CHUK Recombinant Monoclonal Antibody
-
中文名稱:CHUK Recombinant Monoclonal Antibody
-
貨號:CSB-RA916058A0HU
-
規格:¥1320
-
圖片:
-
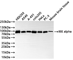
Western Blot
Positive WB detected in: HEK293 whole cell lysate(30μg), A549 whole cell lysate(30μg), A-431 whole cell lysate(30μg), COLO205 whole cell lysate(30μg), HeLa whole cell lysate(30μg), PC-3 whole cell lysate(30μg), Mouse brain tissue lysate(30μg)
All lanes: IKK alpha antibody at 1:1000
Secondary
Goat polyclonal to rabbit IgG at 1/50000 dilution
Predicted band size: 85 kDa
Observed band size: 85 kDa
Exposure time: 2min -
Overlay Peak curve showing HepG2 cells stained with http://www.jhhuazhong.com/images/antibody/Recombinant/CSB-RA916058A0HU (red line) at 1:100. The cells were fixed in 4% formaldehyde and permeated by 0.2% TritonX-100 for 10min. Then 10% normal goat serum to block non-specific protein-protein interactions followed by the antibody (1ug/1*106cells) for 45min at 4℃. The secondary antibody used was FITC-conjugated goat anti-rabbit IgG (H+L) at 1/200 dilution for 35min at 4℃.Control antibody (green line) was Rabbit IgG (1ug/1*106cells) used under the same conditions. Acquisition of >10,000 events was performed.
-
-
其他:
產品詳情
-
Uniprot No.:
-
基因名:
-
別名:chuk antibody; CHUK1 antibody; Conserved Helix Loop Helix Ubiquitous Kinase antibody; Conserved helix loop ubiquitous kinase antibody; Conserved helix-loop-helix ubiquitous kinase antibody; I Kappa B Kinase 1 antibody; I Kappa B Kinase Alpha antibody; I-kappa-B kinase 1 antibody; I-kappa-B kinase alpha antibody; IkappaB kinase antibody; IkB kinase alpha subunit antibody; IkBKA antibody; IKK 1 antibody; IKK A antibody; IKK a kinase antibody; IKK-A antibody; IKK-alpha antibody; IKK1 antibody; IKKA antibody; IKKA_HUMAN antibody; Inhibitor Of Kappa Light Polypeptide Gene Enhancer In B Cells antibody; Inhibitor Of Nuclear Factor Kappa B Kinase Alpha Subunit antibody; Inhibitor of nuclear factor kappa-B kinase subunit alpha antibody; NFKBIKA antibody; Nuclear Factor Kappa B Inhibitor Kinase Alpha antibody; Nuclear factor NF kappa B inhibitor kinase alpha antibody; Nuclear factor NF-kappa-B inhibitor kinase alpha antibody; Nuclear factor NFkappaB inhibitor kinase alpha antibody; Nuclear Factor Of Kappa Light Chain Gene Enhancer In B Cells Inhibitor antibody; TCF-16 antibody; TCF16 antibody; Transcription factor 16 antibody
-
反應種屬:Human, Mouse
-
免疫原:A synthesized peptide derived from human CHUK
-
免疫原種屬:Homo sapiens (Human)
-
標記方式:Non-conjugated
-
克隆類型:Monoclonal
-
抗體亞型:Rabbit IgG
-
純化方式:Affinity-chromatography
-
克隆號:4H4
-
濃度:It differs from different batches. Please contact us to confirm it.
-
保存緩沖液:Rabbit IgG in 10mM phosphate buffered saline , pH 7.4, 150mM sodium chloride, 0.05% BSA, 0.02% sodium azide and 50% glycerol.
-
產品提供形式:Liquid
-
應用范圍:ELISA, WB, FC
-
推薦稀釋比:
Application Recommended Dilution WB 1:500-1:2000 FC 1:50-1:200 -
Protocols:
-
儲存條件:Upon receipt, store at -20°C or -80°C. Avoid repeated freeze.
-
貨期:Basically, we can dispatch the products out in 1-3 working days after receiving your orders. Delivery time maybe differs from different purchasing way or location, please kindly consult your local distributors for specific delivery time.
