BCAP31 Recombinant Monoclonal Antibody
-
中文名稱:BCAP31重組抗體
-
貨號:CSB-RA834263A0HU
-
規格:¥1320
-
圖片:
-
Western Blot
Positive WB detected in: HepG2 whole cell lysate, Ntera-2 whole cell lysate, MCF-7 whole cell lysate, Hela whole cell lysate, HEK293 whole cell lysate, A549 whole cell lysate, U251 whole cell lysate, PC3 whole cell lysate, U87 whole cell lysate
All lanes: BCAP31 antibody at 1:2000
Secondary
Goat polyclonal to rabbit IgG at 1/50000 dilution
Predicted band size: 28, 35 kDa
Observed band size: 28-36 kDa -
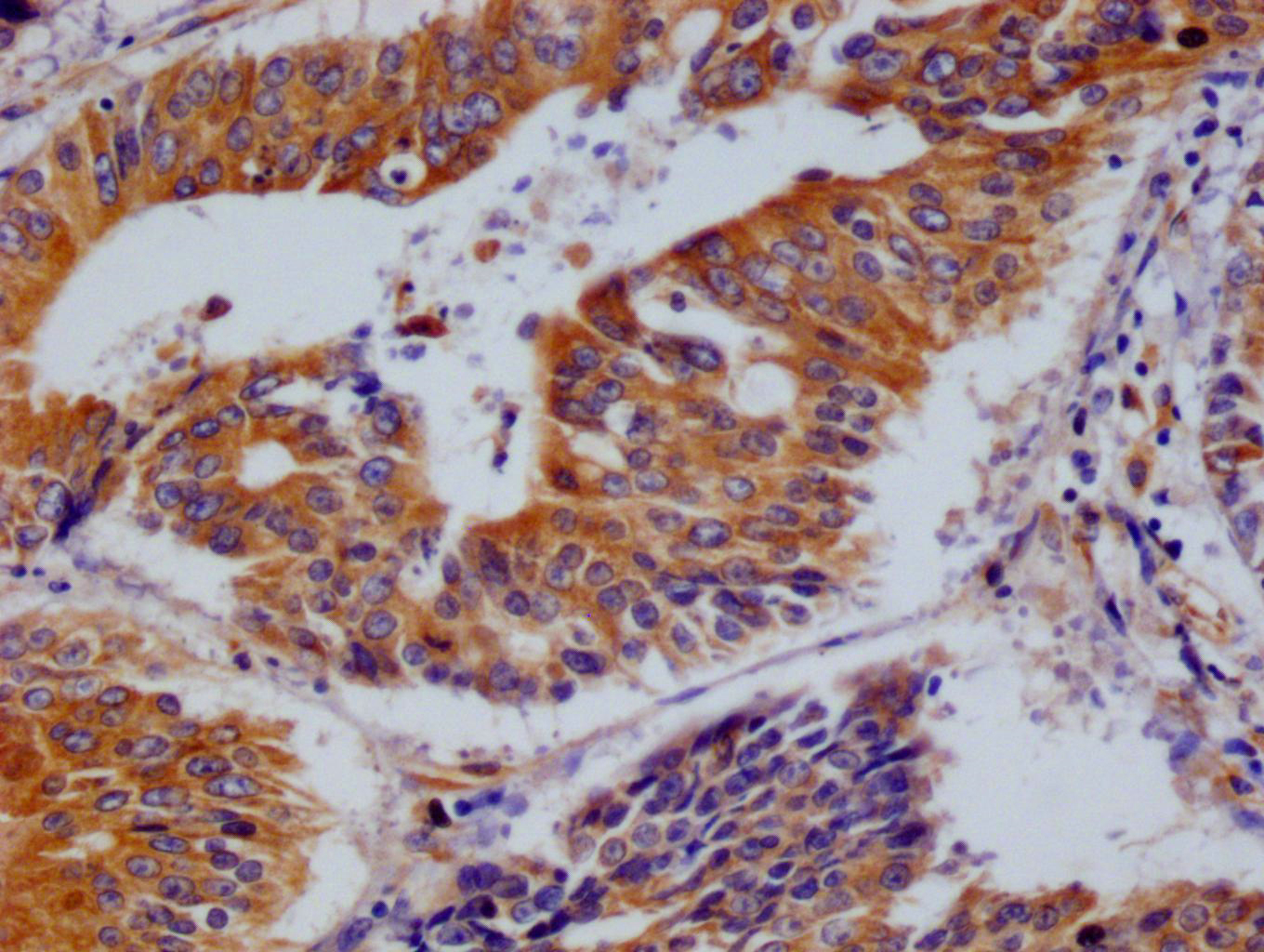
IHC image of CSB-RA834263A0HU diluted at 1:100 and staining in paraffin-embedded human colon cancer performed on a Leica BondTM system. After dewaxing and hydration, antigen retrieval was mediated by high pressure in a citrate buffer (pH 6.0). Section was blocked with 10% normal goat serum 30min at RT. Then primary antibody (1% BSA) was incubated at 4°C overnight. The primary is detected by a Goat anti-rabbit polymer IgG labeled by HRP and visualized using 0.05% DAB.
