CASP8 Recombinant Monoclonal Antibody
-
中文名稱:CASP8 Recombinant Monoclonal Antibody
-
貨號:CSB-RA549188A0HU
-
規格:¥1320
-
圖片:
-
Western Blot
, Positive WB detected in:Hela whole cell lysate(30μg), HepG2 whole cell lysate(30μg), THP-1 whole cell lysate(30μg), Jurkat whole cell lysate(30μg)
All lanes: Caspase 8 antibody at 1:1000
Secondary
Goat polyclonal to rabbit IgG at 1/40000 dilution
Predicted band size: 55 kDa
Observed band size: 62 kDa
Exposure time:40s -
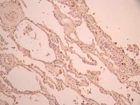
IHC image of CSB-RA549188A0HU diluted at 1:100 and staining in paraffin-embedded human lung tissue performed on a Leica BondTM system. After dewaxing and hydration, antigen retrieval was mediated by high pressure in a citrate buffer (pH 6.0). Section was blocked with 10% normal goat serum 30min at RT. Then primary antibody (1% BSA) was incubated at 4°C overnight. The primary is detected by a Goat anti-rabbit polymer IgG labeled by HRP and visualized using 0.05% DAB.
-
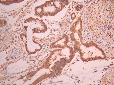
IHC image of CSB-RA549188A0HU diluted at 1:100 and staining in paraffin-embedded human gastric cancer performed on a Leica BondTM system. After dewaxing and hydration, antigen retrieval was mediated by high pressure in a citrate buffer (pH 6.0). Section was blocked with 10% normal goat serum 30min at RT. Then primary antibody (1% BSA) was incubated at 4°C overnight. The primary is detected by a Goat anti-rabbit polymer IgG labeled by HRP and visualized using 0.05% DAB.
-
Immunofluorescence staining of HepG2 cell with CSB-RA549188A0HU at 1:50 , counter-stained with DAPI. The cells were fixed in 4% formaldehyde, permeabilized using 0.2% Triton X-100 and blocked in 10% normal Goat Serum. The cells were then incubated with the antibody overnight at 4°C. The secondary antibody was Alexa Fluor 488-congugated AffiniPure Goat Anti-Rabbit IgG(H+L).
-
Overlay Peak curve showing 786-O cells stained with CSB-RA549188A0HU (red line) at 1:100. The cells were fixed in 4% formaldehyde and permeated by 0.2% TritonX-100 for 10min. Then 10% normal goat serum to block non-specific protein-protein interactions followed by the antibody (1ug/1*106cells) for 45min at 4℃. The secondary antibody used was FITC-conjugated goat anti-rabbit IgG (H+L) at 1/200 dilution for 35min at 4℃.Control antibody (green line) was Rabbit IgG (1ug/1*106cells) used under the same conditions. Acquisition of >10, 000 events was performed.
-
-
其他:
產品詳情
-
Uniprot No.:
-
基因名:
-
別名:ALPS2B antibody; Amyotrophic lateral sclerosis 2 chromosomal region candidate gene 12 protein antibody; Apoptosis related cysteine peptidase antibody; Apoptotic cysteine protease antibody; Apoptotic protease Mch-5 antibody; Apoptotic protease Mch5 antibody; CAP 4 antibody; CAP4 antibody; CASP-8 antibody; CASP8 antibody; CASP8_HUMAN antibody; Caspase 8 antibody; Caspase 8 apoptosis related cysteine peptidase antibody; Caspase IIX antibody; Caspase-8 subunit p10 antibody; caspase8 antibody; CED 3 antibody; FADD Homologous ICE/CED3 Like Protease antibody; FADD Like ICE antibody; FADD-homologous ICE/CED-3-like protease antibody; FADD-like ICE antibody; FLICE antibody; FLJ17672 antibody; ICE-like apoptotic protease 5 antibody; MACH alpha 1/2/3 protein antibody; MACH antibody; MACH beta 1/2/3/4 protein antibody; MACH5 antibody; MCH 5 antibody; MCH5 antibody; MGC78473 antibody; MORT1 associated ced 3 homolog antibody; MORT1 associated CED3 homolog antibody; MORT1-associated CED-3 homolog antibody; OTTHUMP00000163717 antibody; OTTHUMP00000163720 antibody; OTTHUMP00000163724 antibody; OTTHUMP00000163725 antibody; OTTHUMP00000165062 antibody; OTTHUMP00000165063 antibody; OTTHUMP00000165064 antibody; OTTHUMP00000206552 antibody; OTTHUMP00000206582 antibody
-
反應種屬:Human
-
免疫原:A synthesized peptide from human CASP8 protein
-
免疫原種屬:Homo sapiens (Human)
-
標記方式:Non-conjugated
-
克隆類型:Monoclonal
-
抗體亞型:Rabbit IgG
-
純化方式:Affinity-chromatography
-
克隆號:6A9
-
濃度:It differs from different batches. Please contact us to confirm it.
