WNK2 Antibody
-
中文名稱:WNK2兔多克隆抗體
-
貨號:CSB-PA934165
-
規格:¥1100
-
圖片:
-
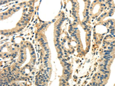
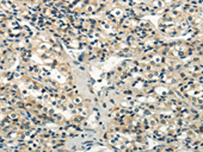
The image on the left is immunohistochemistry of paraffin-embedded Human thyroid cancer tissue using CSB-PA934165(WNK2 Antibody) at dilution 1/35, on the right is treated with synthetic peptide. (Original magnification: ×200)
-
The image on the left is immunohistochemistry of paraffin-embedded Human prostate cancer tissue using CSB-PA934165(WNK2 Antibody) at dilution 1/35, on the right is treated with synthetic peptide. (Original magnification: ×200)
-
Gel: 6%SDS-PAGE,Lysate: 40 μg,Lane 1-2: A431 cells, MCF7 cells,Primary antibody: CSB-PA934165(WNK2 Antibody) at dilution 1/200 dilution,Secondary antibody: Goat anti rabbit IgG at 1/8000 dilution,Exposure time: 3 minutes
-
-
其他:
產品詳情
-
Uniprot No.:
-
基因名:WNK2
-
宿主:Rabbit
-
反應種屬:Human,Mouse
-
免疫原:Synthetic peptide of Human WNK2
-
免疫原種屬:Homo sapiens (Human)
-
標記方式:Non-conjugated
-
抗體亞型:IgG
-
純化方式:Antigen affinity purification
-
濃度:It differs from different batches. Please contact us to confirm it.
-
保存緩沖液:-20°C, pH7.4 PBS, 0.05% NaN3, 40% Glycerol
-
產品提供形式:Liquid
-
應用范圍:ELISA,WB,IHC
-
推薦稀釋比:
Application Recommended Dilution ELISA 1:1000-1:2000 WB 1:200-1:1000 IHC 1:25-1:100 -
Protocols:
-
儲存條件:Upon receipt, store at -20°C or -80°C. Avoid repeated freeze.
-
貨期:Basically, we can dispatch the products out in 1-3 working days after receiving your orders. Delivery time maybe differs from different purchasing way or location, please kindly consult your local distributors for specific delivery time.
-
用途:For Research Use Only. Not for use in diagnostic or therapeutic procedures.
相關產品
靶點詳情
-
功能:Serine/threonine kinase which plays an important role in the regulation of electrolyte homeostasis, cell signaling, survival, and proliferation. Acts as an activator and inhibitor of sodium-coupled chloride cotransporters and potassium-coupled chloride cotransporters respectively. Activates SLC12A2, SCNN1A, SCNN1B, SCNN1D and SGK1 and inhibits SLC12A5. Negatively regulates the EGF-induced activation of the ERK/MAPK-pathway and the downstream cell cycle progression. Affects MAPK3/MAPK1 activity by modulating the activity of MAP2K1 and this modulation depends on phosphorylation of MAP2K1 by PAK1. WNK2 acts by interfering with the activity of PAK1 by controlling the balance of the activity of upstream regulators of PAK1 activity, RHOA and RAC1, which display reciprocal activity.
-
亞細胞定位:Cytoplasm. Cell membrane.
-
蛋白家族:Protein kinase superfamily, Ser/Thr protein kinase family, WNK subfamily
-
組織特異性:Expressed in various cancer cell lines (at protein level). Predominantly expressed in heart, brain, skeletal muscle and colon.
-
數據庫鏈接:
Most popular with customers
-
-
YWHAB Recombinant Monoclonal Antibody
Applications: ELISA, WB, IHC, IF, FC
Species Reactivity: Human, Mouse, Rat
-
Phospho-YAP1 (S127) Recombinant Monoclonal Antibody
Applications: ELISA, WB, IHC
Species Reactivity: Human
-
-
-
-
-















