FDX1 Recombinant Monoclonal Antibody
-
中文名稱:FDX1 Recombinant Monoclonal Antibody
-
貨號:CSB-RA577140A0HU
-
規格:¥1320
-
圖片:
-
Western Blot
Positive WB detected in: HEK293 whole cell lysate(30μg), A549 whole cell lysate(30μg), U-87MG whole cell lysate(30μg), Mouse kidney tissue lysate(30μg)
All lanes: Ferredoxin 1 antibody at 1:1000
Secondary
Goat polyclonal to rabbit IgG at 1/40000 dilution
Predicted band size: 19 kDa
Observed band size: 13 kDa
Exposure time:2min -
IHC image of CSB-RA577140A0HU diluted at 1:100 and staining in paraffin-embedded human adrenal gland tissue performed on a Leica BondTM system. After dewaxing and hydration, antigen retrieval was mediated by high pressure in a citrate buffer (pH 6.0). Section was blocked with 10% normal goat serum 30min at RT. Then primary antibody (1% BSA) was incubated at 4°C overnight. The primary is detected by a Goat anti-rabbit polymer IgG labeled by HRP and visualized using 0.05% DAB.
-
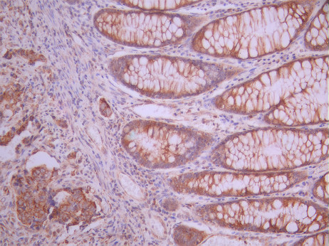
IHC image of CSB-RA577140A0HU diluted at 1:100 and staining in paraffin-embedded human colorectal cancer performed on a Leica BondTM system. After dewaxing and hydration, antigen retrieval was mediated by high pressure in a citrate buffer (pH 6.0). Section was blocked with 10% normal goat serum 30min at RT. Then primary antibody (1% BSA) was incubated at 4°C overnight. The primary is detected by a Goat anti-rabbit polymer IgG labeled by HRP and visualized using 0.05% DAB.
-
Immunofluorescence staining of HepG2 cell with CSB-RA577140A0HU at 1:50 , counter-stained with DAPI. The cells were fixed in 4% formaldehyde, permeabilized using 0.2% Triton X-100 and blocked in 10% normal Goat Serum. The cells were then incubated with the antibody overnight at 4°C. The secondary antibody was Alexa Fluor 488-congugated AffiniPure Goat Anti-Rabbit IgG(H+L).
-
Overlay Peak curve showing Hela cells stained with CSB-RA577140A0HU (red line) at 1:100. The cells were fixed in 4% formaldehyde and permeated by 0.2% TritonX-100 for 10min. Then 10% normal goat serum to block non-specific protein-protein interactions followed by the antibody (1ug/1*106cells) for 45min at 4℃. The secondary antibody used was FITC-conjugated goat anti-rabbit IgG (H+L) at 1/200 dilution for 35min at 4℃.Control antibody (green line) was Rabbit IgG (1ug/1*106cells) used under the same conditions. Acquisition of >10, 000 events was performed.
-
-
其他:
產品詳情
-
Uniprot No.:
-
基因名:FDX1
-
別名:Adrenal ferredoxin; Adrenodoxin; Adrenodoxin; mitochondrial; ADX; ADX_HUMAN; FDX; fdx1; Ferredoxin 1; Ferredoxin-1; Hepatoredoxin; LOH11CR1D; Mitochondrial adrenodoxin; mitochondrial
-
反應種屬:Human, Mouse
-
免疫原:A synthesized peptide from human FDX1 protein
-
免疫原種屬:Homo sapiens (Human)
-
標記方式:Non-conjugated
-
克隆類型:Monoclonal
-
抗體亞型:Rabbit IgG
-
純化方式:Affinity-chromatography
-
克隆號:8D3
-
濃度:It differs from different batches. Please contact us to confirm it.
-
保存緩沖液:Rabbit IgG in 10mM phosphate buffered saline , pH 7.4, 150mM sodium chloride, 0.05% BSA, 0.02% sodium azide and 50% glycerol.
