CSE1L Recombinant Monoclonal Antibody
-
中文名稱:CSE1L Recombinant Monoclonal Antibody
-
貨號:CSB-RA901089A0HU
-
規格:¥1320
-
圖片:
-
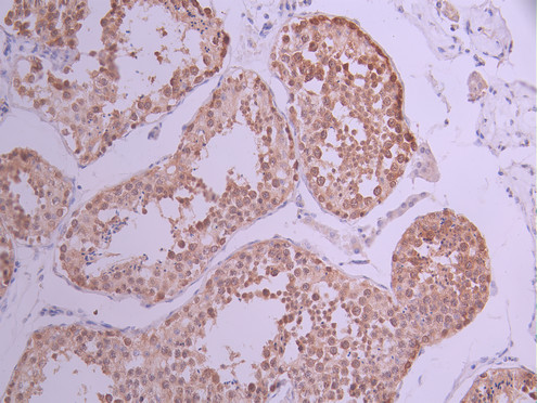
IHC image of CSB-RA901089A0HU diluted at 1:100 and staining in paraffin-embedded human testis tissue performed on a Leica BondTM system. After dewaxing and hydration, antigen retrieval was mediated by high pressure in a citrate buffer (pH 6.0). Section was blocked with 10% normal goat serum 30min at RT. Then primary antibody (1% BSA) was incubated at 4°C overnight. The primary is detected by a Goat anti-rabbit polymer IgG labeled by HRP and visualized using 0.05% DAB.
-
Immunofluorescence staining of A431 cell with CSB-RA901089A0HU at 1:50, counter-stained with DAPI. The cells were fixed in 4% formaldehyde, permeabilized using 0.2% Triton X-100 and blocked in 10% normal Goat Serum. The cells were then incubated with the antibody overnight at 4°C. The secondary antibody was Alexa Fluor 488-congugated AffiniPure Goat Anti-Rabbit IgG(H+L).
-
Overlay Peak curve showing BxPC-3 cells stained with CSB-RA901089A0HU (red line) at 1:100. The cells were fixed in 4% formaldehyde and permeated by 0.2% TritonX-100 for 10min. Then 10% normal goat serum to block non-specific protein-protein interactions followed by the antibody (1ug/1*106cells) for 45min at 4℃. The secondary antibody used was FITC-conjugated goat anti-rabbit IgG (H+L) at 1/200 dilution for 35min at 4℃.Control antibody (green line) was Rabbit IgG (1ug/1*106cells) used under the same conditions. Acquisition of >10,000 events was performed.
-
-
其他:
產品詳情
-
Uniprot No.:
-
基因名:CSE1L
-
別名:Exportin-2 (Exp2) (Cellular apoptosis susceptibility protein) (Chromosome segregation 1-like protein) (Importin-alpha re-exporter), CSE1L, CAS XPO2
-
反應種屬:Human
-
免疫原:A synthesized peptide from human CSE1L protein
-
免疫原種屬:Homo sapiens (Human)
-
標記方式:Non-conjugated
-
克隆類型:Monoclonal
-
抗體亞型:Rabbit IgG
-
純化方式:Affinity-chromatography
-
克隆號:5D10
-
濃度:It differs from different batches. Please contact us to confirm it.
-
保存緩沖液:Preservative: 0.03% Proclin 300
Constituents: 50% Glycerol, 0.01M PBS, PH 7.4 -
產品提供形式:Liquid
-
應用范圍:ELISA, IHC, IF, FC
-
推薦稀釋比:
Application Recommended Dilution IHC 1:50-1:200 IF 1:50-1:200 FC 1:50-1:200 -
Protocols:
-
儲存條件:Upon receipt, store at -20°C or -80°C. Avoid repeated freeze.
-
貨期:Basically, we can dispatch the products out in 1-3 working days after receiving your orders. Delivery time maybe differs from different purchasing way or location, please kindly consult your local distributors for specific delivery time.
-
用途:For Research Use Only. Not for use in diagnostic or therapeutic procedures.
相關產品
靶點詳情
-
功能:Export receptor for importin-alpha. Mediates importin-alpha re-export from the nucleus to the cytoplasm after import substrates (cargos) have been released into the nucleoplasm. In the nucleus binds cooperatively to importin-alpha and to the GTPase Ran in its active GTP-bound form. Docking of this trimeric complex to the nuclear pore complex (NPC) is mediated through binding to nucleoporins. Upon transit of a nuclear export complex into the cytoplasm, disassembling of the complex and hydrolysis of Ran-GTP to Ran-GDP (induced by RANBP1 and RANGAP1, respectively) cause release of the importin-alpha from the export receptor. CSE1L/XPO2 then return to the nuclear compartment and mediate another round of transport. The directionality of nuclear export is thought to be conferred by an asymmetric distribution of the GTP- and GDP-bound forms of Ran between the cytoplasm and nucleus.
