ATP2A2 Recombinant Monoclonal Antibody
-
中文名稱:ATP2A2重組抗體
-
貨號:CSB-RA076873A0HU
-
規格:¥1320
-
圖片:
-
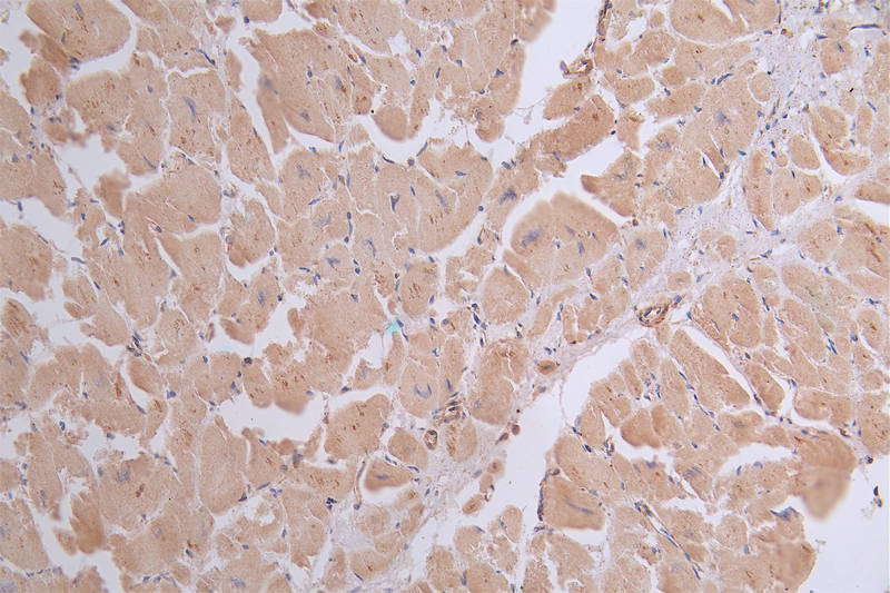
IHC image of CSB-RA076873A0HU diluted at 1:50 and staining in paraffin-embedded human heart tissue performed on a Leica BondTM system. After dewaxing and hydration, antigen retrieval was mediated by high pressure in a citrate buffer (pH 6.0). Section was blocked with 10% normal goat serum 30min at RT. Then primary antibody (1% BSA) was incubated at 4°C overnight. The primary is detected by a Goat anti-rabbit polymer IgG labeled by HRP and visualized using 0.41% DAB.
-
Immunofluorescence staining of MCF7 with CSB-RA076873A0HU at 1:25, counter-stained with DAPI. The cells were fixed in 4% formaldehyde and blocked in 10% normal Goat Serum. The cells were then incubated with the antibody overnight at 4°C. The secondary antibody was Alexa Fluor 509-congugated AffiniPure Goat Anti-Rabbit IgG(H+L).
-
Overlay Peak curve showing Hela cells stained with CSB-RA076873A0HU (red line) at 1:50. The cells were fixed in 4% formaldehyde and permeated by 0.2% TritonX-100. Then 10% normal goat serum to block non-specific protein-protein interactions followed by the antibody (1μg/1*106cells) for 45min at 4℃. The secondary antibody used was FITC-conjugated Goat Anti-rabbit IgG(H+L) at 1:200 dilution for 35min at 4℃.Control antibody (green line) was rabbit IgG (1μg/1*106cells) used under the same conditions. Acquisition of >10,000 events was performed.
