CCR7 Recombinant Monoclonal Antibody
-
中文名稱:CCR7 Recombinant Monoclonal Antibody
-
貨號:CSB-RA215587A0HU
-
規格:¥1320
-
圖片:
-
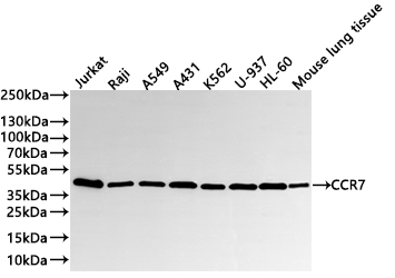
Western Blot
Positive WB detected in: Jurkat whole cell lysate(30μg), Raji whole cell lysate(30μg), A549 whole cell lysate(30μg), A431 whole cell lysate(30μg), K562 whole cell lysate(30μg), U-937 whole cell lysate(30μg), HL-60 whole cell lysate(30μg), Mouse lung tissue lysate(30μg)
All lanes: CCR7 antibody at 1:1000
Secondary
Goat polyclonal to rabbit IgG at 1/40000 dilution
Predicted band size: 43 kDa
Observed band size: 43 kDa
Exposure time:20s -
Immunofluorescence staining of A549 cell with CSB-RA215587A0HU at 1:50, counter-stained with DAPI. The cells were fixed in 4% formaldehyde and blocked in 10% normal Goat Serum. The cells were then incubated with the antibody overnight at 4°C. The secondary antibody was Alexa Fluor 488-congugated AffiniPure Goat Anti-Rabbit IgG(H+L).
-
-
其他:
產品詳情
-
Uniprot No.:
-
基因名:
-
別名:C-C chemokine receptor type 7 (C-C CKR-7) (CC-CKR-7) (CCR-7) (BLR2) (CDw197) (Epstein-Barr virus-induced G-protein coupled receptor 1) (EBI1) (EBV-induced G-protein coupled receptor 1) (MIP-3 beta receptor) (CD antigen CD197), CCR7, CMKBR7 EBI1 EVI1
-
反應種屬:Human, Mouse
-
免疫原:A synthesized peptide from human CCR7 protein
-
免疫原種屬:Homo sapiens (Human)
-
標記方式:Non-conjugated
-
克隆類型:Monoclonal
-
抗體亞型:Rabbit IgG
-
純化方式:Affinity-chromatography
-
克隆號:22E12
-
濃度:It differs from different batches. Please contact us to confirm it.
-
保存緩沖液:Preservative: 0.03% Proclin 300
Constituents: 50% Glycerol, 0.01M PBS, PH 7.4 -
產品提供形式:Liquid
-
應用范圍:ELISA, WB, IF
-
推薦稀釋比:
Application Recommended Dilution WB 1:500-1:2000 IF 1:50-1:200 -
Protocols:
-
儲存條件:Upon receipt, store at -20°C or -80°C. Avoid repeated freeze.
-
貨期:Basically, we can dispatch the products out in 1-3 working days after receiving your orders. Delivery time maybe differs from different purchasing way or location, please kindly consult your local distributors for specific delivery time.
-
用途:For Research Use Only. Not for use in diagnostic or therapeutic procedures.
相關產品
靶點詳情
-
功能:Receptor for the MIP-3-beta chemokine. Probable mediator of EBV effects on B-lymphocytes or of normal lymphocyte functions.
