CYP2D6 Recombinant Monoclonal Antibody
-
中文名稱:CYP2D6 Recombinant Monoclonal Antibody
-
貨號:CSB-RA234050A0HU
-
規格:¥1320
-
圖片:
-
Western Blot
Positive WB detected in: LO2 whole cell lysate(30μg), Mouse liver tissue lysate(30μg)), Rat liver tissue lysate(30μg)), Mouse colorectal tissue lysate(30μg)), Rat colorectal tissue lysate(30μg)
All lanes: Cytochrome P450 2D6 antibody at 1:1000
Secondary
Goat polyclonal to rabbit IgG at 1/40000 dilution
Predicted band size: 56 kDa
Observed band size: 56 kDa
Exposure time:20s -
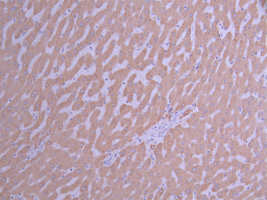
IHC image of CSB-RA234050A0HU diluted at 1:100 and staining in paraffin-embedded human liver cancer performed on a Leica BondTM system. After dewaxing and hydration, antigen retrieval was mediated by high pressure in a citrate buffer (pH 6.0). Section was blocked with 10% normal goat serum 30min at RT. Then primary antibody (1% BSA) was incubated at 4°C overnight. The primary is detected by a Goat anti-rabbit polymer IgG labeled by HRP and visualized using 0.05% DAB.
-
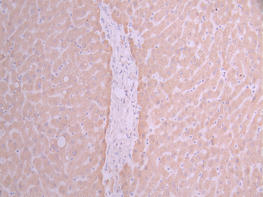
IHC image of CSB-RA234050A0HU diluted at 1:100 and staining in paraffin-embedded human liver tissue performed on a Leica BondTM system. After dewaxing and hydration, antigen retrieval was mediated by high pressure in a citrate buffer (pH 6.0). Section was blocked with 10% normal goat serum 30min at RT. Then primary antibody (1% BSA) was incubated at 4°C overnight. The primary is detected by a Goat anti-rabbit polymer IgG labeled by HRP and visualized using 0.05% DAB.
-
Immunofluorescence staining of HepG2 cell with CSB-RA234050A0HU at 1:50, counter-stained with DAPI. The cells were fixed in 4% formaldehyde, permeabilized using 0.2% Triton X-100 and blocked in 10% normal Goat Serum. The cells were then incubated with the antibody overnight at 4°C. The secondary antibody was Alexa Fluor 488-congugated AffiniPure Goat Anti-Rabbit IgG(H+L).
-
Overlay Peak curve showing HepG2 cells stained with CSB-RA234050A0HU (red line) at 1:100. The cells were fixed in 4% formaldehyde and permeated by 0.2% TritonX-100 for 10min. Then 10% normal goat serum to block non-specific protein-protein interactions followed by the antibody (1ug/1*106cells) for 45min at 4℃. The secondary antibody used was FITC-conjugated goat anti-rabbit IgG (H+L) at 1/200 dilution for 35min at 4℃.Control antibody (green line) was Rabbit IgG (1ug/1*106cells) used under the same conditions. Acquisition of >10,000 events was performed.
-
-
其他:
產品詳情
-
Uniprot No.:
-
基因名:CYP2D6
-
別名:Cytochrome P450 2D6 (EC 1.14.14.1) (CYPIID6) (Cholesterol 25-hydroxylase) (Cytochrome P450-DB1) (Debrisoquine 4-hydroxylase), CYP2D6, CYP2DL1
-
反應種屬:Human, Mouse, Rat
-
免疫原:A synthesized peptide from human CYP2D6 protein
-
免疫原種屬:Homo sapiens (Human)
-
標記方式:Non-conjugated
-
克隆類型:Monoclonal
-
抗體亞型:Rabbit IgG
-
純化方式:Affinity-chromatography
-
克隆號:7B8
-
濃度:It differs from different batches. Please contact us to confirm it.
-
保存緩沖液:Preservative: 0.03% Proclin 300
Constituents: 50% Glycerol, 0.01M PBS, PH 7.4 -
產品提供形式:Liquid
-
應用范圍:ELISA, WB, IHC, IF, FC
-
推薦稀釋比:
Application Recommended Dilution WB 1:500-1:2000 IHC 1:50-1:200 IF 1:50-1:200 FC 1:50-1:200 -
Protocols:
-
儲存條件:Upon receipt, store at -20°C or -80°C. Avoid repeated freeze.
