ZNF582 Antibody
-
中文名稱:ZNF582兔多克隆抗體
-
貨號:CSB-PA026864LA01HU
-
規格:¥440
-
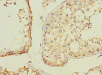
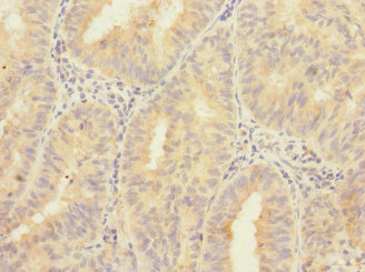
圖片:
-
其他:
產品詳情
-
產品名稱:Rabbit anti-Homo sapiens (Human) ZNF582 Polyclonal antibody
-
Uniprot No.:
-
基因名:ZNF582
-
別名:Zinc finger protein 582 antibody; ZN582_HUMAN antibody; ZNF 582 antibody; ZNF582 antibody
-
宿主:Rabbit
-
反應種屬:Human
-
免疫原:Recombinant Human Zinc finger protein 582 protein (1-300AA)
-
免疫原種屬:Homo sapiens (Human)
-
標記方式:Non-conjugated
本頁面中的產品,ZNF582 Antibody (CSB-PA026864LA01HU),的標記方式是Non-conjugated。對于ZNF582 Antibody,我們還提供其他標記。見下表:
-
克隆類型:Polyclonal
-
抗體亞型:IgG
-
純化方式:>95%, Protein G purified
-
濃度:It differs from different batches. Please contact us to confirm it.
-
保存緩沖液:Preservative: 0.03% Proclin 300
Constituents: 50% Glycerol, 0.01M PBS, PH 7.4 -
產品提供形式:Liquid
-
應用范圍:ELISA, IHC
-
推薦稀釋比:
Application Recommended Dilution IHC 1:20-1:200 -
Protocols:
-
儲存條件:Upon receipt, store at -20°C or -80°C. Avoid repeated freeze.
-
貨期:Basically, we can dispatch the products out in 1-3 working days after receiving your orders. Delivery time maybe differs from different purchasing way or location, please kindly consult your local distributors for specific delivery time.
-
用途:For Research Use Only. Not for use in diagnostic or therapeutic procedures.
相關產品
靶點詳情
-
功能:May be involved in transcriptional regulation.
-
基因功能參考文獻:
- Hypermethylated ZNF582 and PAX1 genes in the oral scrapings collected from adjacent normal oral mucosal sites rather than cancer sites are associated with aggressive progression and poor prognosis of OSCC PMID: 29224816
- conclude that hypermethylated ZNF582 and PAX1 are effective biomarkers for the detection of oral dysplasia and oral cancer and for the prediction of oral cancer recurrence PMID: 27865370
- DNA methylation status of ZNF582 showed a relatively good sensitivity and specificity for the detection of ESOPHAGEAL SQUAMOUS CELL CARCINOMA. PMID: 28241446
- Results show that promoter hypermethylation of ADCY8, CDH8, and ZNF582 are correlated with high-grade squamous intraepithelial lesion. PMID: 27651839
- This is the first study to show that ZNF582 methylation analysis of cervical swabs may be a promising choice in the positive triage of cytological diagnoses of low-grade squamous intraepithelial lesions PMID: 25134998
- Methylation levels of ZNF582 in uterine cervix adenocarcinomas is significantly higher than those in normal cervical tissues. PMID: 24407576
- ZNF582 is frequently methylated in cervical intraepithelial neoplasia 3 and worse lesions PMID: 22815913
顯示更多
收起更多
-
亞細胞定位:Nucleus.
-
蛋白家族:Krueppel C2H2-type zinc-finger protein family
-
數據庫鏈接:
Most popular with customers
-
YWHAB Recombinant Monoclonal Antibody
Applications: ELISA, WB, IHC, IF, FC
Species Reactivity: Human, Mouse, Rat
-
Phospho-YAP1 (S127) Recombinant Monoclonal Antibody
Applications: ELISA, WB, IHC
Species Reactivity: Human
-
-
-
-
-
-















