ZDHHC1 Antibody
-
中文名稱:ZDHHC1兔多克隆抗體
-
貨號:CSB-PA837848LA01HU
-
規格:¥440
-
圖片:
-
Western Blot
Positive WB detected in: A549 whole cell lysate(20μg), Hela whole cell lysate(20μg), U251 whole cell lysate(20μg), 293 whole cell lysate(20μg), Mouse Brain whole cell lysate(20μg),Mouse Spleen tissue lysate(20μg)
All lanes: ZDHHC1 antibody at 1:1000
Secondary
Goat polyclonal to rabbit IgG at 1/50000 dilution
Predicted band size: 48, 55 kDa
Observed band size: 55 kDa
Exposure time: 10s -
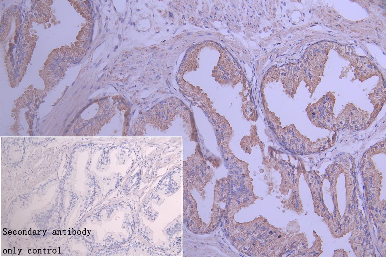
IHC image of CSB-PA837848LA01HU diluted at 1:100 and staining in paraffin-embedded human prostate tissue performed on a Leica BondTM system. After dewaxing and hydration, antigen retrieval was mediated by high pressure in a citrate buffer (pH 6.0). Section was blocked with 10% normal goat serum 30min at RT. Then primary antibody (1% BSA) was incubated at 4°C overnight. The primary is detected by a Goat anti-rabbit polymer IgG labeled by HRP and visualized using 0.05% DAB. Secondary antibody only control: uses 1% BSA instead of primary antibody
-
Immunofluorescence staining of U251 cell with CSB-PA837848LA01HU at 1:30, counter-stained with DAPI. The cells were fixed in 4% formaldehyde, permeabilized using 0.2% Triton X-100 and blocked in 10% normal Goat Serum. The cells were then incubated with the antibody overnight at 4C. The secondary antibody was Alexa Fluor 488-congugated AffiniPure Goat Anti-Rabbit IgG(H+L).
-
Immunofluorescence staining of U251 cell with 5% goat serum, counter-stained with DAPI. The cells were fixed in 4% formaldehyde, permeabilized using 0.2% Triton X-100 and blocked in 10% normal Goat Serum. The cells were then incubated with the antibody overnight at 4C. The secondary antibody was Alexa Fluor 488-congugated AffiniPure Goat Anti-Rabbit IgG(H+L).
-
Immunofluorescence staining of A549 cell with CSB-PA837848LA01HU at 1:30, counter-stained with DAPI. The cells were fixed in 4% formaldehyde, permeabilized using 0.2% Triton X-100 and blocked in 10% normal Goat Serum. The cells were then incubated with the antibody overnight at 4C. The secondary antibody was Alexa Fluor 488-congugated AffiniPure Goat Anti-Rabbit IgG(H+L).
-
Immunofluorescence staining of A549 cell with 5% goat serum, counter-stained with DAPI. The cells were fixed in 4% formaldehyde, permeabilized using 0.2% Triton X-100 and blocked in 10% normal Goat Serum. The cells were then incubated with the antibody overnight at 4C. The secondary antibody was Alexa Fluor 488-congugated AffiniPure Goat Anti-Rabbit IgG(H+L).
-
-
其他:
產品詳情
-
產品名稱:Rabbit anti-Homo sapiens (Human) ZDHHC1 Polyclonal antibody
-
Uniprot No.:
-
基因名:ZDHHC1
-
別名:ZDHHC1; C16orf1; ZNF377; Palmitoyltransferase ZDHHC1; DHHC domain-containing cysteine-rich protein 1; Zinc finger DHHC domain-containing protein 1; DHHC-1; Zinc finger protein 377
-
宿主:Rabbit
-
反應種屬:Human, Mouse
-
免疫原:Synthesized peptide derived from human ZDHC1 AA range: 81-131
-
免疫原種屬:Homo sapiens (Human)
-
克隆類型:Polyclonal
-
抗體亞型:IgG
-
純化方式:Antigen affinity purification
-
濃度:It differs from different batches. Please contact us to confirm it.
-
保存緩沖液:Liquid in PBS containing 50% glycerol, 0.5% BSA and 0.02% sodium azide.
-
產品提供形式:Liquid
-
應用范圍:ELISA, WB, IHC, IF
-
推薦稀釋比:
Application Recommended Dilution WB 1:1000-1:3000 IHC 1:50-1:200 IF 1:20-1:100 -
Protocols:
-
儲存條件:Upon receipt, store at -20°C or -80°C. Avoid repeated freeze.
-
貨期:Basically, we can dispatch the products out in 1-3 working days after receiving your orders. Delivery time maybe differs from different purchasing way or location, please kindly consult your local distributors for specific delivery time.
-
用途:For Research Use Only. Not for use in diagnostic or therapeutic procedures.
相關產品
靶點詳情
-
功能:Palmitoyltransferase that could catalyze the addition of palmitate onto various protein substrates. Has a palmitoyltransferase activity toward NCDN and regulates NCDN association with endosome membranes through this palmitoylation.; Has also a palmitoyltransferase activity-independent function in DNA virus-triggered and CGAS-mediated innate immune response. Functions as an activator of STING1 by promoting its cGAMP-induced oligomerization and the recruitment of downstream signaling components.
-
基因功能參考文獻:
- In an expression screen for proteins that can activate the IFNB1 promoter, authors identified the ER-associated protein ZDHHC1 as a positive regulator of virus-triggered, MITA/STING-dependent immune signaling. PMID: 25299331
-
亞細胞定位:Endosome membrane; Multi-pass membrane protein. Endoplasmic reticulum membrane; Multi-pass membrane protein. Golgi apparatus.
-
蛋白家族:DHHC palmitoyltransferase family
-
組織特異性:Widely expressed with significant expression in heart, brain, placenta, lung, liver, kidney, testis, thymus and small intestine. Expressed at lower levels in adult pancreas and lung.
-
數據庫鏈接:
Most popular with customers
-
-
YWHAB Recombinant Monoclonal Antibody
Applications: ELISA, WB, IHC, IF, FC
Species Reactivity: Human, Mouse, Rat
-
Phospho-YAP1 (S127) Recombinant Monoclonal Antibody
Applications: ELISA, WB, IHC
Species Reactivity: Human
-
-
-
-
-