-
貨期:Basically, we can dispatch the products out in 1-3 working days after receiving your orders. Delivery time maybe differs from different purchasing way or location, please kindly consult your local distributors for specific delivery time.
-
用途:For Research Use Only. Not for use in diagnostic or therapeutic procedures.
相關產品
靶點詳情
-
功能:A cytochrome P450 monooxygenase involved in the metabolism of fatty acids, steroids and retinoids. Mechanistically, uses molecular oxygen inserting one oxygen atom into a substrate, and reducing the second into a water molecule, with two electrons provided by NADPH via cytochrome P450 reductase (NADPH--hemoprotein reductase). Catalyzes the epoxidation of double bonds of polyunsaturated fatty acids (PUFA). Metabolizes endocannabinoid arachidonoylethanolamide (anandamide) to 20-hydroxyeicosatetraenoic acid ethanolamide (20-HETE-EA) and 8,9-, 11,12-, and 14,15-epoxyeicosatrienoic acid ethanolamides (EpETrE-EAs), potentially modulating endocannabinoid system signaling. Catalyzes the hydroxylation of carbon-hydrogen bonds. Metabolizes cholesterol toward 25-hydroxycholesterol, a physiological regulator of cellular cholesterol homeostasis. Catalyzes the oxidative transformations of all-trans retinol to all-trans retinal, a precursor for the active form all-trans-retinoic acid. Also involved in the oxidative metabolism of drugs such as antiarrhythmics, adrenoceptor antagonists, and tricyclic antidepressants.
-
基因功能參考文獻:
- prevalence of CYP2D6*4 1934AA genotype was higher in total HIV patients compared to healthy controls; similarly, CYP2D6*4 1934AA genotype was much more prevalent in HIV patients without hepatotoxicity compared to healthy controls; there was no significant difference in genotype or allele frequencies of CYP2D6*4 1934G/A polymorphism between the patients with hepatotoxicity and those without or healthy controls PMID: 30357957
- CYP2D6 polymorphisms increase vulnerability to tramadol-induced hepatotoxicity. PMID: 29555325
- Hot flash severity during tamoxifen therapy can not be accounted for by CYP2D6 genotype or observed plasma concentration of tamoxifen, 4-hydroxytamoxifen, or endoxifen PMID: 29980881
- found a novel haplotype which involves 100C>T without 4180G>C PMID: 28606035
- There was a significant difference in baseline neuropsychological scores among schizophrenia patients with three genotypes of CYP2D6 rs1135840. Also, rs1135840 showed a significant association with change in scores after risperidone treatment. This reflected a smaller change in GG genotype than C allele carriers; comparison of these two genotype groups gave a significant difference. PMID: 28131599
- The ratio dehydro-aripiprazole/aripiprazole was influenced by CYP2D6 phenotype PMID: 29325225
- In a cohort of schizophrenia inpatients CYP2D6 metabolic activity affects mean AP daily dose only in the presence of DRD2 Taq1A polymorphic allele. CYP2D6 metabolic activity correlates independently from DRD2 Taq1A polymorphism with hospital stay duration. Subpopulation of schizophrenia inpatients with altered CYP2D6 activity (PMs and UMs) carriers of Taq1A polymorphisms needs special attention of clinicians in aligning o PMID: 29930225
- Dacomitinib total (AUCinf) and peak exposures (Cmax) were similar among subjects with different CYP2D6 genotypes. PMID: 28648122
- CYP2D6*4 Polymorphism is associated with drug resistance in Breast Cancer. PMID: 29479969
- Comparisons of pharmacokinetics of 25 substrates CYP2C9, CYP2C19, or CYP2D6 in healthy Chinese and European subjects (classified with same enzyme activity) suggest that, for most substrates, limited interethnic pharmacokinetic differences exist (according to the databases used in this study). (CYP2C9 = cytochrome P450 family 2 subfamily C member 9; CYP2C19 = cytochrome P450 family 2 subfamily C member 19) PMID: 29181698
- TAM metabolism is extremely complex and involves several drug-metabolizing enzymes. Despite having shown a clear gene-exposure effect, CYP2D6 genotype can only partially explain the interindividual variability observed in TAM metabolite levels. PMID: 27698402
- CYP2D6 polymorphisms were not associated with hypertension risk. PMID: 29549925
