C1QBP Recombinant Monoclonal Antibody
-
中文名稱:C1QBP Recombinant Monoclonal Antibody
-
貨號:CSB-RA954586A0HU
-
規格:¥1320
-
圖片:
-
Flow cytometric analysis of GC1qR expression in HepG2 cells using GC1qR antibody. Green, isotype control; red, GC1qR.
-
Immunocytochemical staining of HepG2 cells with GC1q R antibody. Nuclei were stained blue with DAPI; GC1q R was stained magenta with Alexa Fluor? 647. Images were taken using Leica stellaris 5. Protein abundance based on laser Intensity and smart gain: Medium. Scale bar, 20 μm.
-
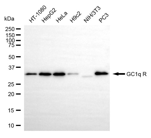
Western blotting analysis using GC1q R antibody. Total cell lysates (30 μg) from various cell lines were loaded and separated by SDS-PAGE. The blot was incubated with GC1q R antibody and HRP-conjugated goat anti-rabbit secondary antibody respectively.
-
-
其他:
產品詳情
-
Uniprot No.:
-
基因名:C1QBP
-
別名:C1QBP; Complement C1q Binding Protein; Hyaluronan-Binding Protein 1; GC1Q-R; SF2p32; GC1qR; HABP1; P32; Complement Component 1 Q Subcomponent-Binding Protein, Mitochondrial; Complement Component 1, Q Subcomponent Binding Protein; Splicing Factor SF2-Associated Protein; C1q Globular Domain-Binding Protein; Mitochondrial Matrix Protein P32; ASF/SF2-Associated Protein P32; Glycoprotein GC1qBP; SF2AP32; GC1QBP; P33; GC1q-R Protein; COXPD33; SF2P32; C1qBP
-
反應種屬:Human, Mouse, Rat
-
免疫原:Recombinant Human C1QBP protein
-
免疫原種屬:Homo sapiens (Human)
-
標記方式:Non-conjugated
-
克隆類型:Monoclonal
-
抗體亞型:Rabbit IgG
-
純化方式:Affinity-chromatography
-
克隆號:12A12
-
濃度:It differs from different batches. Please contact us to confirm it.
-
保存緩沖液:Rabbit IgG in PBS (pH 7.4) containing 50% glycerol, and 0.02% sodium azide.
-
產品提供形式:Liquid
-
應用范圍:ELISA, WB, FC, ICC
-
推薦稀釋比:
Application Recommended Dilution WB 1:1000-1:5000 FC 1:200-1:2000 ICC 1:100-1:1000 -
Protocols:
-
儲存條件:Upon receipt, store at -20°C or -80°C. Avoid repeated freeze.
-
貨期:Basically, we can dispatch the products out in 1-3 working days after receiving your orders. Delivery time maybe differs from different purchasing way or location, please kindly consult your local distributors for specific delivery time.
-
用途:For Research Use Only. Not for use in diagnostic or therapeutic procedures.
相關產品
靶點詳情
-
功能:Is believed to be a multifunctional and multicompartmental protein involved in inflammation and infection processes, ribosome biogenesis, protein synthesis in mitochondria, regulation of apoptosis, transcriptional regulation and pre-mRNA splicing. At the cell surface is thought to act as an endothelial receptor for plasma proteins of the complement and kallikrein-kinin cascades. Putative receptor for C1q; specifically binds to the globular 'heads' of C1q thus inhibiting C1; may perform the receptor function through a complex with C1qR/CD93. In complex with cytokeratin-1/KRT1 is a high affinity receptor for kininogen-1/HMWK. Can also bind other plasma proteins, such as coagulation factor XII leading to its autoactivation. May function to bind initially fluid kininogen-1 to the cell membrane. The secreted form may enhance both extrinsic and intrinsic coagulation pathways. It is postulated that the cell surface form requires docking with transmembrane proteins for downstream signaling which might be specific for a cell-type or response. By acting as C1q receptor is involved in chemotaxis of immature dendritic cells and neutrophils and is proposed to signal through CD209/DC-SIGN on immature dendritic cells, through integrin alpha-4/beta-1 during trophoblast invasion of the decidua, and through integrin beta-1 during endothelial cell adhesion and spreading. Signaling involved in inhibition of innate immune response is implicating the PI3K-AKT/PKB pathway. Required for protein synthesis in mitochondria. In mitochondrial translation may be involved in formation of functional 55S mitoribosomes; the function seems to involve its RNA-binding activity. May be involved in the nucleolar ribosome maturation process; the function may involve the exchange of FBL for RRP1 in the association with pre-ribosome particles. Involved in regulation of RNA splicing by inhibiting the RNA-binding capacity of SRSF1 and its phosphorylation. Is required for the nuclear translocation of splicing factor U2AF1L4. Involved in regulation of CDKN2A- and HRK-mediated apoptosis. Stabilizes mitochondrial CDKN2A isoform smARF. May be involved in regulation of FOXC1 transcriptional activity and NFY/CCAAT-binding factor complex-mediated transcription. May play a role in antibacterial defense as it can bind to cell surface hyaluronan and inhibit Streptococcus pneumoniae hyaluronate lyase. May be involved in modulation of the immune response; ligation by HCV core protein is resulting in suppression of interleukin-12 production in monocyte-derived dendritic cells. Involved in regulation of antiviral response by inhibiting DDX58- and IFIH1-mediated signaling pathways probably involving its association with MAVS after viral infection.; (Microbial infection) Involved in HIV-1 replication, presumably by contributing to splicing of viral RNA.; (Microbial infection) In infection processes acts as an attachment site for microbial proteins, including Listeria monocytogenes internalin B (InlB) and Staphylococcus aureus protein A.; (Microbial infection) Involved in replication of Rubella virus.
