DNM1 Recombinant Monoclonal Antibody
-
中文名稱:DNM1 Recombinant Monoclonal Antibody
-
貨號:CSB-RA554616A0HU
-
規格:¥1320
-
圖片:
-
IHC image of CSB-RA554616A0HU diluted at 1:100 and staining in paraffin-embedded human brain tissue performed on a Leica BondTM system. After dewaxing and hydration, antigen retrieval was mediated by high pressure in a citrate buffer (pH 6.0). Section was blocked with 10% normal goat serum 30min at RT. Then primary antibody (1% BSA) was incubated at 4°C overnight. The primary is detected by a Goat anti-rabbit polymer IgG labeled by HRP and visualized using 0.05% DAB.
-
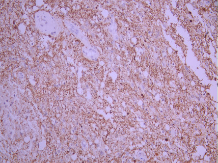
IHC image of CSB-RA554616A0HU diluted at 1:100 and staining in paraffin-embedded human glioma cancer performed on a Leica BondTM system. After dewaxing and hydration, antigen retrieval was mediated by high pressure in a citrate buffer (pH 6.0). Section was blocked with 10% normal goat serum 30min at RT. Then primary antibody (1% BSA) was incubated at 4°C overnight. The primary is detected by a Goat anti-rabbit polymer IgG labeled by HRP and visualized using 0.05% DAB.
-
-
其他:
產品詳情
-
Uniprot No.:
-
基因名:
-
別名:B dynamin antibody; D100 antibody; DNM 1 antibody; DNM antibody; DNM1 antibody; DYN1_HUMAN antibody; Dynamin antibody; Dynamin-1 antibody; Dynamin1 antibody
-
反應種屬:Human
-
免疫原:A synthesized peptide from human DNM1 protein
-
免疫原種屬:Homo sapiens (Human)
-
標記方式:Non-conjugated
-
克隆類型:Monoclonal
-
抗體亞型:Rabbit IgG
-
純化方式:Affinity-chromatography
-
克隆號:20F12
-
濃度:It differs from different batches. Please contact us to confirm it.
-
保存緩沖液:Rabbit IgG in 10mM phosphate buffered saline , pH 7.4, 150mM sodium chloride, 0.05% BSA, 0.02% sodium azide and 50% glycerol.
-
產品提供形式:Liquid
-
應用范圍:ELISA, IHC
-
推薦稀釋比:
Application Recommended Dilution IHC 1:50-1:200 -
Protocols:
-
儲存條件:Upon receipt, store at -20°C or -80°C. Avoid repeated freeze.
-
貨期:Basically, we can dispatch the products out in 1-3 working days after receiving your orders. Delivery time maybe differs from different purchasing way or location, please kindly consult your local distributors for specific delivery time.
-
用途:For Research Use Only. Not for use in diagnostic or therapeutic procedures.
相關產品
靶點詳情
-
功能:Microtubule-associated force-producing protein involved in producing microtubule bundles and able to bind and hydrolyze GTP. Most probably involved in vesicular trafficking processes. Involved in receptor-mediated endocytosis.
-
基因功能參考文獻:
- The twin siblings exhibit mild to moderate intellectual disability and autistic symptoms but no epileptic encephalopathy. Exome sequencing revealed a genetic variant, c.1603A>G (p.Lys535Glu), in the PH domain of dynamin 1. The twin sisters studied here share the de novo variant, c.1603A>G (p.Lys535Glu) in exon 15 of DNM1, classified as likely pathogenic. PMID: 29397573
- The data show that the dynamin-amphiphysin helices are rearranged to form clusters upon GTP hydrolysis and membrane constriction occurs at protein-uncoated regions flanking the clusters. PMID: 29357276
- Together, these observations suggest that while endophilin helps shape endocytic tubules and recruit dynamin to endocytic sites, it can also block membrane fission when present in excess by inhibiting inter-dynamin interactions. PMID: 28933693
- The authors show that in fibroblasts, dynamin GTP hydrolysis occurs as stochastic bursts, which are randomly distributed relatively to the peak of dynamin assembly. Thus, dynamin disassembly is not coupled to GTPase activity, supporting that the GTP energy is primarily spent in constriction. PMID: 29022874
- Dynamin isoforms differentially regulate the endocytosis and apoptotic signaling downstream of TRAIL-death receptor (TRAIL-DR) complexes in cancer cells. TRAIL stimulation activates ryanodine receptor-mediated calcium release from endoplasmic reticulum stores, leading to calcineurin-mediated dephosphorylation and activation of Dyn1, TRAIL-DR endocytosis, and increased resistance to TRAIL-induced apoptosis. PMID: 28049841
- Three genes in our epilepsy cohort (COQ4, DNM1, and PURA), accounting for 14% (3/21) of all novel genetic etiologies identified in patients with epilepsy, were subsequently confirmed in independent publications. PMID: 26795593
