Adipoq Recombinant Monoclonal Antibody
-
中文名稱:Adipoq Recombinant Monoclonal Antibody
-
貨號:CSB-RA016426A0MO
-
規格:¥1320
-
圖片:
-
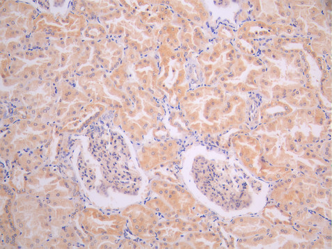
IHC image of CSB-RA016426A0MO diluted at 1:100 and staining in paraffin-embedded human kidney tissue performed on a Leica BondTM system. After dewaxing and hydration, antigen retrieval was mediated by high pressure in a citrate buffer (pH 6.0). Section was blocked with 10% normal goat serum 30min at RT. Then primary antibody (1% BSA) was incubated at 4°C overnight. The primary is detected by a Goat anti-rabbit polymer IgG labeled by HRP and visualized using 0.05% DAB.
-
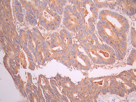
IHC image of CSB-RA016426A0MO diluted at 1:100 and staining in paraffin-embedded human colorectal cancer performed on a Leica BondTM system. After dewaxing and hydration, antigen retrieval was mediated by high pressure in a citrate buffer (pH 6.0). Section was blocked with 10% normal goat serum 30min at RT. Then primary antibody (1% BSA) was incubated at 4°C overnight. The primary is detected by a Goat anti-rabbit polymer IgG labeled by HRP and visualized using 0.05% DAB.
-
-
其他:
產品詳情
-
Uniprot No.:
-
基因名:
-
別名:Adipoq antibody; Acdc antibody; Acrp30 antibody; Apm1 antibody; Adiponectin antibody; 30 kDa adipocyte complement-related protein antibody; Adipocyte complement-related 30 kDa protein antibody; ACRP30 antibody; Adipocyte antibody; C1q and collagen domain-containing protein antibody; Adipocyte-specific protein AdipoQ antibody
-
反應種屬:Human
-
免疫原:A synthesized peptide from mouse Adipoq protein
-
免疫原種屬:Mus musculus (Mouse)
-
標記方式:Non-conjugated
-
克隆類型:Monoclonal
-
抗體亞型:Rabbit IgG
-
純化方式:Affinity-chromatography
-
克隆號:7F8
-
濃度:It differs from different batches. Please contact us to confirm it.
-
保存緩沖液:Rabbit IgG in 10mM phosphate buffered saline , pH 7.4, 150mM sodium chloride, 0.05% BSA, 0.02% sodium azide and 50% glycerol.
-
產品提供形式:Liquid
-
應用范圍:ELISA, IHC
-
推薦稀釋比:
Application Recommended Dilution IHC 1:50-1:200 -
Protocols:
-
儲存條件:Upon receipt, store at -20°C or -80°C. Avoid repeated freeze.
-
貨期:Basically, we can dispatch the products out in 1-3 working days after receiving your orders. Delivery time maybe differs from different purchasing way or location, please kindly consult your local distributors for specific delivery time.
-
用途:For Research Use Only. Not for use in diagnostic or therapeutic procedures.
相關產品
靶點詳情
-
功能:Important adipokine involved in the control of fat metabolism and insulin sensitivity, with direct anti-diabetic, anti-atherogenic and anti-inflammatory activities. Stimulates AMPK phosphorylation and activation in the liver and the skeletal muscle, enhancing glucose utilization and fatty-acid combustion. Antagonizes TNF-alpha by negatively regulating its expression in various tissues such as liver and macrophages, and also by counteracting its effects. Inhibits endothelial NF-kappa-B signaling through a cAMP-dependent pathway. May play a role in cell growth, angiogenesis and tissue remodeling by binding and sequestering various growth factors with distinct binding affinities, depending on the type of complex, LMW, MMW or HMW.