- Results found significant association of C2850T, G1846A and C100T polymorphisms of CYP2D6 with coronary artery disease especially in females of North-West Indian population. PMID: 29660517
- This population-based study does not support the hypothesis that patients with diminished CYP2D6 activity achieve inferior tamoxifen benefit. These contradictory findings suggest that the association between CYP2D6 genotype and tamoxifen treatment efficacy is null or near null, and unlikely to be useful in clinical practice. PMID: 28730340
- The study results indicated the good response pattern was influenced by the concentration of donepezil, but not by APOE and CYP2D6 polymorphisms. PMID: 27716659
- tamoxifen biotransformation to endoxifen is highly dependent on CYP2D6 activity; however, it is unclear whether there is an association between CYP2D6 genotype or endoxifen concentration and tamoxifen efficacy. PMID: 27249031
- even though the available recommendations are against the CYP2D6 screening, the negative results of clinical trials may have been biased by issues in data collection, analysis and interpretation. PMID: 27883289
- CYP2D6 protein and activity levels did not differ significantly between the genotypes (CYP2D6*1/*1, *1/*10, and *10/*10 genotypes) in the small intestine of the Japanese population. PMID: 28626197
- genetic association studies in Chinese population: Data suggest that genetic polymorphisms and mutations in CYP2D6 are associated with alterations in metabolism of the anti-hemangioma medication hemangeol; some genetic alterations exclude hemangeol as a substrate for CYP2D6. PMID: 26542054
- Genetic polymorphisms of some CYP enzymes, especially CYP2D6*10, could affect enzyme activity in hepatocellular carcinoma PMID: 27203676
- This study demonstrates that the GSTP1*B and *C allelic variants may be considered a candidate gene for AD[Alzheimer disease]. It can be suggested that although CYP2D6*4 polymorphism is not a risk of AD[Alzheimer disease], the CYP2D6*4 and GSTP1 polymorphism may interact with beta-HCH, dieldrin, and copper to influence the risk of AD [Alzheimer disease]. PMID: 24584466
- The number of functional CYP2D6 genes was positively associated with an increased risk of tardive dyskinesia, and suggest that this could be due to the generation of neurotoxic metabolites. PMID: 24595968
- study found the 1846A allele frequency in Tatars was lower than in Russians, but the difference was not statistically significant; a statistically significant association between the development of extrapyramidal disorders (EPD) during haloperidol monotherapy and heterozygous 1846GA genotype and 1846A allele frequency was revealed among all schizophrenic patients and among those of Tatar ethnicity PMID: 27875318
- The loss of function CYP2D6*3 (g.2549delA, rs35742686) genetic variant was found and contained the CYP2D6 g.2470T>C (rs17002852) variation, which had an allele frequency of 2.47%. PMID: 29073588
- The CYP2D6 genotype may be potentially effective for predicting the response to donepezil treatment in Alzheimer's Disease patients. PMID: 27282366
- We exploited CYP2D6 allele-frequency data that have been compiled for Clinical Pharmacogenetics Implementation Consortium (CPIC) guidelines .This comprehensive study summarizes allele frequencies, diplotypes, and predicted phenotype across major populations, providing a rich data resource for clinicians and researchers. Challenges of phenotype prediction from genotype data are highlighted and discussed. PMID: 27388693
- In utero exposure to opioids is associated with increased DNA methylation of ABCB1, CYP2D6, and OPRM1 opioid-related genes in the newborn infant. PMID: 28867064
- A total of 72 single nucleotide polymorphisms were identified. CYP2D6*1, *2, *4, *5, *10,*41, and duplication of the gene were found in the Orang Asli, whereby CYP2D6*2 and *41 alleles are reported for the first time in the Malaysian population PMID: 28525288
- Data suggest that expression of CYP2D6 in hepatocytes is repressed by MIRN370 (hsa-miR-370-3p); MIRN370 represses expression of CYP2D6 even under the influence of CYP2D6 inducer (the glucocorticoid dexamethasone); the mechanism appears to involve the facilitation of CYP2D6 mRNA degradation. (CYP2D6 = cytochrome P450 family 2 subfamily D member 6; MIRN370 = microRNA 370) PMID: 28552654