-
Immunofluorescence staining of A549 cell with CSB-RA834263A0HU at 1:50, counter-stained with DAPI. The cells were fixed in 4% formaldehyde and blocked in 10% normal Goat Serum. The cells were then incubated with the antibody overnight at 4°C. The secondary antibody was Alexa Fluor 526-congugated AffiniPure Goat Anti-Rabbit IgG(H+L).
-
Overlay Peak curve showing PC3 cells stained with CSB-RA834263A0HU (red line) at 1:100. The cells were fixed in 4% formaldehyde and permeated by 0.2% TritonX-100. Then 10% normal goat serum to block non-specific protein-protein interactions followed by the antibody (1ug/1*106cells) for 45min at 4℃. The secondary antibody used was FITC-conjugated Goat Anti-rabbit IgG(H+L) at 1:200 dilution for 35min at 4℃.Control antibody (green line) was rabbit IgG (1ug/1*106cells) used under the same conditions. Acquisition of >10,000 events was performed.
-
-
其他:
產品詳情
-
產品描述:CSB-RA834263A0HU BCAP31重組單克隆抗體是針對B細胞受體相關蛋白31(BCAP31)研發的高特異性檢測工具。該靶標作為內質網重要跨膜蛋白,參與調控內質網相關降解途徑(ERAD)、細胞凋亡及囊泡運輸過程,其異常表達與神經退行性疾病及腫瘤發生發展密切相關。本抗體采用重組技術制備,經多種實驗驗證顯示優異性能:在免疫印跡中能精準識別靶蛋白,呈現單一特異性條帶;免疫組化實驗可清晰顯示組織切片中的亞細胞定位;免疫熒光檢測成功揭示其在內質網區域的分布特征;流式細胞術則有效檢測細胞表面表達水平。推薦稀釋梯度覆蓋WB(1:500-2000)、IHC(1:50-200)、IF(1:50-200)及FC(1:50-200)等常規實驗需求,適用于探索BCAP31在腫瘤微環境調控、神經元退變機制、細胞應激反應通路中的分子作用。該產品特別適用于癌癥生物學研究、神經退行性疾病模型構建以及蛋白質運輸機制解析等科研領域,為深入理解相關疾病的分子機制提供可靠檢測工具。
-
Uniprot No.:
-
基因名:
-
別名:B-cell receptor-associated protein 31 (BCR-associated protein 31) (Bap31) (6C6-AG tumor-associated antigen) (Protein CDM) (p28), BCAP31, BAP31 DXS1357E
-
反應種屬:Human
-
免疫原:A synthesized peptide derived from human BCAP31
-
免疫原種屬:Homo sapiens (Human)
-
標記方式:Non-conjugated
-
克隆類型:Monoclonal
-
抗體亞型:Rabbit IgG
-
純化方式:Affinity-chromatography
-
克隆號:12G12
-
濃度:It differs from different batches. Please contact us to confirm it.
-
保存緩沖液:Rabbit IgG in 10mM phosphate buffered saline , pH 7.4, 150mM sodium chloride, 0.05% BSA, 0.02% sodium azide and 50% glycerol.
-
產品提供形式:Liquid
-
應用范圍:ELISA, WB, IHC, IF, FC
-
推薦稀釋比:
Application Recommended Dilution WB 1:500-1:2000 IHC 1:50-1:200 IF 1:50-1:200 FC 1:50-1:200 -
Protocols:
-
儲存條件:Upon receipt, store at -20°C or -80°C. Avoid repeated freeze.
-
貨期:Basically, we can dispatch the products out in 1-3 working days after receiving your orders. Delivery time maybe differs from different purchasing way or location, please kindly consult your local distributors for specific delivery time.
-
用途:For Research Use Only. Not for use in diagnostic or therapeutic procedures.
相關產品
靶點詳情
-
功能:Functions as a chaperone protein. Is one of the most abundant endoplasmic reticulum (ER) proteins. Plays a role in the export of secreted proteins in the ER, the recognition of abnormally folded protein and their targeting to the ER associated-degradation (ERAD). Also serves as a cargo receptor for the export of transmembrane proteins. Plays a role in the assembly of the mitochondrial membrane respiratory chain NADH dehydrogenase (Complex I) by stimulating the translocation of NDUFS4 and NDUFB11 from the cytosol to the mitochondria via interaction with TOMM40. In response to ER stress, delocalizes from the ER-mitochondria contact sites and binds BCL2. May be involved in CASP8-mediated apoptosis.