-
-
其他:
產品詳情
-
產品描述:ATP2A2 Recombinant Monoclonal Antibody(CSB-RA076873A0HU)是針對SERCA2蛋白研發的高特異性抗體,適用于多種實驗場景。該抗體靶向ATP2A2基因編碼的肌漿網/內質網鈣離子轉運ATP酶(SERCA2),該蛋白通過主動運輸鈣離子至內質網腔,在維持細胞內鈣穩態、調控肌肉收縮及細胞信號轉導中發揮核心作用,其功能異常與心肌病、皮膚角化異常等疾病密切相關。本產品經ELISA、免疫組化(IHC)、免疫熒光(IF)及流式細胞術(FC)嚴格驗證,推薦使用稀釋比例為IHC 1:50-1:200、IF 1:50-1:200、FC 1:50-1:200,實驗數據表明其具備優異的批次穩定性和低交叉反應性,可精準識別天然構象與變性狀態下的靶蛋白。科研人員可將其用于探究SERCA2在心血管系統鈣調控機制、皮膚屏障功能相關通路中的分子作用,或結合細胞模型解析鈣信號失衡導致的病理過程,為疾病機制研究提供可靠工具。該產品僅限科學研究使用。
-
Uniprot No.:
-
基因名:
-
別名:Sarcoplasmic/endoplasmic reticulum calcium ATPase 2 (SERCA2) (SR Ca(2+)-ATPase 2) (EC 3.6.3.8) (Calcium pump 2) (Calcium-transporting ATPase sarcoplasmic reticulum type, slow twitch skeletal muscle isoform) (Endoplasmic reticulum class 1/2 Ca(2+) ATPase), ATP2A2, ATP2B
-
反應種屬:Human
-
免疫原:A synthesized peptide derived from Human ATP2A2
-
免疫原種屬:Homo sapiens (Human)
-
標記方式:Non-conjugated
-
克隆類型:Monoclonal
-
抗體亞型:Rabbit IgG
-
純化方式:Affinity-chromatography
-
克隆號:20D1
-
濃度:It differs from different batches. Please contact us to confirm it.
-
保存緩沖液:Rabbit IgG in 10mM phosphate buffered saline , pH 7.4, 150mM sodium chloride, 0.05% BSA, 0.02% sodium azide and 50% glycerol.
-
產品提供形式:Liquid
-
應用范圍:ELISA, IHC, IF, FC
-
推薦稀釋比:
Application Recommended Dilution IHC 1:50-1:200 IF 1:50-1:200 FC 1:50-1:200 -
Protocols:
-
儲存條件:Upon receipt, store at -20°C or -80°C. Avoid repeated freeze.
-
貨期:Basically, we can dispatch the products out in 1-3 working days after receiving your orders. Delivery time maybe differs from different purchasing way or location, please kindly consult your local distributors for specific delivery time.
-
用途:For Research Use Only. Not for use in diagnostic or therapeutic procedures.
相關產品
靶點詳情
-
功能:This magnesium-dependent enzyme catalyzes the hydrolysis of ATP coupled with the translocation of calcium from the cytosol to the sarcoplasmic reticulum lumen. Involved in autophagy in response to starvation. Upon interaction with VMP1 and activation, controls ER-isolation membrane contacts for autophagosome formation. Also modulates ER contacts with lipid droplets, mitochondria and endosomes.; Involved in the regulation of the contraction/relaxation cycle. Acts as a regulator of TNFSF11-mediated Ca(2+) signaling pathways via its interaction with TMEM64 which is critical for the TNFSF11-induced CREB1 activation and mitochondrial ROS generation necessary for proper osteoclast generation. Association between TMEM64 and SERCA2 in the ER leads to cytosolic Ca(2+) spiking for activation of NFATC1 and production of mitochondrial ROS, thereby triggering Ca(2+) signaling cascades that promote osteoclast differentiation and activation.