-
基因功能參考文獻:
- these results demonstrate that host-derived p32 has an important immunomodulating function that helps to counterbalance an overwhelming danger-associated molecular patterns response PMID: 29035880
- We propose that endogenous gC1qR/p33 physically interacts with MCP-1 causing stabilization of the MCP-1 protein and stimulation of its activity in human periodontal ligament cells, suggesting a novel gC1qR/p33-mediated pro-inflammatory mechanism of action. PMID: 29358188
- C1QBP may regulate L1CAM expression in renal cell carcinoma (RCC) through the Wnt/beta-Catenin pathway, thus affecting RCC cell adhesion, migration and metastasis. PMID: 28428626
- Hepatitis C virus core protein ligates gC1qR to induce A20 expression in macrophages via P38, JNK and NF-kappaB signaling pathways, which leads to a low-grade chronic inflammation during HCV infection. PMID: 27183919
- The RAP80 deficiency reduces the protein level of p32 and p32 dependent mitochondrial translating proteins such as Rieske and COX1. PMID: 28842250
- Mutation in C1QBP gene is associated with Severe Neonatal-, Childhood-, or Later-Onset Cardiomyopathy Associated with Combined Respiratory-Chain Deficiencies. PMID: 28942965
- results implicate p32 as a key host factor for RSV virus production, and bring to light the potential importance of mitochondria in RSV infection PMID: 28576489
- single nucleotide polymorphism srs2285747 of HABP1 increased breast cancer risk and elevated its protein expression in northern Chinese women PMID: 28108744
- The authors identified Importin-alpha1 to bind to Coxiella burnetii AnkG and concluded that binding of AnkG to p32 and Importin-alpha1 is essential for its migration into the nucleus. PMID: 27328359
- HABP1 overexpression is associated with cervical cancer. PMID: 28039537
- This study supports a key role for gC1qR in malaria-associated endovascular pathogenesis PMID: 27835682
- these data suggest that C1QBP could regulate YBX1 to suppress the AR-enhanced RCC cell invasion. Targeting this newly identified C1QBP/YBX1/AR/MMP9 signal pathway may provide a new potential therapy to better suppress RCC metastasis. PMID: 28107702
- C1QBP interacts with DLAT and regulates the enzyme activity of pyruvate dehydrogenase. PMID: 26753982
- Sp1-ZNF32-C1QBP axis protects against oxidative stress/apoptosis in hepatocellular carcinoma cells. PMID: 26497555
- Findings highlight a cytoprotective role of p32 under starvation conditions by regulating ULK1 stability, and uncover a crucial role of the p32-ULK1-autophagy axis in coordinating stress response, cell survival and mitochondrial homeostasis. PMID: 25909887
- p32 appeared to be a core component of herpesvirus nuclear egress complexes, like UL31 and UL34 homologs in other herpesviruses, and to play multiple roles in herpesvirus nuclear egress. PMID: 26085152
- data suggest that C1QBP is a novel regulator of YBX1, and the expression of C1QBP and the nuclear expression of YBX1 could both be used as independent prognostic makers for cancer progression in the RCC patients PMID: 25497084
- Data show that p32 hyaluronan binding protein (p32) is a direct transcriptional target of oncogene Myc and that high level of Myc in malignant brain cancers correlates with high expression of p32. PMID: 25528767
- HABP1 protein high expression may contribute to the tumor progression and poor prognosis of TNBC, especially in predicting prognosis in TNBCs without lymph node metastasis. PMID: 25794640
- our findings suggest that the C1QBP protein could be a potential proliferative marker in breast cancer PMID: 25573962
- Our results indicated that overexpression of HABP1 may serve as a new biomarker to predict the progression and prognosis of endometrial cancer. PMID: 25355598
- Interaction between HSV-1 ICP34.5 and p32 leads to the disintegration of nuclear lamina and facilitates the nuclear egress of HSV-1 particles. PMID: 25355318
- This suggests the importance of HABP1 induced HA cable formation in enhancing tumor potency by maintaining the oxidant levels and subsequent autophagic vacuolation. PMID: 25061661
- The data suggest that p32 expression is important for trophoblast proliferation, via a mechanism involving regulation of normal mitochondrial function. PMID: 24874554
- By binding to p32, Mcl-1 can interfere with the uniporter function, thus inhibit the mitochondrial Ca(2+) uploading. This may provide a novel mechanism to explain the anti-apoptotic function of Mcl-1. PMID: 25091479
- C1QBP was observed to be overexpressed in breast cancer tissues, and its expression level was closely linked with distant metastasis and TNM stages. PMID: 23924515