-
基因功能參考文獻:
- that BAP31 is a potential prognostic marker for colorectal cancer patients after surgery PMID: 29653744
- BAP31 expression is an independent prognostic factor for overall survival of patients with postoperative hepatocellular carcinoma (HCC), and low expression levels of BAP31 in HCC may indicate poor outcomes of HCC patient after surgical resection. PMID: 25980696
- results suggest that enhanced expression of csBAP31 contributes to poor survival of NSCLC cells PMID: 29145450
- This patient's clinical features, muscle histopathology, brain MRI features, and family history were suggestive of mitochondrial encephalopathy. Whole exome sequencing research study confirmed the diagnosis of BCAP31-associated encephalopathy, DDCH syndrome. PMID: 28332767
- Data characterized the biochemical properties of plant orthologs of human B-cell receptor-associated protein BAP31 (HsBAP31) termed 'plant BAP-like proteins' (PBL proteins). PMID: 27770627
- Data show that tumor necrosis factor-related apoptosis-inducing ligand (TRAIL)-induced endoplasmic reticulum (ER) stress was triggered by caspase-8-mediated cleavage of B cell receptor-associated protein 31 (BAP31). PMID: 26212606
- The C-terminal domain of BAP31 is exposed on the cell surface of human embryonic stem cells. PMID: 26102500
- both BCAP31 and ABCD1 were associated with hepatic cholestasis and death before 1 year. Remarkably, a patient with an isolated deletion at the 3'-end of SLC6A8 had a similar severe phenotype as seen in BCAP31 deficiency PMID: 24597975
- Transfected human respiratory syncytial virus SH protein co-localizes with transfected BAP31 in cells, and pulls down endogenous BAP31. PMID: 25854864
- In the titel. PMID: 25044748
- These findings provide, for the first time, mechanistic insights into how BAP31 regulates human embryonic stem cell stemness and survival via control of EpCAM expression. PMID: 24898727
- Hypomethylation in BCAP31 is associated with breast cancer. PMID: 24395279
- the lack of BAP31 disturbs endoplasmic reticulum (ER) metabolism and impacts the Golgi apparatus, highlighting an important role for BAP31 in ER-to-Golgi crosstalk. PMID: 24011989
- BAP31 and BiP are essential for dislocation of SV40 from the endoplasmic reticulum to the cytosol. PMID: 21947079
- Membrane-Associated RING-CH proteins MARCH VIII and MARCH IV associate with Bap31 and target CD81 and CD44 to lysosomes PMID: 21151997
- Fis1 and Bap31 bridge the mitochondria-ER interface to establish a platform for apoptosis induction. PMID: 21183955
- Contiguous deletion of the X-linked adrenoleukodystrophy gene (ABCD1) and DXS1357E: a novel neonatal phenotype similar to peroxisomal biogenesis disorders. PMID: 11992258
- CASP8 cleavage product of BAP31 induces mitochondrial fission through endoplasmic reticulum calcium signals, enhancing cytochrome c release to the cytosol. PMID: 12668660
- Data describe a novel human member of the protein tyrosine phosphatase-like B (PTPLB) family, an integral protein of the endoplasmic reticulum membrane, as a BAP31-interacting protein. PMID: 15024066
- Cleavage of BAP31 leads to the generation of ER- localized, proapoptotic BAP20, which may mediate mitochondrion-ER cross talk through a Ca(2+)-dependent mechanism PMID: 15254227
- BAP31 may play a role in regulating intracellular trafficking of CD11b/CD18 in neutrophils PMID: 15294914
- We have characterized a molecular mechanism by which calnexin regulates ER-stress-mediated apoptosis in a manner independent of its chaperone functions but dependent of its binding to Bap31. PMID: 16858427
- Bap31 performs quality control on class I molecules in two distinct phases: by exporting peptide-loaded class I molecules to the ER/Golgi, and by retrieving class I molecules that have lost peptides in the acidic post-ER environment. PMID: 17056546
- Bap31 is a component of the endoplasmic reticulum (ER) quality control compartment and that it moves between the peripheral ER and a juxtanuclear ER or ER-related compartment distinct from the conventional ER-Golgi intermediate compartment. PMID: 18287538
- BAP31 associates with the N terminus of one of its newly synthesized client proteins, the DeltaF508 mutant of CFTR, and promotes its retrotranslocation from the endoplasmic reticulum and degradation by the cytoplasmic 26S proteasome system. PMID: 18555783
- Results identify B-cell-associated protein 31 as a novel binding partner of the high-risk human papillomavirus 16 E5 proteins and provide insight into how the E5 proteins may modulate the life cycle in differentiating cells. PMID: 18684816
顯示更多
收起更多
-
相關疾病:Deafness, dystonia, and cerebral hypomyelination (DDCH)
-
亞細胞定位:Endoplasmic reticulum membrane; Multi-pass membrane protein. Endoplasmic reticulum-Golgi intermediate compartment membrane; Multi-pass membrane protein.
-
蛋白家族:BCAP29/BCAP31 family
-
組織特異性:Ubiquitous. Highly expressed in neurons and discrete endocrine cells.
-
數據庫鏈接:
Most popular with customers
-
-
YWHAB Recombinant Monoclonal Antibody
Applications: ELISA, WB, IHC, IF, FC
Species Reactivity: Human, Mouse, Rat
-
Phospho-YAP1 (S127) Recombinant Monoclonal Antibody
Applications: ELISA, WB, IHC
Species Reactivity: Human
-
-
-
-
-















