ZNF462 Antibody
-
中文名稱:ZNF462兔多克隆抗體
-
貨號:CSB-PA026768LA01HU
-
規格:¥440
-
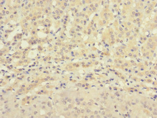
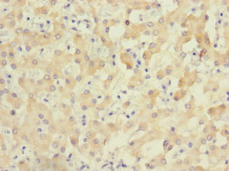
圖片:
-
其他:
產品詳情
-
產品名稱:Rabbit anti-Homo sapiens (Human) ZNF462 Polyclonal antibody
-
Uniprot No.:
-
基因名:ZNF462
-
別名:DKFZp686B2325 antibody; DKFZp762N2316 antibody; FLJ14960 antibody; FLJ45904 antibody; KIAA1803 antibody; RP11-508N12.1 antibody; Zinc finger protein 462 antibody; ZN462_HUMAN antibody; ZNF462 antibody
-
宿主:Rabbit
-
反應種屬:Human
-
免疫原:Recombinant Human Zinc finger protein 462 protein (2223-2506AA)
-
免疫原種屬:Homo sapiens (Human)
-
標記方式:Non-conjugated
本頁面中的產品,ZNF462 Antibody (CSB-PA026768LA01HU),的標記方式是Non-conjugated。對于ZNF462 Antibody,我們還提供其他標記。見下表:
-
克隆類型:Polyclonal
-
抗體亞型:IgG
-
純化方式:>95%, Protein G purified
-
濃度:It differs from different batches. Please contact us to confirm it.
-
保存緩沖液:Preservative: 0.03% Proclin 300
Constituents: 50% Glycerol, 0.01M PBS, PH 7.4 -
產品提供形式:Liquid
-
應用范圍:ELISA, IHC
-
推薦稀釋比:
Application Recommended Dilution IHC 1:20-1:200 -
Protocols:
-
儲存條件:Upon receipt, store at -20°C or -80°C. Avoid repeated freeze.
-
貨期:Basically, we can dispatch the products out in 1-3 working days after receiving your orders. Delivery time maybe differs from different purchasing way or location, please kindly consult your local distributors for specific delivery time.
-
用途:For Research Use Only. Not for use in diagnostic or therapeutic procedures.
相關產品
靶點詳情
-
功能:Zinc finger nuclear factor involved in transcription by regulating chromatin structure and organization. Involved in the pluripotency and differentiation of embryonic stem cells by regulating SOX2, POU5F1/OCT4, and NANOG. By binding PBX1, prevents the heterodimerization of PBX1 and HOXA9 and their binding to DNA. Regulates neuronal development and neural cell differentiation.
-
基因功能參考文獻:
- In the current study we describe a patient with a syndromic form of autism spectrum disorder and intellectual disability characterized by metopic craniosynostosis, ptosis and corpus callosum dysgenesis most likely caused by ZNF462 haploinsufficiency. The possible contribution of the disruption of KLF12 by one of the translocation breakpoints remains unclear. PMID: 29427787
- Loss of function variants in ZNF462 were identified in patients with ptosis, metopic ridging, craniosynostosis, dysgenesis of the corpus callosum, and developmental delay. PMID: 28513610
- Zinc finger protein 462 (ZNF462) is the first human O-GlcNAc-6-phosphate modified protein. PMID: 22826440
-
亞細胞定位:Nucleus.
-
數據庫鏈接:
Most popular with customers
-
-
YWHAB Recombinant Monoclonal Antibody
Applications: ELISA, WB, IHC, IF, FC
Species Reactivity: Human, Mouse, Rat
-
Phospho-YAP1 (S127) Recombinant Monoclonal Antibody
Applications: ELISA, WB, IHC
Species Reactivity: Human
-
-
-
-
-















