ZNF165 Antibody
-
中文名稱:ZNF165兔多克隆抗體
-
貨號:CSB-PA026551LA01HU
-
規格:¥440
-
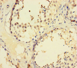
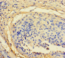
圖片:
-
其他:
產品詳情
-
產品名稱:Rabbit anti-Homo sapiens (Human) ZNF165 Polyclonal antibody
-
Uniprot No.:
-
基因名:ZNF165
-
別名:Cancer/testis antigen 53 antibody; CT53 antibody; LD65 antibody; MGC140342 antibody; OTTHUMP00000016195 antibody; Zinc finger and SCAN domain containing protein 7 antibody; Zinc finger and SCAN domain-containing protein 7 antibody; Zinc finger protein 165 antibody; ZINC FINGER PROTEIN 165, ZNF165 antibody; ZN165_HUMAN antibody; ZNF165 antibody; ZPF165 antibody; ZSCAN7 antibody
-
宿主:Rabbit
-
反應種屬:Human
-
免疫原:Recombinant Human Zinc finger protein 165 protein (1-485AA)
-
免疫原種屬:Homo sapiens (Human)
-
標記方式:Non-conjugated
本頁面中的產品,ZNF165 Antibody (CSB-PA026551LA01HU),的標記方式是Non-conjugated。對于ZNF165 Antibody,我們還提供其他標記。見下表:
-
克隆類型:Polyclonal
-
抗體亞型:IgG
-
純化方式:>95%, Protein G purified
-
濃度:It differs from different batches. Please contact us to confirm it.
-
保存緩沖液:Preservative: 0.03% Proclin 300
Constituents: 50% Glycerol, 0.01M PBS, PH 7.4 -
產品提供形式:Liquid
-
應用范圍:ELISA, IHC
-
推薦稀釋比:
Application Recommended Dilution IHC 1:20-1:200 -
Protocols:
-
儲存條件:Upon receipt, store at -20°C or -80°C. Avoid repeated freeze.
-
貨期:Basically, we can dispatch the products out in 1-3 working days after receiving your orders. Delivery time maybe differs from different purchasing way or location, please kindly consult your local distributors for specific delivery time.
-
用途:For Research Use Only. Not for use in diagnostic or therapeutic procedures.
相關產品
靶點詳情
-
功能:May be involved in transcriptional regulation.
-
基因功能參考文獻:
- ZNF165 drives the unrestrained activation of transforming growth factor beta (TGFbeta) signalling by directly inactivating the expression of negative feedback pathway regulators, SMURF2, SMAD7 and PMEPA1. PMID: 26567849
- ZNF165 mRNA/protein expression was observed in TCC of human urinary bladder and might be used as a novel diagnostic biomarker and as well a vaccine target in development of urinary bladder cancer specific immunotherapy. PMID: 25214475
-
亞細胞定位:Nucleus.
-
蛋白家族:Krueppel C2H2-type zinc-finger protein family
-
組織特異性:Expressed specifically in testis.
-
數據庫鏈接:
Most popular with customers
-
YWHAB Recombinant Monoclonal Antibody
Applications: ELISA, WB, IHC, IF, FC
Species Reactivity: Human, Mouse, Rat
-
Phospho-YAP1 (S127) Recombinant Monoclonal Antibody
Applications: ELISA, WB, IHC
Species Reactivity: Human
-
-
-
-
-
-