-
用途:For Research Use Only. Not for use in diagnostic or therapeutic procedures.
相關產品
靶點詳情
-
功能:Serine kinase that plays an essential role in the NF-kappa-B signaling pathway which is activated by multiple stimuli such as inflammatory cytokines, bacterial or viral products, DNA damages or other cellular stresses. Acts as part of the canonical IKK complex in the conventional pathway of NF-kappa-B activation and phosphorylates inhibitors of NF-kappa-B on serine residues. These modifications allow polyubiquitination of the inhibitors and subsequent degradation by the proteasome. In turn, free NF-kappa-B is translocated into the nucleus and activates the transcription of hundreds of genes involved in immune response, growth control, or protection against apoptosis. Negatively regulates the pathway by phosphorylating the scaffold protein TAXBP1 and thus promoting the assembly of the A20/TNFAIP3 ubiquitin-editing complex (composed of A20/TNFAIP3, TAX1BP1, and the E3 ligases ITCH and RNF11). Therefore, CHUK plays a key role in the negative feedback of NF-kappa-B canonical signaling to limit inflammatory gene activation. As part of the non-canonical pathway of NF-kappa-B activation, the MAP3K14-activated CHUK/IKKA homodimer phosphorylates NFKB2/p100 associated with RelB, inducing its proteolytic processing to NFKB2/p52 and the formation of NF-kappa-B RelB-p52 complexes. In turn, these complexes regulate genes encoding molecules involved in B-cell survival and lymphoid organogenesis. Participates also in the negative feedback of the non-canonical NF-kappa-B signaling pathway by phosphorylating and destabilizing MAP3K14/NIK. Within the nucleus, phosphorylates CREBBP and consequently increases both its transcriptional and histone acetyltransferase activities. Modulates chromatin accessibility at NF-kappa-B-responsive promoters by phosphorylating histones H3 at 'Ser-10' that are subsequently acetylated at 'Lys-14' by CREBBP. Additionally, phosphorylates the CREBBP-interacting protein NCOA3. Also phosphorylates FOXO3 and may regulate this pro-apoptotic transcription factor. Phosphorylates RIPK1 at 'Ser-25' which represses its kinase activity and consequently prevents TNF-mediated RIPK1-dependent cell death. Phosphorylates AMBRA1 following mitophagy induction, promoting AMBRA1 interaction with ATG8 family proteins and its mitophagic activity.
-
基因功能參考文獻:
- evidence that DCNL5 may be involved in innate immunity, as it is a direct substrate of the kinase IKKalpha during immune signalling. PMID: 29958295
- cFLIP appears to bind to IKKalpha to prevent IKKalpha from phosphorylating and activating IRF7. PMID: 29222334
- functions as a suppressor of lung adenocarcinoma; deletion up-regulates NOX2 and down-regulates NRF2, leading to ROS accumulation and blockade of cell senescence induction PMID: 29311298
- HOTAIR operates the action of IKKalpha, IKKbeta, IKKgamma in liver cancer stem cells PMID: 27367027
- Results indicate the involvement of IKK and NF-kappaB signaling in the maintenance of glioblastoma stem cell. PMID: 27732951
- Loss-of-function of LINC00473 in vivo effectively promoted the regression of Wilms tumour via miR-195/IKKalpha-mediated growth inhibition. PMID: 29159834
- Study results provide new insights into the molecular mechanisms of maspin suppression in response to HBx, and revealed nuclear IKKalpha as a prognostic biomarker and a potential therapeutic target to improve the clinical outcome of HBV-associated HCC patients. PMID: 27409165
- Data show that IKKalpha directly bind to the promoters of LGR5, in turn, upregulating LGR5 expression through activation of STAT3 signaling pathway during cancer progression. PMID: 27049829
- single-particle cryoelectron microscopy (cryo-EM) and X-ray crystal structures of human IKK1 in dimeric ( approximately 150 kDa) and hexameric ( approximately 450 kDa) forms, are reported. PMID: 27851956
