CIRBP Recombinant Monoclonal Antibody
-
中文名稱:CIRBP Recombinant Monoclonal Antibody
-
貨號:CSB-RA821323A0HU
-
規格:¥1320
-
圖片:
-
IHC image of CSB-RA821323A0HU diluted at 1:100 and staining in paraffin-embedded human breast cancer performed on a Leica BondTM system. After dewaxing and hydration, antigen retrieval was mediated by high pressure in a citrate buffer (pH 6.0). Section was blocked with 10% normal goat serum 30min at RT. Then primary antibody (1% BSA) was incubated at 4°C overnight. The primary is detected by a Goat anti-rabbit polymer IgG labeled by HRP and visualized using 0.05% DAB.
-
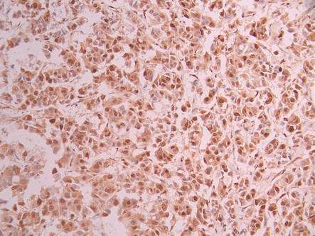
IHC image of CSB-RA821323A0HU diluted at 1:100 and staining in paraffin-embedded human stomach tissue performed on a Leica BondTM system. After dewaxing and hydration, antigen retrieval was mediated by high pressure in a citrate buffer (pH 6.0). Section was blocked with 10% normal goat serum 30min at RT. Then primary antibody (1% BSA) was incubated at 4°C overnight. The primary is detected by a Goat anti-rabbit polymer IgG labeled by HRP and visualized using 0.05% DAB.
-
Immunofluorescence staining of Hela cell with CSB-RA821323A0HU at 1:50, counter-stained with DAPI. The cells were fixed in 4% formaldehyde, permeabilized using 0.2% Triton X-100 and blocked in 10% normal Goat Serum. The cells were then incubated with the antibody overnight at 4°C. The secondary antibody was Alexa Fluor 488-congugated AffiniPure Goat Anti-Rabbit IgG(H+L).
-
Overlay Peak curve showing A549 cells stained with CSB-RA821323A0HU (red line) at 1:100. The cells were fixed in 4% formaldehyde and permeated by 0.2% TritonX-100 for 10min. Then 10% normal goat serum to block non-specific protein-protein interactions followed by the antibody (1ug/1*106cells) for 45min at 4℃. The secondary antibody used was FITC-conjugated goat anti-rabbit IgG (H+L) at 1/200 dilution for 35min at 4℃.Control antibody (green line) was Rabbit IgG (1ug/1*106cells) used under the same conditions. Acquisition of >10,000 events was performed.
-
-
其他:
產品詳情
-
Uniprot No.:
-
基因名:CIRBP
-
別名:Cold-inducible RNA-binding protein (A18 hnRNP) (Glycine-rich RNA-binding protein CIRP), CIRBP, A18HNRNP CIRP
-
反應種屬:Human
-
免疫原:A synthesized peptide from human CIRBP protein
-
免疫原種屬:Homo sapiens (Human)
-
標記方式:Non-conjugated
-
克隆類型:Monoclonal
-
抗體亞型:Rabbit IgG
-
純化方式:Affinity-chromatography
-
克隆號:11A9
-
濃度:It differs from different batches. Please contact us to confirm it.
-
保存緩沖液:Preservative: 0.03% Proclin 300
Constituents: 50% Glycerol, 0.01M PBS, PH 7.4 -
產品提供形式:Liquid
-
應用范圍:ELISA, IHC, IF, FC
-
推薦稀釋比:
Application Recommended Dilution IHC 1:50-1:200 IF 1:50-1:200 FC 1:50-1:200 -
Protocols:
-
儲存條件:Upon receipt, store at -20°C or -80°C. Avoid repeated freeze.
-
貨期:Basically, we can dispatch the products out in 1-3 working days after receiving your orders. Delivery time maybe differs from different purchasing way or location, please kindly consult your local distributors for specific delivery time.
-
用途:For Research Use Only. Not for use in diagnostic or therapeutic procedures.
相關產品
靶點詳情
-
功能:Cold-inducible mRNA binding protein that plays a protective role in the genotoxic stress response by stabilizing transcripts of genes involved in cell survival. Acts as a translational activator. Seems to play an essential role in cold-induced suppression of cell proliferation. Binds specifically to the 3'-untranslated regions (3'-UTRs) of stress-responsive transcripts RPA2 and TXN. Acts as a translational repressor. Promotes assembly of stress granules (SGs), when overexpressed.
