EXOC3 Recombinant Monoclonal Antibody
-
中文名稱:EXOC3 Recombinant Monoclonal Antibody
-
貨號:CSB-RA585966A0HU
-
規格:¥1320
-
圖片:
-
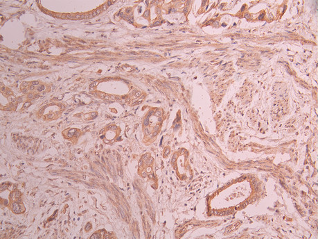
IHC image of CSB-RA585966A0HU diluted at 1:100 and staining in paraffin-embedded human cervical cancer performed on a Leica BondTM system. After dewaxing and hydration, antigen retrieval was mediated by high pressure in a citrate buffer (pH 6.0). Section was blocked with 10% normal goat serum 30min at RT. Then primary antibody (1% BSA) was incubated at 4°C overnight. The primary is detected by a Goat anti-rabbit polymer IgG labeled by HRP and visualized using 0.05% DAB.
-
IHC image of CSB-RA585966A0HU diluted at 1:100 and staining in paraffin-embedded human skeletal muscle tissue performed on a Leica BondTM system. After dewaxing and hydration, antigen retrieval was mediated by high pressure in a citrate buffer (pH 6.0). Section was blocked with 10% normal goat serum 30min at RT. Then primary antibody (1% BSA) was incubated at 4°C overnight. The primary is detected by a Goat anti-rabbit polymer IgG labeled by HRP and visualized using 0.05% DAB.
-
Immunofluorescence staining of HepG2 cell with CSB-RA585966A0HU at 1:50, counter-stained with DAPI. The cells were fixed in 4% formaldehyde, permeabilized using 0.2% Triton X-100 and blocked in 10% normal Goat Serum. The cells were then incubated with the antibody overnight at 4°C. The secondary antibody was Alexa Fluor 488-congugated AffiniPure Goat Anti-Rabbit IgG(H+L).
-
Overlay Peak curve showing Hela cells stained with CSB-RA585966A0HU (red line) at 1:100. The cells were fixed in 4% formaldehyde and permeated by 0.2% TritonX-100 for 10min. Then 10% normal goat serum to block non-specific protein-protein interactions followed by the antibody (1ug/1*106cells) for 45min at 4℃. The secondary antibody used was FITC-conjugated goat anti-rabbit IgG (H+L) at 1/200 dilution for 35min at 4℃.Control antibody (green line) was Rabbit IgG (1ug/1*106cells) used under the same conditions. Acquisition of >10,000 events was performed.
-
-
其他:
產品詳情
-
Uniprot No.:
-
基因名:EXOC3
-
別名:Exocyst complex component 3 (Exocyst complex component Sec6), EXOC3, SEC6 SEC6L1
-
反應種屬:Human
-
免疫原:A synthesized peptide from human EXOC3 protein
-
免疫原種屬:Homo sapiens (Human)
-
標記方式:Non-conjugated
-
克隆類型:Monoclonal
-
抗體亞型:Rabbit IgG
-
純化方式:Affinity-chromatography
-
克隆號:11B2
-
濃度:It differs from different batches. Please contact us to confirm it.
-
保存緩沖液:Preservative: 0.03% Proclin 300
Constituents: 50% Glycerol, 0.01M PBS, PH 7.4 -
產品提供形式:Liquid
-
應用范圍:ELISA, IHC, IF, FC
-
推薦稀釋比:
Application Recommended Dilution IHC 1:50-1:200 IF 1:50-1:200 FC 1:50-1:200 -
Protocols:
-
儲存條件:Upon receipt, store at -20°C or -80°C. Avoid repeated freeze.
-
貨期:Basically, we can dispatch the products out in 1-3 working days after receiving your orders. Delivery time maybe differs from different purchasing way or location, please kindly consult your local distributors for specific delivery time.
-
用途:For Research Use Only. Not for use in diagnostic or therapeutic procedures.
相關產品
靶點詳情
-
功能:Component of the exocyst complex involved in the docking of exocytic vesicles with fusion sites on the plasma membrane.
-
基因功能參考文獻:
- Sec6 regulate Bcl-2 and Mcl-1 expressions but not Bcl-xl in malignant peripheral nerve sheath tumor cells. PMID: 26892009
- Sec6 regulates NF-kappaB transcriptional activity via the control of the phosphorylation of IkappaBalpha, p90RSK1, and ERK PMID: 26247921
- The study explores the role of the exocyst complex component Sec6/8 in genomic stability. PMID: 26283729
- Sec6 regulates cytoplasmic translocation of p27 through p27 phosphorylation at Thr157, thereby promoting p27 degradation in the cytoplasm via interaction with Jab1 and Siah1 and suppressing cell cycle progression. PMID: 24949832
- Data demonstrate that the expression of alpha-E-catenin is increased by Sec6 siRNAs, and E-cadherin and beta-catenin localize mainly at the cell-cell contact region in HSC3 cells, which were transfected with Sec6 siRNA. PMID: 22381337
顯示更多
收起更多
-
亞細胞定位:Cytoplasm. Cytoplasm, perinuclear region. Cell projection, growth cone. Midbody. Golgi apparatus. Cell projection, neuron projection.
-
蛋白家族:SEC6 family
-
組織特異性:Expressed in epididymis (at protein level).
-
數據庫鏈接:
Most popular with customers
-
-
YWHAB Recombinant Monoclonal Antibody
Applications: ELISA, WB, IHC, IF, FC
Species Reactivity: Human, Mouse, Rat
-
Phospho-YAP1 (S127) Recombinant Monoclonal Antibody
Applications: ELISA, WB, IHC
Species Reactivity: Human
-
-
-
-
-