- Study delineates the phenotypic spectrum of DNM1 encephalopathy, an emerging disease of synaptic vesicle fission characterized by severe to profound developmental delay, infantile-onset epilepsy beginning with infantile spasms, and movement disorder. The genetic landscape of DNM1 encephalopathy is notable for the recurrent c.709C>T (p.Arg237Trp) variant and localization of mutations to specific domains of the protein. PMID: 28667181
- CLCb/Dyn1-dependent adaptive clathrin-mediated endocytosis selectively altered EGF receptor trafficking. PMID: 28171750
- Down-regulation of Dyn1 activity enhances extracellular Nme1 in human colon tumor cell lines. PMID: 27449069
- Hypoxic down-regulation of constitutive endocytosis is HIF-independent, and involves caveolin-1-mediated inhibition of dynamin-dependent, membrane raft endocytosis. PMID: 27094744
- study reports 2 patients with early onset epileptic encephalopathy possessing de novo DNM1 mutations; detected the novel mutation c.127G>A (p.Gly43Ser) in a patient with Lennox-Gastaut syndrome, and a recurrent mutation c.709C>T (p.Arg237Trp) in a patient with West syndrome PMID: 26611353
- The rare variants in DNM1 were significantly associated with smoking status. PMID: 25450229
- Data indicate that stimulation of the dynamin GTPase activity by SH3 domains is determined by its middle domain. PMID: 26659814
- molecular simulations corroborate the bimodal character of dynamin action and indicate radial and axial forces as dominant, although not independent, drivers of hemi-fission and fission membrane- transformations, respectively PMID: 26123023
- Data indicate the dynamics of a dynamin 1-catalysed GTP hydrolysis and tube-severing reaction in real time using fluorescence microscopy. PMID: 26479317
- This study identified and confirmed DNM1 protein changes within the postsynaptic density in schizophrenia. PMID: 25048004
- findings support a role for HTT on dynamin 1 function and ER homoeostasis. Proteolysis-induced alteration of this function may be relevant to disease. PMID: 26165689
- CRISPR-Cas9n-mediated knockout and reconstitution studies establish that dynamin-1 is activated by Akt/GSK3beta signaling in H1299 non-small lung cancer cells. PMID: 26139537
- Data suggest that by binding to both clathrin and F-actin, mammalian actin-binding protein 1 (mAbp1; HIP-55 or SH3P7) is specifically recruited at a late stage of clathrin-coated pits (CCPs) formation, which subsequently recruits dynamin to CCPs. PMID: 25690657
- Dynamin 1 and dynamin 2 activity are not essential for Chlamydia trachomatis internalization but is required for normal development. PMID: 25116793
- activity-dependent acceleration is only prominent at physiological temperature and that the mechanism of this modulation is based on the dephosphorylation of dynamin 1 PMID: 23908769
- determined the alpha-synuclein-binding domain of beta-III tubulin and demonstrated that a short fragment containing this domain can suppress alpha-synuclein accumulation in the primary cultured cells PMID: 25031323
- De novo mutations in synaptic transmission genes including DNM1 cause epileptic encephalopathies. PMID: 25262651
- Data show that the classical dynamin DNM1 and DNM3 genes reach their maximum expression levels (100% of maximal expression) in all normal central nervous system tissues studied. PMID: 24673776
- Alternate pleckstrin homology domain orientations regulate dynamin-catalyzed membrane fission. PMID: 24478459
- Dynamin1 is associated with both preserved cognition and regenerative responses in older people with cerebrovascular disease and may represent a novel treatment target. PMID: 24486840
- findings show NDPKs (NM23-H1/H2/H4) interact with and provide GTP to dynamins, allowing these motor proteins to work with high thermodynamic efficiency for membrane remodeling PMID: 24970086
- Data suggest that dynorphin A (DynA) is ligand for opioid receptor kappa (KOR); upon DynA binding, only small chemical shifts observed in second extracellular loop of KOR; chemical shift changes of DynA show conclusively that DynA interacts with KOR. PMID: 24616919