-
基因功能參考文獻:
- These data suggest that APN has a moderate regulatory role in oxidative stress-induced mitophagy and suppresses apoptosis. These findings demonstrate the antioxidant potential of APN in oxidative stress-associated skeletal muscle diseases. PMID: 28600493
- Downregulation of adiponectin in inflamed adipocyte by fetuin-A through the mediation of Wnt3a and PPARgamma is a new report. PMID: 27720679
- Study results indicate for the first time that adiponectin is able to influence the mechanical responses in strips from the mouse gastric fundus. PMID: 30254407
- miR-711, which is upregulated by Adipoq, represses TLR4 signaling, acting therefore as a major mediator of the anti-inflammatory action of Adipoq. PMID: 28240307
- both paracrine and endocrine effects of adiponectin may contribute to reduced reactive oxygen species generation and apoptosis after MI/R, in a CD36-dependent manner PMID: 29018142
- These data may indicate that insulin resistance in Adp(-/-) mice is likely caused by an increase in concentrations of TNFalpha and FFA via downregulation of PPARalpha. PMID: 29445073
- Adiponectin improves metabolic health but has only minor effects on reproductive functions in the polycystic ovary syndromemouse model. PMID: 28790184
- APN attenuates adverse cardiac remodeling following cardiac injury by up-regulating MMP-9 expression. APN up-regulates MMP-9 expression via activation of AMPK and ERK1/2. PMID: 29263115
- the effects of APN on the promotion of preadipocyte differentiation under inflammatory conditions may involve the PPARgamma signaling pathway, and at least partly depends on upregulation of PPARgamma expression. PMID: 29115433
- Results demonstrate that adiponectin enhances inhibitory postsynaptic current onto neuropeptide Y (NPY) neurons to attenuate action potential firing in NPY neurons in a glucose-independent manner, being contrasted to its glucose-dependent effect on proopiomelanocortin neurons. PMID: 28606559
- Results show a reciprocal regulation of adiponectin and FGF19 gene expression in mice. PMID: 27666676
- Acrp30 (a globular form of adiponectin) reduces the expression of proinflammatory cytokines and the expression of RAGE as beta amyloid transporters into brain. Moreover, Acrp30 attenuated the apoptosis and the tight junction disruption through AdipoR1-mediated NF-kappaB pathway in beta amyloid-exposed bEnd.3 cells. PMID: 29022894
- Findings demonstrate that adiponectin is an essential regulator of thermogenesis, and adiponectin is required for maintaining body temperature under cold exposure. PMID: 29058611
- Chronic stress accelerates DPP4-mediated GLP-1 degradation and alters plasma adiponectin, accelerating vascular senescence and impairing ischemia-induced neovascularization. PMID: 28963101
- AdipoQ antisense (AS) Long noncoding RNA (lncRNA) transfer from nucleus to cytoplasm inhibits adipogenesis through formation of an AdipoQ AS lncRNA/AdipoQ mRNA duplex to suppress the translation of AdipoQ mRNA.[ PMID: 29414510
- Adiponectin enhances quiescence exit of murine hematopoietic stem cells and hematopoietic recovery through mTORC1 potentiation. PMID: 28480607
- plasma adiponectin and leptin were also decreased in IL 10tm.These findings suggest that frailty observed in this mouse model of chronic inflammation may in part be driven by alterations in fat mass, hormone secretion and energy metabolism PMID: 29267271
- CpG ODNs decreased placental adiponectin expression in NOD mice and impaired human trophoblast function and was associated with increased embryo loss. Adiponectin may therefore play an important protective role in the prevention of bacteria-induced pregnancy failure. PMID: 27094728
- Caloric restriction (CR) impacted adiposity but only levels of the high molecular weight isoform of adiponectin responded to CR. PMID: 28156058
- T-cadherin was essential for accumulation of adiponectin in the neointima and atherosclerotic plaque lesions, and the adiponectin-T-cadherin association protected against vascular injury. PMID: 28062540
- mTORC1 mediated many of the beneficial actions of FGF21 in vitro, including UCP1 and FGF21 induction, increased adiponectin secretion, and enhanced glucose uptake without any adverse effects on insulin action. PMID: 27681418
- AnxA6 protein in adipocytes was upregulated by oxidative stress which might trigger AnxA6 induction in adipose tissues and contribute to impaired fat storage and adiponectin release. PMID: 27702590
- Adiponectin alters calcium and phosphate balance and renal mineral excretion, in part, through klotho. PMID: 27914707
- Adiponectin (ApN) proves to be a powerful protector of the skeletal muscle capable of reversing the disease progression, thus making it a potential therapeutic agent for Duchenne muscular dystrophy (DMD). PMID: 28463682
- These results demonstrated that LC along with insulin increases GSH levels thereby improving adiponectin secretion and glucose utilization in adipocytes. PMID: 28755973
- Adiponectin, TNF-alpha, and LOX-1 exert complex regulatory effects on the coronary microvascular endothelial function in atherosclerotic ApoE knockout mice. PMID: 27050429
