the transcription repressor PRDM1--overexpression of PRDM1 down-regulates HGAL and LMO2; PRDM1 directly binds to promoters of both HGAL and LMO2 and represses genetic transcription. PMID: 21722313
- necessary for germinal center maintenance and confining B-cells to the germinal center microenvironment PMID: 21475040
- show that HGAL increases the binding of myosin to F-actin and inhibits the ability of myosin to translocate actin by reducing the maximal velocity of myosin head/actin movement PMID: 21447067
- HGAL is sensitive and specific marker for detecting follicular lymphoma in nodal and extranodal sites PMID: 21502424
- molecular mechanism underlying the inhibitory effects of germinal center-specific HGAL protein on the motility of GC-derived lymphoma cells PMID: 20844236
- Our results show that HGAL and LMO2 are sensitive markers for follicular lymphoma diagnosis. PMID: 20697248
- Study confirms and validates findings of a correlation between HGAL expression and outcome in classical HL. PMID: 19883310
- gene is induced by IL4 and expression strongly predicts survival in diffuse large B-cell lymphoma PMID: 12509382
- Results report the cloning of germinal center B-cell expressed transcripts 1 and 2 (GCET1 and 2), and show that both are expressed in follicular lymphoma and diffuse large B-cell lymphoma with germinal center B-cell differentiation PMID: 12819018
- The restricted expression and germinal center specificity of HGAL protein suggest that it may have an important role in the diagnosis of specific lymphomas PMID: 15677569
- HGAL is involved in negative regulation of lymphocyte migration, thus constraining lymphocytes to the germinal center PMID: 17823310
- The correlation of HGAL expression with the germinal center B-cell phenotype demonstrates the role of this marker in the classification of cutaneous large B-cell lymphomas PMID: 18264083
- results report the cloning of HGAL, a germinal center its expression pattern in normal tissues and hematologic malignancies, its induction by IL4, and the prognostic significance of its expression in predicting survival in diffuse large B-cell lymphoma PMID: 12509382
顯示更多
收起更多
-
亞細胞定位:Cytoplasm. Cell membrane. Note=It relocalizes from the cytoplasm to podosome-like structures upon cell treatment with IL6.
-
組織特異性:Expressed in diffuse large B-cell lymphoma (DLBCL) and several germinal center (GC)-like lymphoma cell lines (at protein level). Highly expressed in normal GC lymphocytes and GC-derived malignancies. Expressed in thymus and spleen.
-
數據庫鏈接:
Most popular with customers
-
-
YWHAB Recombinant Monoclonal Antibody
Applications: ELISA, WB, IHC, IF, FC
Species Reactivity: Human, Mouse, Rat
-
Phospho-YAP1 (S127) Recombinant Monoclonal Antibody
Applications: ELISA, WB, IHC
Species Reactivity: Human
-
-
-
-
-