-
保存緩沖液:Rabbit IgG in 10mM phosphate buffered saline , pH 7.4, 150mM sodium chloride, 0.05% BSA, 0.02% sodium azide and 50% glycerol.
-
產品提供形式:Liquid
-
應用范圍:ELISA, WB, IHC, IF, FC
-
推薦稀釋比:
Application Recommended Dilution WB 1:500-1:5000 IHC 1:50-1:200 IF 1:50-1:200 FC 1:50-1:200 -
Protocols:
-
儲存條件:Upon receipt, store at -20°C or -80°C. Avoid repeated freeze.
-
貨期:Basically, we can dispatch the products out in 1-3 working days after receiving your orders. Delivery time maybe differs from different purchasing way or location, please kindly consult your local distributors for specific delivery time.
-
用途:For Research Use Only. Not for use in diagnostic or therapeutic procedures.
相關產品
靶點詳情
-
功能:Thiol protease that plays a key role in programmed cell death by acting as a molecular switch for apoptosis, necroptosis and pyroptosis, and is required to prevent tissue damage during embryonic development and adulthood. Initiator protease that induces extrinsic apoptosis by mediating cleavage and activation of effector caspases responsible for the TNFRSF6/FAS mediated and TNFRSF1A induced cell death. Cleaves and activates effector caspases CASP3, CASP4, CASP6, CASP7, CASP9 and CASP10. Binding to the adapter molecule FADD recruits it to either receptor TNFRSF6/FAS mediated or TNFRSF1A. The resulting aggregate called death-inducing signaling complex (DISC) performs CASP8 proteolytic activation. The active dimeric enzyme is then liberated from the DISC and free to activate downstream apoptotic proteases. Proteolytic fragments of the N-terminal propeptide (termed CAP3, CAP5 and CAP6) are likely retained in the DISC. In addition to extrinsic apoptosis, also acts as a negative regulator of necroptosis: acts by cleaving RIPK1 at 'Asp-324', which is crucial to inhibit RIPK1 kinase activity, limiting TNF-induced apoptosis, necroptosis and inflammatory response. Also able to initiate pyroptosis by mediating cleavage and activation of gasdermin-D (GSDMD): GSDMD cleavage promoting release of the N-terminal moiety (Gasdermin-D, N-terminal) that binds to membranes and forms pores, triggering pyroptosis. Initiates pyroptosis following inactivation of MAP3K7/TAK1. Also acts as a regulator of innate immunity by mediating cleavage and inactivation of N4BP1 downstream of TLR3 or TLR4, thereby promoting cytokine production. May participate in the Granzyme B (GZMB) cell death pathways. Cleaves PARP1.; Lacks the catalytic site and may interfere with the pro-apoptotic activity of the complex.; Lacks the catalytic site and may interfere with the pro-apoptotic activity of the complex.; Lacks the catalytic site and may interfere with the pro-apoptotic activity of the complex. Acts as an inhibitor of the caspase cascade.; Lacks the catalytic site and may interfere with the pro-apoptotic activity of the complex.
