ZC3H12A Antibody
-
中文名稱:ZC3H12A兔多克隆抗體
-
貨號:CSB-PA037047
-
規格:¥1100
-
圖片:
-
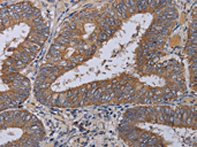
The image on the left is immunohistochemistry of paraffin-embedded Human colon cancer tissue using CSB-PA037047(ZC3H12A Antibody) at dilution 1/40, on the right is treated with fusion protein. (Original magnification: ×200)
-
The image on the left is immunohistochemistry of paraffin-embedded Human brain tissue using CSB-PA037047(ZC3H12A Antibody) at dilution 1/40, on the right is treated with fusion protein. (Original magnification: ×200)
-
Gel: 6%SDS-PAGE, Lysate: 40 μg, Lane: K562 cells, Primary antibody: CSB-PA037047(ZC3H12A Antibody) at dilution 1/200, Secondary antibody: Goat anti rabbit IgG at 1/8000 dilution, Exposure time: 20 seconds
-
-
其他:
產品詳情
-
Uniprot No.:
-
基因名:
-
別名:dJ423B22.1 antibody; MCP 1 treatment-induced protein antibody; MCP-induced protein 1 antibody; MCP1-induced protein antibody; MCPIP 1 antibody; MCPIP antibody; Ribonuclease ZC3H12A antibody; RP3-423B22.1 antibody; ZC12A_HUMAN antibody; ZC3H 12A antibody; ZC3H12 A antibody; Zc3h12a antibody; Zinc finger CCCH domain-containing protein 12A antibody; Zinc finger CCCH type containing 12A antibody
-
宿主:Rabbit
-
反應種屬:Human
-
免疫原:Fusion protein of Human ZC3H12A
-
免疫原種屬:Homo sapiens (Human)
-
標記方式:Non-conjugated
-
抗體亞型:IgG
-
純化方式:Antigen affinity purification
-
濃度:It differs from different batches. Please contact us to confirm it.
-
保存緩沖液:-20°C, pH7.4 PBS, 0.05% NaN3, 40% Glycerol
-
產品提供形式:Liquid
-
應用范圍:ELISA,WB,IHC
-
推薦稀釋比:
Application Recommended Dilution ELISA 1:2000-1:5000 WB 1:500-1:2000 IHC 1:50-1:200 -
Protocols:
-
儲存條件:Upon receipt, store at -20°C or -80°C. Avoid repeated freeze.
-
貨期:Basically, we can dispatch the products out in 1-3 working days after receiving your orders. Delivery time maybe differs from different purchasing way or location, please kindly consult your local distributors for specific delivery time.
-
用途:For Research Use Only. Not for use in diagnostic or therapeutic procedures.
相關產品
靶點詳情
-
功能:Endoribonuclease involved in various biological functions such as cellular inflammatory response and immune homeostasis, glial differentiation of neuroprogenitor cells, cell death of cardiomyocytes, adipogenesis and angiogenesis. Functions as an endoribonuclease involved in mRNA decay. Modulates the inflammatory response by promoting the degradation of a set of translationally active cytokine-induced inflammation-related mRNAs, such as IL6 and IL12B, during the early phase of inflammation. Prevents aberrant T-cell-mediated immune reaction by degradation of multiple mRNAs controlling T-cell activation, such as those encoding cytokines (IL6 and IL2), cell surface receptors (ICOS, TNFRSF4 and TNFR2) and transcription factor (REL). Inhibits cooperatively with ZC3H12A the differentiation of helper T cells Th17 in lungs. They repress target mRNA encoding the Th17 cell-promoting factors IL6, ICOS, REL, IRF4, NFKBID and NFKBIZ. The cooperation requires RNA-binding by RC3H1 and the nuclease activity of ZC3H12A. Together with RC3H1, destabilizes TNFRSF4/OX40 mRNA by binding to the conserved stem loop structure in its 3'UTR. Self regulates by destabilizing its own mRNA. Cleaves mRNA harboring a stem-loop (SL), often located in their 3'-UTRs, during the early phase of inflammation in a helicase UPF1-dependent manner. Plays a role in the inhibition of microRNAs (miRNAs) biogenesis. Cleaves the terminal loop of a set of precursor miRNAs (pre-miRNAs) important for the regulation of the inflammatory response leading to their degradation, and thus preventing the biosynthesis of mature miRNAs. Plays also a role in promoting angiogenesis in response to inflammatory cytokines by inhibiting