ZFX Antibody
-
中文名稱:ZFX兔多克隆抗體
-
貨號:CSB-PA026467LA01HU
-
規格:¥440
-
圖片:
-
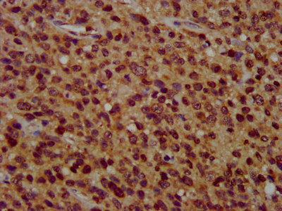
IHC image of CSB-PA026467LA01HU diluted at 1:400 and staining in paraffin-embedded human glioma performed on a Leica BondTM system. After dewaxing and hydration, antigen retrieval was mediated by high pressure in a citrate buffer (pH 6.0). Section was blocked with 10% normal goat serum 30min at RT. Then primary antibody (1% BSA) was incubated at 4°C overnight. The primary is detected by a biotinylated secondary antibody and visualized using an HRP conjugated SP system.
-
-
其他:
產品詳情
-
產品名稱:Rabbit anti-Homo sapiens (Human) ZFX Polyclonal antibody
-
Uniprot No.:
-
基因名:ZFX
-
別名:X-linked zinc finger protein antibody; zfx antibody; ZFX_HUMAN antibody; Zinc finger protein, X-linked antibody; Zinc Finger X Chromosomal Protein antibody; Zinc finger X-chromosomal protein antibody; ZNF926 antibody
-
宿主:Rabbit
-
反應種屬:Human
-
免疫原:Recombinant Human Zinc finger X-chromosomal protein (711-805AA)
-
免疫原種屬:Homo sapiens (Human)
-
標記方式:Non-conjugated
本頁面中的產品,ZFX Antibody (CSB-PA026467LA01HU),的標記方式是Non-conjugated。對于ZFX Antibody,我們還提供其他標記。見下表:
-
克隆類型:Polyclonal
-
抗體亞型:IgG
-
純化方式:>95%, Protein G purified
-
濃度:It differs from different batches. Please contact us to confirm it.
-
保存緩沖液:Preservative: 0.03% Proclin 300
Constituents: 50% Glycerol, 0.01M PBS, pH 7.4 -
產品提供形式:Liquid
-
應用范圍:ELISA, IHC
-
推薦稀釋比:
Application Recommended Dilution IHC 1:200-1:500 -
Protocols:
-
儲存條件:Upon receipt, store at -20°C or -80°C. Avoid repeated freeze.
-
貨期:Basically, we can dispatch the products out in 1-3 working days after receiving your orders. Delivery time maybe differs from different purchasing way or location, please kindly consult your local distributors for specific delivery time.
-
用途:For Research Use Only. Not for use in diagnostic or therapeutic procedures.
相關產品
靶點詳情
-
功能:Probable transcriptional activator.
-
基因功能參考文獻:
- MiR-493 functioned as tumor suppressor in HCC cells by regulating ZFX expression. Thus, miR-493 may provide potential value for HCC treatment. PMID: 29758928
- The depletion of ZFX using lentiviral shRNAs significantly inhibited cell proliferation by inducing cell cycle arrest in G0/G1 phase and resulted in increased cell apoptosis and invasive repression. PMID: 30007968
- The research findings indicate that Zinc finger protein X-linked (ZFX) activates and maintains EpCAM(+) liver cancer stem cells by promoting nuclear translocation and transactivation of beta-catenin. Furthermore, combination of ZFX and epithelial cell adhesion molecule (EpCAM) may serve as a significant indicator for prognosis of patients with hepatocellular carcinoma. PMID: 28156061
- Findings indicate that zinc-finger protein X-linked (ZFX) promotes colorectal cancer (CRC) progression by suppressing dual specificity phosphatase 5 (DUSP5) expression and suggest that ZFX is a prognostic biomarker and potentially useful therapeutic target in stage II/III CRC patients. PMID: 26967242
- colon cancer-associated transcript-1 knockdown inhibits proliferation and invasion of laryngeal squamous cell cancer cells through enhancing zinc finger protein, X-linked by sponging microRNA-218, elucidating a novel colon cancer-associated transcript-1-microRNA-218-zinc finger protein, X-linked regulatory axis in laryngeal squamous cell cancer and providing a promising therapeutic target for laryngeal cancer PMID: 28631575
- EZH2 and ZFX genes do not seem to have an impact on the onset of most parathyroid tumours, both benign and malignant, though further studies on larger cohorts of different ethnicity are needed. PMID: 26876532
- Zinc finger and X-linked factor ZFX transactivates the SET transcript 2 promoter through binding to a site closely located to the transcription start site. PMID: 27775603
- miR-144 has been demonstrated to act as a tumour suppressor in hepatocellular carcinoma (HCC) cell growth and motility by directly targeting ZFX, which implicates its potential applications in the development of HCC treatment PMID: 28229969
