WNT2 Antibody
-
中文名稱:WNT2兔多克隆抗體
-
貨號:CSB-PA782193
-
規格:¥1100
-
圖片:
-
The image on the left is immunohistochemistry of paraffin-embedded Human brain tissue using CSB-PA782193(WNT2 Antibody) at dilution 1/40, on the right is treated with synthetic peptide. (Original magnification: ×200)
-
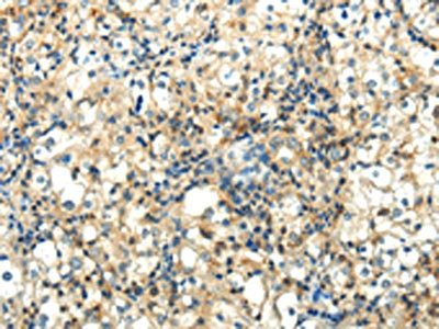
The image on the left is immunohistochemistry of paraffin-embedded Human prostate cancer tissue using CSB-PA782193(WNT2 Antibody) at dilution 1/40, on the right is treated with synthetic peptide. (Original magnification: ×200)
-
Gel: 8%SDS-PAGE, Lysate: 40 μg, Lane: Human endometrial cancer tissue, Primary antibody: CSB-PA782193(WNT2 Antibody) at dilution 1/300 dilution, Secondary antibody: Goat anti rabbit IgG at 1/8000 dilution, Exposure time: 10 seconds
-
-
其他:
產品詳情
-
Uniprot No.:
-
基因名:
-
別名:Int 1 related protein antibody; Int-1-like protein 1 antibody; Int-1-related protein antibody; INT1L 1 antibody; INT1L1 antibody; IRP antibody; IRP protein antibody; ONCOGENE INT1 LIKE 1 antibody; Protein Wnt-2 antibody; Secreted growth factor antibody; Wingless type MMTV integration site family member 2 antibody; WNT 2 antibody; WNT2 antibody; WNT2_HUMAN antibody
-
宿主:Rabbit
-
反應種屬:Human,Mouse
-
免疫原:Synthetic peptide of Human WNT2
-
免疫原種屬:Homo sapiens (Human)
-
標記方式:Non-conjugated
-
抗體亞型:IgG
-
純化方式:Antigen affinity purification
-
濃度:It differs from different batches. Please contact us to confirm it.
-
保存緩沖液:-20°C, pH7.4 PBS, 0.05% NaN3, 40% Glycerol
-
產品提供形式:Liquid
-
應用范圍:ELISA,WB,IHC
-
推薦稀釋比:
Application Recommended Dilution ELISA 1:2000-1:5000 WB 1:500-1:2000 IHC 1:30-1:150 -
Protocols:
-
儲存條件:Upon receipt, store at -20°C or -80°C. Avoid repeated freeze.
-
貨期:Basically, we can dispatch the products out in 1-3 working days after receiving your orders. Delivery time maybe differs from different purchasing way or location, please kindly consult your local distributors for specific delivery time.
-
用途:For Research Use Only. Not for use in diagnostic or therapeutic procedures.
相關產品
靶點詳情
-
功能:Ligand for members of the frizzled family of seven transmembrane receptors. Functions in the canonical Wnt signaling pathway that results in activation of transcription factors of the TCF/LEF family. Functions as upstream regulator of FGF10 expression. Plays an important role in embryonic lung development. May contribute to embryonic brain development by regulating the proliferation of dopaminergic precursors and neurons.
