ZBTB46 Antibody
-
中文名稱:ZBTB46兔多克隆抗體
-
貨號:CSB-PA803124HA01HU
-
規格:¥440
-
圖片:
-
Western blot
All lanes: ZBTB46 antibody at 2μg/ml
Lane 1: Mouse heart tissue
Lane 2: Mouse liver tissue
Lane 3: Mouse kidney tissue
Lane 4: 293T whole cell lysate
Lane 5: SH-SY5Y whole cell lysate
Secondary
Goat polyclonal to rabbit IgG at 1/10000 dilution
Predicted band size: 65 kDa
Observed band size: 65 kDa -
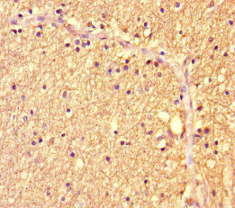
Immunohistochemistry of paraffin-embedded human brain tissue using CSB-PA803124HA01HU at dilution of 1:100
-
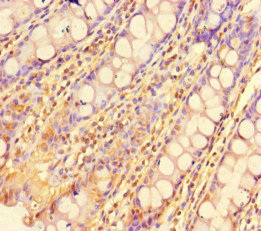
Immunohistochemistry of paraffin-embedded human colon tissue using CSB-PA803124HA01HU at dilution of 1:100
-
-
其他:
產品詳情
-
產品描述:
The ZBTB46 antibody is raised in the rabbit against a partial protein corresponding to 174-362 amnio acids of the human ZBTB46 protein. It is available as the unconjugated IgG isoform. Its purity is 95%+ using protein G purified. This antibody is reactive to human and mouse ZBTB46 protein. And it has been quality control tested in ELISA, WB, and IHC applications. Its target protein ZBTB46 is highly expressed in quiescent endothelial cells and functions as a shear-sensitive transcription factor suppressing endothelial cell proliferation through the expression regulation of cell cycle proteins.
-
產品名稱:Rabbit anti-Homo sapiens (Human) ZBTB46 Polyclonal antibody
-
Uniprot No.:
-
基因名:ZBTB46
-
別名:ZBTB46 antibody; BTBD4 antibody; ZNF340 antibody; Zinc finger and BTB domain-containing protein 46 antibody; BTB-ZF protein expressed in effector lymphocytes antibody; BZEL antibody; BTB/POZ domain-containing protein 4 antibody; Zinc finger protein 340 antibody
-
宿主:Rabbit
-
反應種屬:Human, Mouse
-
免疫原:Recombinant Human Zinc finger and BTB domain-containing protein 46 protein (174-362AA)
-
免疫原種屬:Homo sapiens (Human)
-
標記方式:Non-conjugated
本頁面中的產品,ZBTB46 Antibody (CSB-PA803124HA01HU),的標記方式是Non-conjugated。對于ZBTB46 Antibody,我們還提供其他標記。見下表:
-
克隆類型:Polyclonal
-
抗體亞型:IgG
-
純化方式:>95%, Protein G purified
-
濃度:It differs from different batches. Please contact us to confirm it.
-
保存緩沖液:Preservative: 0.03% Proclin 300
Constituents: 50% Glycerol, 0.01M PBS, PH 7.4 -
產品提供形式:Liquid
-
應用范圍:ELISA, WB, IHC
-
推薦稀釋比:
Application Recommended Dilution WB 1:1000-1:5000 IHC 1:20-1:200 -
Protocols:
-
儲存條件:Upon receipt, store at -20°C or -80°C. Avoid repeated freeze.
-
貨期:Basically, we can dispatch the products out in 1-3 working days after receiving your orders. Delivery time maybe differs from different purchasing way or location, please kindly consult your local distributors for specific delivery time.
-
用途:For Research Use Only. Not for use in diagnostic or therapeutic procedures.
相關產品
靶點詳情
-
功能:Functions as a transcriptional repressor for PRDM1.
-
基因功能參考文獻:
- Authors report a novel tumor promoter, ZBTB46, which is negatively regulated by AR signaling via microRNA (miR)-1-mediated downregulation. ZBTB46 is associated with malignant prostate cancer and is essential for metastasis. PMID: 28692046
- A single nucleotide polymorphisn in ZBTB46, rs6062314, is associated with an increased genetic risk for multiple sclerosis. PMID: 23739915
-
亞細胞定位:Nucleus.
-
數據庫鏈接:
Most popular with customers
-
-
YWHAB Recombinant Monoclonal Antibody
Applications: ELISA, WB, IHC, IF, FC
Species Reactivity: Human, Mouse, Rat
-
Phospho-YAP1 (S127) Recombinant Monoclonal Antibody
Applications: ELISA, WB, IHC
Species Reactivity: Human
-
-
-
-
-