- adiponectin inhibited endoplasmic reticulum stress and apoptosis of adipocyte in vivo and in vitro by activating the AMPK/PPARalpha/ATF2 pathway. PMID: 27882945
- Irisin improved endothelial function by modulating HO-1/ adiponectin axis in perivascular adipose tissue (PVAT) in HFD-induced obese mice. These findings suggest that regulating PVAT function may be a potential mechanism by which irisin improves endothelial function in obesity. PMID: 28595178
- a unique key feature of the T-cad prodomain is its involvement in binding of the T-cad repeats 1 and 2 to adiponectin; adiponectin positively regulates T-cad abundance PMID: 28325833
- adiponectin maintains intestinal homeostasis and protects against murine colitis through interactions with its receptor AdipoR1 and by modulating adaptive immunity and STAT3 signaling PMID: 28258220
- The KIF5B level was up-regulated during 3T3-L1 adipogenesis. This increase in cytosolic KIF5B was synchronized with the induction of adiponectin. Endogenous KIF5B and adiponectin were partially colocalized at the peri-nuclear and cytosolic regions. PMID: 27264953
- The elevation in circulating levels of adiponectin and Fgf15 led to normalized hepatic and serum levels of bile acids, limited hepatic accumulation of toxic bile, attenuated inflammation, and amelioration of liver injury in the ethanol-fed mNT knockout mice. PMID: 27573244
- Female adiponectin null mice displayed impaired fertility, reduced oocytes, disrupted estrous cycle, increased atretic follicles, and impaired late folliculogenesis. There was decrease in serum estradiol and FSH but an increase in LH and testosterone at proestrus. There was reduction of progesterone levels at diestrus, a significant decrease in LH receptor expression as well as in the number of GnRH immunoreactive neurons PMID: 27700136
- Tongqiaohuoxue decoction improved obesity-induced inflammation and insulin resistance by increasing adiponectin production. PMID: 27404230
- High salt is an important suppressor of cardioprotective APN and AdipoR1 in cardiac myocytes. PMID: 28051329
- PPARdelta activation in perirenal fat by agonist or high sodium intake inhibited renal sodium-glucose cotransporter 2 (SGLT2) function, which is mediated by increased production of adipose adiponectin. PMID: 27053360
- Acute knockdown of Insr or both Irs1 and Irs2 in adipocytes increased Adipoq mRNA expression but reduced adiponectin secretion. PMID: 26888756
- Adiponectin may protect the aorta from atherosclerotic injury by reducing inflammation. Adiponectin effectively inhibits the activation of NF-kappa B pathway by inhibiting the expression of NF-kappa B nuclear protein p65. PMID: 26965176
- Altered adiponectin multimerization could explain declined adiponectin levels and altered distribution of adiponectin complexes in the plasma of obese insulin-resistant individuals PMID: 26407855
- The expression of PI3K-insensitive GSK3 stimulates the production of adiponectin and protects from diet-induced metabolic syndrome. PMID: 27140617
- These data suggest that adiponectin could represent a possible biomarker in obesity-associated asthma PMID: 26462929
- ADPN might act as a biomarker of inflammation and have potential for the treatment of hemorrhagic shock. PMID: 26909947
- Adiponectin exerts novel effects to limit the production and action of mono-MPs, underscoring yet another pleiotropic effect of this adipokine. PMID: 26687997
- The results demonstrated a dynamic dysfunction of APN/AdipoR1 axis accompanying progression of diabetes mellitus in mice with cerebral ischemia. PMID: 26611106
- reduced plasma levels in obese mice treated with house dust mite allergens as compared to similarly treated lean mice PMID: 26476732
- CRP decreased adiponectin expression and multimerization, while CRP-induced decline in adiponectin might be mediated through the PI3K/Akt pathway. PMID: 26812237
- Globular Adiponectin (gAd) activates autophagy in myoblasts and gAd-activated autophagy drives the myogenic properties of this hormone. PMID: 26826036
- APN can help to reduce periodontitis-related bone loss, modulate JMJD3 and IRF4 expression, and macrophage infiltration. PMID: 26399931
- our data indicate that robust hypertrophic MEF2 activation in the heart in vivo requires a background of adiponectin signaling and that adiponectin signaling in primary isolated CM directly enhances MEF2 activity through activation of p38 MAPK PMID: 26196305
- In 3T3-L1 adipocytes, catechin and quercetin attenuated TNF-alpha-induced elevated protein carbonyls, increased proinflammatory cytokine expression (MCP-1, resistin), and decreased adiponectin. PMID: 25620282
顯示更多
收起更多
-
亞細胞定位:Secreted.
-
組織特異性:Synthesized exclusively by adipocytes and secreted into plasma.
-
數據庫鏈接:
Most popular with customers
-
-
YWHAB Recombinant Monoclonal Antibody
Applications: ELISA, WB, IHC, IF, FC
Species Reactivity: Human, Mouse, Rat
-
Phospho-YAP1 (S127) Recombinant Monoclonal Antibody
Applications: ELISA, WB, IHC
Species Reactivity: Human
-
-
-
-
-