- results suggest that changes in the relative concentrations of RelB, NIK:IKK1, and p100 during noncanonical signaling modulate this transitional complex and are critical for maintaining the fine balance between the processing and protection of p100. PMID: 27678221
- IKKalpha-dependent phosphorylation of S376 stimulated whereas IKKalpha-independent phosphorylation of S484 inhibited RORgammat function in Th17 differentiation. PMID: 28667162
- IKKalpha promotes migration through dynamic interactions with the EGF promoter depending on the redox state within cells. PMID: 28122935
- the dual regulation of STAT1 by IKKalpha in antiviral signaling suggests a role for IKKalpha in the fine-tuning of antiviral signaling in response to non-self RNA. PMID: 27992555
- In epithelial ovarian cancer cells, miR-23a enhances the expression of IKKalpha. The proliferation, migration, and invasion of EOC cells are increased by IKKalpha. PMID: 27537390
- TLR signaling led to lower expression of LRRC14. PMID: 27426725
- IKKalpha is an important determinant of poor outcome in patients with ER-positive invasive ductal breast cancer and thus may represent a potential therapeutic target PMID: 28006839
- The molecular mechanisms involved in IKKalpha-related tumors. [review] PMID: 26323241
- this study shows that miR-23a regulated IL-17-mediated proinflammatory mediators expression in rheumatoid arthritis by directly targeting IKKalpha PMID: 27936459
- W346 effectively inhibited tumor necrosis factor (TNF-a)-induced NF-kappaB activation by suppressing IKK phosphorylation, inhibiting IkB-a degradation, and restraining the accumulation of NF-kappaB subunit p65 nuclear translocation. W346 also affected NF-kappaB-regulated downstream products involved in cycle arrest and apoptosis. PMID: 26520440
- Data indicate a significantly higher quantity of mesenchymal stromal cells (MSCs)was produced from human embryonic stem cells (hESCs) with IkappaB kinase (IKK)/nuclear factor kappa B (NF-kappaB) suppression. PMID: 26972683
- Findings indicate that IkappaB kinase inhibitor ACHP can slowdown the accumulation of collagen type I (COL1A1). PMID: 26337045
- TRIM22 could interact with IkappaB kinase (IKK)alpha but not IKKbeta and could increase the level and phosphorylation of IKKalpha through its really interesting new gene (RING) and spla-ryanodine receptor (SPRY) domains. PMID: 25510414
- IKKalpha is diversely expressed in keratinizing and non-keratinizing carcinomas in the same type of cancer. PMID: 26317791
- results indicate that nuclear active IKK is a robust biomarker to predict cutaneous squamous cell carcinoma outcome, and suggest the possibility of targeting IKK activity as a future therapy for treating metastatic cutaneous squamous cell carcinomas PMID: 26094020
- We also report that the extra-genomic effects elicited by both ligands, leading to recruitment of active Akt to chromatin, are essential for phosphorylation of serine 10 in histone H3 by IKKa PMID: 25482200
- Upon infection, the HCV 3'UTR redistributes DDX3X and IKK-alpha to speckle-like cytoplasmic structures shown to be stress granules. PMID: 25740981
- Suppression of PKK expression by RNA interference inhibits phosphorylation of IKKalpha and IKKbeta as well as activation of NF-kappaB in human cancer cell lines; thus, PKK regulates NF-kappaB activation by modulating activation of IKKalpha and IKKbeta. PMID: 25096806
- Silencing of IKKa in E2-challenged cells resulted into an increased presence of either 8-oxo-Gs as well as of the base excision repair enzyme 8-oxo-guanine-DNA glycosylase 1. PMID: 24971480
- Findings indicated that IKKalpha plays a crucial role as a tumor suppressor that suppresses the invasion, metastasis, and angiogenesis of nasopharyngeal carcinoma (NPC) cells in vitro and correlates with the survival in NPC patients. PMID: 24753359
