ZNF703 Antibody
-
中文名稱:ZNF703兔多克隆抗體
-
貨號:CSB-PA026966LA01HU
-
規格:¥440
-
圖片:
-
Western Blot
Positive WB detected in: Rat heart tissue
All lanes: ZNF703 antibody at 3μg/ml
Secondary
Goat polyclonal to rabbit IgG at 1/50000 dilution
Predicted band size: 59 kDa
Observed band size: 59 kDa -
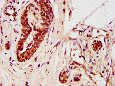
IHC image of CSB-PA026966LA01HU diluted at 1:400 and staining in paraffin-embedded human breast cancer performed on a Leica BondTM system. After dewaxing and hydration, antigen retrieval was mediated by high pressure in a citrate buffer (pH 6.0). Section was blocked with 10% normal goat serum 30min at RT. Then primary antibody (1% BSA) was incubated at 4°C overnight. The primary is detected by a biotinylated secondary antibody and visualized using an HRP conjugated SP system.
-
Immunofluorescence staining of HepG2 cells with CSB-PA026966LA01HU at 1:133, counter-stained with DAPI. The cells were fixed in 4% formaldehyde, permeabilized using 0.2% Triton X-100 and blocked in 10% normal Goat Serum. The cells were then incubated with the antibody overnight at 4°C. The secondary antibody was Alexa Fluor 488-congugated AffiniPure Goat Anti-Rabbit IgG(H+L).
-
-
其他:
產品詳情
-
產品名稱:Rabbit anti-Homo sapiens (Human) ZNF703 Polyclonal antibody
-
Uniprot No.:
-
基因名:ZNF703
-
別名:FLJ14299 antibody; ZEPPO1 antibody; Zinc finger elbow-related proline domain protein 1 antibody; Zinc finger protein 703 antibody; ZN703_HUMAN antibody; ZNF503L antibody; znf703 antibody; ZPO1 antibody
-
宿主:Rabbit
-
反應種屬:Human, Rat
-
免疫原:Recombinant Human Zinc finger protein 703 protein (218-286AA)
-
免疫原種屬:Homo sapiens (Human)
-
標記方式:Non-conjugated
本頁面中的產品,ZNF703 Antibody (CSB-PA026966LA01HU),的標記方式是Non-conjugated。對于ZNF703 Antibody,我們還提供其他標記。見下表:
-
克隆類型:Polyclonal
-
抗體亞型:IgG
-
純化方式:>95%, Protein G purified
-
濃度:It differs from different batches. Please contact us to confirm it.
-
保存緩沖液:Preservative: 0.03% Proclin 300
Constituents: 50% Glycerol, 0.01M PBS, pH 7.4 -
產品提供形式:Liquid
-
應用范圍:ELISA, WB, IHC, IF
-
推薦稀釋比:
Application Recommended Dilution WB 1:500-1:5000 IHC 1:200-1:500 IF 1:50-1:200 -
Protocols:
-
儲存條件:Upon receipt, store at -20°C or -80°C. Avoid repeated freeze.
-
貨期:Basically, we can dispatch the products out in 1-3 working days after receiving your orders. Delivery time maybe differs from different purchasing way or location, please kindly consult your local distributors for specific delivery time.
-
用途:For Research Use Only. Not for use in diagnostic or therapeutic procedures.
相關產品
靶點詳情
-
功能:Transcriptional corepressor which does not bind directly to DNA and may regulate transcription through recruitment of histone deacetylases to gene promoters. Regulates cell adhesion, migration and proliferation. May be required for segmental gene expression during hindbrain development.
-
基因功能參考文獻:
- ZNF703 can potently facilitate tumor growth and metastasis in many respects throughout the progression of CCA, which may act as an oncogene in CCA and can be considered as a novel potential therapeutic target. PMID: 27764785
- ZNF703 activated the PI3K/AKT/GSK-3beta signalling pathway and its downstream effectors, thus regulating the cell cycle and epithelial-mesenchymal transition. PMID: 29176314
- Results show that ZNF703 is up-regulated in 63.4% of non-small cell lung cancer (NSCLC) tumor samples and it may contribute to tumor development by activating the Akt/mTOR pathway in NSCLC. PMID: 27650486
- In vitro function assays demonstrated that SPRY4-IT1 cause promotion of cell viability in ESCC cells. Authors further verified that SPRY4-IT1 could also activate the expression of ZNF703 in ESCC cells, which might contribute to the role of SPRY4-IT1 in ESCC cells. PMID: 27453415
- Results show that ZNF703 overexpression is associated with adverse prognosis in head and neck squamous cell carcinomas, which might be a novel biomarker for this type of neoplasm. PMID: 26063961
- ZNF703 was a target of SPRY4-IT1. PMID: 25742952
- Results show that ZNF703 expression is upregulated in colorectal cancer tissues (CRC) and is significantly correlated with tumor size, pathological grading, and serosal and lymph node metastasis suggesting that it may act as an oncogene in CRC. PMID: 25017610
- The results showed that ZNF703 acts as a gastric cancer oncogene PMID: 24481460
- High expression of ZNF703 independent of amplification indicates worse prognosis in patients with luminal B breast cancer. PMID: 24156016
- Data indicate that ZNF703 overexpression in MCF-7 breast cancer cells activated the Akt/mTOR signaling pathway, downregulated ERalpha, and reduced the antitumor effect of tamoxifen. PMID: 23991038
- The conserved domains are essential for proper subcellular localization and transcriptional repression of the NLZ1/ZNF703 protein. PMID: 22886885
- ZNF703 expression results in the activation of stem cell-related gene expression leading to an increase in cancer stem cells. PMID: 21328542
- These data strongly point to ZNF703 as a novel oncogene in Luminal B breast cancer. PMID: 21337521
- Data show that FGFR1 and DDHD2 at 8p12 cooperated functionally with MYC, whereas CCND1 and ZNF703 cooperated with a dominant negative form of TP53. PMID: 19330026
顯示更多
收起更多
-
相關疾病:Luminal B breast cancers are the clinically more aggressive estrogen receptor-positive tumors. Amplification of a distal 8p12 locus occurs in around one third of the cases and ZNF703 is the single gene within the minimal amplicon. Amplification of the gene correlates with its protein expression in tumor cells. ZNF703 is a classical breast cancer oncogene since it is able to transform non-malignant cells and increase cellular proliferation.
-
亞細胞定位:Nucleus. Cytoplasm.
-
蛋白家族:Elbow/Noc family
-
組織特異性:Expressed in mammary epithelium.
-
數據庫鏈接:
Most popular with customers
-
-
YWHAB Recombinant Monoclonal Antibody
Applications: ELISA, WB, IHC, IF, FC
Species Reactivity: Human, Mouse, Rat
-
Phospho-YAP1 (S127) Recombinant Monoclonal Antibody
Applications: ELISA, WB, IHC
Species Reactivity: Human
-
-
-
-
-