-
基因功能參考文獻:
- Down-regulation of miR-30a-3p/5p promotes esophageal squamous cell carcinoma cell proliferation by activating the Wnt signaling pathway through inhibition of Wnt2 and Fzd2. PMID: 29259372
- The data suggest that Med19 expression correlates with aggressive characteristics of bladder cancer, and Med19 knockdown suppresses the proliferation and migration of cancer cells through down-regulating the Wnt/beta-catenin pathway. PMID: 28631286
- The findings of this study have shown that molecular mechanisms, including aberrant activation of the WNT2 gene signaling pathway, may be involved in the pathogenesis of preeclampsia. PMID: 29109390
- SNPs in WNT2 and FOXP2 are associated with clinical symptom severity of autism spectrum disorders. PMID: 28081867
- WNT2 insufficiency might cause impaired trophoblast cell proliferation and migration via downregulation of Wnt/beta-catenin signaling pathway. PMID: 28627774
- Three-dimensional organotypic co-culture assays revealed that WNT2-mediated fibroblast motility and extracellular matrix remodeling enhanced cancer cell invasion of cell lines even harboring mutations in the adenomatous polyposis coli/beta-catenin pathway. PMID: 28553956
- Chondrogenic potential was higher and Wnt/beta-catenin signaling was more potently activated by a GSK-3beta inhibitor in the posterior than in the anterior part of the human infant sclera. PMID: 27336854
- data enforced the evidence that knockdown of c-Fos inhibited cell proliferation, migration, and invasion, and promoted the apoptosis of OS cells accompanied by altered expression of Wnt2 and Fzd9 PMID: 28665975
- High WNT2 expression is associated with Cervical Carcinoma Metastasis. PMID: 27513465
- targeting beta-catenin with lipofection-delivered small interfering RNA oligonucleotide inhibited the proliferation and cell cycle arrest in G0/G1 phase and increased apoptosis of fibroblast cells, accompanied by downregulation of Wnt2 and cyclin D1 as well as the phosphorylation level of glycogen synthase kinase 3 beta in the keloid fibrosis PMID: 28656880
- Genetic polymorphisms in the WNT2 and CTNNB1 genes were closely associated with hepatocellular carcinoma risk and progression in a Chinese Han population PMID: 28328801
- The WNT2 rs39315 G allele was associated with advanced tumor stage in hepatocellular carcinoma. PMID: 26968103
- Wnt2 complements Wnt/beta-catenin signaling in regulating colorectal cancer cell proliferation. PMID: 26484565
- Wnt2/beta-catenin signaling was involved in stromal-epithelial cells interaction in endometriosis. PMID: 26116230
- High expression of Wnt2 is associated with pancreatic cancer progression promoted by pancreatic stellate cells. PMID: 25731618
- Hypermethylation of WNT2 is associated with colorectal cancer. PMID: 23694962
- The study demonistrated that expressions of Wnt-2 in high-grade brainstem gliomas were significantly higher than that in low-grade brainstem gliomas and normal brain tissues and were positively correlated with the expression of Ki-67. PMID: 23603171
- Decreased placental expression of Wnt2 and increased placental expression of sFRP4 may be associated with the pathogenesis of severe preeclampsia. PMID: 23322712
- We demonstrated an activation of Wnt-2 signaling via the Frizzled-8 receptor in non-small cell lung cancer cells PMID: 23815780
- The skin lesions of scleroderma patients showed obviously increased expression of cytoplasmic Wnt 2, nuclear Wnt 3a and beta-catenin, but markedly lowered cell membrane expression of beta-catenin than normal skin. PMID: 23268410
- significant association with SNP rs4730775 locus on chromosome 7 with genetic susceptibility to Peyronie's disease PMID: 22489561
- Pdgf signaling potentiates Wnt2-Wnt7b signaling to promote high levels of Wnt activity in mesenchymal progenitors that is required for proper development of endoderm-derived organs, such as the lung PMID: 22949635
- The WNT2 gene may play a suggestive role in language development in autistic disorder. PMID: 22522212
- Expression of WNT2 in pancreatic cancer cells suppresses anoikis, enhances anchorage-independent sphere formation, and increases metastatic propensity in vivo. PMID: 22763454
