XIRP2 Antibody
-
中文名稱:XIRP2兔多克隆抗體
-
貨號:CSB-PA026196LA01HU
-
規格:¥440
-
圖片:
-
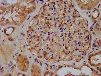
IHC image of CSB-PA026196LA01HU diluted at 1:300 and staining in paraffin-embedded human kidney tissue performed on a Leica BondTM system. After dewaxing and hydration, antigen retrieval was mediated by high pressure in a citrate buffer (pH 6.0). Section was blocked with 10% normal goat serum 30min at RT. Then primary antibody (1% BSA) was incubated at 4°C overnight. The primary is detected by a biotinylated secondary antibody and visualized using an HRP conjugated SP system.
-
IHC image of CSB-PA026196LA01HU diluted at 1:300 and staining in paraffin-embedded human skeletal muscle tissue performed on a Leica BondTM system. After dewaxing and hydration, antigen retrieval was mediated by high pressure in a citrate buffer (pH 6.0). Section was blocked with 10% normal goat serum 30min at RT. Then primary antibody (1% BSA) was incubated at 4°C overnight. The primary is detected by a biotinylated secondary antibody and visualized using an HRP conjugated SP system.
-
-
其他:
產品詳情
-
產品名稱:Rabbit anti-Homo sapiens (Human) XIRP2 Polyclonal antibody
-
Uniprot No.:
-
基因名:XIRP2
-
別名:Beta-xin antibody; Cardiomyopathy associated 3 antibody; Cardiomyopathy-associated protein 3 antibody; CMYA3 antibody; DKFZp451G055 antibody; DKFZp779G1747 antibody; FLJ39111 antibody; FLJ40200 antibody; Myomaxin antibody; Xeplin antibody; Xin actin binding repeat containing 2 antibody; Xin actin-binding repeat-containing protein 2 antibody; Xin repeat protein 2 antibody; Xirp2 antibody; XIRP2_HUMAN antibody
-
宿主:Rabbit
-
反應種屬:Human
-
免疫原:Recombinant Human Xin actin-binding repeat-containing protein 2 protein (2861-3004AA)
-
免疫原種屬:Homo sapiens (Human)
-
標記方式:Non-conjugated
本頁面中的產品,XIRP2 Antibody (CSB-PA026196LA01HU),的標記方式是Non-conjugated。對于XIRP2 Antibody,我們還提供其他標記。見下表:
-
克隆類型:Polyclonal
-
抗體亞型:IgG
-
純化方式:>95%, Protein G purified
-
濃度:It differs from different batches. Please contact us to confirm it.
-
保存緩沖液:Preservative: 0.03% Proclin 300
Constituents: 50% Glycerol, 0.01M PBS, pH 7.4 -
產品提供形式:Liquid
-
應用范圍:ELISA, IHC
-
推薦稀釋比:
Application Recommended Dilution IHC 1:200-1:500 -
Protocols:
-
儲存條件:Upon receipt, store at -20°C or -80°C. Avoid repeated freeze.
-
貨期:Basically, we can dispatch the products out in 1-3 working days after receiving your orders. Delivery time maybe differs from different purchasing way or location, please kindly consult your local distributors for specific delivery time.
-
用途:For Research Use Only. Not for use in diagnostic or therapeutic procedures.
相關產品
靶點詳情
-
功能:Protects actin filaments from depolymerization.
-
基因功能參考文獻:
- Genetic information from this patient implies that genes involved in development and maintenance of extraocular muscles can cause congenital ocular motility disorders as well. PMID: 24475916
- Xin and XIRP2 define a novel actin-binding motif PMID: 15454575
-
亞細胞定位:Cell junction.
-
蛋白家族:Xin family
-
數據庫鏈接:
Most popular with customers
-
-
YWHAB Recombinant Monoclonal Antibody
Applications: ELISA, WB, IHC, IF, FC
Species Reactivity: Human, Mouse, Rat
-
Phospho-YAP1 (S127) Recombinant Monoclonal Antibody
Applications: ELISA, WB, IHC
Species Reactivity: Human
-
-
-
-
-