-
基因功能參考文獻:
- SGK3 a kinase transcriptionally regulated by estrogen receptor alpha (ERalpha) in breast cancer, sustains ERalpha signaling and drives the acquired aromatase inhibitors resistance by protecting against endoplasmic reticulum (EnR) stress-induced ERalpha downregulation and cell death through preserving SERCA2b function. PMID: 28174265
- Darier disease (DD) is a rare autosomal dominant skin disorder due to mutations in the ATP2A2 gene. PMID: 29142187
- SERCA2a gene transfer significantly improves left ventricle function and dimensions in doxorubicin-induced cardiomyopathy, suggesting LV-SERCA2a gene transfer an attractive treatment modality for doxorubicin-induced heart failure. PMID: 27203155
- Studies indicate that Darier disease (DD) is caused by mutations in the ATP2A2 gene, whereas the ATP2C1 gene is associated with Hailey-Hailey disease (HHD). PMID: 28035777
- Taken together, these results suggest that SERCA2 contributes to the migration of CCL21-activated Dendritic Cells as an important feature of the adaptive immune response and provide novel insights regarding the role of SERCA2 in Dendritic Cells functions. PMID: 27538371
- Novel mutations in Darier disease and association to self-reported disease severity PMID: 29028823
- VMP1 modulates SERCA2 activity to control endoplasmic reticulum contacts for autophagosome formation. PMID: 28890335
- The left atrium / right atrium expression ratio was significantly increased in Atrial fibrillation for SERCA2 - gene related to calcium uptake and release, and located on the sarcoplasmic reticulum membrane. PMID: 27494721
- Loss of SERCA2 impairs ER-to-Golgi transport of nascent DC. PMID: 28156030
- We propose that the increased SERCA1a expression indicates the existence and location of compensating mechanisms in ischemic muscle. PMID: 28648117
- Results show that ATP2A2 is variably expressed in astrocytoma tissues and its expression correlates with tumor grade. Its overexpression suppresses growth of astrocytoma cells. PMID: 28339043
- study identifies a novel splice acceptor site mutation in the ATP2A2 gene, in a family showing Darier disease PMID: 27595213
- Data suggest that mutations of the sarcoplasmic/endoplasmic reticulum calcium ATPase 2 (ATP2A2) gene may lead to the occurrence of Darier disease (DD) in both familial and sporadic cases with DD. PMID: 27577212
- Phospholamban and sarcolipin are membrane proteins that differentially regulate SERCA function. (Review) PMID: 26743715
- High SERCA2 expression is associated with colorectal cancer. PMID: 26608678
- Quantification of SERCA2 mRNA or protein expression levels revealed no differences in airway smooth muscle cells obtained from subjects with asthma compared to non-asthmatic controls. PMID: 25880173
- Inhibition of SERCA2 activity by curcumin disrupts the Ca(2+) homeostasis and thereby promotes apoptosis in ovarian cancer cells. PMID: 26607901
- The association between Darier disease and bipolar disorder is manifest also in the population, and data suggest that genetic variability within the ATP2A2 gene that causes Darier disease also confers susceptibility for bipolar disorder. PMID: 25213221
- ATP2A2 mutation was found in patients diagnosed with Darier disease. PMID: 26051059
- Two novel missense mutations, p.R603I and p.G749V, in the ATP2A2 gene in two families containing individuals diagnosed with Darier disease. PMID: 25872913
- study identified two heterozygous mutations in exon 12 of the ATP2A2 gene in two different Darier disease families PMID: 24552170
- Case Report: ATP2A2 missense mutation at one of the calcium-binding residues causing Darier's disease. PMID: 24979555
- We report here two Chinese Han patients with sporadic Darier disease; mutation analysis of ATP2A2 supported the genetic diagnosis. PMID: 25283811
- SPCA1 and sarco/endoplasmic reticulum Ca(2+) ATPase2 (SERCA2) encoded by ATP2A2 are two essential calcium pumps needed for Ca(2+) homeostasis maintenance in keratinocytes. PMID: 25256005
- SERCA and PMCA pump activities are strongly affected by the localization of F508del-CFTR protein. PMID: 25661196
- Evidence obtained from different diabetes models has suggested a role for advanced glycation end products formation, oxidative stress and increased O-GlcNAcylation in the lowered SERCA2 expression observed in diabetic cardiomyopathy PMID: 25270119
- Gene therapy in heart failure. SERCA2a as a therapeutic target. PMID: 25327883
- PDE3A is part of a SERCA2 signaling complex in cardiac myocytes. PMID: 25593322