the production of antiangiogenic microRNAs via its anti-dicer RNase activity. Affects the overall ubiquitination of cellular proteins. Positively regulates deubiquitinase activity promoting the cleavage at 'Lys-48'- and 'Lys-63'-linked polyubiquitin chains on TNF receptor-associated factors (TRAFs), preventing JNK and NF-kappa-B signaling pathway activation, and hence negatively regulating macrophage-mediated inflammatory response and immune homeostasis. Induces also deubiquitination of the transcription factor HIF1A, probably leading to its stabilization and nuclear import, thereby positively regulating the expression of proangiogenic HIF1A-targeted genes. Involved in a TANK-dependent negative feedback response to attenuate NF-kappaB activation through the deubiquitination of IKBKG or TRAF6 in response to interleukin-1-beta (IL1B) stimulation or upon DNA damage. Prevents stress granule (SGs) formation and promotes macrophage apoptosis under stress conditions, including arsenite-induced oxidative stress, heat shock and energy deprivation. Plays a role in the regulation of macrophage polarization; promotes IL4-induced polarization of macrophages M1 into anti-inflammatory M2 state. May also act as a transcription factor that regulates the expression of multiple genes involved in inflammatory response, angiogenesis, adipogenesis and apoptosis. Functions as a positive regulator of glial differentiation of neuroprogenitor cells through an amyloid precursor protein (APP)-dependent signaling pathway. Attenuates septic myocardial contractile dysfunction in response to lipopolysaccharide (LPS) by reducing I-kappa-B-kinase (IKK)-mediated NF-kappa-B activation, and hence myocardial proinflammatory cytokine production.; (Microbial infection) Binds to Japanese encephalitis virus (JEV) and Dengue virus (DEN) RNAs.; (Microbial infection) Exhibits antiviral activity against HIV-1 in lymphocytes by decreasing the abundance of HIV-1 viral RNA species.
-
基因功能參考文獻:
- Based on these findings, ischemia/reperfusion-induced MCPIP1 expression regulates the migration and apoptosis of human vascular endothelial cells via HMGB1 and CaSR, respectively. PMID: 29379093
- Data indicate a mechanism used by monocyte chemotactic protein-inducing protein 1 (MCPIP1) to negatively regulated type I IFN interferon-beta antiviral defense. PMID: 29920243
- Although interleukin-6 (IL-6) mRNA level was higher in 3D-culured cells, its secretion levels were higher in 2D-cultured cells. In addition, the levels of mRNA and protein expression of regnase-1, regulatory RNase of inflammatory cytokine, significantly increased in 3D culture, suggesting post-translational modification of IL-6 mRNA via regnase-1. PMID: 30096769
- The activation of p38 in response to low doses of ultraviolet radiation was postulated to be protective for p53-inactive cells. Therefore, MCPIP1 may favor the survival of p53-defective HaCaT cells by sustaining the activation of p38. PMID: 29103983
- Conclusively, these data demonstrate the MCPIP1 contributes to attenuate influenza A virus-induced host antiviral response by suppressing RIG-I expression. PMID: 28892164
- MCPIP1 contributes to the clear cell renal cell carcinoma development. PMID: 28197812
- MCPIP1 is an important positive regulator of IFNs antiviral activity. PMID: 29545178
- MCPIP1 contributes to the UVB response of keratinocytes by altering metabolic and apoptotic processes and the release of inflammatory mediators. PMID: 28377026
- MCPIP1 overexpression results in modulated levels of 58 miRNAs in adipocytes on day 2 of differentiation. Among them, 30 miRNAs showed significantly reduced levels and 28 showed increased levels in comparison to control. Approximately one third of the modulated miRNAs were not previously reported to be involved in adipocytes differentiation. PMID: 28939056