- demonstrated that ZFX is aberrantly expressed in multiple human leukemic cells and it modulates the growth and drug response of leukemic cells partially via B4GALT1, which suggests that ZFX is a new regulator of leukemic cells and warrants intensive investigations on this 'stemness' regulator in these deadly diseases PMID: 27797721
- ZFX is a novel oncogene promoting cell proliferation and inducing imatinib resistance via PI3K/Akt signaling pathway PMID: 26912059
- Zinc finger protein x-linked contributes to patient prognosis, and regulates cell proliferation and apoptosis in human laryngeal squamous cell carcinoma. PMID: 26823701
- ZFX expression may have a role in poor prognosis of renal cell carcinoma patients PMID: 26540164
- Nasopharyngeal carcinoma patients with high ZFX expression had lower 5-year overall survival rates, progression-free survival rates, loco-regional relapse-free survival rates and distant metastasis-free survival rates than those with low ZFX expression PMID: 26097576
- Our results provide evidence suggesting that ZFX overexpression is associated with the development of tongue SCC and ZFX knockdown is a potential treatment for tumor suppression PMID: 25916205
- These data demonstrate that ZFX functions as a critical upstream regulator of c-Myc and plays essential roles in the maintenance of the glioma stem cells phenotype PMID: 24831540
- ZFX is essential for the development and progression of squamous cell carcinoma of the tongue. PMID: 25355536
- our findings for the first time demonstrated that ZFX expression may be associated with the progress of colorectal cancer PMID: 25031734
- Study detected the expression of ZFX in 42 patients with renal cancer and found the expression of ZFX was specifically upregulated in cancer tissues at the mRNA and protein levels. PMID: 25441684
- Expression of ZFX promotes tumor growth in hepatocellular carcinoma. PMID: 24585547
- ZFX knockdown prevented tumor cell growth and migration in vitro and decreased proportion of tumor bearing mice and reduced mean tumor volume in a subcutaneous tumor model. PMID: 24228108
- ZFX is over-expressed in children with B-acute lymphoblastic leukemia and its levels are higher in those with a poor prognosis than those with a good prognosis PMID: 23866268
- Zinc finger X-chromosomal protein promoted the growth and migration of gallbladder cancer cells. PMID: 23860324
- ZFX plays a prominent role in gastric cancer tumorigenicity and may have potential applications in the diagnosis or treatment of GC. PMID: 23587796
- This study demonistrated that ZFX regulates glioma cell proliferation and survival. PMID: 23322077
- ZFX may play an important role in cell growth control and cell cycle progression of 95D cells. PMID: 23461064
- ZFX acts as a molecular rheostat regulating the balance between self-renewal and differentiation in human Embryonic stem cells. PMID: 22879936
- disseminated gastric cancer cells could survive in bone marrow when low expression of miR-144 permits upregulation of ZFX. This may play a key role in the progression of gastric cancer. PMID: 22955854
- Zfx may play a critical role in cell proliferation, cell cycle distribution, and apoptosis of human malignant glioma cells. PMID: 22185393
- ZFX was differentially expressed in different tumour types and grades of gastric cancer. PMID: 22357206
- high expression of ZFX is associated with laryngeal squamous cell carcinoma progression and knockdown of ZFX may block tumor cell growth mainly by promoting cell apoptosis PMID: 22009483
顯示更多
收起更多
-
亞細胞定位:Nucleus.
-
蛋白家族:Krueppel C2H2-type zinc-finger protein family, ZFX/ZFY subfamily
-
數據庫鏈接:
Most popular with customers
-
-
YWHAB Recombinant Monoclonal Antibody
Applications: ELISA, WB, IHC, IF, FC
Species Reactivity: Human, Mouse, Rat
-
Phospho-YAP1 (S127) Recombinant Monoclonal Antibody
Applications: ELISA, WB, IHC
Species Reactivity: Human
-
-
-
-
-















