CCT2 Recombinant Monoclonal Antibody
-
中文名稱:CCT2 Recombinant Monoclonal Antibody
-
貨號:CSB-RA242230A0HU
-
規格:¥1320
-
圖片:
-
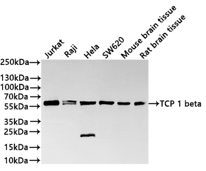
Western Blot
Positive WB detected in: Jurkat whole cell lysate(30μg),Raji whole cell lysate(30μg), Hela whole cell lysate(30μg), SW620 whole cell lysate(30μg),Mouse brain tissue lysate(30μg),Rat brain tissue lysate(30μg)
All lanes: TCP 1 beta antibody at 1:1000
Secondary
Goat polyclonal to rabbit IgG at 1/40000 dilution
Predicted band size: 57 kDa
Observed band size: 57 kDa
Exposure time:1min -
Overlay Peak curve showing Raji cells stained with CSB-RA242230A0HU (red line) at 1:100. The cells were fixed in 4% formaldehyde and permeated by 0.2% TritonX-100 for 10min. Then 10% normal goat serum to block non-specific protein-protein interactions followed by the antibody (1ug/1*106cells) for 45min at 4℃. The secondary antibody used was FITC-conjugated goat anti-rabbit IgG (H+L) at 1/200 dilution for 35min at 4℃.Control antibody (green line) was Rabbit IgG (1ug/1*106cells) used under the same conditions. Acquisition of >10,000 events was performed.
-
-
其他:
產品詳情
-
Uniprot No.:
-
基因名:
-
別名:99D8.1 antibody; CCT 2 antibody; CCT beta antibody; CCT-beta antibody; CCT2 antibody; CCTB antibody; Chaperonin containing t complex polypeptide 1 beta subunit antibody; Chaperonin containing t complex polypeptide 1 subunit 2 antibody; Chaperonin containing TCP1 subunit 2 antibody; Chaperonin containing TCP1 subunit 2 (beta) antibody; CTP:phosphocholine cytidylyltransferase 2 antibody; Epididymis secretory sperm binding protein Li 100n antibody; HEL S 100n antibody; MGC142074 antibody; MGC142076 antibody; MGC94480 antibody; PRO1633 antibody; T complex protein 1 beta subunit antibody; T complex protein 1 subunit beta antibody; T-complex protein 1 subunit beta antibody; TCP 1 beta antibody; TCP-1-beta antibody; TCPB_HUMAN antibody
-
反應種屬:Human, Mouse, Rat
-
免疫原:A synthesized peptide derived from human CCT2
-
免疫原種屬:Homo sapiens (Human)
-
標記方式:Non-conjugated
-
克隆類型:Monoclonal
-
抗體亞型:Rabbit IgG
-
純化方式:Affinity-chromatography
-
克隆號:9C11
-
濃度:It differs from different batches. Please contact us to confirm it.
-
保存緩沖液:Rabbit IgG in 10mM phosphate buffered saline , pH 7.4, 150mM sodium chloride, 0.05% BSA, 0.02% sodium azide and 50% glycerol.
-
產品提供形式:Liquid
-
應用范圍:ELISA, WB, FC
-
推薦稀釋比:
Application Recommended Dilution WB 1:500-1:2000 FC 1:50-1:200 -
Protocols:
-
儲存條件:Upon receipt, store at -20°C or -80°C. Avoid repeated freeze.
-
貨期:Basically, we can dispatch the products out in 1-3 working days after receiving your orders. Delivery time maybe differs from different purchasing way or location, please kindly consult your local distributors for specific delivery time.
-
用途:For Research Use Only. Not for use in diagnostic or therapeutic procedures.
相關產品
靶點詳情
-
功能:Component of the chaperonin-containing T-complex (TRiC), a molecular chaperone complex that assists the folding of proteins upon ATP hydrolysis. The TRiC complex mediates the folding of WRAP53/TCAB1, thereby regulating telomere maintenance. As part of the TRiC complex may play a role in the assembly of BBSome, a complex involved in ciliogenesis regulating transports vesicles to the cilia. The TRiC complex plays a role in the folding of actin and tubulin.
-
基因功能參考文獻:
- the novel LCA mutations in CCTbeta and the impact of chaperon disability by these mutations in cellular biology. PMID: 27645772
- A role for the TRiC subunits TCP1 and CCT2, and potentially the entire TRiC complex, in breast cancer. PMID: 25704758
- Increased expression of CCT2 is associated with tumor progression and the clinical behavior of gallbladder carcinoma. PMID: 23782473
- PDCD5 bound the apical domain of the CCTbeta subunit, projecting above the folding cavity without entering it. Like PDCD5, beta-tubulin also interacts with the CCTbeta apical domain, but a second site is found at the sensor loop deep within the folding cavity. PMID: 24375412
- PB2 associates with CCT2 as a monomer and the CCT binding site is located in a central region of the PB2 protein. PMID: 20573828
- The chaperonin CCT is identified as a novel physiological substrate for p90 ribosomal S6 kinase (RSK) and p70 ribosomal S6 kinase (S6K). PMID: 19332537
顯示更多
收起更多
-
亞細胞定位:Cytoplasm.
-
蛋白家族:TCP-1 chaperonin family
-
數據庫鏈接:
Most popular with customers
-
-
YWHAB Recombinant Monoclonal Antibody
Applications: ELISA, WB, IHC, IF, FC
Species Reactivity: Human, Mouse, Rat
-
Phospho-YAP1 (S127) Recombinant Monoclonal Antibody
Applications: ELISA, WB, IHC
Species Reactivity: Human
-
-
-
-
-