- Wnt/beta-catenin pathway forms a negative feedback loop during TGF-beta1 induced human normal skin fibroblast-to-myofibroblast transition PMID: 22041457
- a haplotype of WNT2 (rs2896218-rs6950765: G-G) is significantly associated with ASDs. PMID: 21575668
- DNA methylation within the WNT2 promoter in human placenta is associated with low birthweight. PMID: 21474991
- findings provide evidence for a significant association between WNT2 and autism. PMID: 19895723
- The present study does not support a major role for WNT2 in schizophrenia. PMID: 20492734
- Wnt2/beta-catenin signaling pathway is constitutively activated in esophageal squamous cell carcinoma (ESCC) cells, indicating that Wnt2/beta-catenin pathway plays an essential role in carcinogenesis of the esophagus. PMID: 19857041
- Wnt2 acts as an angiogenic factor for non-sinusoidal endothelium in vitro and in vivo. PMID: 19444628
- Up-regulation of WNT2 mRNA by estrogen might play a key role in some cases of human breast cancer through activation of the beta-catenin - TCF signaling pathway. PMID: 11712082
- Activating mutations of the WNT2 gene are not a major contributor to the development of autistic disorder. PMID: 11840514
- REVIEW: role in human gastrointestinal cancer PMID: 14533014
- Our interpretation of these findings is that it is unlikely that DNA variations in RELN and WNT2 play a significant role in the genetic predisposition to autism. PMID: 15048648
- Target genes involved in tumor WNT pathways in response to TGF-beta1 were found in cervix cancer cells. PMID: 15878915
- Wnt/beta-catenin signalling pathway is activated in most of gastric cancers, which may play pivotal roles either in gastric cancer formation or in tumour invasion and dissemination PMID: 15896469
- Inhibition of Wnt2 by monoclonal antibodies is of therapeutic interest in the development of more effective treatments for malignnt pleueral mesothelioma. PMID: 15900580
- The increased Wnt2 expression in gastric cancers is paralleled with reduction of membranous E-cadherin. PMID: 16132582
- The WNT2 gene is upregulated along the progression from low-grade dysplasia to esophageal adenocarcioma. PMID: 16407829
- Regulation of Fz4 expression by Wnt2. PMID: 17386109
- inhibition of both Wnt-2 and Gal-3 had synergistic effects on suppressing canonical Wnt signaling and inducing apoptosis, suggesting that aberrant canonical Wnt/beta-catenin signaling in colorectal cancer can be regulated at multiple levels PMID: 17534895
- potential coordinative effects of Wnt, NF-kappaB and/or Stat3 activation on gastric cancer formation presumably by promoting the transcription of their common target genes. PMID: 18184402
- Persistent upregulation in colorectal carcinoma cases studied. PMID: 18600204
- Wnt (Wnt2), Stat3, and Notch-1 and -2 signaling are correlated in human epidermal tumors. PMID: 18703315
- Knockdown of Wnt2 by siRNA in human U251 glioma cells inhibited cell proliferation and invasive ability, and induced apoptotic cell death PMID: 18949017
- The results suggest that WNT2 could act through its receptor FZD9 to regulate the beta-CATENIN pathway in cumulus cells, recruiting beta-CATENIN into plasma membranes and promoting the formation of adherens junctions involving CDH1. PMID: 19038973
- up-regulation of the Wnt-2 protein might play a role in the development of colorectal cancers. PMID: 19239325
- RNA samples from 21 neuroblastoma showed a highly significant FZD1 and/or MDR1 overexpression after treatment, underlining a role for FZD1-mediated Wnt/beta-catenin pathway in clinical chemoresistance. PMID: 19421142
顯示更多
收起更多
-
亞細胞定位:Secreted, extracellular space, extracellular matrix. Secreted.
-
蛋白家族:Wnt family
-
組織特異性:Expressed in brain in the thalamus, in fetal and adult lung and in placenta.
-
數據庫鏈接:
Most popular with customers
-
-
YWHAB Recombinant Monoclonal Antibody
Applications: ELISA, WB, IHC, IF, FC
Species Reactivity: Human, Mouse, Rat
-
Phospho-YAP1 (S127) Recombinant Monoclonal Antibody
Applications: ELISA, WB, IHC
Species Reactivity: Human
-
-
-
-
-
VCP Recombinant Monoclonal Antibody
Applications: ELISA, WB, IHC, IF, IP
Species Reactivity: Human, Rat