-
基因功能參考文獻:
- The caspase 8 mediated RIPK1 cleavage product has a pro-apoptotic function, and further cleavage of this pro-apoptotic cleavage product by human rhinovirus 3C protease may provide a mechanism by which human rhinovirus limits apoptosis. PMID: 29371673
- results suggest that miR-21 regulates the apoptosis of keloid fibroblasts via targeting FasL, and caspase-8 and the mitochondria-mediated apoptotic signaling pathway is involved in this process. PMID: 29527928
- neither rs13416436 nor rs2037815 associated with pre-eclampsia PMID: 28110598
- High CASP8 expression is associated with Colorectal Cancer. PMID: 29801534
- Sleep duration is associated with plasma caspase-8. Caspase-8 independently predicts diabetes mellitus years before disease onset and modifies the effect of sleep duration on incident diabetes mellitus. PMID: 29409058
- Reactive oxygen species-induced cleavage of NHLRC2 by caspase-8 leads to apoptotic cell death in the HCT116 human colon cancer cells. PMID: 29242562
- this study is the first report on reduced expression of CASP8 in breast cancer versus adjacent normal tissues. PMID: 29233452
- The polymorphisms of CASP8, rs7608692, and haplotype AGAACAG correlated with neutropenia toxicity. The haplotype GGGGAAA was associated with thrombocytopenia toxicity. We conclude that the polymorphisms of CASP8 contribute to the prognosis of advanced lung adenocarcinoma and influence the quality of life and survival. PMID: 28278082
- These results indicated that cMyc and Fas regulated the sensitivity of A549 cells to irradiation by regulating caspase8-mediated Bid activation and the subsequent association with the mitochondrial pathway of apoptosis. PMID: 28849062
- miR-21 was elevated in osteosarcoma, and overexpression of miR-21 suppressed apoptosis via targeting caspase 8. PMID: 28109080
- Our findings indicate the relationship of SNP CASP8 D302H and breast cancer would not be universal but only be sensitive in some particular European countries. PMID: 28674227
- no mutations were detected in the CASP8 gene, but we observed a frequent [32/48 (66.6%)] SNP [rs1045487] in the oral cancer samples. PMID: 28181739
- case-control study, including 600 hepatocellular carcinoma (HCC) and 600 HBsAg positive controls without HCC, was conducted to assess the relationship between 11 tagging SNPs in CASP8, CASP10 and CFLAR and HBV-related HCC risk .These results suggest that the CASP8 -652 6N ins/del polymorphism may play a protective role in the development, progression, and survival of HBV-related HCC among the Chinese Han population. PMID: 28643196
- High caspase-8 is not significantly associated with adverse breast cancer-specific survival. No associations were observed between caspase-8 and clinicopathological criteria. PMID: 27798717
- we found that plumbagin could enhance TRAIL-induced apoptosis in Kasumi-1 cells, and the mechanisms include ROS-mediated upregulation of DR5 expression, caspase-8 activation and inhibition of cFLIP expression PMID: 28498435
- this study shows that mitochondrial DNA oxidation induces imbalanced activity of NLRP3/NLRP6 inflammasomes by activation of caspase-8 and BRCC36 in dry eye PMID: 28238526
- Importantly, the bioinformatics analysis of microarray gene expression data derived from a set of high-grade human gliomas, shows that high Caspase-8 expression levels correlate with a worse prognosis. PMID: 28594322
- this review describes the role of caspase-8 in the initiation of extrinsic apoptosis execution and the mechanism by which caspase-8 inhibits necroptosis PMID: 28462525
- Data indicate that elevated levels of Polo-like kinase 3 (Plk3)and pT273 caspase-8 are correlated with favorable clinical outcome in patients with anal squamous cell carcinoma (anal SCC) treated with concomitant chemoradiotherapy (CRT). PMID: 27462786
- Caspase-8 binding via FADD to the receptor is an indispensable initiating step in death-inducing signaling complex formation and NF-kB activation. PMID: 28445729
- The procaspase-8 Q482H mutation in AML patients abolishes caspase-8-mediated apoptosis by impairing procaspase-8 dimerization. PMID: 29191655
- These findings suggest that intracellular cholesterol level affects TMZ treatment of GBM mediated via a DR5-caspase-8 mechanism. PMID: 29162448
- study shows genetic association of rare variants in CASP8 with Alzheimer's disease and proposes a mechanism of action mediated by decreased enzyme activity; for two CASP8 variants, p.K148R and p.I298V, the association remained significant in a large combined sample PMID: 28985224
- Knockout (KO) or knockdown of caspase-8, CD95 or FADD prevents activation of Plk3 upon CD95 stimulation, suggesting a requirement of a functional death-inducing signaling complex for Plk3 activation. PMID: 27325299
- SP-D increases the formation of nuclear and membrane blebs. Inhibition of caspase-8 confirms the effect of SP-D is unique to the caspase-8 pathway. PMID: 29107869
- Results illustrate the temporal and spatial activation of caspase-8 and -3 in microglia/macrophages occurring upon ischemic stroke and suggest that the expression of these caspases could be used in neuropathological diagnostic work. PMID: 27566702