- ERK activation is sufficient to reduce SERCA2 mRNA. PMID: 25008120
- A large Chinese family have a novel missense mutation in Darier disease. PMID: 23621824
- Exposure of normal keratinocytes to the SERCA2 inhibitor thapsigargin recapitulated these abnormalities, supporting the role of loss of SERCA2 function in impaired desmosome and adherens junction formation. PMID: 24390139
- a novel role of SERCA2b in facilitating the blockade of human liposarcoma differentiation PMID: 24508653
- palmitoylated calnexin interacts with sarcoendoplasmic reticulum Ca(2+) transport ATPase 2b and this interaction determines endoplasmic reticulum Ca(2+) content and the regulation of endoplasmic reticulum-mitochondria Ca(2+) crosstalk. PMID: 23843619
- I-1 and sarco/endoplasmic reticulum Ca2+ -ATPase synergistically induce the vascular smooth muscle cell contractile phenotype. PMID: 24249716
- the protective effect of hepatic stimulator substance against endoplasmic reticulum stress may be associated with the removal of reactive oxygen species to restore the activity of the sarco-endoplasmic reticulum Ca(2+)-ATPase. PMID: 24284796
- Novel ATP2A2 mutations in a large sample of individuals with Darier disease. PMID: 23356892
- The results demonstrate that (*)NO-mediated activation of SERCA2b via S-glutathiolation of cysteine-674 is required for VEGF-induced EC Ca(2+) influx and migration, and establish redox regulation of SERCA2b as a key component in angiogenic signaling. PMID: 22472004
- Downregulation of SERCA2a plays a critical role in modulating vascular and right ventricular phenotype associated with pulmonary arterial hypertension. PMID: 23804254
- The gene encodes a calcium-ATPase type 2 in the sarco-/endoplasmic reticulum (SERCA2), which belongs to the large family of P-type cation pumps. PMID: 23337962
- By introducing SERCA2 gene to an experimental heart failure model, cardiac functions and prognosis were improved and cardiac remodelling suppressed. SERCA2 is believed to be an important key to correct molecular network in heart failure. PMID: 23229631
- The protein SERCA2 expression was decreased and 43 miRNAs were deregulated in infarcted myocardium compared to corresponding remote myocardium. PMID: 23066896
- Shared histopathological features of acrokeratosis verruciformis of Hopf with Darier disease suggest that they are allelic disorders with variable expression of the same disease. Identical mutations in ATP2A2 in both diseases were not reported to date. PMID: 22814319
- we report one novel heterozygous splice site mutation of ATP2A2 gene and one previously described nonsense mutation. PMID: 22909361
- a higher Ca(2+) affinity of SERCA2b relative to other SERCA isoforms, not only on the cytosolic side, but also on the luminal side. PMID: 23024360
- SERCA2 dysregulation is a pathogenic event in 22q11 deletion syndrome (22q11DS) and schizophrenia. PMID: 23055483
- We report two novel mutations of the ATP2A2 gene in two Chinese families with Darier disease. PMID: 22329366
- Review article highlights the regulatory mechanisms of cardiac contractility by way of the multimeric SERCA/phospholamban (PLN)-ensemble. PMID: 22679139
- functional interactions of SERCA2b and Bcl-2 in the cell may be modulated by HSP70 and other chaperones and stress-regulated proteins. PMID: 22360692
- Loss of SERCA2 expression is observed in human diabetes and occurs within the context of PPAR-gamma phosphorylation and CDK5 activation. PMID: 22240811
- SERCA2-controlled Ca(2)+-dependent keratinocyte adhesion and differentiation is mediated via the sphingolipid pathway. PMID: 22277942
顯示更多
收起更多
-
相關疾病:Acrokeratosis verruciformis (AKV); Darier disease (DD)
-
亞細胞定位:Endoplasmic reticulum membrane; Multi-pass membrane protein. Sarcoplasmic reticulum membrane; Multi-pass membrane protein.
-
蛋白家族:Cation transport ATPase (P-type) (TC 3.A.3) family, Type IIA subfamily
-
組織特異性:Isoform 1 is widely expressed in smooth muscle and nonmuscle tissues such as in adult skin epidermis, with highest expression in liver, pancreas and lung, and intermediate expression in brain, kidney and placenta. Also expressed at lower levels in heart a
-
數據庫鏈接:
Most popular with customers
-
-
YWHAB Recombinant Monoclonal Antibody
Applications: ELISA, WB, IHC, IF, FC
Species Reactivity: Human, Mouse, Rat
-
Phospho-YAP1 (S127) Recombinant Monoclonal Antibody
Applications: ELISA, WB, IHC
Species Reactivity: Human
-
-
-
-
-