- Report predicted and measured CYP2D6 phenotype in a diverse South African population. PMID: 26503815
- No association between cytochrome P450 CYP2D6 ultra-rapid metabolizer status and attempted suicide was observed in bivariate PMID: 27463022
- Studied frequency of ADRB1 Arginine389Glycine (Arg389Gly) and Cytochrome p450 2D6*10 (Cyp2D6*10) polymorphism in cases of heart failure-reduced ejection fraction (HFREF), and to evaluate the influence of the polymorphisms in response to beta-blocker (BB) therapy; found a statistically significant association was observed with CC genotype and Glisin-Glisin (GG) genotype. PMID: 27665326
- Variant genotypes of CYP2D6 are associated with an increased risk of esophageal squamous cell carcinoma in Kashmir, India. PMID: 28368717
- genetic variation in CYP2D6 is a key predictor for the response to tamoxifen in patients with breast cancer PMID: 27797974
- These results indicated that most of the allelic variants of CYP2D6 studied here, exhibited significantly decreased enzymatic activities towards methadone N-demethylation. PMID: 26968424
- Evaluation of CYP2D6 ultrarapid metabolism should take into account activity of the multiplied alleles to avoid potential misclassification. PMID: 27272044
- Of 830 patients with sickle cell disease, 621 (75%) had a CYP2D6 genotype result; 7.1% were ultra-rapid or possible ultra-rapid metabolizers, and 1.4% were poor metabolizers. PMID: 27335380
- The purpose of this study was to determine the magnitude of effect of CYP2D6 genotype (activity score) on the dose-exposure relationship for ATX and its metabolites in children and adolescents with ADHD. PMID: 26660002
- The kinetic parameters Km , Vmax and intrinsic clearance (Vmax /Km ) of N-desmethyltamoxifen were determined using CYP2D6 variants found in Chinese Han population. PMID: 27109434
- present data in vitro suggest that the newly found variants significantly reduced catalytic activities compared with CYP2D6.1; given that CYP2D6 protein activities could affect carvedilol plasma levels, these findings are greatly relevant to personalized medicine PMID: 27354764
- this meta-analysis shows that CYP2D6 gene polymorphisms are associated with susceptibility to autoimmune diseases in Caucasians PMID: 27749127
- CYP2D6 polymorphisms were associated with decreased rates of pharmacokinetics and pharmacodynamics of 3,4-methylene-dioxymethamphetamine. PMID: 27253829
- CYP2D6(*)10 mutations affect the pharmacokinetics of iloperidone and its metabolites in Chinese schizophrenia patients, suggesting that the clinical doses of iloperidone for patients with CYP2D6(*)10 mutations need to be optimized. PMID: 27665849
- This study assess the catalytic activities of 24 CYP2D6 alleles variants toward tolterodine in vitro. There are 8 variants which showed altered catalytic activity toward tolterodine. PMID: 28087463
- CYP2D6 polymorphisms were associated with the formation of O-desmethyl gefitinib from gefitinib. PMID: 27154635
- allele were found to be related to the susceptibility to organophosphate chronic toxicity in Egyptians. PMID: 26723569
- Olanzapine clearance was not affected by CYP2D6 or FMO3 genotypes or smoking behavior as a single factor under the present conditions because olanzapine clearance is mediated by multiple enzymes involved in two major and one minor pathways PMID: 26856397
- Individual differences in metabolic clearance of risperidone under the present conditions were not significantly influenced by the genotypes of CYP2D6 or CYP3A5 PMID: 26856541
- The multiplex SNaPshot method allows for specific and accurate detection of CYP2D6 genotypes and ADRB1 genotypes and haplotypes. This platform is simple and efficient and suited for high throughput. PMID: 27108086
- CYP2D6 variants affect bufuralol and dextromethorphan in a Chinese population PMID: 26310775
顯示更多
收起更多
-
亞細胞定位:Endoplasmic reticulum membrane; Peripheral membrane protein. Microsome membrane; Peripheral membrane protein.
-
蛋白家族:Cytochrome P450 family
-
數據庫鏈接:
Most popular with customers
-
-
YWHAB Recombinant Monoclonal Antibody
Applications: ELISA, WB, IHC, IF, FC
Species Reactivity: Human, Mouse, Rat
-
Phospho-YAP1 (S127) Recombinant Monoclonal Antibody
Applications: ELISA, WB, IHC
Species Reactivity: Human
-
-
-
-
-