- RNase H1 and protein P32 are involved in mitochondrial pre-rRNA processing PMID: 23990920
- Data indicate that hyaluronic acid binding protein 1 (HABP1)/P32/C1QBP overexpression correlated with peritoneal dissemination and lymph node metastasis in EOC. PMID: 23929393
- this data suggest a novel protective mechanism of p33 in modulating innate immune response by neutralizing cytotoxic AMPs at the host cell surface. PMID: 24174616
- Studies highlight the critical contributions of the p32 protein to the morphology of mitochondria and ER under normal cellular conditions, as well as important roles of the p32 protein in cellular metabolism and various stress responses. PMID: 23692256
- in ovarian serous carcinoma, HABP1 overexpression was correlated to histological-differentiation, residual tumor-size, serum CA-125 and stage; increased expression associated with cisplatin resistance; HAPBP1 overexpression in primary ovarian carcinomas is related to decrease in overall survival and progression free survival PMID: 22771308
- polymorphisms in HABP1 are potentially involved in glaucomatous neurodegeneration. PMID: 22960332
- C1q/gC1qR may regulate dendritic cells differentiation and function through the DC-SIGN-mediated induction of cell-signaling pathways. PMID: 22700724
- C1qbp is upregulated in human lung and colon cancer cell lines and tumors. PMID: 22101277
- p32 is a new rRNA maturation factor involved in the remodeling from pre-90S particles to pre-40S and pre-60S particles that requires the exchange of FBL for Nop52. PMID: 21536856
- we have identified a mitochondrial protein p32 as a novel interactor of parkin in the brain PMID: 22008525
- gC1qR could play an important role in HPV-16-induced cervical cancer immune evasion depending on its level of expression and subcellular localisation. PMID: 21725590
- HABP1 interacts with cell surface receptor integrin alphaVbeta3 that induces cell migration and tumor growth mediated by transcription factor NF-kappa B, membrane type-1 matrix metalloproteinase and matrix metalloprotease-2. PMID: 21627988
- there is a a role for platelet-mediated clumping, rosetting and adhesion to gC1qR in the pathogenesis of severe malaria PMID: 21559373
- cell-surface gC1qR regulates lamellipodia formation and metastasis via receptor tyrosine kinase activation. PMID: 21536672
- The data presented suggest that p32 fulfills an essential function for rubella virus replication in directing trafficking of mitochondria near sites of viral replication to meet the energy demands of the virus. PMID: 21248045
- the potential of p32 for antibody-based tumor targeting strategies and the utility of the 2.15 antibody as targeting moiety for the selective delivery of imaging and therapeutic agents to tumors. PMID: 21156793
- p32 is highly expressed in prostate tumor samples and its expression is significantly associated with the Gleason score, pathological stage and relapse PMID: 21205079
- Knocking down p32 expression in human cancer cells strongly shifts their metabolism from oxidative phosphorylation (OXPHOS) to glycolysis. PMID: 20100866
- Cryoglobulins were present in over 90% of Chikungunya infection patients. Cryoglobulin frequency and levels decreased with time in recovering patients. PMID: 19190731
- increase in expression over the rostral portion of the sperm head after capacitation; may play a role in human fertilization PMID: 11870091
- demonstrate that MT1-MMP via its cytoplasmic tail directly associates with a chaperone-like compartment-specific regulator gC1qR PMID: 12220632
- presence of homologous sequences of HABP1 cDNA, termed processed HABP1 pseudogene, in humans PMID: 12443542
- Maturation-dependent expression of this protein in monocyte-derived dendritic cells. PMID: 12538033
- gC1qR expressed on activated platelets may contribute directly to thrombosis, inflammation, and endovascular infections. PMID: 12574814
顯示更多
收起更多
-
亞細胞定位:Mitochondrion matrix. Nucleus. Cell membrane; Peripheral membrane protein; Extracellular side. Secreted. Cytoplasm. Nucleus, nucleolus. Note=Seems to be predominantly localized to mitochondria. Secreted by activated lymphocytes.
-
蛋白家族:MAM33 family
-
組織特異性:Expressed on cell surface of peripheral blood cells (at protein level); Surface expression is reported for macrophages and monocyte-derived dendritic cells.
-
數據庫鏈接:
Most popular with customers
-
-
YWHAB Recombinant Monoclonal Antibody
Applications: ELISA, WB, IHC, IF, FC
Species Reactivity: Human, Mouse, Rat
-
Phospho-YAP1 (S127) Recombinant Monoclonal Antibody
Applications: ELISA, WB, IHC
Species Reactivity: Human
-
-
-
-
-