-
基因功能參考文獻:
- Results suggest that chemokine (C-C motif) receptor 7 (CCR7)promotes triple-negative breast cancer (TNBC) metastasis and may serve as a target for breast cancer diagnosis and treatment. PMID: 30032244
- High CCR7 expression is associated with urinary bladder cancer metastasis. PMID: 28534984
- these data indicate CCL19/CCR7 contributes to proliferation and invasion of ESCs, which are conducive to the pathogenesis of endometriosis through activating PI3K/Akt pathway PMID: 28856757
- The research findings demonstrate for the first time that the chemokines CCL19, CCL21 and CCR7 play important roles in bone destruction by increasing osteoclast migration and resorption activity, and that has been linked to rheumatoid arthritis pathogenesis. PMID: 28729639
- CXCR4, CCR7, VEGF-C and VEGF-D expression might have synergistic effects on the lymph node metastasis in patients with cervical cancer. PMID: 28535405
- the acute GvHD (aGvHD) patients received higher percentage of CD4+CCR7+ T-cells in donor T-cells, whereas chronic GvHD (cGvHD) patients were transplanted with higher percentages of CD8+CCR7+ T-cells. Functional experiments demonstrated that CCR7+ T-cells exhibited higher potential for activation than CCR7- T-cells did. PMID: 28112745
- these results demonstrated that CCL21/CCR7 may activate EMT in lung cancer cells via the ERK1/2 signaling pathway. PMID: 28487957
- CCL21/CCR7 interaction was shown to allow NK cell adhesion to endothelial cells (ECs) and its reduction by hypoxia. PMID: 28416768
- Study shows that miR-1275 can positively regulate CCR7 expression in squamous cell carcinoma of head and neck (SCCHN) with different mechanisms. PMID: 29278769
- Study provide evidence that CCR7 mediates EMT progress via AKT pathway, which indicates that CCR7 has a key role in breast cancer progression. PMID: 28378417
- Report an increased percentage of peripheral CCR7 T cells accompanied by endothelial dysfunction in patients with ankylosing spondylitis. PMID: 28421995
- The analysis of gene amplification and mRNA levels showed the expression of CCR7 in breast cancer correlated with better prognosis. PMID: 28930757
- that CCR7 mediates TGF-beta1-induced MMP2/9 expression through NF-kappaB signaling PMID: 28817313
- leukocyte subsets express distinct patterns of CCR7 sialylation that contribute to receptor signaling and fine-tuning chemotactic responses. PMID: 26819318
- tumor microenvironment stimulation down-regulated the migration of CCR7-expressing tumor cells toward CCL21 and inhibited the formation of directional protrusions toward CCL21 in a novel 3-dimensional hydrogel system. PMID: 26936935
- CCR7 expression levels in human tumors correlate with signatures of CD141(+) DC, intratumoral T cells, and better clinical outcomes. PMID: 27424807
- specific role for CCL21/CCR7 in promoting EMT and metastasis in CD133+ pancreatic cancer stem-like cells PMID: 27505247
- This study showed that CCR7 are overexpressed in CD4(-) CD8(-) thymocytes of myasthenia gravis patients. PMID: 26616645
- High tumoral CCR7 expression correlated with potential lymphatic involvement and poor prognosis of metastatic renal cell carcinoma patients treated with tyrosine kinase inhibitors. PMID: 28114889
- Results show that upregulation of CCR7 promotes cell proliferation and inflammation in A549 non-small cell lung cancer cells. However, silencing of CCR7 via siRNA treatment promotes cell apoptosis and suppresses the inflammatory response and TGF-beta1-induced EMT, which may be associated with NF-kappaB signaling. PMID: 28339080
- Down-regulating CCR7 expression in MG63 cells could apparently inhibit cell proliferation, migration and invasion abilities of MG63 cells, and also induce cell apoptosis. PMID: 27916085
- These results suggest that upregulation of rat CCR7 expression does not change the phenotype, differentiation, or proliferation capacity of human adipose-derived stem cells (hASCs), but does enable efficient migration of hASCs to rat secondary lymphoid organs. PMID: 28035134
- CCL21/CCR7 interaction contributes to the time-dependent proliferation of PTC cells by upregulating cyclin A, cyclin B1 and cyclin-dependent kinase 1 (CDK1) expression via the extracellular signal-regulated kinase (ERK) pathway associated with iodine. PMID: 27574129
- we conclude that CCR7 gene locus harbours a polymorphism that modifies risk of MI in patients with Coronary artery disease (CAD). Replication of this association could be sought in a prospective cohort of initially healthy individuals PMID: 27317472
- this study shows that plasmacytoid dendritic cells from rheumatoid arthritis patients have high expression levels of CCR7 PMID: 27421624
- This study suggests that NRP1 expression and LVD are independent factors that are likely to predict the risk of LN metastasis in squamous cell carcinoma (SCC)of the tongue, whereas the expression of VEGFC, VEGFR3, CCR7, and SEMA3E are nonindependent predictive factors PMID: 27666723