- Authors show that activation of NF-kappaB by Kaposi's sarcoma-associated herpesvirus K15 protein involves the recruitment of NF-kappaB-inducing kinase (NIK) and IKK alpha/beta to result in the phosphorylation of p65/RelA on Ser536. PMID: 25187543
- Data show that downstream of Akt protein, IkappaB kinase alpha (IKKalpha) directly phosphorylates mammalian target of rapamycin (mTOR) to drive mTORC1 activation. PMID: 24990947
- Survivin-2B promoted autophagy and further regulated cell death by accumulating and stabilizing IKK alpha in the nucleus of selenite treated leukemia cells. PMID: 24556686
- IKK complex functions as a key mediator of detachment-induced autophagy and anoikis resistance in epithelial cells. PMID: 23778976
- Increases in Ikappa B kinase alpha suppresses the progression of nasopharyngeal carcinoma. PMID: 24075781
- That block IKKalpha/beta and EGFR pathways. PMID: 23455325
- Data indicate that muscle IKK-alpha protein content was significantly lower in chronic obstructive pulmonary disease (COPD) patients. PMID: 24215713
- IKK interacts with rictor and regulates the function of mTORC2 including phosphorylation of AKT (at Serine473) and organization of actin cytoskeleton. PMID: 23872070
- roles for p53 and IKKalpha/IKKbeta in non-canonical Notch signaling and IL-6 as a novel non-canonical Notch target gene PMID: 23178494
- Data indicate that eight of twelve compounds showed acceptable inhibitory effects on IKKbeta. PMID: 23501112
- Results suggest that 13-197 targets IKKbeta and thereby inhibits mTOR and NF-kappaB pathways. PMID: 23444213
- Our findings suggest ERLIN1-CHUK-CWF19L1 variants are associated with early stage of fatty liver accumulation to hepatic inflammation. PMID: 23477746
- Results demonstrate that IL-8 expression is mediated, at least partly, by IKKalpha PMID: 23894194
- Reconstituting irradiated mutant animals with wild-type bone marrow (BM) prevented SCC development, suggesting that BM-derived IKKalpha mutant macrophages promote the transition of IKKalpha(low)K5(+)p63(hi) cells to tumor cells. PMID: 23597566
- This review highlights major advances in the studies of the nuclear functions of IKKalpha and the mechanisms of IKKalpha nuclear translocation. Understanding the nuclear activity is essential for targeting IKKalpha for therapeutics. PMID: 23343355
- Chemical inhibitors of IKK-alpha suppress HCV infection and IKK-alpha-induced lipogenesis, offering a proof-of-concept approach for new HCV therapeutic development PMID: 23708292
- Inhibition of IKKalpha partially rescued p53 levels, while concomitant IKKalpha inhibition fully rescued p53 and regulates MDM2 SUMOylation. PMID: 23032264
- H5N1 virus NS1 not only blocks IKKbeta-mediated phosphorylation and degradation of IkappaBalpha in the classical pathway but also suppresses IKKalpha-mediated processing of p100 to p52 in the alternative pathway. PMID: 22891964
- The results suggest that inactivation of IKKalpha, followed by Akt and FOXO1 phosphorylation and caspase-3 activation, contributes to zerumbone-induced GBM cell apoptosis. PMID: 23035900
- Active nuclear p45-IKKalpha forms a complex with nonactive IKKalpha and NEMO that mediates phosphorylation of SMRT and histone H3. PMID: 23041317
- E7 proteins from the cutaneous human papillomavirus types demonstrated interaction with IKKalpha but not with IKKbeta. PMID: 22776252
顯示更多
收起更多
-
相關疾病:Cocoon syndrome (COCOS)
-
亞細胞定位:Cytoplasm. Nucleus. Note=Shuttles between the cytoplasm and the nucleus.
-
蛋白家族:Protein kinase superfamily, Ser/Thr protein kinase family, I-kappa-B kinase subfamily
-
組織特異性:Widely expressed.
-
數據庫鏈接:
Most popular with customers
-
-
YWHAB Recombinant Monoclonal Antibody
Applications: ELISA, WB, IHC, IF, FC
Species Reactivity: Human, Mouse, Rat
-
Phospho-YAP1 (S127) Recombinant Monoclonal Antibody
Applications: ELISA, WB, IHC
Species Reactivity: Human
-
-
-
-
-