- The discovery that the pre-mRNA sequence of dnm1 in humans has sequence features similar to that of the alternative splicing patterns observed in insects greatly expands the applicability of the docking site-selector sequence pairing model to bilaterian animals. PMID: 23793749
- analysis of how the membrane interactions of disease-related dynorphin A variants cause differences in cell toxicity PMID: 23705820
- dyn1 affects amyloid generation through regulation of BACE-1 subcellular localization and therefore its enzymatic activities. PMID: 23024787
- Herpes simplex virus type 1 can enter human keratinocytes by alternative entry pathways that require dynamin and host cholesterol. PMID: 22022400
- Study presents the GMPPCP-bound structures of the truncated human dynamin 1 helical polymer at 12.2 A and a fusion protein, GG, linking human dynamin 1's catalytic G domain to its GTPase effector domain (GED) at 2.2 A. PMID: 21962517
- crystal structure of human dynamin 1 in the nucleotide-free state with a four-domain architecture comprising the GTPase domain, the bundle signalling element, the stalk and the pleckstrin homology domain. PMID: 21927000
- A new role for the dynamin-1 GTPase in the regulation of fusion pore expansion PMID: 21460182
- In conclusion, Clostridium botulinum C2 toxin is endocytosed by dynamin-dependent mechanisms and we provide evidence for involvement of clathrin and Rho. PMID: 20690924
- 2.0 A resolution crystal structure of a human dynamin 1-derived minimal GTPase-GED fusion protein, which was dimeric in the presence of the transition state mimic GDP.AlF(4)(-) PMID: 20428113
- Endocytosis of FcalphaR is clathrin- and dynamin-dependent, but is not regulated by Rab5, and the endocytic motif is not located in the cytoplasmic domain of FcalphaR. PMID: 19859085
- Data suggest that the components of the GTPase-GED interface act as an intramolecular signaling module, which we term the bundle signaling element, that can modulate dynamin function in vitro and in vivo. PMID: 19515832
- Results demonstrate that, in concert with dynamin-1 self-assembly, pleckstrin homology domain membrane insertion is essential for fission and vesicle release in vitro and for clathrin-mediated endocytosis in vivo. PMID: 19776347
- These findings suggest that dynamin is part of a protein network that controls nucleation of actin from membranes. PMID: 11782545
- dynamin-dependent endocytosis is inhibited by syntaphilin PMID: 12896979
- serglycin-bound granzyme B in high-molecular-weight degranulate material from cytotoxic T lymphocytes predominantly followed a dynamin-dependent pathway to kill target cells PMID: 14739229
- Point mutations were made in the GTPase effector/assembly domain (GED)of dynamin 1 and tested for their effects on self-assembly and clathrin-mediated endocytosis. PMID: 15004222
- dynamin-1 interacts with Sumo-1, Ubc9, and PIAS-1, all of which are members of the sumoylation machinery PMID: 15123615
- Dynamin GTPase domain is important for GTP binding, GTP hydrolysis, and clathrin-mediated endocytosis PMID: 15262989
- dynamin, Cbl, and Src coordinately participate in signaling complexes that are important in the assembly and remodeling of the actin cytoskeleton, leading to changes in osteoclast adhesion, migration, and resorption PMID: 15872089
- S-nitrosylation of dynamin regulates endocytosis through nitric oxide PMID: 16432212
- PLD functions as a GTPase activating protein (GAP) through its phox homology domain (PX), which directly activates the GTPase domain of dynamin and increased epidermal growth factor receptor (EGFR) endocytosis at physiological EGF concentrations. PMID: 16622417
- Data show that swapping the highly homologous GTPase domain of dynamin-2 into dynamin-1 is sufficient to confer caspase-3 activation. PMID: 16938290
顯示更多
收起更多
-
相關疾病:Epileptic encephalopathy, early infantile, 31 (EIEE31)
-
亞細胞定位:Cytoplasm. Cytoplasm, cytoskeleton. Note=Microtubule-associated.
-
蛋白家族:TRAFAC class dynamin-like GTPase superfamily, Dynamin/Fzo/YdjA family
-
數據庫鏈接:
Most popular with customers
-
-
YWHAB Recombinant Monoclonal Antibody
Applications: ELISA, WB, IHC, IF, FC
Species Reactivity: Human, Mouse, Rat
-
Phospho-YAP1 (S127) Recombinant Monoclonal Antibody
Applications: ELISA, WB, IHC
Species Reactivity: Human
-
-
-
-
-