-
基因功能參考文獻:
- The serum and synovial concentrations of CIRP in the rheumatoid arthritis patients were increased, suggesting that CIRP mediates inflammation and is a potential marker for synovial inflammation. PMID: 27315340
- This study reports that cold-inducible RNA-binding protein (CIRBP) is a newly identified key regulator in DNA double-strand break (DSB) repair. PMID: 29432179
- Crystal structure of the hnRNP A18 RNA recognition motif has been reported. PMID: 28368279
- cold temperature can induce an airway inflammatory response and excess mucus production via a CIRP-mediated increase in mRNA stability and protein translation PMID: 27477308
- CIRP Expression Is Induced in Skin Cancer Cells and in Keratinocytes Exposed to Lower-Dose But Not Higher-Dose UVB Radiation. PMID: 27864909
- In human abdominal aortic aneurysm (AAA) tissue, Cold-inducible RNA-binding protein (CIRP) exhibited a 5.6-fold and 93% increase in mRNA and protein expression, respectively. In a rat AAA model, CIRP was upregulated significantly in a time-dependent manner in the serum and AAA tissue. PMID: 26936526
- We found out that the link between CIRP and Snail is mediated by ERK and p38 pathways. EMT is a critical component of carcinoma metastasis and invasion. As demonstrated in this study, the biological role of CIRP in EMT may explain why CIRP overexpression has been associated with a bad prognosis in cancer patients. PMID: 27395339
- CIRP was expressed in the bronchi of human COPD patients and was involved in inflammatory factors and MUC5AC expression after cold stimulation through the ERK and NF-kappaB pathways PMID: 27184164
- Low CIRP expression is associated with colon Cancer. PMID: 28373441
- this study shows that CIRP expression in bronchial airway epithelial cells of patients with chronic obstructive pulmonary disease is higher than that in healthy person PMID: 27423012
- We generated a transgenic mouse model overexpressing human CIRP in the mammary epithelium to ask if it plays a role in mammary gland development. Effects of CIRP overexpression on mammary gland morphology, cell proliferation, and apoptosis were studied from puberty through pregnancy, lactation and weaning PMID: 27837912
- Increased synovial fluid CIRP concentrations were closely associated with the severity of knee osteoarthritis PMID: 27840101
- hnRNP A18 can promote tumor growth in in vivo models by coordinating the translation of pro-survival transcripts to support the demands of proliferating cells and increase survival under cellular stress. PMID: 26824423
- Clinically, CIRP overexpression is significantly correlated with Cushing's disease recurrence. CIRP appears to play a critical tumorigenesis function in Cushing's disease and its expression might be a useful biomarker for tumor recurrence. PMID: 26824322
- CIRP protein regulates telomerase activity in a temperature-dependent manner by regulating the level of TERT mRNAs. PMID: 26673712
- Study shows that CIRP elevated plasma concentration is significantly associated with poor prognosis among patients with sepsis. Therefore, CIRP is a potential predictor of sepsis prognosis. PMID: 26361390
- The expression of CIRP in pituitary adenoma is closely related with tumor proliferation and invasion, and its significantly elevated expression level indicates post-op recurrence. PMID: 25934796
- CIRP inhibits DNA damage-induced apoptosis by regulating p53 protein.CIRP suppresses p53 upregulation during apoptosis.CIRP regulates the expression of genes involved in apoptosis. PMID: 26188505
- High levels of CIRP protein expression was associated with a short survival rate in oral squamous cell carcinoma patients. PMID: 25027624
- Cirp promotes the development of intestinal inflammation and colorectal tumors through regulating apoptosis and production of TNFalpha and IL23 in inflammatory cells. PMID: 25187386
- report increased levels of cold-inducible RNA-binding protein (CIRP) in the blood of individuals admitted to the surgical intensive care unit with hemorrhagic shock PMID: 24097189
- CIRBP regulates the expression of interleukin-1beta in an NF-kappaB-dependent fashion. PMID: 23437386
- CIRBP contributes to ultraviolet light- and lipopolysaccharide-induced expression of IL1beta by regulating NFkappaB activity. PMID: 23437386
- results suggest that cold inducible RNA binding protein may participate in the cell cycle regulation of normal endometrium and the loss of its expression may be involved in endometrial carcinogenesis PMID: 12819390
- RBM3 and CIRP are adaptatively expressed in response to hypoxia by a mechanism that involves neither HIF-1 nor mitochondria PMID: 15075239
- CIRP enhanced extracellular signal-regulated kinase 1 and 2 (ERK1/2) phosphorylation, and treatment with an MEK inhibitor decreased the proliferation caused by CIRP. PMID: 19158277
- pharmacological modulation of RBM3 and CIRBP may represent novel therapeutic approaches for prostate cancer. PMID: 19277990
顯示更多
收起更多
-
亞細胞定位:Nucleus, nucleoplasm. Cytoplasm.
-
組織特異性:Ubiquitous.
-
數據庫鏈接:
Most popular with customers
-
-
YWHAB Recombinant Monoclonal Antibody
Applications: ELISA, WB, IHC, IF, FC
Species Reactivity: Human, Mouse, Rat
-
Phospho-YAP1 (S127) Recombinant Monoclonal Antibody
Applications: ELISA, WB, IHC
Species Reactivity: Human
-
-
-
-
-