- A comprehensive update on the function, regulation and molecular mechanisms of Regnase-1 is provided. Authors propose that Regnase-1 may function as a master rapid response gene for cellular adaption triggered by microenvironmental changes. [Review] PMID: 28194024
- Regnase-1 controls the magnitude of innate and adaptive immune responses, and thereby dysfunction of this protein in mice leads to the development of spontaneous systemic inflammation. PMID: 28475459
- data extend knowledge on roles of MCPIP1 in our model and link the protein to regulation of expression and stability of MYCN through decrease of signaling via Akt/mTOR pathway. PMID: 27935099
- Loss of MCPIP1 expression is associated with Clear Cell Renal Cell Carcinoma metastasis. PMID: 28716897
- this study uncovered a novel IL-8-dependent mechanism via which MCPIP-1 maintains epithelial homeostasis PMID: 27513529
- These data revealed that influenza A virus-induced expression of miR-9 negatively regulated MCPIP1 expression and partially acts as a brake on host MCPIP1-mediated antiviral effect. PMID: 27322373
- MCPIP1 recognizes regions of the 3'UTR of C/EBPbeta mRNA. PMID: 28328949
- MCPIP1 is a potent negative regulator of psoriatic skin inflammation through IL-17A and IL-17C PMID: 27920272
- SAHA-mediated suppression of the IL-6 expression is achieved through increased recruitment of CEBPalpha to the MCPIP1 promoter and by relieving the miR-9-mediated inhibition of MCPIP1 expression in OA chondrocytes. PMID: 27404795
- IL-17A-mediated induction of MCPIP1 is involved in the regulation of local altered gene expression in suprabasal epidermal layers in psoriasis PMID: 27180111
- propose that KSHV infection inhibits a negative regulator of miRNA biogenesis (MCPIP1) and up-regulates critical miRNA processing components to evade host mechanisms that inhibit expression of viral miRNAs PMID: 27893764
- both human and cynomolgus monkey MCPIP1 restrict simian immunodeficiency virus replication. Unlike SAMHD1, MCPIP1-mediated HIV-1 restriction cannot be overcome by SIV Vpx. PMID: 27075251
- Regnase-1 can be induced by HMGB1 in microglia and negatively regulates HMGB1-mediated neuroinflammation and neuronal toxicity PMID: 27044405
- findings provide novel insight into the potential targeting of MCPIP1 or autophagy in the development of potential therapeutic strategies for silicosis PMID: 27782836
- These findings reveal a new potential function of MCPIP1, suggesting a possible mechanism of fibrosis in pulmonary silicosis. PMID: 27866190
- The human conserved stem-loop structure is not sufficient for ZC3H12A-dependent degradation. PMID: 27494113
- expression of miR-3613-3p might be regulated by MCPIP1 by cleavage of its precursor form. PMID: 26308737
- Suggest that MCPIP1 may play an important role in cholesterol induced damage in endothelial cells. PMID: 26617772
- Findings show increased MCP1P expression in a model of Ischemia/Reperfusion Injury (I/R) and suggest a vital role for MCPIP1 in cell migration and apoptosis, resulting in increased angiogenesis and apoptosis during the late stages of I/R. PMID: 26329288
- In white blood cells from patients with SLE, MCPIP1 expression was elevated, and its expression correlated positively with the IFN score and negatively with the miR-146a transcript level. PMID: 26315540
- demonstrated induction of MCPIP1 in human fibroblasts embedded in the stress-released 3-D collagen matrix, which occurred through activation of mitogen-activated protein kinases, phosphoinositide 3-kinase, and NF-kappaB PMID: 26399696
