YY1AP1 Antibody
-
中文名稱:YY1AP1兔多克隆抗體
-
貨號:CSB-PA884488LA01HU
-
規格:¥440
-
圖片:
-
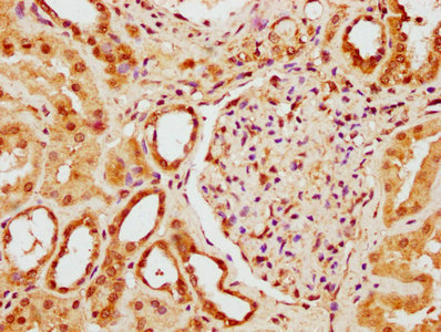
IHC image of CSB-PA884488LA01HU diluted at 1:300 and staining in paraffin-embedded human kidney tissue performed on a Leica BondTM system. After dewaxing and hydration, antigen retrieval was mediated by high pressure in a citrate buffer (pH 6.0). Section was blocked with 10% normal goat serum 30min at RT. Then primary antibody (1% BSA) was incubated at 4°C overnight. The primary is detected by a biotinylated secondary antibody and visualized using an HRP conjugated SP system.
-
Immunofluorescence staining of HepG2 cells with CSB-PA884488LA01HU at 1:100, counter-stained with DAPI. The cells were fixed in 4% formaldehyde, permeabilized using 0.2% Triton X-100 and blocked in 10% normal Goat Serum. The cells were then incubated with the antibody overnight at 4°C. The secondary antibody was Alexa Fluor 488-congugated AffiniPure Goat Anti-Rabbit IgG(H+L).
-
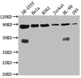
Western Blot
Positive WB detected in: SH-SY5Y whole cell lysate, Hela whole cell lysate, K562 whole cell lysate, Jurkat whole cell lysate, HL60 whole cell lysate, 293 whole cell lysate
All lanes: YY1AP1 antibody at 1:2000
Secondary
Goat polyclonal to rabbit IgG at 1/50000 dilution
Predicted band size: 88, 84, 82, 81, 76, 80, 51, 96, 98 kDa
Observed band size: 88 kDa
-
-
其他:
產品詳情
-
產品名稱:Rabbit anti-Homo sapiens (Human) YY1AP1 Polyclonal antibody
-
Uniprot No.:
-
基因名:YY1AP1
-
別名:FLJ10875 antibody; FLJ13914 antibody; GRNG antibody; HCCA1 antibody; HCCA2 antibody; Hepatocellular carcinoma susceptibility protein antibody; Hepatocellular carcinoma-associated protein 2 antibody; OTTHUMP00000033475 antibody; OTTHUMP00000033476 antibody; OTTHUMP00000200831 antibody; OTTHUMP00000200832 antibody; OTTHUMP00000200833 antibody; OTTHUMP00000200836 antibody; YAP antibody; YY1-associated protein 1 antibody; YY1AP antibody; YY1AP1 antibody; YYAP1_HUMAN antibody
-
宿主:Rabbit
-
反應種屬:Human
-
免疫原:Recombinant Human YY1-associated protein 1 protein (335-466AA)
-
免疫原種屬:Homo sapiens (Human)
-
標記方式:Non-conjugated
本頁面中的產品,YY1AP1 Antibody (CSB-PA884488LA01HU),的標記方式是Non-conjugated。對于YY1AP1 Antibody,我們還提供其他標記。見下表:
-
克隆類型:Polyclonal
-
抗體亞型:IgG
-
純化方式:>95%, Protein G purified
-
濃度:It differs from different batches. Please contact us to confirm it.
-
保存緩沖液:Preservative: 0.03% Proclin 300
Constituents: 50% Glycerol, 0.01M PBS, pH 7.4 -
產品提供形式:Liquid
-
應用范圍:ELISA, WB, IHC, IF
-
推薦稀釋比:
Application Recommended Dilution WB 1:1000-1:5000 IHC 1:200-1:500 IF 1:50-1:200 -
Protocols:
-
儲存條件:Upon receipt, store at -20°C or -80°C. Avoid repeated freeze.
-
貨期:Basically, we can dispatch the products out in 1-3 working days after receiving your orders. Delivery time maybe differs from different purchasing way or location, please kindly consult your local distributors for specific delivery time.
-
用途:For Research Use Only. Not for use in diagnostic or therapeutic procedures.
相關產品
靶點詳情
-
功能:Associates with the INO80 chromatin remodeling complex, which is responsible for transcriptional regulation, DNA repair, and replication. Enhances transcription activation by YY1. Plays a role in cell cycle regulation.
-
基因功能參考文獻:
- Data indicate WW-binding protein 2 (WBP2) as an important co-factor of YY1 associated protein 1 (YAP) that enhances YAP/TEAD-mediated gene transcription. PMID: 28332498
- Loss-of-Function Mutations in YY1AP1 Lead to Grange Syndrome and a Fibromuscular Dysplasia-Like Vascular Disease. PMID: 27939641
- YY1AP1 may serve as a key molecular target for EpCAM(+) AFP(+) HCC subtype PMID: 25597408
- human liver cancer associated gene PMID: 11856496
- YY1AP is a novel co-activator of YY1 PMID: 14744866
- HCCA2 may play a novel role in cell cycle regulation. PMID: 17541814
顯示更多
收起更多
-
相關疾病:Grange syndrome (GRNG)
-
亞細胞定位:Cytoplasm. Nucleus. Nucleus, nucleoplasm. Nucleus, nucleolus.
-
組織特異性:Ubiquitous. Detected in small intestine, skeletal muscle, lung, pancreas, brain, stomach, spleen, colon and heart. Detected at very low levels in healthy liver. Highly expressed in most liver carcinomas.
-
數據庫鏈接:
Most popular with customers
-
-
YWHAB Recombinant Monoclonal Antibody
Applications: ELISA, WB, IHC, IF, FC
Species Reactivity: Human, Mouse, Rat
-
Phospho-YAP1 (S127) Recombinant Monoclonal Antibody
Applications: ELISA, WB, IHC
Species Reactivity: Human
-
-
-
-
VCP Recombinant Monoclonal Antibody
Applications: ELISA, WB, IHC, IF, IP
Species Reactivity: Human, Rat
-















