WNK1 Antibody
-
中文名稱:WNK1兔多克隆抗體
-
貨號:CSB-PA775879
-
規格:¥1100
-
圖片:
-
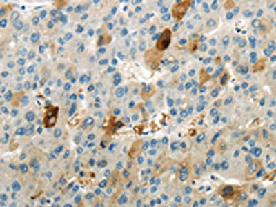
The image is immunohistochemistry of paraffin-embedded human liver cancer tissue using CSB-PA775879(WNK1 Antibody) at dilution 1/20. (Original magnification: ×200)
-
The image is immunohistochemistry of paraffin-embedded human brain tissue using CSB-PA775879(WNK1 Antibody) at dilution 1/20. (Original magnification: ×200)
-
Gel: 6%SDS-PAGE,Lysate: 40 μg,,Primary antibody: CSB-PA775879(WNK1 Antibody) at dilution 1/200 dilution,Secondary antibody: Goat anti rabbit IgG at 1/8000 dilution,Exposure time: 2 minutes
-
-
其他:
產品詳情
-
Uniprot No.:
-
基因名:WNK1
-
宿主:Rabbit
-
反應種屬:Human,Mouse,Rat
-
免疫原:Synthetic peptide of Human WNK1
-
免疫原種屬:Homo sapiens (Human)
-
標記方式:Non-conjugated
-
抗體亞型:IgG
-
純化方式:Antigen affinity purification
-
濃度:It differs from different batches. Please contact us to confirm it.
-
保存緩沖液:-20°C, pH7.4 PBS, 0.05% NaN3, 40% Glycerol
-
產品提供形式:Liquid
-
應用范圍:ELISA,WB,IHC
-
推薦稀釋比:
Application Recommended Dilution ELISA 1:1000-1:2000 WB 1:200-1:1000 IHC 1:10-1:50 -
Protocols:
-
儲存條件:Upon receipt, store at -20°C or -80°C. Avoid repeated freeze.
-
貨期:Basically, we can dispatch the products out in 1-3 working days after receiving your orders. Delivery time maybe differs from different purchasing way or location, please kindly consult your local distributors for specific delivery time.
-
用途:For Research Use Only. Not for use in diagnostic or therapeutic procedures.
相關產品
靶點詳情
-
功能:Serine/threonine kinase which plays an important role in the regulation of electrolyte homeostasis, cell signaling, survival, and proliferation. Acts as an activator and inhibitor of sodium-coupled chloride cotransporters and potassium-coupled chloride cotransporters respectively. Activates SCNN1A, SCNN1B, SCNN1D and SGK1. Controls sodium and chloride ion transport by inhibiting the activity of WNK4, by either phosphorylating the kinase or via an interaction between WNK4 and the autoinhibitory domain of WNK1. WNK4 regulates the activity of the thiazide-sensitive Na-Cl cotransporter, SLC12A3, by phosphorylation. WNK1 may also play a role in actin cytoskeletal reorganization. Phosphorylates NEDD4L. Acts as a scaffold to inhibit SLC4A4, SLC26A6 as well as CFTR activities and surface expression, recruits STK39 which mediates the inhibition.; Dominant-negative regulator of the longer isoform 1. Does not have kinase activity, does not directly inhibit WNK4 and has no direct effect on sodium and chloride ion transport. Downregulates sodium-chloride cotransporter activity indirectly by inhibiting isoform 1, it associates with isoform 1 and attenuates its kinase activity. In kidney, may play an important role regulating sodium and potassium balance.
-
相關疾病:Pseudohypoaldosteronism 2C (PHA2C); Neuropathy, hereditary sensory and autonomic, 2A (HSAN2A)
-
亞細胞定位:Cytoplasm.
-
蛋白家族:Protein kinase superfamily, Ser/Thr protein kinase family, WNK subfamily
-
組織特異性:Widely expressed, with highest levels observed in the testis, heart, kidney and skeletal muscle. Isoform 3 is kidney-specific and specifically expressed in the distal convoluted tubule (DCT) and connecting tubule (CNT) of the nephron.
-
數據庫鏈接:
Most popular with customers
-
-
YWHAB Recombinant Monoclonal Antibody
Applications: ELISA, WB, IHC, IF, FC
Species Reactivity: Human, Mouse, Rat
-
Phospho-YAP1 (S127) Recombinant Monoclonal Antibody
Applications: ELISA, WB, IHC
Species Reactivity: Human
-
-
-
-
-















