ZNF346 Antibody
-
中文名稱:ZNF346兔多克隆抗體
-
貨號:CSB-PA026691ESR1HU
-
規格:¥440
-
圖片:
-
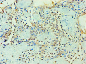
Immunohistochemistry of paraffin-embedded human breast cancer using CSB-PA026691ESR1HU at dilution of 1:100
-
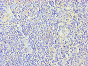
Immunohistochemistry of paraffin-embedded human tonsil tissue using CSB-PA026691ESR1HU at dilution of 1:100
-
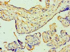
Immunohistochemistry of paraffin-embedded human placenta tissue using CSB-PA026691ESR1HU at dilution of 1:100
-
Immunoprecipitating ZNF346 in HepG2 whole cell lysate
Lane 1: Rabbit control IgG (1µg) instead of CSB-PA026691ESR1HU in HepG2 whole cell lysate. For western blotting, a HRP-conjugated anti-rabbit IgG, specific to the non-reduced form of IgG was used as the secondary antibody (1/50000)
Lane 2: CSB-PA026691ESR1HU (4µg) + HepG2 whole cell lysate (500µg)
Lane 3: HepG2 whole cell lysate (20µg)
-
-
其他:
產品詳情
-
產品名稱:Rabbit anti-Homo sapiens (Human) ZNF346 Polyclonal antibody
-
Uniprot No.:
-
基因名:ZNF346
-
別名:DKFZp547M223 antibody; Double stranded RNA binding zinc finger protein antibody; Double stranded RNA binding zinc finger protein JAZ antibody; JAZ antibody; Just another zinc finger protein antibody; Zfp346 antibody; Zinc finger protein 346 antibody; ZN346_HUMAN antibody; Znf346 antibody
-
宿主:Rabbit
-
反應種屬:Human
-
免疫原:Recombinant Human Zinc finger protein 346 protein (1-294AA)
-
免疫原種屬:Homo sapiens (Human)
-
標記方式:Non-conjugated
-
克隆類型:Polyclonal
-
抗體亞型:IgG
-
純化方式:Antigen Affinity Purified
-
濃度:It differs from different batches. Please contact us to confirm it.
-
保存緩沖液:PBS with 0.02% sodium azide, 50% glycerol, pH7.3.
-
產品提供形式:Liquid
-
應用范圍:ELISA, IHC, IP
-
推薦稀釋比:
Application Recommended Dilution IHC 1:20-1:200 IP 1:200-1:2000 -
Protocols:
-
儲存條件:Upon receipt, store at -20°C or -80°C. Avoid repeated freeze.
-
貨期:Basically, we can dispatch the products out in 1-3 working days after receiving your orders. Delivery time maybe differs from different purchasing way or location, please kindly consult your local distributors for specific delivery time.
-
用途:For Research Use Only. Not for use in diagnostic or therapeutic procedures.
相關產品
靶點詳情
-
功能:Binds with low affinity to dsDNA and ssRNA, and with high affinity to dsRNA, with no detectable sequence specificity. May bind to specific miRNA hairpins.
-
基因功能參考文獻:
- JAZ directly binds E2F1 in vitro in a dsRNA-independent manner, and JAZ's dsRNA binding ZF domains, which are necessary for localizing JAZ to the nucleus, are required for repression of transcriptional activity in vivo. PMID: 21715977
- JAZ is exported by exportin-5 but translocates back into nuclei by a facilitated diffusion mechanism PMID: 15254228
-
亞細胞定位:Nucleus, nucleolus. Cytoplasm. Note=Nuclear at steady state, primarily in the nucleolus. Shuttles between the nucleus and cytoplasm when associated with XPO5.
-
數據庫鏈接:
Most popular with customers
-
-
YWHAB Recombinant Monoclonal Antibody
Applications: ELISA, WB, IHC, IF, FC
Species Reactivity: Human, Mouse, Rat
-
Phospho-YAP1 (S127) Recombinant Monoclonal Antibody
Applications: ELISA, WB, IHC
Species Reactivity: Human
-
-
-
-
-