-
基因功能參考文獻:
- CSE1L expression was correlated with MSH6 expression in tumor samples and was associated with poor prognosis in patients with osteosarcoma. Taken together, our results demonstrate that the CSE1L-MSH6 axis has an important role in osteosarcoma progression. PMID: 28387323
- CSE1L appears to be critical for the nuclear import of certain key repressive proteins. Indeed, NOVA1, HDAC1, HDAC2, and HDAC8, genes known as silencing factors, became delocalized into cytosol upon CSE1L depletion. PMID: 29636421
- The combination of CTNB1, XPO2, and CAPG achieved 95% sensitivity and 96% specificity for the discrimination of these subtypes. We developed two uterine aspirate-based signatures to diagnose Endometrial cancer and classify tumors in the most prevalent histologic subtypes. This will improve diagnosis and assist in the prediction of the optimal surgical treatment PMID: 28790116
- Our data suggest a previously unanticipated link between CAS and integrin beta1 signaling which correlates with an aggressive hepatocellular carcinoma phenotype. PMID: 27015362
- CSE1L knockdown by shRNA inhibited protein, resulting in decreased cell proliferation, reduced colony formation in soft agar, and induction of apoptosis. CSE1L protein is expressed early and across all stages of colorectal carcinoma (CRC) development. shRNA knockdown of CSE1L was associated with inhibition of tumorigenesis in CRC cells. CSE1L may represent a potential target for treatment of CRC. PMID: 27521996
- Data suggest that CAS overexpression in thyroid carcinoma depends on the subtype and the disease stage. Our findings also indicate that CAS maintains papillary thyroid cell proliferation and survival. PMID: 26892809
- There is a relationship between nuclear CSE1L overexpression and distant metastasis in breast cancer. PMID: 26278417
- CAS plays contrasting roles in proliferation and apoptosis PMID: 26668314
- hCAS/CSE1L is responsible for controlling the homologous recombinational repair activity by directly interacting with RAD51. PMID: 26123175
- nuclear CSE1L is mainly non-phosphorylated CSE1L and is involved in gene regulation and cytoplasmic CSE1L is mainly phosphorylated CSE1L and is involved in cytoplasmic signaling regulation in melanocytic tumorigenesis. PMID: 25973023
- These results indicate that CSE1L is associated with viability and apoptosis, cellular adhesion and invasion, thus implicating CSE1L in the progression of colorectal cancer. PMID: 22450763
- The cellular apoptosis susceptibility/importin-alpha1 transport cycle is linked to X-linked inhibitor (XIAP) and is required to maintain tumor cell survival in hepatocellular carcinoma. PMID: 24799195
- CSE1L expression was significantly inhibited in RKO cells, causing cell cycle arrest in the G2/M and S phases and a delay in cell proliferation, as well as induction of apoptosis and an inhibition of colony growth capacity. PMID: 23621178
- Most colorectal tumors were positive for CSE1L staining (98.4%). CRT's with K-Ras mutation or high cytoplasmic CSE1L expression were correlated with T status (depth of tumor penetration; P = .004), stage (P = .004), and lymph node metastasis (P = .019). PMID: 23806821
- Our results suggest that urinary CSE1L deserves further evaluation for the screening of bladder cancer. PMID: 22653741
- CSE1L- and inhibitor of DNA binding-3 (ID3)-overexpression was associated with the diagnosis of BL and signal transduction and transcription-3 (STAT3) with DLBCL (P<0.001 for all markers). All three markers were associated with patient outcome in DLBCL PMID: 22967991
- CSE1L may be involved in the "early" and "late" metastasis of tumor cells in tumorigenesis. PMID: 22952058
- Nuclear CSE1L may play an oncogenic role in bladder tumor progression and that immunohistochemical staining of nuclear CSE1L may be useful for the prognosis of bladder urothelial carcinomas. PMID: 22476051
- CAS protein expression is related closely to tumor differentiation in hepatocellular carcinoma tissues. PMID: 23189846
- Data show that CSE1L, DIDO1 and RBM39 mRNA expression levels correlated with chromosome 20q DNA copy number status. PMID: 22711543
- the requirement for and the regulation of CAS in the functioning of the Vpr-Impalpha complex PMID: 22110766
- Increased immunoexpression of CAS protein in serous ovarian tumors may be useful in identifying the patients with more aggressive disease. PMID: 21290345
- These results indicate that examination of CSE1L and E-cadherin distribution in colorectal epithelium glands may be valuable for evaluating the malignance of colorectal disease. PMID: 20734115
- Serum cellular apoptosis susceptibility protein may have a role in progression of metastatic colorectal cancer PMID: 20150437
- CAS/CSE 1 stimulates E-cadhrin-dependent cell polarity in HT-29 human colon epithelial cells. PMID: 12061792
- CSE1L/CAS has a role in proliferation and apoptosis [review] PMID: 12510150
- a single phosphorylation site on CAS can effectively separate cell migration from other transformed growth characteristics PMID: 12972425
- Results suggested that CAS may be associated with cell proliferation rather than apoptosis, and further, CAS might play an important role in the development of human hepatocellular carcinoma. PMID: 16786158
- hCAS/CSE1L associates with chromatin and regulates expression of select p53 target genes. PMID: 17719542
- These results indicate that CAS may play an important role in regulating the cytotoxicities of chemotherapeutic drugs. PMID: 18377724
- Results show that heat upregulates the initial docking of importin-alpha at the nuclear envelope and stimulates the translocation of cellular apoptosis susceptibility protein into the nuclear interior. PMID: 18425415
- PHAPI, CAS, and Hsp70 function together to accelerate nucleotide exchange on Apaf-1 and prevent inactive Apaf-1/cytochrome c aggregation. PMID: 18439902
- Herein, we report that cellular apoptosis susceptibility (CAS) (or CSE1L) protein regulates the secretion of HT-29 human colorectal cells. PMID: 19224336
顯示更多
收起更多
-
亞細胞定位:Cytoplasm. Nucleus.
-
蛋白家族:XPO2/CSE1 family
-
組織特異性:Detected in brain, placenta, ovary, testis and trachea (at protein level). Widely expressed. Highly expressed in testis and in proliferating cells.
-
數據庫鏈接:
Most popular with customers
-
-
YWHAB Recombinant Monoclonal Antibody
Applications: ELISA, WB, IHC, IF, FC
Species Reactivity: Human, Mouse, Rat
-
Phospho-YAP1 (S127) Recombinant Monoclonal Antibody
Applications: ELISA, WB, IHC
Species Reactivity: Human
-
-
-
-
-