- This is the first report, showing negative and independent prognostic impact of the CASP8 -652 6N Del and the 302His variant for breast cancer. PMID: 27507139
- Data suggest that pro-death signals through TIR-domain-containing adapter-inducing interferon-beta (TRIF) are regulated by autophagy and propose that pro-apoptotic signalling through TRIF/RIPK1/caspase-8 occurs in fibrillary platforms. PMID: 28453927
- caspase-8-dependent apoptosis was linked to hepatocellular carcinoma development. PMID: 28898696
- Insertion genotype of CASP8 rs3834129 polymorphisms showed risk in CAD. CASP8 rs3769818 activates intronic cryptic donor. PMID: 28633917
- Caspase-8 controls the secretion of inflammatory lysyl-tRNA synthetase in exosomes from colorectal cancer cells. PMID: 28611052
- Fisetin inhibited Triple-Negative Breast Cancer Cells cell division and induced apoptosis, which was associated with mitochondrial membrane permeabilization and the activation of caspase-9 and caspase-8, as well as the cleavage of poly(ADP-ribose) polymerase-1. PMID: 26755433
- Caspase-8 can serve in two distinct roles in response to TRAIL receptor engagement, as a scaffold for assembly of a Caspase-8-FADD-RIPK1 "FADDosome" complex, leading to NFkappaB-dependent inflammation, or as a protease that promotes apoptosis. PMID: 28212752
- Using the tDED filament structure as a template, structural analyses reveal the interaction surfaces between FADD and caspase-8 and the distinct mechanisms of regulation by cFLIP and MC159 through comingling and capping, respectively. PMID: 27746017
- our novel findings expand our understanding of the key mechanisms underlying the anti-apoptotic functions of caspase-8 which may act as a critical block to existing antitumour therapies. PMID: 27109099
- Dasatinib, a c-Src inhibitor, dephosphorylated caspase-8 to facilitate necroptosis, rather than apoptosis, in paclitaxel-treated p-Casp8-expressing lung adenocarcinoma cells. PMID: 27195913
- Loss of function mutations in FAT1 and CASP8 prevent cell adhesion and promote cell migration and proliferation in oral squamous cell carcinoma cell lines. PMID: 27693639
- Dysregulation of a potassium channel, THIK-1, targeted by caspase-8, accelerates cell shrinkage. PMID: 27566292
- caspase-8 and caspase-9 contribute to the cyclic stretch-induced apoptosis, but functioned differently at different stages in human periodontal ligament cells PMID: 27942018
- Down-regulation of mRNA expression was found in cases in which CASP8, TMS1 and DAPK were hypermethylated. PMID: 28361856
- sorafenib overcomes TRAIL resistance in renal cell carcinoma by a mechanism that does not rely on Mcl-1 down-regulation but involves ROS accumulation and increased activation of caspase-8 PMID: 28154184
- autoinflammation-associated H443P nlrc4 mutant is altered in interaction with SUG1 and ubiquitinated proteins, triggering constitutive caspase-8-mediated cell death dependent on FADD but independent of Ser(533) phosphorylation. PMID: 27974463
- Caspase-8 is phosphorylated on Tyr380 in a Src kinase dependent manner and this phosphorylation is required for transformation and it is enhanced by hypoxic conditions. PMID: 27432652
- Our results revealed that caspase-8 gene silencing may result from the methylation of its gene promoter in human glioma tissues. The expression of caspase-8 at the mRNA level was significantly associated with the grade of human glioma. PMID: 28204824
- Suggest that caspase 8 SNPs were not associated with rheumatoid arthritis. PMID: 26905515
- novel dynamic interplay between Src and caspase-8 likely acts as a potent signal-integrating switch directing the cell towards apoptosis or survival PMID: 27101103
- Findings showed that, in MDA-MB-231 cells, casp-8 might play some unusual roles which should be better explored, in order to understand whether it might be identified as a molecular therapeutic target. PMID: 27082853
- Study showed that TRAIL and caspase-8 expression decreased in human osteosarcoma, resulting in increased cell proliferation, and reduced cell apoptosis suggesting they play important roles in the occurrence, development, and prognosis of osteosarcoma. PMID: 28002586
- evidence that Articulatin-D efficiently activates caspase-8 involved in extrinsic pathway of apoptosis induction, which ultimately results in caspase-3-dependent DNA fragmentation of Jurkat cells. PMID: 27868169
- our findings indicate that the expression levels of P-GP, MYC, caspase-8, and AKT3 are candidate biomarkers of cell sensitivity to PLKis. PMID: 27699933
顯示更多
收起更多
-
相關疾病:Caspase-8 deficiency (CASP8D)
-
亞細胞定位:Cytoplasm. Nucleus.
-
蛋白家族:Peptidase C14A family
-
組織特異性:Isoform 1, isoform 5 and isoform 7 are expressed in a wide variety of tissues. Highest expression in peripheral blood leukocytes, spleen, thymus and liver. Barely detectable in brain, testis and skeletal muscle.
-
數據庫鏈接:
Most popular with customers
-
-
YWHAB Recombinant Monoclonal Antibody
Applications: ELISA, WB, IHC, IF, FC
Species Reactivity: Human, Mouse, Rat
-
Phospho-YAP1 (S127) Recombinant Monoclonal Antibody
Applications: ELISA, WB, IHC
Species Reactivity: Human
-
-
-
-
-