-
產品提供形式:Liquid
-
應用范圍:ELISA, WB, IHC, IF, FC
-
推薦稀釋比:
Application Recommended Dilution WB 1:500-1:5000 IHC 1:50-1:200 IF 1:50-1:200 FC 1:50-1:200 -
Protocols:
-
儲存條件:Upon receipt, store at -20°C or -80°C. Avoid repeated freeze.
-
貨期:Basically, we can dispatch the products out in 1-3 working days after receiving your orders. Delivery time maybe differs from different purchasing way or location, please kindly consult your local distributors for specific delivery time.
-
用途:For Research Use Only. Not for use in diagnostic or therapeutic procedures.
相關產品
靶點詳情
-
功能:Essential for the synthesis of various steroid hormones. Participates in the reduction of mitochondrial cytochrome P450 for steroidogenesis. Transfers electrons from adrenodoxin reductase to CYP11A1, a cytochrome P450 that catalyzes cholesterol side-chain cleavage. Does not form a ternary complex with adrenodoxin reductase and CYP11A1 but shuttles between the two enzymes to transfer electrons.
-
基因功能參考文獻:
- Active Site Structures of CYP11A1 in the Presence of Its Physiological Substrates and Alterations upon Binding of Adrenodoxin PMID: 28991453
- Data suggest that binding sites between CYP11B1/CYP11B2 and adrenodoxin/ferredoxin-1 exhibit electrostatic interactions at K370 in CYP11B1 and at K366 in CYP11B2 mutant R366K with D79 in adrenodoxin/ferredoxin-1. (CYP11B1 = cytochrome P450 family 11 subfamily B member 1; CYP11B2 = cytochrome P450 family 11 subfamily B member 2) PMID: 28355486
- FDX1 and FDX2 both bind NFS1 and donate electrons for iron-sulfur cluster biosynthesis. PMID: 28001042
- TNFSF13 and FDX1 have potential roles in IgAN in the Han Chinese population. This information may be useful in the development of early prognostics for IgAN. PMID: 26431901
- Did not find any positive association between FDX1 SNPs and the risk of IgA nephropathy after adjustment for age and sex, but did find a significant and strong correlation with relevant clinical pathological parameters. PMID: 26370181
- results indicate transcription of FDX1 is regulated by the NR5A family and cAMP signaling, and participates in steroid hormone production in ovarian granulosa ce PMID: 23435367
- Data suggest that interference with any of the three related genes, ferredoxin (FDX)1, FDX2 or FDXR, disrupts iron-sulfur cluster assembly and maintenance of normal cytosolic and mitochondrial iron homeostasis. PMID: 22101253
- Results present the crystal structure of the complex of human adrenodoxin and CYP11A1--the first of a complex between a eukaryotic CYP and its redox partner. PMID: 21636783
- Unlike Fdx1, Fdx2 was unable to efficiently reduce mitochondrial cytochromes P450 and convert steroids, indicating that the two ferredoxin isoforms are highly specific for their substrates in distinct biochemical pathways. PMID: 20547883
- ADX rate of hydroxylation was linear with incubation time. PMID: 12782149
- Adrenodoxin induces apoptosis by the generation of reactive oxygen species in mitochondria PMID: 15927889
- Adx is able to support reactions catalyzed by human microsomal P450s: full length CYP17, truncated CYP17, and truncated CYP21 PMID: 17188650
顯示更多
收起更多
-
亞細胞定位:Mitochondrion matrix.
-
蛋白家族:Adrenodoxin/putidaredoxin family
-
組織特異性:Highest levels in the adrenal gland (at protein level). Also detected in kidney and testis (at protein level).
-
數據庫鏈接:
Most popular with customers
-
-
YWHAB Recombinant Monoclonal Antibody
Applications: ELISA, WB, IHC, IF, FC
Species Reactivity: Human, Mouse, Rat
-
Phospho-YAP1 (S127) Recombinant Monoclonal Antibody
Applications: ELISA, WB, IHC
Species Reactivity: Human
-
-
-
-
-















