WIPF2 Antibody
-
中文名稱:WIPF2兔多克隆抗體
-
貨號:CSB-PA823478LA01HU
-
規格:¥440
-
圖片:
-
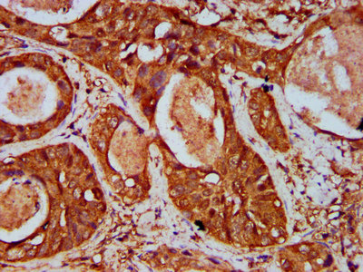
IHC image of CSB-PA823478LA01HU diluted at 1:500 and staining in paraffin-embedded human cervical cancer performed on a Leica BondTM system. After dewaxing and hydration, antigen retrieval was mediated by high pressure in a citrate buffer (pH 6.0). Section was blocked with 10% normal goat serum 30min at RT. Then primary antibody (1% BSA) was incubated at 4°C overnight. The primary is detected by a biotinylated secondary antibody and visualized using an HRP conjugated SP system.
-
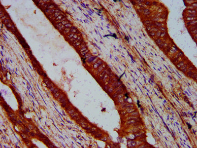
IHC image of CSB-PA823478LA01HU diluted at 1:500 and staining in paraffin-embedded human colon cancer performed on a Leica BondTM system. After dewaxing and hydration, antigen retrieval was mediated by high pressure in a citrate buffer (pH 6.0). Section was blocked with 10% normal goat serum 30min at RT. Then primary antibody (1% BSA) was incubated at 4°C overnight. The primary is detected by a biotinylated secondary antibody and visualized using an HRP conjugated SP system.
-
-
其他:
產品詳情
-
產品名稱:Rabbit anti-Homo sapiens (Human) WIPF2 Polyclonal antibody
-
Uniprot No.:
-
基因名:
-
別名:WIPF2 antibody; WICH antibody; WIRE antibody; PP10631 antibody; WAS/WASL-interacting protein family member 2 antibody; WASP-interacting protein-related protein antibody; WIP- and CR16-homologous protein antibody; WIP-related protein antibody
-
宿主:Rabbit
-
反應種屬:Human
-
免疫原:Recombinant Human WAS/WASL-interacting protein family member 2 protein (18-176AA)
-
免疫原種屬:Homo sapiens (Human)
-
標記方式:Non-conjugated
本頁面中的產品,WIPF2 Antibody (CSB-PA823478LA01HU),的標記方式是Non-conjugated。對于WIPF2 Antibody,我們還提供其他標記。見下表:
-
克隆類型:Polyclonal
-
抗體亞型:IgG
-
純化方式:>95%, Protein G purified
-
濃度:It differs from different batches. Please contact us to confirm it.
-
保存緩沖液:Preservative: 0.03% Proclin 300
Constituents: 50% Glycerol, 0.01M PBS, pH 7.4 -
產品提供形式:Liquid
-
應用范圍:ELISA, IHC
-
推薦稀釋比:
Application Recommended Dilution IHC 1:500-1:1000 -
Protocols:
-
儲存條件:Upon receipt, store at -20°C or -80°C. Avoid repeated freeze.
-
貨期:Basically, we can dispatch the products out in 1-3 working days after receiving your orders. Delivery time maybe differs from different purchasing way or location, please kindly consult your local distributors for specific delivery time.
-
用途:For Research Use Only. Not for use in diagnostic or therapeutic procedures.
相關產品
靶點詳情
-
功能:Plays an active role in the formation of cell surface protrusions downstream of activated PDGFB receptors. Plays an important role in actin-microspike formation through cooperation with WASL. May cooperate with WASP and WASL to induce mobilization and reorganization of the actin filament system.
-
基因功能參考文獻:
- Study provides evidence that WIP and WIRE contribute to breast cancer cell invasiveness through coordinated roles. WIP seems necessary for the assembly of invasive protrusions, whereas WIRE regulates their maturation, which leads to matrix degradation. PMID: 27009365
- Data indicate that the reduced vimentin expression in response to EPHB4, WIPF2 and MTHFD2 silencing was observed at mRNA and protein levels. PMID: 23295955
- The WASP-binding protein WIRE has a role in the regulation of the actin filament system downstream of the platelet-derived growth factor receptor PMID: 12213210
-
亞細胞定位:Cytoplasm, cytoskeleton. Note=Localized to stress fibers and bundles of actin filaments.
-
蛋白家族:Verprolin family
-
組織特異性:Expressed mainly in brain, colon, lung and stomach (at protein level). Ubiquitously expressed, with high expression in brain, kidney, lung, and placenta.
-
數據庫鏈接:
Most popular with customers
-
-
YWHAB Recombinant Monoclonal Antibody
Applications: ELISA, WB, IHC, IF, FC
Species Reactivity: Human, Mouse, Rat
-
Phospho-YAP1 (S127) Recombinant Monoclonal Antibody
Applications: ELISA, WB, IHC
Species Reactivity: Human
-
-
-
-
-