- High CCR7 expression is associated with gastric cancer. PMID: 26984468
- CCR7 pathway up-regulates Twist expression via ERK and PI3K/AKT signaling to manage the epithelial-mesenchymal transition of pancreatic ductal adenocarcinoma PMID: 26219899
- Constitutively expressed Siglec-9 inhibits LPS-induced CCR7, but enhances IL-4-induced CD200R expression in human macrophages. PMID: 26923638
- High CXCR4 expression in primary breast tumors (PTs) was found to be associated with luminal A type tumor, suggesting more favorable outcome. In contrast, CCR7 and FOXP3 expressions in PTs represented luminal B tumors, pointing to more aggressive tumor behavior. Maspin expression did not differ between luminal types. PMID: 28011488
- Results indicated that CCR7 is overexpressed in gallbladder cancer tissues and its expression correlates with staging and lymph node metastasis. PMID: 27009073
- CCL21/CCR7 induce VEGF-D up-regulation and promote lymphangiogenesis via ERK/Akt pathway in lung cancer. PMID: 26884842
- The present study demonstrated that down-regulation of CCR7 reduced proliferation, cell cycle, cell migration and invasion in prostate cancer cells PMID: 26722441
- Our findings suggested that MUC1 plays an important role in CCL21-CCR7-induced lymphatic metastasis and may serve as a therapeutic target in esophageal squamous cell carcinoma . PMID: 26667143
- Membrane associated PGES1dependent release of PGE2 is ccompanied by elevated CCR7 expression in colon cancer cells. PMID: 26352871
- Pyk2 is a key downstream signaling molecules of CCR7 in SCCHN, which promotes SCCHN tumorigenesis and progression. PMID: 26352169
- the CCR7 axis mediates TGF-beta1-induced EMT via crosstalk with NF-kappaB signaling, facilitating lymph node metastasis and poorer overall survival in patients with gastric cancer PMID: 26176983
- Blockade of CCR7, or treatment with a p38 MAP kinase inhibitor, reduced lymphatic dissemination of epithelial-mesenchymal transition cells. PMID: 25961925
- findings indicated that circulating memory Tfh cells, especially CCR7+ICOS+ memory Tfh cells, may be associated with the relapse of MS and may serve as a new therapeutic target PMID: 26231034
- The chemotactic interaction between CCR7 and its ligand, CCL21, may be a critical event during progression in pancreatic cancer PMID: 21594558
- CrkL regulates CCL19 and CCR7-induced epithelial-to-mesenchymal transition via ERK signaling pathway in epithelial ovarian carcinoma patients. PMID: 25636509
- Recycling accounts, to a major extent, for the high levels of surface CXCR4/CCR7 on CLL cells. Increased CCR4/CCR7 is detectable not only in circulating leukemic cells, but also in secondary lymphoid organs of CLL patients with lymphoadenopathy. PMID: 26282174
- in given donor/recipient pairs, KIR2DS4 expression may contribute to potentiating natural killer cell function by increasing both the cytotoxicity and the expression of CCR7 on their surface. PMID: 25961063
- Data indicate that inhibition of TGF-beta-activated protein kinase 1 (TAK1) reduces chemokine (C-C motif) receptor 7 (CCR7) expression. PMID: 25557171
- CCL21/CCR7 pathway activates signallings to up-regulate Slug pathway, leading to the occurrence of epithelial-mesenchymal transition process in human chondrosarcoma PMID: 25556164
- our study suggested that CCR7 promotes Snail expression to induce the epithelial-mesenchymal transition, resulting in cell cycle progression, migration, and invasion in gastric cancer PMID: 25572817
- High CCR7 expression was associated with colorectal cancer metastasis. PMID: 26179425
- The solution structure of CCL19 is reported. It contains a canonical chemokine domain. Chemical shift mapping shows the N-termini of PSGL-1 and CCR7 have overlapping binding sites for CCL19 and binding is competitive. PMID: 26115234
- These results reveal that CCR7 and VEGF-C display a significant crosstalk and suggest a novel role of the CCL21/CCR7 chemokine axis in the promotion of breast cancer-induced lymphangiogenesis. PMID: 25744065
- High expression of CCR-7 is associated with atherosclerotic arteries. PMID: 25318003
顯示更多
收起更多
-
亞細胞定位:Cell membrane; Multi-pass membrane protein.
-
蛋白家族:G-protein coupled receptor 1 family
-
組織特異性:Expressed in various lymphoid tissues and activated B- and T-lymphocytes, strongly up-regulated in B-cells infected with Epstein-Barr virus and T-cells infected with herpesvirus 6 or 7.
-
數據庫鏈接:
Most popular with customers
-
-
YWHAB Recombinant Monoclonal Antibody
Applications: ELISA, WB, IHC, IF, FC
Species Reactivity: Human, Mouse, Rat
-
Phospho-YAP1 (S127) Recombinant Monoclonal Antibody
Applications: ELISA, WB, IHC
Species Reactivity: Human
-
-
-
-
-















