ZBED3 Antibody
-
中文名稱:ZBED3兔多克隆抗體
-
貨號:CSB-PA839344LA01HU
-
規格:¥440
-
圖片:
-
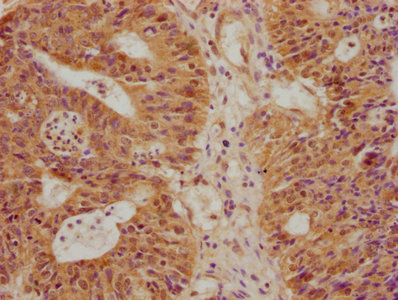
IHC image of CSB-PA839344LA01HU diluted at 1:100 and staining in paraffin-embedded human colon cancer performed on a Leica BondTM system. After dewaxing and hydration, antigen retrieval was mediated by high pressure in a citrate buffer (pH 6.0). Section was blocked with 10% normal goat serum 30min at RT. Then primary antibody (1% BSA) was incubated at 4°C overnight. The primary is detected by a biotinylated secondary antibody and visualized using an HRP conjugated SP system.
-
-
其他:
產品詳情
-
產品名稱:Rabbit anti-Homo sapiens (Human) ZBED3 Polyclonal antibody
-
Uniprot No.:
-
基因名:ZBED3
-
別名:MGC15435 antibody; ZBED3 antibody; ZBED3_HUMAN antibody; Zinc finger BED domain containing 3 antibody; Zinc finger BED domain-containing protein 3 antibody; Zinc finger BED type containing 3 antibody
-
宿主:Rabbit
-
反應種屬:Human
-
免疫原:Recombinant Human Zinc finger BED domain-containing protein 3 protein (1-234AA)
-
免疫原種屬:Homo sapiens (Human)
-
標記方式:Non-conjugated
本頁面中的產品,ZBED3 Antibody (CSB-PA839344LA01HU),的標記方式是Non-conjugated。對于ZBED3 Antibody,我們還提供其他標記。見下表:
-
克隆類型:Polyclonal
-
抗體亞型:IgG
-
純化方式:Antigen Affinity Purified
-
濃度:It differs from different batches. Please contact us to confirm it.
-
保存緩沖液:Preservative: 0.03% Proclin 300
Constituents: 50% Glycerol, 0.01M PBS, pH 7.4 -
產品提供形式:Liquid
-
應用范圍:ELISA, IHC
-
推薦稀釋比:
Application Recommended Dilution IHC 1:20-1:200 -
Protocols:
-
儲存條件:Upon receipt, store at -20°C or -80°C. Avoid repeated freeze.
-
貨期:Basically, we can dispatch the products out in 1-3 working days after receiving your orders. Delivery time maybe differs from different purchasing way or location, please kindly consult your local distributors for specific delivery time.
-
用途:For Research Use Only. Not for use in diagnostic or therapeutic procedures.
相關產品
靶點詳情
-
功能:Acts as a positive regulator in the activation of the canonical Wnt/beta-catenin signaling pathway by stabilizing cytoplasmic beta-catenin. Involved in transcription activation of Wnt target gene expression. Plays a role in symmetric division of blastomeres in the early stages of embryogenesis via regulation of mitotic spindle central positioning and organization of the F-actin filament network. Plays a role in regulating the distribution of cellular organelles, via modulation of cytoskeletal dynamics and cytoplasmic lattice formation.
-
基因功能參考文獻:
- Zbed3 concentrations were significantly higher in metabolic syndrome patients compared with healthy subjects. Circulating Zbed3 concentrations were associated with glucose and lipid parameters, markers of adiposity, and blood pressure. PMID: 28346859
- Finally, the wnt-inhibitor DKK1 could reverse the stimulatory effect of ZBED3-AS1 on chondrogenesis. These findings demonstrate the role of a new lncRNA, ZBED3-AS1, in SFMSC chondrogenesis and may improve osteoarthritis treatment. PMID: 28431932
- results suggest that Zbed3 may contribute to lung cancer cell invasion through regulating beta-catenin and p120ctn-1 and may be a promissing cancer marker in non-small cell lung cancer PMID: 25263389
- results suggest that the Zbed3 protein may be a cytokine associated with insulin resistance in humans that is influenced by glucose and insulin levels. PMID: 24283382
- Zbed3 is a novel Axin-binding protein that is involved in Wnt/beta-catenin signaling modulation. PMID: 19141611
顯示更多
收起更多
-
亞細胞定位:Cytoplasm. Membrane. Secreted.
-
組織特異性:Secreted in blood plasma, and expressed in skeletal muscle and adipose tissue (at protein level).
-
數據庫鏈接:
Most popular with customers
-
YWHAB Recombinant Monoclonal Antibody
Applications: ELISA, WB, IHC, IF, FC
Species Reactivity: Human, Mouse, Rat
-
Phospho-YAP1 (S127) Recombinant Monoclonal Antibody
Applications: ELISA, WB, IHC
Species Reactivity: Human
-
-
-
-
-
-