- In this review we summarize current progress regarding the specific characteristics of sequences and structures in the 3' untranslated regions of mRNAs that are recognized by tristetraproline, Roquins, and Regnase-1. PMID: 25955820
- miR-139-mediated downregulation of MCPIP1 promotes IL-6 expression in osteoarthritis. PMID: 26450708
- MCPIP1 and MCPIP4 form a complex but they act independently in regulation of IL-6 mRNA degradation. PMID: 26134560
- Data show that regulator of G protein signaling 2 (RGS2) was stabilized by deubiquitinase monocyte chemotactic protein-induced protein 1 (MCPIP1). PMID: 25187114
- MCPIP1 may suppress hepatitis C virus replication and hepatitis C virus-mediated proinflammatory responses with infection, which might contribute to the regulation of host defense against the infection and virus-induced inflammation. PMID: 25225661
- MCPIP1-associated USP10 is essential for negative regulation of NF-kappaB activation. PMID: 24270572
- MCPIP1 acts as an RNase to limit HIV-1 production in resting CD4+ T cells. PMID: 24191027
- The present results show for the first time that the antidicer RNase activity of MCPIP1 is critical in mediating the angiogenic function of MCPIP. PMID: 24048733
- These results demonstrate that MCPIP may be an important regulator of inflammatory angiogenesis and provide novel mechanistic insights into the link between MCP-1 and cardiovascular diseases. PMID: 24008336
- MCPIP1 is regulated by IL-17 and IL-1 PMID: 23658019
- Taken together, these data demonstrate that MCPIP1 down-regulates via an ARE-independent pathway PMID: 23185455
- MCPIP1 can act as a host innate defense via RNase activity for targeting and degrading viral RNA. PMID: 23355615
- MCPIP-induces differentiation via induction of oxidative stress that leads to ER stress that causes autophagy involved in tube formation. PMID: 22820500
- Data indicate that absence of MCPIP1 exacerbates ischemic brain damage by upregulation of proinflammatory cytokines and that MCPIP1 participates in LPS-induced ischemic stroke tolerance. PMID: 22196138
- Our data suggest that Zc3h12a is a novel IL-6 regulator in fibroblast-like synovial cells, which may be involved in the progression of rheumatoid arthritis. PMID: 22132693
- MCPIP1 coordinates SG formation and apoptosis during cellular stress and may play a critical role in immune homeostasis and resolution of macrophage inflammation. PMID: 21971051
- MCPIP1 ribonuclease antagonizes dicer and terminates microRNA biogenesis through precursor microRNA degradation. PMID: 22055188
- REVIEW: Understanding ZC3H12A gives a comprehensive panorama that promises to improve our understanding of processes in which this gene is involved including autoimmune, infectious and cardiovascular diseases. PMID: 20807520
- May cause cell death and plays important role in development of ischemic heart disease. Could be a potential target for therapeutic intervention. PMID: 16574901
- MCPIP1, 2, 3, and 4, encoded by four genes, Zc3h12a, Zc3h12b, Zc3h12c, and Zc3h12d, respectively, regulates macrophage activation. PMID: 18178554
顯示更多
收起更多
-
相關疾病:Increased expression of ZC3H12A is associated with ischemic heart disease (PubMed:16574901).
-
亞細胞定位:Nucleus. Cytoplasm. Cytoplasm, P-body. Rough endoplasmic reticulum membrane; Peripheral membrane protein; Cytoplasmic side. Cytoplasmic granule.
-
蛋白家族:ZC3H12 family
-
組織特異性:Expressed in heart, placenta, spleen, kidney, liver and lung. Expressed in leukocytes. Expressed in monocyte.
-
數據庫鏈接:
Most popular with customers
-
-
YWHAB Recombinant Monoclonal Antibody
Applications: ELISA, WB, IHC, IF, FC
Species Reactivity: Human, Mouse, Rat
-
Phospho-YAP1 (S127) Recombinant Monoclonal Antibody
Applications: ELISA, WB, IHC
Species Reactivity: Human
-
-
-
-
-















